ANTECEDENTES
La estenosis de la arteria renal es la causa más común de hipertensión arterial secundaria (hipertensión renovascular) cuya prevalencia es de 4% en la población hipertensa general, siendo las causas más frecuentes la ateroclerosis que representa 90% y la displasia fibromuscular menos de 10%. En términos clínicos, la estenosis de la arteria renal puede cursar sola o concomitante con hipertensión arterial o insuficiencia renal crónica.1,2
La aterosclerosis suele afectar al ostium (80-85% de casos) o el tercio proximal de la arteria renal. Su prevalencia aumenta con la edad, especialmente en sujetos con diabetes, enfermedad oclusiva aortoiliaca, hipertensión arterial o enfermedad coronaria; es progresiva y conduce a atrofia renal en 21% de los casos con estenosis mayor a 60%.2,3
La displasia fibromuscular es una enfermedad de causa no conocida que puede afectar a la íntima, media (70-90% de los casos) y adventicia de arterias de mediano y pequeño calibre. 4 Afecta a mujeres jóvenes, entre 15 y 50 años de edad, pero no es excepcional en personas de más edad y a menudo están implicadas ambas arterias renales (35% de los casos). Por lo general, afecta a los dos tercios distales de la arteria y sus ramas y su aspecto característico en la arteriografía es una imagen de “rosario de cuentas”. 2,3,5
Son factores de riesgo la predisposición genética, el tabaquismo, factores hormonales y los trastornos de la vasa vasorum. 3,4,6
La mayoría de los pacientes con estenosis de la arteria renal tienen hipertensión arterial esencial, pero existen características que indican hipertensión renovascular; éstas son: hipocalemia, soplo abdominal, ausencia de antecedentes familiares de hipertensión, aparición de hipertensión en edad joven o luego de los 50 años, hipertensión maligna o acelerada, aparición de hipertensión súbita no controlada, aterosclerosis difusa y azoemia desencadenada por un inhibidor de la enzima convertidora de angiotensina o azoemia inexplicable. 3,6,7
Para llegar al diagnóstico etiológico se realiza en primera instancia una ecografía doppler por ser un estudio no invasivo, cuya sensibilidad es de 90% y especificidad de 95%;8-11 sin embargo, el patrón de referencia sigue siendo la angiografía, con sensibilidad y especificidad del 100%, que determina la severidad de la estenosis de la arteria renal y la afectación de sus ramas para establecer la estrategia de revascularización más apropiada. 6,7,9
En la actualidad, en displasia fibromuscular la angioplastia es el tratamiento de primera elección, la cirugía se reserva para los casos con lesiones complejas, como aneurismas de gran tamaño con riesgo de perforación elevado. La tasa de reestenosis tras angioplastia es de 11 a 23% en un periodo inferior a dos años. 4,10
CASO CLÍNICO
Paciente masculino de 49 años de edad con antecedente de hipertensión arterial de difícil manejo, diagnosticado hacía aproximadamente 15 años y tratado desde 2015 con ARA II, calcio antagonista e hidroclorotiazida en clínica privada sin estabilización de las cifras tensionales; se decidió reestratificar y, por ende, se realizaron nuevos estudios que incluyeron pruebas de función tiroidea y pruebas de función renal, ambas normales; también se indicó realizar ultrasonido doppler de arterias renales que concluyó: signos ultrasonográficos de riñones insuficientes (a confirmar con pruebas de laboratorio) y signos de estenosis de ambas arterias renales. Se añadió al tratamiento doble antiagregación plaquetaria con aspirina y clopidogrel.
El paciente negó antecedentes familiares de hipertensión arterial, así como antecedentes personales de enfermedades cardiovasculares, dislipidemias y tabaquismo.
Ingresó al servicio de Hemodinamia del Instituto Nacional Cardiopulmonar (Hospital el Tórax), Tegucigalpa, Honduras, con lencarnidipina, enalapril, carvedidol a dosis máximas, con los siguientes hallazgos de laboratorio: HGB 13.5 g/ dL, HTC 36.3%, WBC 3.10 x 103 cel/μL, PLT 250,000 cél/μL, INR 1.0, glucosa 93 mg/dL, BUN 21 mg/dL, creatinina 1.14 mg/dL, colesterol total 224 mg/dL, HDL 52 mg/dL, LDL 168 mg/dL, triglicéridos 123 mg/dL.
La radiografía de tórax fue normal y el electrocardiograma mostró bradicardia sinusal más bloqueo aurículo ventricular de primer grado.
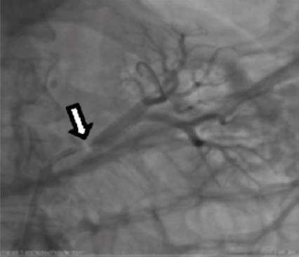
La angiografía renal realizada el 28 de octubre de 2016 arrojó los siguientes hallazgos: arteria renal izquierda con lesión ostial crítica de 90% de obstrucción. Dos arterias renales derechas, ambas con lesiones ostiales de 80%. Se observó arteria renal derecha accesoria (Figuras 1 y 2).

Figura 1 A. Estenosis ostial de la arteria renal derecha. B. Estenosis de la arteria renal derecha accesoria (flecha).
En vista de estos hallazgos, se trató como displasia fibromuscular y se procedió a realizar angioplastia bilateral. Primero de la arteria renal izquierda, predilatándose con un balón 6.0 x 20 mm e implantándose a seguir una endoprótesis vascular de 7.0 x 12 mm sin lesión residual y con flujo normal. Se canuló la arteria renal derecha superior entregándose una endoprótesis vascular directa 5.0 x 12 mm sin lesión residual con flujo normal. Posteriormente se canuló la arterial renal derecha inferior entregándose otra endoprótesis vascular directa de 3.5 x 20 mm sin lesión residual pero con espasmo posterior a la endoprótesis que cedió con 200 µg de nitroglicerina, concluyendo el procedimiento sin complicaciones (Figura 3).

Figura 3 A. Permeabilización con endoprótesis vascular de la arteria renal derecha (principal y accesoria). B. Permeabilización con endoprótesis vascular de la arteria renal izquierda (flecha).
Tras su seguimiento en la consulta externa, el paciente muestra cifras tensionales normales y un nuevo ultrasonido doppler renal tres meses posteriores al procedimiento descrito verificó la permeabilidad de las endoprótesis vasculares implantadas sin lesiones residuales y con flujos normales.
DISCUSIÓN
La estenosis de arteria renal por displasia fibromuscular es la segunda causa de hipertensión vasculorrenal después de la enfermedad aterosclerosa. Estimaciones realizadas a partir de estudios de hipertensión vasculorrenal sugieren prevalencia de 0.4%. En la actualidad en Honduras no se cuenta con referencia científica documentada de prevalencia de esta enfermedad; una revisión de la revista Nefroplus estima que en 60 a 75% de los casos de displasia fibromuscular se diagnostican por la afectación de las arterias renales, entre 30 y 60% por la de las arterias carótidas y 30% por diversas arterias. 4
En 2008, la Asociación Americana del Corazón definió la estenosis crítica de la arteria renal como la reducción del diámetro de la misma de más de 60%. La reducción del calibre produce disminución de la perfusión renal que pondrá en marcha distintos mecanismos de compensación encabezados por el aumento en la producción intrarrenal de angiotensina II (AII) y su acción a distintos niveles. 12
En términos histológicos, se conocen tres subtipos de displasia fibromuscular según la capa arterial en la que predomina la afectación: en 85% se afecta la capa media de la arteria, en 10% la íntima y en el 5% restante es perimedial con engrosamiento fibroso entre la capa media y la adventicia, generándose hiperplasia de causa no aclarada. 9 El tipo más frecuente es la displasia medial multifocal, caracterizado radiológicamente como una imagen en “rosario de cuentas”, apariencia que consiste en la existencia de tejido elástico que causa estenosis múltiples, separadas por aneurismas. 1 Sin embargo, se ha demostrado que los tres tipos de lesiones pueden coexistir en el mismo segmento arterial y más de la mitad de los pacientes tienen más de una capa afectada. 4 Tiende a ocurrir en forma bilateral y afecta los dos tercios distales de la arteria renal, 13 de manera similar en este caso el paciente tuvo estenosis bilateral; sin embargo, las lesiones de mayor importancia fueron ostiales y no distales, como lo mencionado.
Debe sospecharse displasia fibromuscular en una paciente femenina, con ausencia de antecedentes familiares de hipertensión, comienzo de la hipertensión arterial sistémica antes de la edad de 30 años o después de los 50 años, hipertensión arterial sistémica severa desde el inicio, difícil control de la presión arterial con múltiples fármacos, 5 soplo abdominal, ausencia de signos de enfermedad vascular periférica; todo esto debe considerarse ante la sospecha clínica y plantear la posibilidad de estenosis de la arteria renal secundaria a displasia fibromuscular. 1 De lo mencionado, el paciente del caso comunicado manifestó hipertensión arterial resistente, 11 sin manifestaciones de enfermedad vascular periférica y aunado a la ausencia referida de antecedentes familiares de hipertensión arterial, se decidió hacer nuevo abordaje diagnóstico del paciente.
El ultrasonido doppler renal permitió llegar al diagnóstico de estenosis de la arteria renal y, con ello, iniciar el abordaje terapéutico mencionado en la descripción del caso clínico, mismo que se programó para realizarle angiografía, que es el método invasivo patrón de referencia,6 con el que se encontraron estenosis mayores de 60%, ésta es una de las principales indicaciones de revascularización, 4 se decidió la angioplastia que es la técnica de elección en los casos de displasia fiibromuscular. En los casos que no puedan tratarse con angioplastia existe la posibilidad, según la bibliografía, de realizar nefrectomía, cirugía de banco y autotransplante. 14
Los resultados del tratamiento con angioplastia son muy variables, el control de la hipertensión sin antihipertensivos varía entre 33 y 63% en pacientes con displasia fiibromuscular y en menos de 30% en pacientes con lesiones ateroscleróticas,15 resultado que se logró en el caso comunicado.
Así pues, debe tenerse en cuenta que la estenosis de arteria renal es la principal causa de hipertensión arterial potencialmente curable, siempre y cuando conlleve una repercusión funcional significativa desde el punto de vista hemodinámico, con la sospecha clínica y el diagnóstico oportuno. 2










nueva página del texto (beta)



