Introducción
La encefalitis por anti-N-metil-D-receptor de aspartato (anti-NMDAr) es una enfermedad autoinmune caracterizada como un síndrome neuropsiquiátrico complejo, descrita por primera vez por Dalmau en 2007.1-3
La etiología no se conoce del todo, pero se sabe que los anticuerpos anti-NMDAr, producidos en el sistema nervioso central (SNC), al unirse con la subunidad GluN1 del receptor NMDA, provocan su internalización celular disminuyendo su actividad. Esta alteración inhibe la vía mesolímbica dopaminérgica, lo cual se relaciona con la aparición de síntomas psicóticos.4,5
En la población pediátrica, la encefalitis por anti-NMDAr explica entre 54 a 80% de las encefalitis autoinmunes.2,4 En promedio, la edad de presentación es de 10.1 años, sin predominio por algún sexo.6,7
En 60% de los pacientes, los síntomas neurológicos se presentan en etapas iniciales.8 En niños menores de cinco años la presentación suele ser más grave, con movimientos anormales (coreoatetosis y distonía), disminución del nivel de conciencia y crisis epilépticas refractarias. En contraste, en los de mayor edad, predominan las alteraciones cognitivas y psiquiátricas, como alucinaciones, delirios y cambios de personalidad.9
En 2022, un reporte de once casos pediátricos en México y Paraguay con encefalitis anti-NMDAr, evidenció que la mitad había mostrado síntomas prodrómicos y antecedentes de infección de vías respiratorias superiores. La mayoría tuvo alteraciones cognitivas y de conducta, indicando nueve pacientes presentaron síntomas psiquiátricos y 10 crisis convulsivas.7
De acuerdo con la Guía de Práctica Clínica sobre Encefalitis, propuesta por Fuchs y colaboradores, para establecer el diagnóstico se requiere la presencia de cuatro o más de las siguientes condiciones clínicas, junto con, al menos, un criterio suplementario:10
Condiciones clínicas:
Síntomas psiquiátricos o anomalías cognitivas.
Trastornos del lenguaje.
Convulsiones.
Alteraciones motoras o movimientos involuntarios.
Disminución del nivel de conciencia.
Disfunción autonómica o hipoventilación central.
Criterios suplementarios: anomalías del electroencefalograma (EEG), anticuerpos anti-NMDAr positivos, pleocitosis en líquido cefalorraquídeo (LCR), así como la exclusión de otras causas.
En cuanto al EEG se ha descrito que es anormal en 85 a 96% de los pacientes, pero es común (≈ 30%) la presencia de un patrón conocido como delta brush, el cual se asocia con mal pronóstico.8,11 Para el tratamiento, se ha propuesto el uso temprano de inmunoterapia.4,6,11
Presentamos a una paciente escolar con encefalitis por anti-NMDAr, con el propósito de fomentar el diagnóstico oportuno en casos similares, haciendo énfasis en el diagnóstico diferencial.
Presentación del caso
Paciente femenino de siete años, sin antecedentes personales patológicos de interés. Es llevada al servicio de urgencias por presentar un cuadro de cinco días de evolución con náuseas, vómito, mareo, somnolencia, alucinaciones visuales (macropsias y metamorfopsias), así como trastorno de la conducta y del sueño. Los padres negaron la exposición a sustancias tóxicas e ilícitas y afirmaron que tenía esquema de vacunación completo.
Por antropometría, tenía sobrepeso ya que su índice de masa corporal era de 18.9. En la exploración física se encontró desorientada en espacio y persona, con discurso incoherente, marcha atáxica, disminución de la fuerza muscular; más notable en extremidades inferiores (2/5) que superiores (4/5), de acuerdo con la escala de Daniels.
Inicialmente se sospechó de encefalitis de origen viral por el antecedente de la madre con herpes zóster activo a nivel de parrilla costal. Se ingresó para continuar el proceso de diagnóstico, iniciando tratamiento con aciclovir.
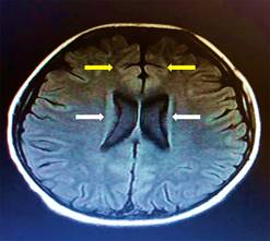
La biometría hemática con leucocitos de 18.75 × 1010/L, con neutrófilos de 82%. Los reactantes de fase aguda sin alteraciones. En el LCR se evidenció pleocitosis y positividad de anticuerpos inmunoglobulina G (IgG) para citomegalovirus y rubéola. Los hemocultivos periféricos y el cultivo de LCR sin crecimiento. Las imágenes de tomografía computarizada de cráneo (TAC) no mostró alteraciones. La resonancia magnética (RM) T2-FLAIR evidenció hiperintensidad en zonas paraventricular y en la corteza frontal (Figura 1).

Figura 1: Resonancia magnética cerebral T2-FLAIR. Se muestra hiperintensidad en T2-FLAIR de ganglios basales (flechas blancas) y corteza frontal (flechas amarillas).
Posteriormente y durante su estancia intrahospitalaria desarrolló movimientos coreoatetósicos, afasia motora, discinesias, distonías y síndrome psicótico con terrores nocturnos, así como autoagresividad sin estigmas neurocutáneos. El servicio de psiquiatría integró el diagnóstico de delirium mixto, iniciando tratamiento con risperidona.
Por EEG, en condiciones de vigilia y sueño fisiológico, se descartó actividad epileptiforme, pero se encontró un patrón delta brush de 3 Hz de voltaje elevado y aislado, con predominio en regiones frontal y temporoparietal, en forma bilateral (Figura 2).
Ante la sospecha de una enfermedad de origen inmunológico, se solicitaron anticuerpos IgG e IgM antinucleares (ANA) y anticardiolipina. Los ANA fueron positivos a 1.80.
Debido a la evolución tórpida y el cuadro de psicosis se decidió suspender el tratamiento antiviral e iniciar con quetiapina, carbamazepina, valproato de magnesio y pulsos de metilprednisolona, con lo cual hubo una respuesta, pero solo de manera parcial. Ante la falta de recuperación completa, se sospechó que el cuadro correspondía a una encefalitis autoinmune, por lo que se procedió a tomar nueva muestra de LCR en busca de autoanticuerpos. El resultado fue positivo para anticuerpos anti-NMDAr, mediante inmunofluorescencia indirecta.
Es de señalar, que previo al inicio del tratamiento específico, se descartó que la paciente tuviera una neoplasia ovárica por ultrasonido pélvico. Se administró inmunoglobulina intravenosa a dosis de 2 g/kg/dosis en dos ciclos, además de metilprednisolona 30 mg/kg/dosis por cinco días. Hubo mejoría paulatina de la agitación psíquica y del lenguaje; sin embargo, presentó crisis convulsivas focales. Se inició oxcarbazepina 20 mg/kg/día, prednisona 10 mg cada 24 horas y melatonina 1 mg cada 24 horas.
La paciente continuó con evolución favorable y fue dada de alta a los 25 días de estancia hospitalaria, con seguimiento en consulta externa por psiquiatría, pediatría y neurología.
Discusión
La incidencia global de las encefalitis es de 0.7 y 12.6 por cada 100,000 personas-año. Por etiología, predominan las de origen infeccioso seguido de causas autoinmunes; estas últimas, al parecer han ido en aumento probablemente porque en la actualidad se sospecha más de este diagnóstico, y porque paulatinamente se dispone más ampliamente de los procedimientos diagnósticos más precisos.12,13
Los síntomas iniciales de las encefalitis autoinmunes incluyen fiebre, alteraciones cognitivas y síntomas psiquiátricos, los cuales preceden a las manifestaciones neurológicas.14 Zhao y colegas mencionan que hasta 86% manifiesta fiebre, cefalea, náusea y vómito de duración variable. La paciente que presentamos tuvo estos síntomas durante aproximadamente una semana.
La fase clínica consta de síntomas propios de la enfermedad, donde la edad influye de manera importante. Por ejemplo, en < 12 años predominan síntomas neurológicos (como crisis convulsivas y afección cognitiva progresiva), mientras en los > 12 años los síntomas psicóticos.15 Así sucedió en nuestro caso.
Para llegar al diagnóstico de este tipo de encefalitis, es necesario descartar otras entidades nosológicas. Entre las principales se mencionan a las encefalitis virales, por tóxicos, o los síndromes postinfecciosos.11 En nuestra paciente, el antecedente de herpes zóster activo en la madre contribuyó a pensar en una encefalitis de origen viral. Existen reportes donde se informa la posibilidad que el virus del herpes simple influya en el desarrollo de una encefalitis anti-NMDAr, al desencadenar una respuesta inmune exacerbada.2,16
Ariño y colaboradores en un estudio observacional dirigido a la evaluación del sueño en pacientes con encefalitis anti-NMDAr mediante video polisomnografía, encontraron que 89% de los pacientes refirió insomnio y el resto hipersomnia. Además, la presencia de pesadillas se informó en 40%. Esto último se ha relacionado con los cambios cognitivo-conductuales.17,18 Nuestra paciente presentó un patrón similar, con exacerbaciones nocturnas.
En cuanto a los estudios paraclínicos, el análisis citoquímico del LCR es anormal en 94% de los casos, caracterizado por pleocitosis linfocítica,7 como se encontró en nuestro caso.
Además, por las alteraciones neurológicas, es indispensable la realización de un EEG, en donde un patrón delta brush se ha relacionado con prolongación de la enfermedad, mayor estancia hospitalaria y atención en unidades de cuidados intensivos.19-21
Por otro lado, de acuerdo con Zhao y colegas, un resultado anormal en la RM podría asociarse a un peor pronóstico.1,4 En 50% de los casos se pueden encontrar hiperintensidad en la corteza frontal y en lóbulo temporal medial, además de la corteza cerebelosa, médula espinal y bulbo raquídeo.4,22,23
Para el diagnóstico preciso, es importante señalar que en 14% de las muestras de suero no se detectan anticuerpos anti-NMDAr porque hay niveles bajos, por lo que se sugiere su determinación en suero en conjunto con su identificación en LCR, para evitar falsos negativos. La gravedad de los síntomas es directamente proporcional al nivel de títulos de anticuerpos en LCR.12 En el caso que presentamos se detectaron los anticuerpos por fluoroscopia indirecta en LCR. Se debe destacar que, aproximadamente en la mitad de las series publicadas, los pacientes con encefalitis autoinmune tienen anticuerpos negativos.24
En virtud que de 20 a 40% de los pacientes pediátricos con encefalitis anti-NMDAr tienen asociación con estados paraneoplásicos, como parte del proceso diagnóstico diferencial, se debe buscar intencionadamente la presencia de una neoplasia.13,16 En una revisión de 352 pacientes, 50% presentó algún tumor, de los cuales 96% correspondió a teratoma ovárico, y una minoría a tumores en el mediastino y testícular.1 A pesar que no se identifique algún tumor en el momento del diagnóstico, se ha recomendado continuar su posible aparición mediante estudios de imagen, a intervalos de cuatro a cinco meses, dado que las neoplasias pueden desarrollarse dentro de los siguientes cinco años.12,16
El tratamiento de primera línea incluye el uso de metilprednisolona intravenosa, inmunoglobulina intravenosa e intercambio de plasma, evaluando la respuesta en los primeros 10 días hasta las cuatro semanas. Con este manejo, se estima una efectividad en alrededor de 70% de los pacientes. Para los pacientes que no responden, como la segunda línea de tratamiento se recomienda rituximab, ciclofosfamida o tocilizumab.(4),(6),(12),(24) Nuestra paciente respondió favorablemente al tratamiento de primera línea.










nueva página del texto (beta)



