SciELO - Scientific Electronic Library Online

 
vol.68 número4Granulomatosis con poliangeítis asociada a síndrome nefrótico, insuficiencia renal y dificultad respiratoria rápidamente progresivos. Informe de un casoUn bot de soporte para las funciones de un Consejo Técnico índice de autoresíndice de materiabúsqueda de artículos
Home Pagelista alfabética de revistas  

Servicios Personalizados

Revista

Articulo

Indicadores

Links relacionados

  • No hay artículos similaresSimilares en SciELO

Compartir


Revista de la Facultad de Medicina (México)

versión On-line ISSN 2448-4865versión impresa ISSN 0026-1742

Rev. Fac. Med. (Méx.) vol.68 no.4 Ciudad de México jul./ago. 2025  Epub 05-Sep-2025

https://doi.org/10.22201/fm.24484865e.2025.68.4.06 

Caso clínico radiológico

Haga su diagnóstico

Ana Paola Cerda Sáncheza  * 
http://orcid.org/0000-0002-0375-9974

Gaspar Alberto Motta Ramíreza 
http://orcid.org/0000-0001-9449-4600

Bárbara Victoria  Cárdenas Almaráza 
http://orcid.org/0000-0001-7204-3075

a Departamento de Imagenología. Hospital Ángeles Pedregal. Ciudad de México, México.


Paciente del sexo femenino, de 47 años de edad, que al inicio de una cirugía bariátrica laparoscópica abdominal, durante la inspección de la cavidad abdominal y su contenido, se evidenció una lesión focal hepática, lo que representó un hallazgo incidental (figura 1), por lo que se decidió suspender el procedimiento y evaluar dicha

Sección a cargo del Dr. José Luis Ramírez-Arias

  1. ¿Cuál es la lesión hepática más común?

    1. Esteatosis hepática focal

    2. Quiste simple

    3. Adenoma

    4. Hemangioma

  2. ¿Qué es un hemangioma hepático?

    1. Un tumor maligno del hígado

    2. Una infección hepática

    3. Un tumor benigno formado por vasos sanguíneos

    4. Un tipo de cirrosis hepática

  3. ¿Cuál es la presentación clínica más común de un hemangioma hepático?

    1. Dolor abdominal intenso

    2. Asintomático

    3. Ictericia

    4. Sangrado

    Figura 1 Imagen obtenida durante cirugía laparoscópica; se observa una lesión exofítica, vascularizada, en el segmento III hepático 

  4. La figura 2 señala la lesión vista por laparoscopía. ¿En dónde está localizada?

    1. En el segmento III hepático

    2. En el lóbulo hepático derecho

    3. En el lóbulo caudado

    4. En el segmento VII hepático

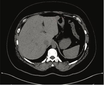
    Figura 2 Estudio de tomografía computada abdominopélvica en fase simple; se señala la lesión hepática (círculo punteado) en correlación con la imagen obtenida durante la laparoscopia 

  5. ¿Qué tratamiento se recomienda para la mayoría de los hemangiomas hepáticos?

    1. Cirugía inmediata

    2. Observación y seguimiento con imágenes

    3. Quimioterapia

    4. Ablación por radiofrecuencia

Respuestas: 1: d; 2: c; 3: b; 4: a; 5: b.

BIBLIOGRAFÍA

Benavides C, Garcia C, Rubilar P, Covacevich S, Perales C, Ricarte F, et al. Hemangiomas hepáticos. Rev Chil Cir. 2006;58(3):194-8. [ Links ]

Beristain-Hernández JL, Mora-Muñoz VS, García-Sánchez M. Segmentectomía lateral izquierda laparoscópica por un hemangioma hepático gigante. Rev Gastroenterol Méx. 2021; 86:439-53. [ Links ]

Motta-Ramírez GA, Gómez-Pompermayer I, Ortiz-León JL, Cohen-Yañez J. Hemangioma hepático: patrones de imagen por tomografía computada multidetector. Rev Sanid Milit Mex. 2009;63(6):280-5. [ Links ]

Recibido: 30 de Marzo de 2025; Aprobado: 25 de Junio de 2025

* Autora para correspondencia: Ana Paola Cerda Sánchez.Correo: dra.paolacerda@gmail.com

Creative Commons License Este es un artículo publicado en acceso abierto bajo una licencia Creative Commons