Introducción
La atresia bronquial (AB) es una anomalía congénita rara de etiología poco clara. Se clasifica en proximal o periférica. La afectación proximal es mortal, en la vida intrauterina o en el recién nacido, mientras que la periférica, la mayoría de las veces se presenta sin síntomas y el hallazgo tiende a ser incidental en las ayudas diagnósticas. Se ha descrito una mayor incidencia en hombres que en mujeres.
El diagnóstico se realiza a través de imágenes, con hiperinsuflación y mucocele distales al sitio de la atresia, como hallazgos patognomónicos. La fibrobroncoscopia es útil en el estudio de diagnósticos diferenciales (aspergilosis broncopulmonar alérgica, fibrosis quística, cuerpo extraño, entre otras). Es anecdótica la visualización directa de la AB por endoscopia ya que la afectación tiende a ser en ramificaciones distales.
El tratamiento de la AB suele ser conservador; sin embargo, con la aparición de síntomas frecuentes, infecciones a repetición o sangrados se opta por la resección quirúrgica del segmento afectado. Al ser una patología de poca incidencia a nivel mundial y en nuestro medio, presentamos una serie de casos diagnosticados en la ciudad de Bucaramanga, Colombia, con el objetivo de comparar la clínica y localización con lo reportado en la literatura.
Presentación de los casos
Caso 1
Hombre de 34 años, profesión electricista y procedente de Bucaramanga. Fue remitido por medicina interna al Servicio de Neumología por alteraciones imagenológicas de tórax tras chequeo general. No tenía limitación para la realización de actividad física ni crisis respiratorias en los últimos años. No obstante, tenía historia de exposición a aerosoles por su ocupación y refería cirugía de nariz y amígdalas, sin otros antecedentes relevantes.
Al examen físico se observó un paciente atlético, sin signos de dificultad respiratoria con peso de 82 kilogramos, talla de 1,75 centímetros, clase funcional OMS I/IV, tensión arterial 90/85 mmHg, frecuencia respiratoria de 20 respiraciones por minuto, frecuencia cardíaca de 57 latidos por minuto, oximetría de pulso de 93% al aire ambiente, temperatura corporal de 37 oC. No se encontraron alteraciones en el examen de cabeza y cuello, ni a nivel torácico. El resto del examen físico también estuvo dentro de límites normales.
Se le ordenó la realización de una radiografía de tórax (RT) en la que se encontró disminución del tamaño pulmonar izquierdo sin alteraciones parenquimatosas evidentes. En la RT de control, hecha a los tres meses, se observó una atelectasia parahiliar izquierda (Figura 1), tras lo cual se hizo una tomografía computarizada (TAC) de tórax en donde se halló dilatación quística del bronquio para el lóbulo superior izquierdo (LSI) con contenido de tejidos blandos en su interior, que no realzó al contraste, hallazgo compatible con un broncocele, adicionalmente, hiperaireación del segmento apicoposterior del LSI. Los hallazgos sugirieron la presencia de una AB en el segmento apicoposterior del LSI. Se realizó broncoscopia para descartar alteraciones adicionales, sin embargo, lo único evidente fue la disminución del calibre del bronquio segmentario apicoposterior del LSI. Teniendo en cuenta la ausencia de infecciones respiratorias recurrentes relacionadas a la alteración pulmonar, no se consideró necesaria la realización de una intervención quirúrgica de resección y se dio egreso con indicación de seguimiento por el Servicio de Neumología.
Caso 2
Se presenta el caso de un hombre de 33 años, procedente de Bucaramanga, soldador y pintor de profesión. Manifestó tos intensa y paroxística desde el inicio de su ejercicio laboral, por lo cual consultó al médico general que indicó realización de radiografía de tórax y manejo con Montelukast y Dihidrocodeina. En cita de control el paciente se encontraba asintomático, no obstante, por hallazgos anormales en su radiografía, el médico decidió remitir al neumólogo.
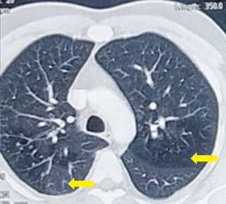
En consulta de neumología presentó radiografía de tórax en la que se observó una lesión focal «en dedo de guante» en la región parahiliar derecha y alteraciones intersticiales mixtas apicales (Figura 2). Se amplió estudio de dichos hallazgos con TAC de tórax y se observaron alteraciones intersticiales nodulares y tractos fibrosos apicales bilaterales, con lesión ovalada en segmento superior de lóbulo inferior derecho (LID) con densidad cálcica en su interior, de aspecto benigno y, adicionalmente, atenuación en mosaico generalizada (Figuras 3-5). Durante la consulta no mencionó historia de tuberculosis pulmonar o contacto con sintomáticos respiratorios. Tenía exposición a vapores de soldadura y material particulado durante su vida laboral. Algunos síntomas gripales ocasionales.

Figura 2: Radiografía de tórax anteroposterior y lateral. El círculo rojo muestra una lesión focal «en dedo de guante» parahiliar derecha.

Figura 3: Tomografía de tórax. Las flechas muestran alteraciones intersticiales nodulares y tractos fibrosos apicales bilaterales.

Figura 5: Tomografía de tórax. El círculo rojo enmarca una lesión ovalada en segmento superior de lóbulo inferior derecho con densidad cálcica en su interior, de aspecto benigno.
Al examen físico se observó un paciente normolíneo, sin signos de dificultad respiratoria, con peso de 94 kilogramos, afebril, frecuencia cardíaca de 88 latidos por minuto, frecuencia respiratoria de 20 respiraciones por minuto y oximetría de pulso de 93% al aire ambiente. Como hallazgos anormales se encontraron: edema de cornetes nasales inferiores, y a nivel torácico estertores finos basales derechos. El resto de examen físico estuvo dentro de rangos normales.
Los hallazgos observados en la TAC sugirieron una AB en el segmento superior del LID. Dada la ausencia de síntomas compatibles con tuberculosis y resultados de estudios microbiológicos en esputo negativos, se consideró que el paciente no requería intervenciones farmacológicas; sin embargo, una tuberculina positiva estuvo a favor de tuberculosis latente.
Caso 3
Se presenta el caso de un hombre joven de 26 años, soltero, estudiante de medicina y residente en Bucaramanga. Durante un chequeo de medicina general manifestó dolor intermitente en hemitórax izquierdo, de tres meses de evolución, de tipo punzante, acentuado durante episodios gripales. No refirió síntomas respiratorios; por lo cual se tomó RT que se reportó como anormal y se complementó estudio con TAC de tórax y remisión a Neumología. El paciente realizaba actividad deportiva regular como jugador de baloncesto, tres veces a la semana sin limitación.
En consulta de Neumología refiere antecedente de neurocisticercosis en 2013 en manejo anticonvulsivante con levetiracetam y oxcarbazepina, y apendicectomía en el 2005. No había tenido historia de tuberculosis pulmonar o contacto con sintomáticos respiratorios.
Al examen físico se observó paciente normolíneo, sin signos de dificultad respiratoria con peso de 70 kilogramos, talla 1,70 centímetros, clase funcional OMS I/IV, tensión arterial 120/80 mmHg, frecuencia respiratoria 18 respiraciones por minuto, frecuencia cardíaca 70 latidos por minuto, oximetría de pulso 95% al aire ambiente, temperatura de 37 oC. El resto de su examen físico estuvo dentro de los límites normales.
Los hallazgos de la TAC de tórax (Figuras 6-8) correspondieron a la presencia de imagen nodular irregular parahiliar derecha con hiperinflación segmentaria distal a la alteración. Se realizó fibrobroncoscopia para exploración de la vía aérea, la cual fue normal. Se dio egreso de la consulta de Neumología sin indicación quirúrgica debido a la ausencia de síntomas e infección respiratoria recurrente.

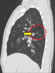
Figura 6: Tomografía de tórax-plano coronal. El círculo rojo enmarca una región hipodensa en el lóbulo superior derecho. La flecha evidencia el mucocele del bronquio atrésico.

Figura 7: Tomografía de tórax-plano sagital derecho. El círculo rojo enmarca una región hipodensa en el lóbulo superior derecho. La flecha evidencia el mucocele del bronquio atrésico.

Figura 8: Tomografía de tórax-plano axial. El círculo rojo enmarca una región hipodensa en el lóbulo superior derecho. La flecha evidencia el mucocele del bronquio atrésico.
En la Tabla 1 se muestra el resumen de las características más relevantes de los casos expuestos.
Tabla 1: Características generales de los casos reportados.
| Edad de Dx | Sexo | Frecuencia respiratoria (rpm) | Síntomas | Método Dx | Lóbulo de localización de la malformación | Dx concomitante | |
|---|---|---|---|---|---|---|---|
| Caso 1 | 34 | M | 20 | Ausente | TAC | Superior izquierdo | Sano |
| Caso 2 | 33 | M | 20 | Ausente | TAC | Inferior derecho | Sospecha de secuelas de TBC |
| Caso 3 | 26 | M | 18 | Dolor en hemitórax izquierdo | TAC | Superior derecho | Sano |
Dx = Diagnóstico; rpm: respiraciones por minuto; TAC = Tomografía computarizada; TBC = Tuberculosis.
Discusión
La AB congénita deriva de la interrupción de un bronquio lobar, segmentario o subsegmentario, asociado al impacto de moco en la vía aérea periférica, y a la presencia de hiperinsuflación del segmento pulmonar obstruido. Usualmente, hay una arteria colateral anómala proveniente de la circulación sistémica.1,2
Es una anomalía poco frecuente. El primer caso fue descrito en 1853 por Ramsay.3,4 El diagnóstico usualmente es incidental ya que alrededor del 50% de los pacientes son asintomáticos. En el estudio de Psathakis y colaboradores publicado en el 2004, se encontró que el tamizaje radiográfico en una población de hombres identificó 1,2 casos por/100,000.5 La incidencia en mujeres es mucho menor y se puede definir una relación hombre-mujer 2:1. En nuestra serie de casos todos fueron hombres con identificación de la enfermedad en la adultez joven, conforme a lo reportado en algunas series.
La AB se ha clasificado en proximal y periférica. La atresia proximal involucra el tronco principal o los bronquios lobares proximales. Es de mal pronóstico, a menudo derivando en muerte prenatal o neonatal por pérdida del volumen pulmonar e insuficiencia cardíaca por compresión de la vena cava inferior. La atresia periférica afecta los bronquios segmentarios y por lo general es asintomática sin consecuencias clínicas;3 aunque, el paciente puede manifestar infecciones pulmonares a repetición, tos, sibilancia o disnea y de manera inusual hemoptisis.6,7 Uno de los pacientes presentados anteriormente refirió dolor torácico persistente en el hemitórax derecho, lugar en el cual se identificó la AB, sin embargo, no pudo establecerse la relación directa con dicha patología.
El primero de nuestros casos cursa con atresia en el segmento apicoposterior del LSI, en concordancia a lo encontrado en la literatura, en donde se reporta que el bronquio mayor frecuentemente afectado es el apical posterior del LSI en el 64% de los casos, le sigue el lóbulo inferior izquierdo con el 14% y el lóbulo medio e inferior derecho en el 8%2, como es el segundo caso presentado aquí, donde la AB se localiza en el segmento superior del LID. El tercer caso tiene una disposición atípica afectando el LSD.
Si bien, no es clara la etiología se ha postulado como causa la injuria vascular de la arteria pulmonar durante la vida fetal derivando en isquemia y cicatrización bronquial.1 La localización de la atresia se ha correlacionado con la semana del desarrollo intrauterino en la que se empieza a desarrollar, a saber: 5ª semana lobar, 6ª semana segmentaria y 16ª semana subsegmentaria.6,7 El bronquio distal al sitio de lesión se desarrollará normalmente y tendrá acceso aéreo a través de vías colaterales como los poros Kohn y canales de Lambert, los cuales permiten mayor flujo de aire durante la inspiración que durante la espiración, resultando en hiperinsuflación y atrapamiento aéreo distal. De manera característica, hay acumulación de moco en la región distal a la atresia por alteración en la depuración mucociliar, dando origen al broncocele.2,7 Aunque la AB en su mayoría es descrita como hallazgo aislado, también puede encontrarse asociada a otras malformaciones como defectos pericárdicos, retorno venoso pulmonar aberrante, etc.7 En nuestros casos, no hubo hallazgos o reportes de malformaciones adicionales.
El diagnóstico puede realizarse sólo con una RT, aunque recién la TAC es el procedimiento de elección. En la radiografía se puede identificar hiperlucidez en el 67% de los casos debido al atrapamiento aéreo, nódulo o masa hiliar radiopaca correspondiente al mucocele (incluyendo el signo del «dedo en guante»)8 en el 89% de los pacientes o ambos hallazgos en el 67%.9 La TAC es más sensible que la RT en la detección de hiperinsuflación, en la descripción de la morfología del broncocele y de la vasculatura anómala.2
El reconocimiento de esta condición infrecuente implica plantear diagnóstico diferencial con las alteraciones incidentales y focales de la vía aérea en adultos que generen compactación de moco como aspergilosis broncopulmonar alérgica, fibrosis quística, obstrucciones adquiridas (cuerpos extraños, neoplasias) y broncolitiasis.2,6,8 Uno de los métodos para descartar diagnósticos diferenciales es la broncoscopia, que podría permitir la identificación extremo ciego del bronquio atrésico; sin embargo, dependerá que tan distal se localice la atresia.1 Las broncoscopias realizadas a los casos presentados no identificaron anomalías endobronquiales, siendo reportadas como normales.
El paciente asintomático por lo común no requiere tratamiento, reservándose la resección quirúrgica del área afectada para los pacientes que presenten complicaciones importantes como infecciones a repetición o que comprometan una porción significativa del parénquima pulmonar.6,8 El tratamiento definido en nuestros casos, de acuerdo a la presentación clínica correspondió a manejo expectante o conservador.
Conclusión
La serie de casos presentada permitió realizar una comparación con los aspectos de la AB descritos en la literatura, lo cual no estuvo lejos del estándar; y nos proporciona información relevante para considerar esta patología en el diagnóstico diferencial de la afectación bronquial focal con hiperinsuflación pulmonar distal.










nueva página del texto (beta)




