ANTECEDENTES
La enfermedad de Kikuchi-Fujimoto, también conocida como linfadenitis histiocítica necrotizante, es un padecimiento poco frecuente, probablemente asociado con el infradiagnóstico del mismo, de características benignas, de alivio espontáneo y de buen pronóstico.1 Fue descrito en Japón en 1972 en la revista de la Sociedad Japonesa de Hematología por el Dr. Mashiro Kikuchi, y en el mismo mes el Dr. Fujimoto la describió en otra revista japonesa como linfadenitis necrotizante con proliferación reticular, histiocitos y abundantes restos nucleares de origen desconocido.2
La prevalencia de la enfermedad de Kikuchi-Fujimoto es mayor en asiáticos, particularmente japoneses, afecta primordialmente a gente joven entre 20 y 30 años de edad, con promedio de edad de 21 años.1 Tiene predilección por las mujeres con relación 1:2; sin embargo, en estudios más recientes se ha documentado una relación 1:1 entre hombres:mujeres en edades menores a 12 años.3 Los pacientes habitualmente acuden a valoración por padecer un cuadro caracterizado por linfadenopatía cervical dolorosa aguda, fiebre de bajo grado y diaforesis nocturna.2
Se comunica el caso de una paciente con enfermedad de Kikuchi-Fujimoto que fue diagnosticada en el Hospital Ángeles Pedregal de la Ciudad de México. Se describe su curso clínico, datos de laboratorio, evaluación por imagen y técnica quirúrgica y se discuten los resultados patológicos, diagnóstico diferencial, tratamiento y pronóstico de esta enfermedad.
CASO CLÍNICO
Paciente femenina de 37 años originaria de Veracruz, residente de la Ciudad de México, con los siguientes antecedentes de importancia: alérgica a penicilina y AINES, antecedente de colitis espástica y migraña sin aura, ingesta actual de medicamentos: trimebutina, clonixinato de lisina y ácido acetil salicílico por razón necesaria.
Acudió a consulta por padecer un cuadro de 20 días de evolución caracterizado por aumento de volumen y dolor a nivel de la cadena ganglionar cervical izquierda, tipo eléctrico, intensidad 6/10, con irradiación a la hemicara ipsilateral, sin exacerbantes, que no disminuyó tras la ingesta de levofloxacino y nimesulida indicado en forma empírica; el cuadro se acompañaba de astenia, adinamia y fatiga, además de fiebre no cuantificada de predominio nocturno y diaforesis profusa.
Signos vitales: presión arterial 100/80 mmHg, frecuencia cardiaca 96 lpm, frecuencia respiratoria 20 rpm, temperatura 36°C, peso 56 kg, talla 1.54 cm, IMC 23.62. A la exploración física destacó en el cuello aumento de volumen a nivel de la cadena ganglionar cervical izquierda, se palparon nódulos linfáticos a nivel submandibular y cervical bilateral de predominio izquierdo de 5 cm aproximadamente, así como a nivel axilar bilateral, de consistencia dura no adherida a planos profundos, doloroso a la palpación y con aumento de temperatura, no se palparon otras megalias.
Tras estos hallazgos se decidió su internamiento para estudio; se solicitaron estudios complementarios en los que destacaron leucocitos 5.2 (neutrófilos 52, linfocitos 34, monocitos 13), beta 2 microglobulina 2,706, perfil TORCH negativo, anti-Epstein-Barr únicamente positivo, anti-antígeno capsular IgG > 400, anti-antígeno nuclear IgG reactivo > 800, complemento CH50 56 U/mL, fracción C3 de complemento 111.5 mg/dL, fracción C4 de complemento 32.2 mg/dL, anti-CCP < 0.5 U/mL, perfil ENA negativo, anti-ADN nativo negativo, anti VIH I/II negativo.
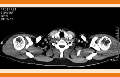
LA TAC de cuello y tórax simple y con contraste IV reportó ganglios de tipo inflamatorio en la región III y supraclavicular izquierdo y ganglios de tipo inflamatorio en la región axilar bilateral (Figuras 1 y 2). Durante su estancia intrahospitalaria tuvo fiebre de 38.3°C que cedió tras la administración de metamizol 1 g, se tomaron muestras de hemocultivo por punción directa que a los siete días de incubación se reportaron negativos.

Figura 1 Tomografía axial computada de cuello con contraste. En la cadena yugular anterior se observan imágenes redondas y ovoides bilaterales que miden entre 2 y 4 mm en su diámetro mayor y en la región supraclavicular izquierda se observa imagen ovoide hipodensa con hilio graso que mide 13 mm en su diámetro mayor.

Figura 2 Tomografía axial computada de tórax con contraste. Los tejidos blandos muestran imágenes ovoides hipodensas con hilio graso en ambas regiones axilares.
Al segundo día de estancia intrahospitalaria se realizó, bajo anestesia general balanceada, exploración de nivel II de cuello izquierdo con toma de biopsia por escisión de ganglio de cuello, con duración de 45 min, sangrado mínimo, sin complicaciones. Se reportó en el transoperatorio: ganglio linfático con pérdida de la arquitectura, microabscesos piógenos y necrosis de aspecto reactivo inflamatorio.
En el análisis macroscópico del espécimen se identificó ganglio linfático de configuración anatómica nodular con cápsula integra marrón clara parcialmente con tejido adiposo firmemente adherido a la superficie, de consistencia ahulada, que medía 1.2x0.9x0.9 cm. Al corte era heterogéneo con áreas marrón claras de consistencia ahulada, alternando con áreas marrón oscuro congestivo de consistencia friable.
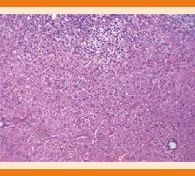
En el análisis interpretativo del espécimen se identificó órgano como ganglio linfático parcialmente sustituido por necrosis coagulativa correspondiente aproximadamente a 70% de la superficie total (Figura 3), dentro del área necrótica se identificaron detritos celulares, inmunoblastos, histiocitos y escasos polimorfonucleares (Figuras 4 y 5). El resto del parénquima ganglionar residual, principalmente en el área paracortical, se encontró con abundantes macrófagos con cuerpos teñibles que adoptaban un patrón denominado en "cielo estrellado" (Figura 6).

Figura 3 Ganglio linfático con necrosis, predominantemente en el área central (hematoxilina-eosina, 4x).

Figura 5 Necrosis con detritos celulares, inmunoblastos, histiocitos y escasos polimorfonucleares (hematoxilina-eosina, 10x).

Figura 6 Área paracortical de ganglio linfático con abundantes macrófagos con cuerpos teñibles (hematoxilina-eosina, 10x).
Se decidió realizar reacciones de inmunohistoquímica e hibridación in situ (Cuadro 1), además de histoquímica (Cuadro 2), para complementar el estudio histopatológico; en las que se descartó proceso linfoproliferativo y enfermedad infecciosa. Las tinciones para BAAR y hongos fueron negativas, los cultivos de aerobios, anaerobios y hongos fueron negativos.

Cuadro 1 Listado de reacciones de inmunohistoquímica e hibridación in situ realizadas en el ganglio linfático cervical
Se estableció el diagnostico de linfadenitis histiocítica necrotizante con hiperplasia para-cortical de inmunoblastos reactivos, por lo que los hallazgos histopatológicos en conjunto con los datos clínicos concluyeron el diagnóstico de enfermedad de Kikuchi-Fujimoto.
DISCUSIÓN
La enfermedad de Kikuchi-Fujimoto es rara, de curso natural y alivio espontáneo, con duración que varía entre uno y cuatro meses, con recurrencia en 3 a 4%.4 No se conoce la causa de la enfermedad, pero se han descrito en la bibliografía dos principales hipótesis: infecciosa y autoinmunitaria.2
La hipótesis infecciosa se ha sustentado en los hallazgos patológicos: histiocitos reactivos e inclusiones túbulo-reticulares identificados bajo microscopia electrónica, además de elevación de anticuerpos contra un antígeno.5 Se ha estudiado la asociación de cuatro virus con la enfermedad de Kikuchi-Fujimoto: Epstein-Barr (VEB), virus simple y tipos 6, 7 y 8, VIH, linfotrópico humano T (VLHT-1) y parvovirus B19. De éstos, el virus de Epstein-Barr se ha detectado mediante pruebas de PCR en tiempo real en las áreas de necrosis de los ganglios linfáticos en los casos revisados con diagnóstico de enfermedad de Kikuchi-Fujimoto, lo que sugiere que la enfermedad puede ser resultado de una reacción hiperinmunitaria contra la infección por VEB; sin embargo, el resultado de los estudios en búsqueda de un agente causal son inconsistentes, por lo que no puede determinarse la infección viral como causa de la enfermedad.3
La hipótesis autoinmunitaria se basa en la relación que se ha encontrado entre los pacientes con enfermedad de Kikuchi-Fujimoto y enfermedades autoinmunitarias, la principal es el lupus eritematoso sistémico y, en menor proporción, el síndrome de Sjögren, enfermedad de Still, polimiositis, artritis reumatoide, tiroiditis y vasculitis leucocitoclástica. Se cree que la enfermedad de Kikuchi-Fujimoto antecede la aparición del lupus eritematoso sistémico, o puede ser la evolución de la misma, pero existe controversia si en realidad los pacientes tienen diagnóstico de linfadenitis lúpica o si se trata de una coincidencia el diagnóstico simultáneo de las dos enfermedades, por lo que se requieren mayores estudios para llegar a una conclusión definitiva.3
Aún no se ha logrado comprender las vías moleculares implicadas, los avances que se tienen al momento sugieren que las vías de interferón g e interleucina 18 y las inmunoglobulinas (MIG) de membrana juegan un papel fundamental en la apoptosis asociada con la enfermedad de Kikuchi-Fujimoto.6,7
La forma de manifestación incluye linfadenopatía (70-80%)8 dolorosa, sólida y móvil, unilateral, situada en la cadena ganglionar yugular y en el triángulo cervical posterior, aunque allí pueda ser linfadenopatía difusa generalizada; otros sitios de linfadenopatía señalados en la bibliografía son intraparotídea, celiacos, axilares, supraclaviculares, mediastínicos, inguinales, peripancreáticos y retroperitoneales.9 Las linfadenopatías habitualmente miden menos de 3 cm, pero el intervalo varía entre 0.5 y 6 cm.10,11 La fiebre es otra manifestación importante de la enfermedad reportada en 30 a 40%, asociada con síntomas menos específicos que incluyen diaforesis nocturna, pérdida de peso (5-9%), cefalea, fatiga, náusea y artralgias.12
La implicación extranodal es poco frecuente; sin embargo, en algunas revisiones se comenta una afección de piel en 30%, lo que indica una manifestación clínica más severa, se caracteriza por erupciones acneiformes, eritema facial, placas eritematosas endurecidas, púrpura y nódulos;13 también se ha señalado afección ocular con edema palpebral como principal manifestación.14
El diagnóstico es complejo dadas las características clínicas inespecíficas. Los estudios de laboratorio son inespecíficos y no establecen diagnóstico de la enfermedad y el hecho de encontrarlos negativos tampoco la excluye. De los principales hallazgos en la biometría hemática podemos encontrar, incluso en 23 a 58%, leucopenia leve, elevación de reactantes de fase aguda PCR y VSG y, menos comúnmente, elevación de deshidrogenasa láctica, transaminasemia y disminución de complemento 3.14
Los estudios de imagen (tomografía axial computada, imagen por resonancia magnética, tomografía computada por emisión de positrones) tampoco proveen un diagnóstico concluyente. Los hallazgos que se han relacionado con la enfermedad en tomografía incluyen: linfadenopatía múltiple homogénea que incluye niveles II a V, 94% son menores a 2.5 cm, con infiltración periganglionar y necrosis.15
La única forma de establecer el diagnóstico es mediante el estudio histológico de un ganglio extraído por biopsia por escisión. La incidencia de hallazgos histopatológicos de la enfermedad de Kikuchi-Fujimoto varía en la bibliografía, pero se ha reportado en 0.8% de las biopsias por linfadenopatías periféricas.16
Los datos histológicos característicos incluyen necrosis coagulativa con abundantes restos de cariorrexis en zonas paracorticales de los ganglios linfáticos afectados. Existe un leve predominio de linfocitos CD8+ e infiltrados linfohistiocitarios. El inmunofenotipo se compone de linfocitos T maduros CD8 (+) y CD4 (+), los linfocitos y los histiocitos tienen altas tasas de apoptosis. Hay relativamente pocas células B y las células naturales asesinas (NK) están presentes. En la inmunohistoquímica se encuentra positivo el anticuerpo monoclonal Ki-M1P, no así en linfoma maligno, uno de los diagnósticos diferenciales.17
En otro artículo se comenta la existencia de tres etapas histológicas de la enfermedad; la primera etapa, denominada proliferativa, se caracteriza por la expresión de diversas células (histiocitos, monocitos y células linfoides que contienen fragmentos nucleares). La segunda etapa es la necrotizante, se caracteriza por necrosis coagulativa y la tercera etapa, llamada xantomatosa, se satura de histiocitos espumosos.18
La lista de diagnósticos diferenciales de la enfermedad de Kikuchi-Fujimoto es muy amplia, entre los principales incluyen: linfoma, lupus eritematoso sistémico, tuberculosis, mononucleosis infecciosa, toxoplasmosis, VIH, Bartonella henselae, enfermedad de Kawasaki, sarcoidosis, herpes simple y sífilis.14 En nuestro caso, los primeros dos agentes se descartaron por reacción de inmunohistoquímica e hibridación in situ.
Hasta la fecha no existen guías de tratamiento de la enfermedad y las recomendaciones actuales se basan en reportes de casos. Dadas las características del curso benigno y de alivio espontáneo de la enfermedad, la vigilancia y la administración de antipiréticos y antiinflamatorios son la base del tratamiento.19
En algunas ocasiones, cuando los pacientes tienen manifestaciones extranodales o forma complicada de la enfermedad de Kikuchi-Fujimoto se han administrado glucocorticoides sistémicos, hidroxicloroquina o ambos con alivio del cuadro. Entre los glucocorticoides sistémicos se ha prescrito metilprednisolona; no está establecido ni la dosis ni el tiempo de duración del tratamiento, se han prescrito dosis de 0.5 a 1 g/kg/día durante tres hasta ocho días, e hidroxicloroquina 200 mg dos veces al día durante 14 días.19-22
La recurrencia de la enfermedad comentada en la mayor parte de los artículos consultados es de 3 a 4%; sin embargo, se reporta incluso 15% de recurrencia, en un tiempo de hasta ocho años del diagnóstico de la enfermedad, por lo que se requiere seguimiento a largo plazo, sobre todo por la relación que guarda la enfermedad con otras reumatológicas.23
En muy raras ocasiones (0.5 a 2%) la enfermedad de Kikuchi-Fujimoto ha resultado fatal y ha sido secundario a infiltración del miocardio, complicaciones por trombocitopenia (hemorragia cerebral) y por asociación con lupus eritematoso y síndrome hemofagocítico.19










nueva página del texto (beta)




