SciELO - Scientific Electronic Library Online

 
vol.35 número1Síndrome de compresión medular como manifestación de un carcinoma de células no pequeñasAngioplastia coronaria percutánea en una mujer nonagenaria índice de autoresíndice de materiabúsqueda de artículos
Home Pagelista alfabética de revistas  

Servicios Personalizados

Revista

Articulo

Indicadores

Links relacionados

  • No hay artículos similaresSimilares en SciELO

Compartir


Medicina interna de México

versión impresa ISSN 0186-4866

Med. interna Méx. vol.35 no.1 Ciudad de México ene./feb. 2019

https://doi.org/10.24245/mim.v35i1.2002 

Casos clínicos

Edema agudo de pulmón por presión negativa secundario a laringoespasmo

Acute lung edema due to negative pressure secondary to laryngospasm

Allan Iván Izaguirre-González1 

Aleida Gisselle Tejada-Valladares1 

Jaime Jahaziel Cordón-Fajardo1 

Karla Auxiliadora Matamoros-Vásquez1 

Pablo David Toro-Amaya2 

1Doctor en Medicina y Cirugía. Facultad de Ciencias Médicas. Universidad Nacional Autónoma de Honduras (UNAH), Tegucigalpa, Honduras

2Internista. Hospital Regional Santa Teresa, Comayagua, Honduras.


Resumen

El edema agudo de pulmón por presión negativa es una forma de edema pulmonar no cardiogénico, potencialmente grave, que suele ocurrir en sujetos sanos jóvenes capaces de generar presiones intratorácicas negativas elevadas al inspirar vigorosamente contra una vía aérea superior obstruida. En adultos la causa más frecuente es el laringoespasmo posextubación en el periodo posoperatorio inmediato. Puede afectar a 0.05-0.1% de los pacientes sanos sometidos a anestesia general. Se comunica el caso de un paciente de 24 años de edad, sin antecedentes patológicos, que acudió al servicio de consulta externa de Cirugía del Hospital Regional Santa Teresa, Comayagua, Honduras, para realizar colecistectomía abierta por colecistitis crónica calculosa agudizada. Se realizó procedimiento quirúrgico sin complicaciones; 15 minutos del periodo posoperatorio inmediato, después de la extubación, el paciente tuvo cuadro clínico de disnea súbita, cianosis y hemoptisis. A la exploración física se encontró hipoxemia, taquipnea (FR = 40 rpm) y crépitos bilaterales en la auscultación. Se realizaron exámenes complementarios y de imagen, concluyendo edema agudo de pulmón. Se inició tratamiento con oxigenoterapia, corticoesteroides y diuréticos durante 72 horas, con lo que evolucionó de forma favorable. Los hallazgos clínicos del edema agudo de pulmón por presión negativa pueden confundirse con una amplia gama de afecciones clínicas, por lo que es de suma importancia realizar el abordaje adecuado y diagnóstico diferencial. El inicio de las medidas terapéuticas oportunas ofrece un pronóstico favorable y generalmente disminución de la mortalidad.

PALABRAS CLAVE: Edema de pulmón por presión negativa; extubación traqueal; laringismo; disnea; cianosis

Abstract

Acute negative pressure pulmonary edema is a form of potentially serious noncardiogenic pulmonary edema that usually occurs in young healthy subjects capable of generating elevated negative intrathoracic pressures by vigorously inhaling a blocked upper airway. In adults, the most frequent cause is postextubation laryngospasm in the immediate postoperative period. It can present in 0.05-0.1% of healthy patients under general anesthesia. This paper reports the case of a 24-year-old male with no pathological history, who was presented to the general surgery service of the Hospital Regional Santa Teresa, Comayagua, Honduras, to perform open cholecystectomy for chronic cholecystitis. The surgical procedure was performed without complications; 15 minutes of the immediate postoperative period, post-extubation, patient presented clinical manifestations of sudden dyspnea, cyanosis and hemoptysis. On physical examination were found hypoxemia, tachypnea (BR = 40 bfm) and bilateral craniocereus on pulmonary auscultation. Complementary tests and image were performed and NPPE was diagnosed. Treatment with oxygen therapy, corticosteroids and diuretics was started, during 72 hours evolving favorably. The clinical findings of the acute negative pressure pulmonary edema can be confused with a wide range of clinical entities, so it is extremely important to carry out an adequate approach and differential diagnosis. The introduction of appropriate therapeutic measures offers a favorable prognosis and generally a wide decrease in mortality.

KEYWORDS: Negative pressure pulmonary edema; Airway extubation; Laryngismus; Dyspnea; Cyanosis

ANTECEDENTES

El edema agudo de pulmón consiste en la acumulación de líquido en el espacio intersticial y alveolar.1 Este trastorno puede manifestarse en el periodo posoperatorio inmediato; puede reflejar eventos cardiacos en el transoperatorio que resultan en edema pulmonar cardiogénico o eventos posoperatorios como aspiración o laringoespasmo y manifestarse como edema pulmonar no cardiogénico.2

La aparición de edema agudo de pulmón secundario a obstrucción de la vía aérea superior, edema agudo pulmonar por presión negativa o edema posobstrucción, denominado así por su mecanismo fisiopatológico, es un hecho comprobado en la bibliografía desde su primera publicación por Oswalt y colaboradores en 1977.3

El edema agudo pulmonar por presión negativa secundario a obstrucción de la vía aérea es una complicación infrecuente; su incidencia no se conoce con precisión, pero la bibliografía estima que entre 0.05 y 0.1% de los pacientes sometidos a anestesia general pueden padecer esta afección secundaria a laringoespasmo; aunque su frecuencia estaría subestimada porque en numerosas ocasiones el diagnóstico puede no establecerse o hacerlo erróneamente.4 Asimismo, se estima que aproximadamente 11% de los pacientes con algún tipo de obstrucción de la vía aérea superior que requieren tratamiento activo para solucionarlo padecen un edema agudo pulmonar por presión negativa.5,6

El edema agudo pulmonar por presión negativa puede manifestarse en un contexto agudo o crónico y se clasifica como tipo I o II. El tipo I se manifiesta inmediatamente después del inicio de la obstrucción aguda de la vía respiratoria superior y se asocia más frecuentemente con laringoespasmo, aunque puede vincularse con otros procesos, como epiglotitis, ahogamiento o estrangulación. El tipo II puede resultar después que se libera la obstrucción crónica de la vía respiratoria superior provocada por grandes amígdalas, adenoides hipertróficas o una úvula redundante.2

Se comunica el caso de un paciente que padeció edema agudo de pulmón asociado con laringoespasmo posextubación en el posoperatorio inmediato de procedimiento quirúrgico (colecistectomía).

CASO CLÍNICO

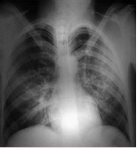
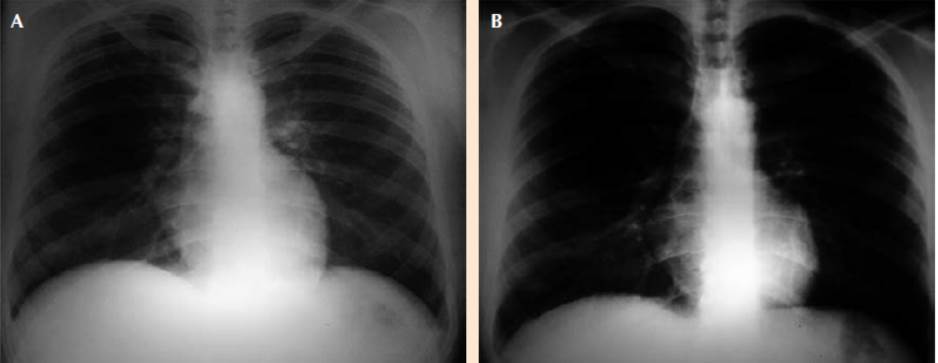
Paciente masculino de 24 años de edad, procedente de área urbana, sin antecedentes patológicos, acudió al servicio de consulta externa de Cirugía del Hospital Regional Santa Teresa, Comayagua, Honduras, con antecedente de dolor abdominal de dos meses de evolución, localizado en el hipocondrio derecho, irradiado a la región escapular ipsilateral, tipo cólico, de intensidad moderada-severa, exacerbado con alimentos grasos, atenuado con analgésicos. Se realizó ultrasonido abdominal que reportó dos litos móviles a la lateralización, con tamaño de 10 x 15 mm en la vesícula, por lo que se ingresó para procedimiento quirúrgico electivo (colecistectomía). Se realizó cirugía dos días después de su ingreso. En el posoperatorio inmediato, quince minutos posextubación, el paciente inició con cuadro clínico de disnea súbita acompañado de hemoptisis, cianosis y alteración del estado de conciencia. Al examen físico se observó Glasgow 13/15, paciente taquipneico (FR = 40 rpm) con evidente dificultad respiratoria, saturación de oxígeno 79%, sin signos de inestabilidad hemodinámica. Mucosa oral húmeda, con restos hemoptoicos; corazón: taquicárdico, sin soplos; a la auscultación pulmonar: abundantes roncus y crepitantes bilaterales, sin áreas de hipoventilación. Los exámenes de laboratorio reportaron leucocitosis, trombocitopenia y acidosis metabólica (Cuadro 1). A su vez, se realizó radiografía posteroanterior de tórax que evidenció infiltrado intersticial bilateral algodonoso, en “alas de mariposa”, característico de edema agudo de pulmón (Figura 1). El tratamiento consistió en apoyo ventilatorio con oxígeno en mascarilla de reservorio a 10 L por minuto, administración de esteroides (metilprednisolona) y diuréticos (furosemida) durante 48 horas con alivio completo del cuadro a las 72 horas del posoperatorio (Figura 2).

Cuadro 1 Hallazgos de laboratorio 

Hallazgo 15 minutos 24 horas 72 horas Valor normal
Glóbulos rojos (x 106/µL) 4.8 4.6 5.0 4.2-5.4
Hemoglobina (g/dL) 14.8 14.7 15.1 12-16
Hematócrito (%) 41.7 42.4 43.3 37-47
Volumen corpuscular medio (fL) 76.1 87.2 86.5 82-92
Hemoglobina corpuscular media (g/dL) 23.8 30.2 30.2 26
Plaquetas (x 103/µL) 121,000 125,000 246,000 150-500
Glóbulos blancos (x 103/µL) 15.3 14.6 9.9 5.2-12.4
Neutrófilos (%) 73.6 35.4 16.4 40-74
Linfocitos (%) 18.7 12.1 27.3 35-45
Glucosa (mg/dL) 84.3 96.5 78 15-37
BUN (mg/dL) 12 22 16 81-234
Creatinina (mg/dL) 1 0.6 0.8 0.2-.5
TSGO (U/L) 29 36 22 0-40
TSGP (U/L) 18.9 25.5 33.3 0-40
pH 7.33 7.35 7.40 7.35-7.45
PCO2 (mmHg) 48.5 - - 35-45
PO2 (mmHg) 20 - - 80-105
HCO3 (mmol/L) 25.8 - - 22-26
Sodio (mmol/L) 136 - - 138-146
Potasio (mmol/L) 3.5 - - 3.5-4.9
Tiempo de tromboplastina (TP) 11 - - 10-15
Tiempo parcial de tromboplastina (TTP) 28 - - 26-35

Figura 1 Radiografía posteroanterior de tórax, paciente en decúbito supino, se observa infiltrado bilateral intersticial algodonoso, en “alas de mariposa”, característico de edema agudo de pulmón. 

Figura 2 A. Radiografía posteroanterior de tórax, paciente con tratamiento inicial de 24 horas, se observa alivio parcial del parénquima pulmonar, con disminución de edema agudo de pulmón. B. Radiografía posteroanterior de tórax 72 horas posterior al tratamiento. Se observa alivio completo del cuadro. 

DISCUSIÓN

El edema agudo de pulmón por presión negativa, también conocido como edema agudo pulmonar posobstructivo, es una complicación anestésica rara pero potencialmente mortal y se considera una urgencia médica que requiere diagnóstico tratamiento tempranos.4,7 Su etiopatogenia es multifactorial, aunque la resultante es un edema agudo pulmonar no cardiogénico.8 El mecanismo fisiopatológico exacto por el que la obstrucción de la vía aérea superior secundaria a laringoespasmo precipita el edema agudo pulmonar no se conoce con certeza. El mecanismo predominante es la marcada transmisión de presión negativa intrapleural en el lecho capilar pulmonar. Esto da como resultado trasudación de líquido del lecho capilar pulmonar al intersticio. La acumulación del líquido es muy rápida, por lo que el sistema linfático no es capaz de drenar el líquido del espacio intersticial. Al final, este proceso resulta en un cuadro clínico de edema intersticial y alveolar (Figura 3).2 La obstrucción de la vía aérea superior usualmente se debe a laringoespasmo, pero también puede ser causada por epiglotitis, parálisis bilateral de las cuerdas vocales, acromegalia, bocio y obstrucción del tubo endotraqueal. Existen factores de riesgo asociados con el edema agudo pulmonar por presión negativa, como la intubación difícil, la existencia de un cuello corto, la obesidad, el síndrome de apnea obstructiva del sueño, la acromegalia, la cirugía del tubo aéreo-digestivo y corta edad con gran masa muscular, infecciones recientes de las vías respiratorias superiores, sexo masculino, edad joven, tos seca y antecedente de enfermedad reactiva de las vías respiratorias.4,9

Fuente: referencia2.

Figura 3 Secuencia de eventos de edema agudo del pulmón secundario a laringoespasmo. 

La manifestación suele ser variable porque no existe relación directa entre la severidad de los síntomas y el grado de obstrucción de la vía aérea.4,8 Puede variar desde formas leves con desaturación hasta cuadros severos de hemorragia alveolar e hipoxia marcada.10 En general, el cuadro clínico se manifiesta con inicio súbito de disnea, taquipnea, cianosis, expectoración sanguinolenta o hemoptisis, que se debe a hemorragia alveolar por lesión capilar o por ruptura de vasos bronquiales; la auscultación pulmonar puede revelar crepitantes bilaterales. 8,10 Los signos de dificultad respiratoria se manifiestan junto con disminución en la saturación de oxígeno y la incapacidad para mantener la saturación de oxígeno superior a 95%.11

El cuadro clínico suele manifestarse en el posoperatorio inmediato después de la extubación, aunque se han informado casos tardíos de incluso algunas horas después del procedimiento quirúrgico. 4,7 En contraste con estos datos, el paciente padeció el cuadro durante el periodo posoperatorio inmediato. Además, tuvo datos clínicos floridos, lo que indujo la sospecha clínica y facilitó el diagnóstico.

Respecto a los estudios de laboratorio la gasometría arterial puede ser normal o mostrar acidosis respiratoria aguda.9 Los hallazgos radiológicos usualmente muestran infiltrados intersticiales y alveolares bilaterales,9,11 lo que concuerda con el hallazgo reportado en la radiografía de tórax del paciente.

El diagnóstico de edema agudo pulmonar por presión negativa se establece generalmente en la base de un antecedente de un incidente precipitante, el cuadro clínico y los signos radiológicos encontrados. Además, antes de establecer el diagnóstico deben descartarse otras causas de insuficiencia respiratoria posoperatoria.12 El diagnóstico diferencial incluye: neumonitis por aspiración (es de aparición tardía y muestra infiltrado localizado), sobrecarga de volumen, anafilaxia (antecedente de atopia conocida o reacción cutánea típica), edema pulmonar cardiogénico (alteración electrocardiográfica, valvulopatías previas), edema pulmonar neurogénico (habitualmente en pacientes neuroquirúrgicos o con lesiones encefálicas), síndrome de Mendelson, embolia pulmonar, hemorragia alveolar difusa y síndrome de dificultad respiratoria aguda.10,13

El tratamiento del edema agudo pulmonar por presión negativa varía desde oxigenoterapia no invasiva, restricción de fluidos endovenosos, hasta ventilación mecánica invasiva con presión positiva.14 El tratamiento médico es todavía controvertido, se prescriben con frecuencia diuréticos en dosis moderadas y corticoesteroides sistémicos.15 En la mayoría de los casos el edema agudo pulmonar por presión negativa se alivia en 12 a 24 horas con diagnóstico y tratamiento tempranos.16 Sin embargo, cuando se retrasa el diagnóstico, los pacientes tienen tasas de mortalidad que van desde 11 hasta 40%.6 La evolución del paciente fue favorable, con mejoría en las primeras 24 horas de iniciado el tratamiento y se alivió a las 72 horas posteriores a la cirugía.

CONCLUSIÓN

Aunque el edema agudo pulmonar por presión negativa es una complicación de baja incidencia en la práctica clínica diaria, es muy importante tener presente o sospechar esta afección en pacientes sanos y jóvenes con hipoxemia inexplicable tras cualquier tipo de intervención quirúrgica; porque el rápido diagnóstico de este padecimiento es clave para iniciar el tratamiento de manera temprana y así permitir la pronta recuperación y disminución de la morbilidad y mortalidad relacionadas con ella.

REFERENCIAS

1. Caballero Eraso C, Jara Palomares C. Algorítmo de diagnóstico y tratamiento en el edema agudo de pulmón. Rev Esp Patol Torac 2012;24(2):186-194. [ Links ]

2. Carrillo Esper R, Ortiz Montaño Y, Peña Pérez CA. Edema agudo pulmonar postextubación secundario a laringoespasmo. Rev Mex Anest 2012;35(3):200-202. [ Links ]

3. Alonso Salas MT, Cano Franco J, Cervantes Chirino D, Taguas Casaño M, Sánchez Fernández N, Carranza Conde M, et al. Edema pulmonar agudo por presion negativa en postoperatorio. An Pediatr 2007;67(1):89-110. [ Links ]

4. Cardona Rodríguez A, Dieguez García P, Velo García A, López Álvarez S, Pensado Castiñeiras A. Edema agudo de pulmón postobstructivo en colecistectomía laparoscópica. Cir May Amb 2013;18(1):37-39. [ Links ]

5. Rodríguez Losada M, Tato Arias MR, López Piñeiro S, Moreno López E. Hemorragia pulmonar en un edema pulmonar por presión negativa. Rev Esp Anestesiol Reanim 2009;56:59-60. [ Links ]

6. Hernández Palacios A, Arguello López M, Navarro Vargas J. Edema agudo de pulmón por presión negativa luego de retirar la máscara laríngea. Rev Cuba Anestesiol Reanim 2016;15(1). [citado 2017-03-11], pp. 0-0 . Disponible en: <http://scielo.sld.cu/scielo.php?script=sci_arttext&pid=S1726-67182016000100010&lng=es&nrm=iso>. ISSN 1726-6718. [ Links ]

7. Navarro Sánchez G, Navarrete Zuazo V, Domloge Fernández J, Portilles Félix A, Hernández Solar A. Edema pulmonar por presión negativa en el paciente obeso mórbido: a propósito de un caso. Rev Cuba Anestesiol Reanim 2010;9(2):69-74. [ Links ]

8. García de Hombre A, Cuffini A, Bonadeo A. Edema pulmonar por presión negativa tras septoplastia. Acta Otorrinolaringol Esp 2013;64(4):300-302. [ Links ]

9. Al Ghofaily L, Simmons C, Chen L, Liu R. Negative pressure pulmonary edema after laryngospasm: a revisit with a case report. J Anesth Clin Res 2012;3(10). [ Links ]

10. Rodríguez Cascante D. Edema pulmonar post-obstructivo (POPE). Rev Med Costa Rica y CentroAmer 2014;611:615-619. [ Links ]

11. Callisaya Y, Nina E, Fernández A. Hemorragia aguda de pulmón post-obstructiva. Scientífica 2014;12(1). [ Links ]

12. Criollo Muñoz FH, Espinosa Espinoza JJ. Edema pulmonar agudo posoperatorio de presión negativa. Rev Esp Méd Quir 2014;19:489-493. [ Links ]

13. Cruz L, Alvarado F. Edema Pulmonar por Presión Negativa. Reporte de Caso. Rev Medic Intern Guatem 2015 Enero;19(1):49-51. [ Links ]

14. Bouhabba N, Bensghir M, Fjouji S, Azendour H, Haimeur C. L’oedème aigue post chirurgical: complication redoutable. Pan African Medical J 2015;20:229. [ Links ]

15. Kamlesh Mehta K, Qureshi Ahmad S, Shah V, Lee H. Postobstructive pulmonary edema after biopsy of a na-sopharyngeal mass. Respir Med Case Rep 2015;16:166-168. [ Links ]

16 Bhaskar B, Fraser JF. Negative pressure pulmonary edema revisited: Pathophysiology and review of management. Saudi J Anaesth 2011;5(3):308-313. [ Links ]

Este artículo debe citarse como

Izaguirre-González AI, Tejada-Valladares AG, Cordón-Fajardo JJ, Matamoros-Vásquez KA, Toro-Amaya PD. Edema agudo de pulmón por presión negativa secundario a laringoespasmo. Med Int Méx. 2019 enero-febrero;35(1):159-164. https://doi.org/10.24245/mim.v35i1.2002

Recibido: 11 de Febrero de 2018; Aprobado: 09 de Mayo de 2018

Correspondencia: Allan Iván Izaguirre González a1_izaguirre@hotmail.com

Creative Commons License Este es un artículo publicado en acceso abierto bajo una licencia Creative Commons