Introducción
El epiplón mayor se compone de una doble capa de peritoneo que se extiende desde la curvatura mayor del estómago hacia la pelvis, por delante del intestino delgado antes de plegarse sobre sí misma y cubrir el colon transverso. Es delgado y compuesto principalmente de grasa, vasos sanguíneos y linfáticos. La incidencia de tumores primarios de epiplón mayor es baja, pero son diversos en su patología, incluyendo leiomioma, leiomiosarcoma, fibroma, fibrosarcoma, hemangioma, lipoma, liposarcoma o mesotelioma.1 De ellos, los hemangiomas son los más raros. En la revisión bibliográfica realizada, sólo encontramos dos casos documentados en niños menores de 15 años.2,3 El objetivo del presente trabajo es exponer el caso de un hemangioma cavernoso de epiplón mayor en un niño de 14 años que le ocasionó abdomen agudo por oclusión intestinal.
Presentación del caso
Masculino de 14 años de edad que acudió al servicio de urgencias con cuadro de dolor abdominal agudo en región periumbilical, de tres días de evolución con intensidad 10/10 que se acompañó de vómito de contenido alimentario e hiporexia. En la exploración física el abdomen se encontraba distendido, doloroso en forma generalizada, con resistencia muscular y rebote positivo. El laboratorio reportó: hemoglobina 15.40 g/dL, hematocrito 46.10%, plaquetas 340 10^3μL, leucocitos 9.1 10^3μL, neutrófilos 72.70%, linfocitos 13.40%, glucosa 115 mg/dL, BUN 22.00 mg/dL, urea 47 mg/dL, creatinina 0.70, sodio 132 mEq/L, potasio 4.0 mEq/L, cloro 104 mEq/L, proteína C reactiva 0.54 mEq/L. Tiempo de coagulación normales.
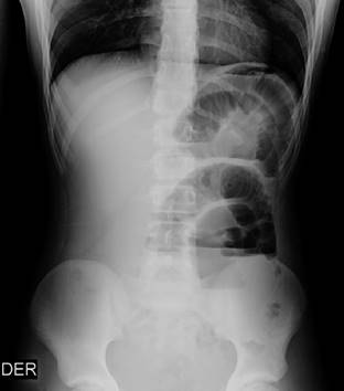
Las radiografías de abdomen con asas de intestino delgado dilatadas con presencia de niveles hidroaéreos (Figura 1).
Se estableció el diagnóstico de abdomen agudo por lo que se realizó laparotomía exploradora, encontrando abundante líquido citrino en cantidad de 500 cm3, así como una oclusión intestinal a 190 cm del ángulo de Traitz por una tumoración tubular de 4 × 1 cm. Esta masa dependía del epiplón mayor y envolvía al intestino (Figura 2), se procedió a su extirpación, con lo que se logró restablecer la luz intestinal. El paciente evolucionó favorablemente siendo dado de alta al quinto día sin complicaciones.

Figura 2: Tumoración de epiplón mayor. Tumoración tubular de 4 × 1 cm, la cual dependía del epiplón mayor y envolvía al intestino ocasionando oclusión intestinal.
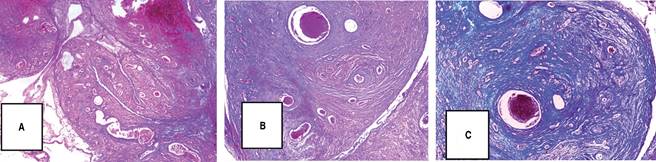
El reporte de histología fue el siguiente: con hematoxilina y eosina se identifican vasos sanguíneos de tamaños variables, algunos de pared delgada y otros de pared gruesa, inmersos en tejido fibroso, con congestión y hemorragia reciente extensa. La tinción de tricrómico de Masson en azul fue positiva para la colágena que rodea a estos vasos sanguíneos, con lo cual se realizó el diagnóstico de hemangioma cavernoso (Figura 3).

Figura 3: Hemangioma cavernoso. Corte histológico de la lesión y teñido con hematoxilina y eosina, se identifican vasos sanguíneos de tamaños variables, algunos de pared delgada (A), otros de pared gruesa (B) inmersos en tejido fibroso, con congestión y hemorragia reciente extensa. En el borde inferior izquierdo de la fotografía (A) se puede observar tejido adiposo y el recubrimiento mesotelial de esta lesión. La tinción de tricrómico de Masson en azul (C) es positiva para la colágena densa de la fibrosis que rodea a estos vasos sanguíneos.
Discusión
Los hemangiomas son neoplasias vasculares que pueden encontrarse en casi toda la estructura humana. Son tumores benignos que se originan de remanentes embrionarios de células angioblásticas unipotenciales. Aunque pueden producirse en cualquier sitio dentro del abdomen, incluyendo órganos sólidos, vísceras huecas, ligamentos o la pared abdominal, el hígado es el sitio de localización más frecuente. Sin embargo, es extremadamente raro que estos tumores se originen del mesenterio o epiplón.
Hay controversia en considerar los hemangiomas como malformaciones vasculares congénitas (hamartomas) o considerarlos verdaderas neoplasias. Los hemangiomas cavernosos, a diferencia de los capilares, tienen un potencial de crecimiento independiente y regenerativo, lo que los hace verdaderas neoplasias. Se componen de grandes vasos sanguíneos dilatados y contienen amplios espacios llenos de sangre que son causados por dilatación de las paredes de los capilares.4-7
Los síntomas del hemangioma dependen de la localización del tumor primario. Los hemangiomas cavernosos de los epiplones, mesenterios y retroperitoneo son tumores sumamente raros, sobre los cuales se deben enfatizar las siguientes características: su diagnóstico preoperatorio es difícil; cuando el tumor es pequeño, no existen síntomas clínicos y cuando éste aumenta de tamaño, el paciente sólo manifiesta distensión abdominal, la cual no es importante. Sólo cuando está afectado el peritoneo, se presenta el dolor abdominal, pero generalmente no hay síntomas de obstrucción intestinal. En la mayoría de los casos, la resonancia magnética es la herramienta que más ayuda a su identificación.2 Dentro del diagnóstico diferencial se deben incluir: leiomioma, leiomiosarcoma, fibroma, fibrosarcoma, hemangioma, lipoma, liposarcoma y mesotelioma.1
Una vez establecido el diagnóstico, debe recomendarse la extirpación de la lesión. El tratamiento de los hemangiomas primarios del mesenterio es quirúrgico, a través de la vía laparoscópica o abierta. No se han informado casos de recurrencia posteriores a la resección completa de la lesión.4,6
La confirmación del tumor puede realizarse solamente por estudios histopatológicos que se caracterizan por la presencia de espacios vasculares sinusoidales, irregulares, bien delimitados, rodeados de tejido normal.8
En la literatura encontramos dos casos similares en pacientes pediátricos: el de una niña de cinco meses con hemangioma capilar de epiplón mayor detectado clínicamente como una masa abdominal; se le realizó ultrasonido Doppler, el cual reportó una masa heterogénea, multinodular e hipervascularizada, confirmada por tomografía y resonancia magnética. Se le practicó laparotomía y resección de la tumoración.2 El otro caso fue el de una niña de 11 años que fue ingresada como apendicitis aguda; la laparotomía reveló hemoperitoneo por ruptura de hemangioma de epiplón mayor.3 En nuestro caso también se presentó como abdomen agudo, pero secundario a oclusión intestinal.8
Conclusiones
El hemangioma cavernoso de epiplón mayor es un tumor raro que, a pesar de las avanzadas técnicas imagenológicas, puede ser muy difícil de diagnosticar en el preoperatorio. Por lo anterior, debe ser incluido en el diagnóstico diferencial de cualquier tumor localizado en el mesenterio o epiplón. El diagnóstico confirmatorio se realiza con los datos del estudio histopatológico, tras su resección.










nueva página del texto (beta)



