Los nematodos del género Meloidogyne son conocidos por su habilidad para producir cambios fisiológicos en el sistema radicular de las plantas y causar pérdidas en la absorción de nutrientes afectando su crecimiento (enanismo) y su producción (Wishart et al., 2002). Sin embargo, los efectos de los nematodos sobre los cultivos son subestimados por agricultores y técnicos agrícolas debido a los síntomas no específicos, que suelen confundirse con desórdenes nutrimentales, estrés hídrico, problemas de fertilidad del suelo, y con otras infecciones secundarias inducidas por hongos y bacterias, cuya entrada suele estar facilitada por la acción del nematodo. Según Zuckerman et al. (1990), los nematodos parásitos de plantas reducen la producción agrícola mundial entre 12 y 20%. Aunque existen al menos 70 especies descritas de nematodos formadores de nódulos de la raíz, la atención taxonómica se ha enfocado en seis (Meloidogyne incognita Kofoid & White, 1919, M. javanica Treub, 1885, M. arenaria Neal, 1889, M. chitwoodi Golden et al., 1980, M. fallax Karssen, 1996 y M. hapla Chitwood, 1949) ya que están asociadas típicamente con plantas agronómicamente importantes (Adam et al., 2007). Para la identificación de especies y poblaciones de Meloidogyne se han aplicado varios métodos aunque todos tienen sus limitaciones (Zijlstra et al., 1995). Es importante determinar la composición de especies de Meloidogyne en cultivos con el propósito de introducir estrategias de control no químicas, como la rotación de cultivares resistentes y plantas alelopáticas (Cenis, 1993; Orui, 1998). La identificación de especies de Meloidogyne está basada en la morfología de las hembras adultas (Eisenback et al., 1981) y la gama de hospedantes (Williamson et al., 1997), siendo difícil la identificación para machos y hembras juveniles de segundo estadio (J2). También se utiliza el análisis de isoenzimas, donde la comparación de patrones de esterasa muestran gran consistencia en la separación de las cuatro especies de mayor distribución en el mundo, sin embargo, no detecta variación intraespecífica entre nematodos de Meloidogyne (Volvas et al., 2005). Los diagnósticos basados en ADN proveen atractivas soluciones a los problemas asociados con estos métodos de identificación, ya que son independientes tanto de los productos expresados del genoma como de la influencia del ambiente y el estadio de los nematodos (Wishart et al., 2002; Powers, 2004). La mayoría de los análisis de ADN dirigidos a nematodos formadores de agallas usan ADN total (genómico y mitocontrial [ADNmt]) o ADNmt y son predominantemente a través de Polimorfismos de Longitud de Fragmentos de Restricción (RFLPs por sus siglas en inglés) (Zijlstra et al., 1995; Orui, 1998; Powers, 2004). La comparación de secuencias de regiones espaciadoras transcritas internas (ITS, por sus siglas en ingles) de AND ribosomal (ADNr) es usada en taxonomía, ya que tiene un alto grado de polimorfismo entre especies estrechamente relacionadas y es prácticamente constante para una especie específica. Además las regiones ITS son flanqueadas por secuencias conservadas que facilitan el diseño de iniciadores para su amplificación por la reacción en cadena de la polimerasa (PCR por sus siglas en inglés).
El objetivo de este estudio fue determinar si las regiones espaciadoras transcritas (ITS) internas de ADNr pueden usarse como marcadores genéticos para la identificación confiable de poblaciones de hembras y machos juveniles J2 para las principales especies del género Meloidogyne.
Materiales y métodos
Material biológico
Los juveniles J2 de Meloidogyne se obtuvieron usando la técnica del embudo de Baermann (Agrios, 2005) de raíces de plantas agalladas de tomate (Solanum lycopersicum), un cultivo ubicado en San Nicolás de los Garza Nuevo León, proporcionadas por el Departamento de Fitopatología de la Facultad de Ciencias Biológicas de la Universidad Autónoma de Nuevo León, e identificadas como género Meloidogyne por claves taxonómicas para la identificación de nematodos parásitos de plantas (Zuckerman et al., 1990).
Identificación del nematodo
El ADN genómico se aisló de 5000 nematodos (J2) usando una lisis con detergentes seguido por una extracción con fenol-cloroformo-alcohol isoamílico (Sambrook y Russell, 2001). Los especímenes se recolectaron por centrifugación a 16,000 g por 5 min, y el pellet se resuspendió en 200 µL de amortiguador lisis TSNT (2 % Tritón X-100, 1 % SDS, 100 mM NaCl, 10 mM Tris-HCl y 1 mM EDTA, pH 8), 500 µL de fenol saturado con Tris-HCl y 100 µL de una mezcla cloroformo: alcohol isoamílico (24:1). La suspensión se mezcló en vortex por 5 min y se agregaron 200 µL de amortiguador TE 1X (10 mM Tris-HCl y 1 mM EDTA, pH 8.0); las fases se separaron por centrifugación a 16,000 g por 10 min y el ADN se precipitó de la fase acuosa con etanol puro. Los pellets de ADN se secaron a temperatura ambiente por 10 min y resuspendieron en 48 µL de amortiguador TE, 2 µL de 2 µg µL-1 RNasa y cuantificaron por densitometría en geles de agarosa teñidos con solución GelRed 1X (Biotium, Hayward, CA) usando el sistema EDAS 290 y el programa Kodak Digital Scince 1D (Eastman Kodak Company, Rochester, New York).
Un fragmento ADNr fue amplificado por PCR usando el iniciador ITS1 (5´-TTGAACCGGGCAAAAGTCG-3´) y el iniciador ITS2 (5´-TTAGTTTCTTTTCCTCCGCT-3´) dirigidos a las regiones 3´ y 5´ del ADNr 18S y 28S, respectivamente (Stock et al., 2001; Meza-García et al., 2014). La PCR se realizó en un termociclador TC020-24 MultiGene Mini (Labnet Iternational, Inc., Edison, NJ) en un volumen final de 25 µL conteniendo 1X buffer GoTaq PCR (Promega, Madison, WI), 200 ng de ADN genómico, 200 µM de cada dNTPs, 0.5 µM de cada iniciador, agua estéril y 1 U de GoTaq DNA polimerasa (Promega, Madison, WI). Se usó un programa de amplificación de 32 ciclos: 94 °C por 30 s, 60 °C por 30 s y 72 °C por 75 s, con una primera etapa de desnaturalización de 94 °C por 3 min y una etapa final de elongación de 72 °C por 5 min. Un plásmido que contiene un fragmento de regiones ITS de Heterorhabditis indica Poinar, Karunakar & David 1992, (pGEMITSLZO), se usó como testigo positivo de la PCR y como negativo los componentes de la mezcla de PCR sin ADN. Los productos de la PCR se analizaron en un gel de electroforesis de agarosa 2.5 % teñido con solución GelRed 1X, usando una unidad de electroforesis horizontal MSMUNIDUO (Sigma-Aldrich Co., St. Louis, MO), 100 volts por 60 min, y el producto del amplificado se clonó en el vector pGEM(r)-T (Promega), siguiendo las instrucciones del fabricante. La mezcla de la ligación se usó para transformar células de Escherichia coli DH5α, las células transformadas se seleccionaron por una prueba azul-blanco en placas de agar LB con ampicilina (100 µg mL-1), 100 µL IPTG (isopropil-β-D-1-tiogalactopiranósido) (2 mg mL-1). Las colonias resultantes de las células transformados se analizaron para detectar la presencia del ADN plasmídico mediante una extracción por lisis alcalina y en un gel de agarosa 0.8 % teñido con solución GelRed 1X. Además, la correcta inserción del producto amplificado en el vector pGEM(r)-T se confirmó por PCR usando los iniciadores ITS1 y ITS2, tal como se describió anteriormente.
Los seis plásmidos positivos por PCR de diferentes colonias de E. coli se secuenciaron usando los iniciadores T7 y SP6 (Promega) y un analizador genético ABI Prism 310 (Applied Biosystems, Foster City, CA) en la Unidad de Biología Molecular del Instituto de Fisiología Celular de la Universidad Autónoma de México (UNAM).
Las secuencias T7 y SP6 (12 secuencias en total) se alinearon usando el módulo Contig Assembly Program del programa BioEdit v7.0.8.0 (Hall, 1999) y la secuencia consenso se comparó con secuencias nucleotídicas en bases de datos usando la herramienta nucleotide BLAST (BLASTn) del Centro Nacional de Información sobre Biotecnología (NCBI). El género y especie del organismo con la secuencia nucleotídica de mayor identidad a la secuencia consenso se consideró como el género y especie del nematodo analizado.
Resultados y discusión
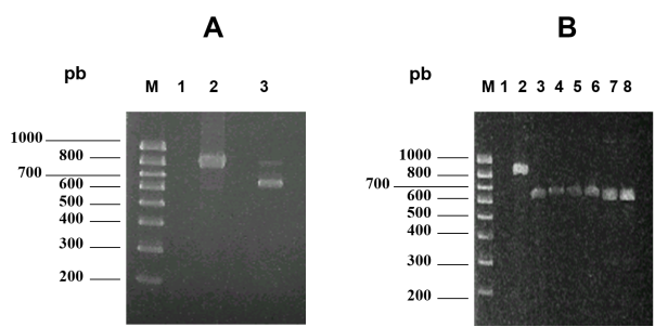
El método de extracción de ADN produjo 25 µg de ADN genómico de alta calidad (DO260/DO280 1.9) sin aparente degradación. El análisis en gel de agarosa para el producto amplificado por PCR de ADN genómico mostró una banda 608 pb y mientras que para el control positivo (H. indica) se obtuvo una banda de 890 pb (Figura 1A). Del mismo modo, el análisis de PCR de 6 plásmidos de diferentes colonias de E. coli transformadas confirmó la presencia del fragmento de ADNr dentro de los plásmidos extraídos (Figura 1B).

Figura 1 Productos de amplificación por PCR a partir de ADN genómico de nematodos juveniles (A) o varios plásmidos de diferentes colonias de E. coli transformadas (B). En A: Carril M, marcador de tamaño molecular Hyperlader IV (Bioline, London, UK); carril 1, control negativo; carril 2, control positivo (pGEMITSLZO); carril 3, el producto amplificado de 608 pb. En B: Carril M, marcador de tamaño molecular Hyperlader IV (Bioline, London, UK); carril 1, control negativo; carril 2, control positivo (pGEMITSLZO); carriles 3-8, plásmidos de diferentes transformantes (608 pb).
Los 66 porcentajes de identidad (matriz de identidad BioEdit) por pares de las 12 secuencias nucleotídicas (secuencias T7 y SP6 de los 6 plásmidos secuenciados) oscilaron entre 99.6 y 100 %, lo cual permitió calcular una secuencia consenso. Además, la secuencia nucleotídica consenso presentó una identidad del 99.8 % (2 diferencias, una generada por el oligonucleótido ITS1) con una región ADNr de M. incognita (Figura 2) que incluye la región 3´ de 18S, el espaciador transcrito interno 1, la region 5.8S, el espaciador transcrito interno 2 y una parte de la región y 5´ 28S. Por tanto, el nematodo desconocido fue identificado como Meloidogyne incognita, confirmando la presencia de esta especie en el estado de Nuevo León (México).

Figura 2 Análisis BLASTn de la secuencia consenso de un fragmento de ADNr de nematodos juveniles amplificada por PCR (Query), que muestra el alineamiento con una secuencia de ADNr de M. incognita (Sbjct), código de GenBank AY438556.
En México, la Secretaría de Agricultura, Ganadería, Desarrollo Rural, Pesca y Alimentación (SAGARPA) reportó la presencia del nematode M. incognita, la cual es una plaga importante para el estado de Nuevo León (SENASICA-CNRF-Departamento de Análisis de Riesgo de Plagas 2012). Comunmente, las especies de nematodos del género Meloidogyne son identificados por claves taxonómicas de acuerdo con las características morfológicas observadas bajo el microscopio (Powers, 2004). Los criterios morfológicos representan un problema debido a la variabilidad y la necesidad de personal con experiencia para lograr una identificación fiable de la especie (Williamson et al., 1997). La identificación de Meloidogyne spp. se basa en la morfología de las hembras adultas (Eisenback et al., 1981). Sin embargo, un método rápido para la identificación de nematodos en la etapa J2 podría mejorar las decisiones para el manejo óptimo de los cultivos infectados (Powers y Harris, 1993).
En este trabajo, se logró la identificación de una especie de nematodo fitoparásito de raíz usando la secuencia de regiones ITS de ADNr. El protocolo utilizado facilita la identificación o confirmación de las especies, evitando la dependencia de personal experimentado para la correcta identificación de los nematodos por el uso de claves taxonómicas.
Otros métodos de extracción de ADN usados para el ADN genómico a partir de los nematodos fitoparásitos, incluyen una ruptura del tejido celular por presión (Powers y Harris, 1993), el uso de soluciones de lisis con proteinasa K (Williamson et al., 1997), y la extracción de ADN con fenol-cloroformo seguido de precipitación con etanol (Williamson et al., 1997) o isopropanol (Blok et al., 1997). En este trabajo se usó buffer TSNT como solución de lisis y el fenol-cloroformo-alcohol isoamílico para la extracción de ADN. Este método permitió obtener ADN genómico de alta calidad suficiente para llevar a cabo la amplificación por PCR de las regiones ITS del ADNr.
La CDFA (Departamento de Alimentos y Agricultura de California, EE.UU.) incluye el uso de métodos moleculares en sus protocolos para la identificación de los géneros y especies de diferentes nematodos parásitos de las plantas, como polimorfismo de longitud de fragmentos de restricción de productos amplificados (PCR-RFLP) (Dong, 2007). Actualmente en la base de datos GenBank se encuentran 5238 secuencias de regiones ITS de nematodos, de estas secuencias 139 corresponden a nematodos del género Meloidogyne. Por lo tanto, la secuenciación de regiones ITS de nematodos problemáticos y la búsqueda en bases de datos de nucleótidos es una alternativa adecuada para su identificación.
Conclusiones
Los métodos moleculares y bioinformáticos son una herramienta útil y rápida para el diagnóstico de fitoparásitos del género Meloidogyne. Este estudio aporta una opción rápida para la identificación de nematodos en etapas juveniles y además demuestra que la amplificación y análisis de regiones ITS es otra opción además de los métodos tradicionales. La claridad de los resultados permite la identificación de más especies de nematodos, además es un método fácil, adecuado tanto para juveniles machos como hembras, no dependiente de criterios subjetivos y que no requiere del apoyo inmediato de especialistas en taxonomía de nematodos fitoparásitos.










texto en 


