Introducción
La vitamina K es un cofactor central del equilibrio de la coagulación y participa en la síntesis y activación de proteínas plasmáticas de la coagulación (protrombina y factores VII, IX y X); así como en la síntesis de anticoagulantes naturales (proteína C, S y Z).1
Desde hace décadas, en todo neonato se recomienda la suplementación de vitamina K debido al alto riesgo de desarrollar una enfermedad hemorrágica del recién nacido (RN); sin embargo, la suplementación no ocurre en todos los casos. En este artículo describimos el caso de una RN con hemorragia intracraneal como resultado de una probable deficiencia de vitamina K.
Presentación del caso
Femenino de 33 días de edad, producto de un quinto embarazo, de una madre de 36 años perteneciente a una comunidad indígena colombiana donde no hablan español. No hubo control prenatal. El parto fue en su domicilio, sin medidas higiénicas. Se desconoce la edad gestacional al nacimiento. Su alimentación ha sido exclusivamente con lactancia materna.
Fue referida de un centro de primer nivel. Su padecimiento actual tenía 12 horas de evolución con irritabilidad y ocho vómitos de contenido alimenticio. Examen físico: tensión arterial 96/48 mmHg, frecuencia respiratoria 45 por min, frecuencia cardiaca 100 lpm, peso 4.5 kg, talla 51 cm, perímetro cefálico 39 cm. La fontanela anterior se encontraba abombada, se detectó edema palpebral bilateral, el hígado era palpable a 3.5 cm del reborde costal y se observaron hematomas en sitio de venopunción. El manejo inicial fue con cristaloides y metoclopramida.
En los exámenes de laboratorio se documentó anemia de 8.3 g/L, plaquetas 364,000 cél./mL, tiempo de protrombina (TP) 44 segundos, tiempo parcial de tromboplastina (TTP) 71 segundos, dímero D 4.647 e hiponatremia leve. Serología para Treponema pallidum IgG-IgM, toxoplasma IgM, antígeno de superficie para hepatitis B y VIH tipo I-II, negativos.
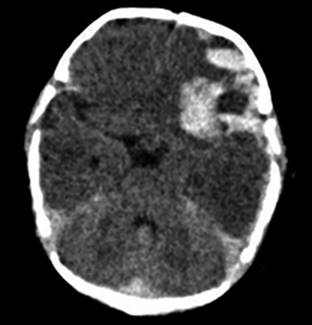
Seis horas después del ingreso presentó hipertonicidad generalizada y pérdida del estado de alerta durante un minuto. Posteriormente la paciente se encontraba somnolienta, pero con signos de hipertensión endocraneal (fontanela anterior abombada, bradicardia, hipertensión arterial) y falla ventilatoria, por lo que se inició ventilación mecánica y medidas para contrarrestar edema cerebral, llegando al coma inducido. Los hallazgos de tomografía de cráneo simple fueron: línea media conservada, sangrado intraparenquimatoso frontoparietal izquierdo, hemorragia subaracnoidea y en fosa posterior, así como isquemia hemisférica (Figura 1).
Se diagnosticó enfermedad hemorrágica tardía del RN, por lo que se inició vitamina K cada ocho horas y transfusión de plasma fresco congelado. El TP de control fue de 50 segundos y el TTP de 71 segundos, por lo cual se administró complejo protrombínico (carga 120 UI/kg y 80 UI/kg/6 horas). En virtud de los hallazgos tomográficos, se realizó craniectomía de urgencia, con drenaje de los hematomas subdural laminar y frontal, e intracerebral. Fue trasladada a la Unidad de Cuidados Intensivos con soporte ventilatorio invasivo y vasopresor (adrenalina a 0.15 μg/kg/min).
A los siete días, una nueva tomografía de cráneo mostró mejoría, mientras que los tiempos de coagulación ya se habían normalizado. Requirió dos semanas de hospitalización. A los seis y doce meses después del egreso hospitalario no había evidencia de alguna secuela neurológica, y mantenía tiempos de coagulación normales.
Discusión
A nivel mundial se recomienda la administración rutinaria de vitamina K a todos los RN para prevenir la enfermedad hemorrágica.1,2 Esta patología es secundaria a la deficiencia de factores de coagulación dependientes de la vitamina K, y hace referencia a cualquier sangrado anormal en niños menores de 12 semanas de vida.3 A pesar de que esta enfermedad puede generar lesiones graves e irreversibles, existen factores culturales y sociales (como el parto en domicilio) que impiden la profilaxis con vitamina K.4
La frecuencia de la enfermedad hemorrágica tardía del RN varía de 4.4 a 7.2 por cada 100,000 nacimientos en Europa y Asia. Mientras que en países menos desarrollados se estima que su incidencia es mayor por los factores ya comentados, aunque no hay estadísticas.5 Sin embargo, se debe tener en cuenta que también se asocia con la alimentación exclusiva del seno materno, ya que la leche humana es una fuente pobre de vitamina K, comparada con las fórmulas lácteas.
El cuadro clínico de esta entidad es diverso, pudiendo presentarse en forma muy temprana o tardía (hasta los dos meses de vida). Se manifiesta como sangrado gastrointestinal, con hematomas en piel, pero la principal manifestación es la hemorragia intracraneal en más de 50% de los casos.6-9 Pooni y colegas estudiaron a 42 pacientes con enfermedad hemorrágica tardía del RN, indicando que 71% cursó con hemorragia intracraneal, y que todos habían sido alimentados exclusivamente al seno materno y sin recibir profilaxis con vitamina K.10
Ante un cuadro clínico compatible, el diagnóstico se confirma al documentar tiempo de protrombina y tromboplastina prolongados, con fibrinógeno y cifras de plaquetas normales.6,7,10 El tratamiento consiste en la aplicación de vitamina K y, en casos similares a nuestro paciente, se debe administrar también plasma o concentrados de factor IX.3 El diagnóstico diferencial debe hacerse con sepsis, traumatismos, enfermedades crónicas de origen gastrointestinal, hepatopatías y coagulación intravascular diseminada.11










nueva página del texto (beta)




