Introducción
La psoriasis es una enfermedad inflamatoria crónica, mediada por el sistema inmune, con fuerte influencia genética. Se caracteriza por lesiones eritematosas y descamativas en piel, así como afectación de uñas y articulaciones.1 Predomina en la edad adulta, pero se estima que un tercio de los casos empiezan durante la edad pediátrica.2 La prevalencia de la psoriasis en niños dependiendo de la edad, género y localización geográfica de la población estudiada. Estudios europeos reportan una prevalencia de 2.1% en Italia y de 1.3% en Alemania y Reino Unido, comparada con 0.05% en Egipto y 0% en Taiwán.3 En México, Tovar-Garza en el 2017 reporta una prevalencia de 11% en menores de 18 años, siendo la media de edad de los casos de 11 años.4 Se estima que 2% de los casos de psoriasis infantil empieza antes de los dos años de edad, siendo raras las formas congénitas.5 Afecta por igual a hombres y mujeres.6
Entre 1970 y el 2000, la incidencia de la psoriasis pediátrica se duplicó, posiblemente por estrés psicosocial, infecciones, sobrepeso y obesidad. Otros factores de riesgo son trauma y la irritación de la piel, y medicamentos como el litio y antagonistas β-adrenérgico.1
Setenta y uno por ciento de los pacientes con psoriasis infantil tienen antecedentes familiares de la enfermedad. Desde el punto de vista genético, la principal región de susceptibilidad a la psoriasis es PSORS1, localizada en el complejo mayor de histocompatibilidad (cromosoma 6p21.3), donde el HLA-Cw6 es el antígeno más fuertemente asociado.7 Los mecanismos inmunológicos implicados involucran tanto a la inmunidad innata como a la adaptativa, en la cual hay estímulo de las células T y liberación de citocinas proinflamatorias que conducen a la proliferación de queratinocitos y del endotelio vascular.6
Clínicamente, la psoriasis infantil presenta los mismos subtipos que se observan en adultos, aunque las lesiones pueden variar en la distribución y morfología. El subtipo más frecuente es el de psoriasis en placas o psoriasis vulgar. En niños, típicamente se observan pápulas o placas eritematosas de bordes netos, con forma y tamaño variables, las cuales están cubiertas por escamas blanquecinas y son más delgadas y pequeñas que las de adultos.6 A pesar de que puede afectar cualquier región corporal, la principal zona involucrada es la piel cabelluda (llamada falsa tiña amiantácea), la cual se presenta hasta en el 79% de los pacientes y se caracteriza por escamas gruesas adherentes.2 Le sigue en frecuencia la afectación de la cara y zonas de extensión. Las áreas de flexión se involucran con mayor frecuencia que en adultos.1
El segundo subtipo de psoriasis más frecuente en niños es la psoriasis guttata o psoriasis en gotas, la cual es una forma aguda y aparece dos semanas después de una infección faríngea por estreptococo beta hemolítico. Se manifiesta como múltiples pápulas descamativas de 2 a 10 mm, de predominio en tronco, que suelen resolverse en un periodo de tres a cuatro meses.6
Otros subtipos menos frecuentes son la forma pustulosa localizada o generalizada, la psoriasis invertida que afecta los pliegues de flexión y la eritrodermia psoriásica, caracterizada por eritema y descamación en más de 90% de la superficie corporal. Cualquiera de los subtipos de psoriasis se acompaña hasta en el 40% de afectación del lecho o la matriz. Otra manifestación es la artritis psoriásica juvenil, con una prevalencia de 1 a 10%.1
El diagnóstico es fundamentalmente clínico. Además de la morfología típica de las lesiones, éstas pueden presentar el signo de Auspitz o del rocío sangrante -patognomónico de psoriasis-, que consiste en la aparición de un punteado hemorrágico al desprender las escamas. También se pueden encontrar lesiones en sitios de traumatismo, conocido como fenómeno isomórfico de Koebner.7
En casos de duda, se puede realizar biopsia de piel, en donde se encuentra acantosis en la epidermis, con crestas alargadas, paraqueratosis y ausencia de granulosa. Se puede observar exocitosis de neutrófilos en la epidermis, formando pústulas espongiformes de Kogoj y microabscesos de Munro-Sabouraud. En la dermis hay dilatación vascular e infiltrado inflamatorio de predominio mononuclear.6
El diagnóstico diferencial se realiza dependiendo de la topografía y morfología. Las enfermedades que se deben descartar en niños con el subtipo vulgar son: dermatitis atópica, tinea corporis, eccema numular, pitiriasis rubra pilaris, pitiriasis alba, lupus neonatal o ictiosis vulgar.6
El objetivo de este reporte es presentar un caso de psoriasis vulgar grave en una paciente lactante, edad que es poco frecuente, así como hacer una breve revisión de las opciones terapéuticas.
Presentación del caso
Paciente femenino de cuatro meses de edad, originaria de Guadalajara, Jalisco.
Antecedentes: madre con asma e hipotiroidismo. Abuela materna también asmática. Abuela paterna con probable esclerodermia.
Fue producto de la cuarta gestación de madre de 27 años de edad (antecedente de dos abortos y una cesárea previa), con adecuado control prenatal. Consumo durante el embarazo de levotiroxina y multivitamínicos. Fue obtenida por vía abdominal a las 39 semanas de gestación, recibiendo solamente maniobras básicas. Peso: 2,230 g, talla: 47 cm. Tamiz metabólico normal. A los tres meses de edad se hace diagnóstico de alergia a la proteína de la leche de vaca y al huevo, mediante prueba cutánea.
Padecimiento actual: comienza a los dos meses de edad con dermatosis localizada en cara descrita como abundante descamación, que después de 15 días se agrega eritema y engrosamiento de la piel. Posteriormente presenta afección de tronco y extremidades, llegando a una forma generalizada a los cuatro meses de edad. La madre refiere prurito intenso, con lo cual se inducía sangrado de las lesiones por el rascado. También hubo sobreinfección bacteriana de las lesiones en múltiples ocasiones.
Acude a nuestro hospital a la edad de cuatro meses. A la exploración física se observó una dermatosis generalizada, constituida por múltiples pápulas confluentes eritematosas, de bordes irregulares, con abundantes escamas laminares plateadas. Asimismo, había huellas de sangrado secundarias al rascado (Figura 1). En piel cabelluda, también existía descamación gruesa adherente (Figura 2).
Por el antecedente familiar de atopia, se decide iniciar manejo como una probable dermatitis atópica, indicando esteroide vía oral (prednisolona), desloratadina y crema hidratante. En sus exámenes de laboratorio se encontró una citometría hemática con discreta eosinofilia, linfocitosis y trombocitosis. Sin embargo, la inmunoglobulina E sérica total fue normal (14.9 unidades/mL).
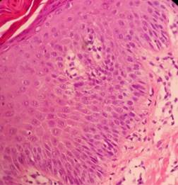
Al cabo de un mes de tratamiento, la paciente mostró escasa mejoría, por lo que se tomó biopsia de piel. En el reporte de patología se describe la presencia de acantosis, hiperparaqueratosis, papilomatosis, espongiosis e infiltrado inflamatorio linfocítico en las papilas dérmicas (Figuras 3 y 4). Estos cambios fueron compatibles con el diagnóstico de psoriasis vulgar.

Figura 3: Histopatología. Tinción H-E, 40x. Se observa acantosis regular, hiperqueratosis y fusión de la red de crestas.

Figura 4: Histopatología. Tinción H-E, 400x. Presencia de infiltrado de linfocitos y escasos polimorfonucleares en las papilas dérmicas.
Se evalúa la gravedad con el índice PASI (Psoriasis Area Severity Index), con el que se obtuvo un puntaje de 33.2. Se decide modificar el tratamiento, indicándose calcipotriol tópico, continuando con crema hidratante y desloratadina.
Después de un mes de tratamiento hubo notable mejoría. Pero aún se observaron discretas pápulas eritematosas con descamación aperlada fina, persistiendo las escamas gruesas en piel cabelluda, así como huellas de rascado y costras serosas en el área nasolabial (Figuras 5 y 6). En este momento, el puntaje fue de 7.4 según el índice PASI.
Discusión
El tratamiento de la psoriasis grave en pacientes pediátricos no está estandarizado, dado que la evidencia de la eficacia y seguridad de las opciones sistémicas se encuentra limitada. Usualmente, el abordaje terapéutico se basa en guías para el manejo en adultos, series de casos o experiencia médica.1,8
El éxito del tratamiento de la psoriasis comienza con la educación, tanto de los padres como de los niños, explicándoles la evolución natural de esta enfermedad (enfermedad de naturaleza crónica, con periodos de exacerbación y remisión), de tal manera que haya un adecuado apego al tratamiento para lograr control.9
Tratamiento tópico
El tratamiento tópico representa la primera línea de manejo en casos de psoriasis leve. El tratamiento a base de emolientes y queratolíticos puede ser efectivo en pacientes con enfermedad limitada y ausencia de prurito, sobretodo en psoriasis en gota o en la psoriasis del pañal. En otros casos, pueden ser usados como terapia coadyuvante.9
Los corticosteroides tópicos son los medicamentos más utilizados en cualquier grupo de edad, siendo eficaces en la reducción del eritema, descamación y prurito. La elección del corticosteroide depende del sitio de afectación; para las áreas flexoras, cabeza y cuello es apropiado la prescripción de aquéllos con baja potencia (clases V a VII). Mientras que en zonas como piel cabelluda, tronco y extremidades, los corticosteroides de las clases II a IV son adecuados. Los de clase I deben ser reservados como terapia a corto plazo.2 La desventaja de usar esteroides son sus efectos adversos por uso prolongado, como atrofia cutánea, telangiectasias, dermatitis acneiforme, dermatitis periorificial, hipertricosis y, menos frecuente, supresión del eje hipotálamo-hipófisis-suprarrenal.1
Los análogos de vitamina D, como el calcipotriol y el calcitriol, han demostrado eficacia y un adecuado perfil de seguridad en el paciente pediátrico, ya sea en monoterapia o combinado con corticosteroides. Sus principales efectos adversos son la irritación cutánea y prurito; sin embargo, se debe considerar la posibilidad de la alteración en los niveles de calcio y fosfato cuando se usa por mucho tiempo o en áreas extensas. Una dosis semanal total de 45 g/m2 ha demostrado ser eficaz en el manejo de psoriasis, sin modificar la homeostasis del calcio.2 Sin embargo, se tiene que tomar en cuenta que los análogos de vitamina D no están recomendados para menores de dos años; nosotros decidimos utilizarlos ya que se consideró que el uso de corticoides tópicos implicaría mayor riesgo de efectos secundarios cutáneos.
Otras medidas terapéuticas tópicas aprobadas para el manejo de la psoriasis en el adulto son los inhibidores de la calcineurina y los retinoides, de los cuales no se cuenta con evidencia que demuestre su eficacia en niños.1
Tratamiento sistémico
Existen opciones para el tratamiento sistémico de la psoriasis, como retinoides, ciclosporina o los biológicos que actúan contra el TNF-α (etarnecept, infliximab o adalimumab) o contra las interleucinas 17 (secukinumab) o 12/23 (ustekinumab). Ninguna de estas opciones cuenta con evidencia de seguridad y eficacia para el manejo de psoriasis en la infancia.
La fototerapia parece ser una pauta eficaz y segura con luz ultravioleta B de banda estrecha; sin embargo, tampoco se ha estudiado su seguridad a largo plazo en niños, y es conocido su aumento del riesgo de carcinogénesis cutánea y envejecimiento prematuro.6
Fortina y colaboradores en el 2017 proporcionaron recomendaciones para el manejo sistémico de psoriasis grave en pacientes pediátricos, basados en revisiones sistemáticas y el consenso de expertos. Indican que la EMA (European Medicines Agency) ha aprobado el uso de adalimumab como agente de primera línea para la psoriasis vulgar severa en niños, siendo su principal indicación en mayores de cuatro años quienes no son candidatos para terapia tópica o fototerapia, así como aquéllos que tienen una inadecuada respuesta a estos dos últimos. En estas recomendaciones se señala que adalimumab es mejor que metotrexato.8
Los otros fármacos aprobados para el manejo de psoriasis en niños son etanercept y ustekinumab, pero para pacientes mayores de seis y 12 años, respectivamente. Para otros fármacos sistémicos no hay aprobación para su uso en niños, principalmente por los efectos adversos.8










nueva página del texto (beta)






