Introducción
El tumor fibroso solitario (TFS) es una neoplasia poco frecuente y con características particulares. Fue descrito por primera vez como un tumor primario de la pleura por Wagner en 1870.1 Históricamente ha recibido diversos nombres, entre ellos: mesotelioma, mesotelioma fibroso solitario, fibroma pleural, fibroma submesotelial, fibroma subseroso, tumor fibroso localizado2 y la dicotomía entre TFS y hemangiopericitoma considerados como entidades diferentes. La Organización Mundial de la Salud (OMS) concluyó clasificarlos en una sola categoría.3-5
Su incidencia se estima en 2.8 casos por 100,000 habitantes. Su etiología no se asocia con tabaco ni exposición a asbestos.6 Por lo regular crecen lentamente y en forma silente, lo que explica que cuando son diagnosticados, en la mayoría de casos han alcanzado gran tamaño. Por su origen mesenquimatoso pueden aparecer fuera del tórax, la localización intratorácica se reporta hasta en 30% de los casos,1 aunque sólo representan 5% de los tumores de la pleura. Alrededor de 20% ocurren en la cabeza, incluyendo meninges y cuello, 30% en la cavidad peritoneal, retroperitoneo y pelvis y el restante 20% en tejidos blandos profundos del tronco, extremidades y ocasionalmente el hueso.2
Los TFS intratorácicos pueden ser un hallazgo incidental en radiografías de tórax o estudios por imágenes solicitados por sospecha de otras patologías torácicas o como estudios preoperatorios, o por sintomatología provocada por efecto de masa que varía de acuerdo con su tamaño y localización.2 Por lo regular tienen un pedículo vascular único que los nutre y después de ser resecados el pulmón se recupera completamente. Dada su rareza, las series reportadas en la literatura cuentan con pocos casos.2,7
El propósito de nuestro estudio fue determinar el número de TFS operados en nuestras instituciones en los últimos 21 años y conocer su forma de presentación.
Material y métodos
Se presenta un estudio de cohorte retrospectivo, que incluye la revisión de los expedientes de pacientes con masas pulmonares diagnosticadas como TFS por biopsia o resección quirúrgica en los hospitales San Vicente, Hermano Pedro y Hospital Universitario Esperanza de la ciudad de Guatemala, entre los años 1996 y 2017. Las variables investigadas fueron: sexo, edad, forma de presentación, tamaño de la masa, localización, tipo de biopsia o de resección, reexpansión pulmonar posoperatoria, estudio histológico, complicaciones posoperatorias y mortalidad. Para la recolección de datos se utilizó una hoja de Excel.
Todos los pacientes incluidos en el estudio firmaron un consentimiento informado autorizando el uso de la información clínica consignada en el expediente. Los datos que pudieran identificar a los sujetos del estudio fueron protegidos. El archivo madre con los enlaces de los identificadores fue guardado en un disco duro externo, al cual únicamente tuvo acceso el investigador principal, cumpliendo de esta manera con el requisito de preservar la privacidad de los participantes. La investigación tuvo el aval del comité de ética de los hospitales respectivos.
Resultados
En 1,192 toracotomías practicadas por diversas indicaciones durante el tiempo del estudio se identificaron 11 pacientes (0.92%) con el diagnóstico de TFS de la pleura. Las características generales de los pacientes y la forma de presentación pueden observarse en la Tabla 1.
Tabla 1: Características generales, edad, sexo, síntomas y localización anatómica de las masas.
| n (%) | |
|---|---|
| Rango de edad (años) | 50-60 |
| Edad promedio (años) | 59 |
| Género femenino | 7 (64) |
| Total de casos de tumor fibroso solitario/total de cirugías de tórax | 11/1,192 (0.92) |
| Síntomas | |
| Disnea moderada a severa | 7 (64) |
| Hallazgo incidental | 3 (27) |
| Derrame pleural | 1 (9) |
| Localización | |
| Hemitórax izquierdo | 7 (64) |
| Hemitórax derecho | 4 (36) |
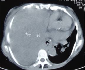
El tamaño de las neoplasias osciló entre 11 y 30 cm en su diámetro mayor, con un promedio de 16.8 cm. En nueve casos (82%), el diagnóstico histológico se hizo después de la resección completa del tumor. En los dos casos restantes (18%) el diagnóstico se confirmó por medio de biopsia cortante con aguja tru-cut en uno de ellos y por biopsia incisional a través de toracotomía limitada en el otro. De los 11 tumores, 10 (90.90%) fueron diagnosticados como TFS de la pleura benignos y el caso restante como TFS de la pleura maligno. Las características de cada uno de ellos se describen en la Tabla 2. Hubo dos muertes atribuibles a la patología, una al décimo día posterior a la toma de biopsia por dificultad respiratoria aguda secundaria al gran tamaño de la masa (Figura 1) y otra en el paciente con tumor maligno, quien falleció durante el seguimiento a los cinco meses de la cirugía, por la progresión de la enfermedad y porque desarrolló el síndrome de Doege-Potter como manifestación paraneoplásica.
Tabla 2: Características citomorfológicas, diagnóstico histopatológico, tratamiento y evolución.
| # Pte. | Año de ingreso | Mitosis | Necrosis | Tamaño en cm | Celularidad | Pleomorfismo | Inmunohistoquímica | Diagnóstico histológico | Tratamiento quirúrgico | Evolución posopertoria |
|---|---|---|---|---|---|---|---|---|---|---|
| 1 | 1996 | Sd | Sd | 28 × 16 | Sd | Sd | No | TFSB | Resección | R. total |
| 2 | 2001 | Sd | Sd | 25 ×20 | Sd | Sd | No | TFSB | Resección | R. total |
| 3 | 2008 | Sd | Sd | 25 ×17 | Sd | Sd | No | TFSB | Resección | R. total |
| 4 | 2012 | Sd | Sd | 14 ×8 | Sd | Sd | No | TFSB | Resección | R. total |
| 5 | 2012 | Sd | Sd | 18 ×11 | Sd | Sd | No | TFSB | Resección | R. total |
| 6 | 2014 | Sd | Sd | > 100% | Sd | Sd | No | TFSB | Biopsia TC | Fallecida |
| 7 | 2014 | Sd | Sd | 9 ×6 | Sd | Sd | No | TFSB | Resección | R. total |
| 8 | 2015 | Sd | Sd | 18 ×12 | Sd | Sd | No | TFSB | Resección | R. total |
| 9 | 2016 | Sd | Sd | 4 ×6 | Sd | Sd | No | TFSB | Resección | R. total |
| 10 | 2017 | Sd | Sd | 13 ×10.5 | Sd | Sd | No | TFSB | Resección | R. total |
| 11 | 2017 | > 7 | Sí | Variable | ++ | Sd | STAT6+ | TFSM | Biopsia TL | Fallecido |
Sd = sin datos; TFSB = tumor fibroso solitario benigno; STAT6+ = positivo; TFSM = tumor fibroso solitario maligno; Biopsia TC = biopsia por tru-cut ; Biopsia TL = biopsia por toracotomía limitada; R. total = reexpansión y recuperación total del pulmón.
Discusión
Todos los pacientes de nuestra serie presentaron TFS intratorácicos, 10 (90.90%) se originaron de la pleura parietal y uno (9.09%) de la pleura visceral. La edad promedio fue de 59 años, similar a lo descrito en la literatura que la sitúa entre la quinta y sexta década de la vida.6 El sexo femenino resultó ser el más afectado a diferencia de lo publicado, donde no existe predilección por sexo.6 Todos fueron tumores de gran tamaño, reflejo de un largo tiempo de evolución y escasa sintomatología, todo ello asociado con la limitación de acceso a centros de atención de tercer nivel en nuestro país. La mayoría de nuestros pacientes (64%) fueron sintomáticos, la disnea fue el síntoma que motivó la consulta. Otros síntomas pulmonares inespecíficos como tos, disnea, dolor torácico, hemoptisis o neumonitis obstructiva, descritos entre 40 y 60% de los pacientes de otras series2 no se presentaron en nuestra serie. Estos síntomas se relacionan con el tamaño del tumor, apareciendo cuando llegan a medir 10 cm, se hacen más prevalentes al alcanzar 20 cm8 y provocan insuficiencia respiratoria cuando ocupan la totalidad del hemitórax.9 Ningún paciente presentó osteoartropatía pulmonar hipertrófica. Uno de nuestros pacientes con enfermedad diseminada intratorácica y derrame pleural presentó como manifestación paraneoplásica episodios de hipoglicemia. La hipoglicemia asociada con estos tumores se ha atribuido a la producción y secreción del factor de crecimiento similar a la insulina tipo 2 (IGF2), denominado síndrome de Doege-Potter, que puede ocurrir en 5% de los casos.2,6,10
En el restante 36%, la forma de presentación fue el hallazgo incidental de una masa intratorácica en una radiografía de tórax. En todos los casos, después de la radiografía de tórax, el siguiente estudio diagnóstico fue una tomografía axial computarizada (TAC) de tórax. Los hallazgos fueron similares a los descritos, observándose como masas voluminosas con contornos definidos y limitados, lobuladas en un caso y de origen pleural. Estos hallazgos se han descrito en la mayoría de estos tumores, aunque también pueden sufrir degeneración quística, hemorragia intratumoral, presentar calcificaciones y hasta en 40% puede identificarse el pedículo vascular que las alimenta.2 Estos hallazgos pueden sugerir un TFS, pero no son patognomónicos, por lo que para confirmar el diagnóstico se requiere de estudio histológico.
Se operaron 10 pacientes, en nueve (90.90%) se logró la resección completa del tumor a través de toracotomía posterolateral, logrando en todos ellos la reexpansión y rehabilitación del hemitórax por el pulmón crónicamente comprimido por el tumor (Figura 2). En los dos (18.18%) casos restantes, uno fue considerado irresecable al encontrar en la toracotomía invasión del tumor a estructuras mediastinales e implantes metastásicos en la cavidad torácica con derrame pleural, por lo que sólo se hizo biopsia incisional. En el caso restante se hizo biopsia cortante percutánea con aguja de tru-cut. Se trataba del tumor más grande de la serie que ocupaba todo el hemitórax y desplazaba el mediastino hacia el lado contralateral en una paciente en muy malas condiciones generales, con franca dificultad respiratoria y sin ninguna posibilidad de ser operada. En esta paciente se optó por una biopsia cortante con aguja de tru-cut, tomando en cuenta que las biopsias por aspiración con aguja fina por lo general no permiten la obtención de material adecuado para diagnóstico, por lo que no se recomiendan.2,11

Figura 2: Evolución: A) Rx. de tórax preoperatorio que muestra la masa que desplaza mediastino y ocupa más de 90% de la cavidad torácica. B) Masa resecada. C) Recuperación y reexpansión completa del pulmón posterior a la resección.
Dos pacientes fallecieron en circunstancias similares, en franca insuficiencia respiratoria. Ambos con tumores voluminosos, uno con el agravante de ser una neoplasia maligna con invasión peritumoral y metástasis. Este paciente había sido diagnosticado 25 años antes con una biopsia cortante percutánea, como un TFS localizado y aparentemente benigno, negándose a ser operado. El largo tiempo de evolución sin manifestaciones clínicas hasta la consulta por disnea, 25 años después pone en duda que se tratara de algo maligno desde el inicio, aunque se desconoce si este tumor puede sufrir trasformación maligna. No se ha descrito la transformación maligna de estos tumores.12
Desde el punto de vista anatomopatológico se reconocen dos tipos de TFS, el hipocelular y el hemangiopericitoma o variante hipercelular.2 Aunque histológicamente no existen criterios específicos para establecer la benignidad o malignidad de estos tumores, la presencia o ausencia de ciertos hallazgos, que se relacionan con el comportamiento biológico del tumor permiten clasificarlos como benignos o malignos. Estos hallazgos son: actividad mitótica (> cuatro cifras mitosis por cada 10 campos de alta potencia), presencia de necrosis (o hemorragia en algunas series), tamaño del tumor, celularidad aumentada (definida como falta de estroma de colágeno intermedio, superposición nuclear y aglomeración), pleomorfismo nuclear, infiltración estromal más allá de la pseudocápsula o invasión vascular.2
Los estudios por inmunohistoquímica contribuyen a esclarecer el diagnóstico en casos de duda. Se ha descrito la expresión de CD34, BcI2, CD99 y vimentina en ausencia de actina, desmina, proteína S100 y marcadores epiteliales como el antígeno de membrana epitelial, EMA, y citoqueratinas de bajo peso molecular. Recientemente la positividad a NAB2-STAT6 ha demostrado tener una sensitividad de 98% y especificidad de 85%. Este gen de fusión se ha reportado en cerca de 100% de los casos y hasta ahora no ha sido detectado en otros tumores.2,6,13 En los 10 TFS de nuestra serie considerados benignos no se hicieron estudios de inmunohistoquímica; primero por no contar con el recurso y luego por no tener duda del diagnóstico, tomando en cuenta la presentación clínica, los hallazgos tomográficos y la histología convencional. En el caso diagnosticado como tumor maligno se hicieron estudios de inmunohistoquímica que resultaron positivos para STAT6.
En nuestros cinco pacientes vivos y sin evidencia de recurrencia, el mayor tiempo de seguimiento son cinco años. En todos ellos se logró la resección completa del tumor sin dejar enfermedad tumoral. Todos tenían un pedículo vascular único y no requirieron de resección pulmonar. La resección completa en bloque con márgenes negativos y sin enfermedad residual es el estándar de oro para el tratamiento de estos tumores.2,6,8,14-16 La videotoracoscopia (VATS) puede tener un importante papel en tumores pequeños y pediculados.16
Se estima que la sobrevida a 10 años de los TFS intratorácicos de origen pleural o extrapleural es de 73 a 100%. Las tasas de recurrencia varían entre 10 y 25%.2,11 Cuando son malignos, los sitios más comunes de metástasis son pulmones, hígado, huesos y cerebro.2,11 La resección incompleta, las formas sésiles, la invasión de tejidos vecinos, metástasis intratorácicas o extratorácicas, la presencia de síntomas, el sitio de implantación, un diámetro mayor de 10 cm, derrame pleural, CD34 negativo y un Ki67 > de 10% se asocian con mayores tasas de recurrencia.12,17
Sólo se usó quimioterapia adyuvante en el paciente con el tumor maligno no resecado y con metástasis intratorácicas, sin que el paciente se beneficiara, pues falleció antes de completarla. La radioterapia y la quimioterapia posoperatorias no han sido bien estudiadas en los TFS. Sin embargo, dada la falta de datos que respalden sus beneficios en relación con la prolongación del intervalo libre de enfermedad o sobrevida, no existe suficiente evidencia que avale su uso, aun en casos de resección incompleta o enfermedad residual.2
Nuestro trabajo tiene varias limitaciones. Se trata de un número muy reducido de pacientes, con corto tiempo de seguimiento y limitado a dos tercios de los pacientes. Por otro lado, el diagnóstico de TFS se basó únicamente en el examen histológico convencional, sin poder utilizar estudios de inmunohistoquímica que ayudaran a una mejor tipificación de los tumores.
Conclusiones
Se presenta una serie pacientes con TFS de la pleura, la mayoría sintomáticos, como reflejo de su gran tamaño y las condiciones de práctica en un país en vías de desarrollo con múltiples limitaciones; sin embargo, ilustra la presentación y comportamiento de estos tumores. Igualmente, pone de manifiesto que pese a su tamaño, la posibilidad de una resección completa a título curativo es posible.










nueva página del texto (beta)



