INTRODUCCIÓN
El pilomatrixcarcinoma es un tumor maligno poco frecuente que se origina en la matriz del folículo piloso. Se considera la forma agresiva del pilomatrixoma, descrito inicialmente en 1962 por Malherbe y Choux como un epitelioma calcificante1. Aunque el pilomatrixoma, también conocido como tumor calcificante del folículo piloso, es generalmente benigno y se manifiesta como una masa indolora de crecimiento lento, su variante maligna, el pilomatrixcarcinoma, presenta un comportamiento clínico y patológico más agresivo2.
El pilomatrixcarcinoma se distingue por su naturaleza agresiva, con una alta probabilidad de recurrencia local y metástasis. Histológicamente se observa la presencia de vesículas hipercromáticas y una proliferación activa de células epiteliales3. El diagnóstico definitivo suele ser confirmado mediante examen histopatológico, que revela características específicas del tumor maligno, diferenciándolo del pilomatrixoma benigno4.
En este estudio, se presenta el caso de un paciente masculino que acudió a consulta por una masa palpable en la región dorsal del tórax, en la línea axilar posterior. La evaluación histopatológica confirmó el diagnóstico de pilomatrixcarcinoma, resaltando la importancia de una identificación precisa y una intervención temprana para un manejo adecuado de esta neoplasia.
PRESENTACIÓN DEL CASO
Se presenta el caso de un paciente del sexo masculino de 56 años, sin antecedentes médicos relevantes para su padecimiento actual. Sus síntomas comenzaron 5 años atrás con episodios de calor, rubor y un aumento progresivo de volumen en la región dorsal derecha. Estos síntomas se acompañaban de dolor a la palpación, secreción fétida, sangrado ocasional y episodios febriles no cuantificados, lo que motivó su consulta en el servicio de urgencias del hospital.
En el examen físico, el paciente se encontraba consciente, orientado y cooperativo. Se identificó un tumor de 20 × 15 cm en la región dorsal, a nivel infraescapular derecho. La masa era de consistencia blanda, con signos de hiperemia, dolor a la palpación y secreción purulenta de olor fétido. Se decidió iniciar el protocolo diagnóstico con una tomografía computarizada (figura 1).

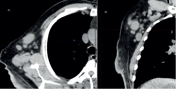
Imágenes: Calderón Valderrama, et al.
Figura 1 a) Tomografía axial de tórax en fase simple, ventana para mediastino, que muestra una gran lesión en tejidos blandos, isodensa al plano muscular. Se identifican imágenes nodulares hipodensas sugerentes de necrosis, así como imágenes lineales hiperdensas compatibles con calcificaciones. b) Reconstrucción volumétrica que evidencia el tamaño significativo de la lesión.
La tomografía evidenció una lesión de gran tamaño con densidad de tejidos blandos, ubicada en la región dorsal derecha y extendida hacia la línea axilar posterior (figura 2). Además, se observó afectación ganglionar ipsilateral (figura 3).

Imágenes: Calderón Valderrama, et al.
Figura 2 Tomografía axial de tórax en fase simple, ventana para mediastino, que revela una gran lesión exofítica de densidad de tejidos blandos, localizada en la región dorsal derecha, en la línea axilar posterior. a) Reconstrucción volumétrica. b) Proyección axial. c) Reconstrucción sagital. c) Coronal.

Imágenes: Calderón Valderrama, et al.
Figura 3 a) Tomografía axial de tórax en fase simple en plano axial. b) Reconstrucción coronal, ambas en ventana para tejidos blandos, donde se observan ganglios axilares con pérdida de su morfología habitual, en relación con la infiltración del tumor primario ya diagnosticado.
El paciente fue evaluado por el servicio de dermatología, que sugirió inicialmente una dermatosis localizada en la región escapular derecha, posiblemente un dermatofibrosarcoma. Se realizó una biopsia, cuyo resultado indicó un carcinoma con diferenciación anexial, sugestivo de pilomatrixcarcinoma. Ante estos hallazgos, se recomendó valoración por oncología y se optó por una resección amplia de la lesión, seguida de reconstrucción en colaboración con el servicio de cirugía plástica (figura 4). Adicionalmente, se iniciaron ciclos de quimioterapia con cisplatino y 5-fluorouracilo (5-FU).

Imagen: Calderón Valderrama, et al.
Figura 4 Fotografía de la región dorsal con cambios postquirúrgicos y postquimioterapia. Se observa una herida de gran tamaño con algunas áreas ulceradas.
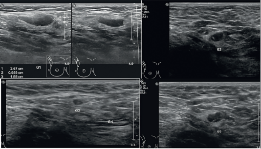
Debido al compromiso ganglionar axilar, se realizó una ecografía mamaria que evidenció ganglios con pérdida de su morfología habitual (figura 5). En consecuencia, se propuso una disección radical axilar derecha, programada para el 14 de septiembre de 2023 en conjunto con el servicio de cirugía plástica. Posterior a la resección ganglionar, las muestras fueron enviadas al servicio de patología, donde se confirmó la afectación tumoral de los ganglios extraídos. El paciente continuó con ciclos de quimioterapia con cisplatino y 5-FU, logrando la resolución completa de la enfermedad. Se programó control por servicios multidisciplinarios con estudios de imagen, evidenciando que el paciente se encontró libre de enfermedad para octubre del 2024.
DISCUSIÓN
El pilomatrixoma, también conocido como tumor de Malherbe o piloma calcificado, es un tumor benigno de la piel que se origina en las células de la matriz del folículo piloso. Aunque es más frecuente en niños y adultos jóvenes, puede afectar a personas de todas las edades. Suele manifestarse como un nódulo firme y móvil bajo la piel, con una coloración similar a la piel o ligeramente amarillenta1. En una revisión de la literatura médica, se ha reportado una mayor incidencia en mujeres. La presentación típica es una lesión solitaria que afecta los estratos dérmicos y ocasiona cambios en la coloración de la piel. En adultos, las localizaciones más comunes incluyen los miembros superiores, la glándula parótida y el dorso, con variabilidad en tamaño y patrón de crecimiento2.
En el caso presentado, el diagnóstico se estableció mediante tomografía computarizada, evaluación clínica y análisis del tiempo de evolución. Se realizó una escisión quirúrgica con análisis histopatológico posterior, que confirmó el diagnóstico de pilomatrixcarcinoma. Este caso es particularmente relevante debido al compromiso ganglionar ipsilateral, evidenciado mediante ecografía de ganglios axilares derechos. Los hallazgos ecográficos incluyeron pérdida de la relación córtico-medular, desplazamiento del hilio graso, engrosamiento cortical (> 3 mm) y vascularidad periférica en Doppler. Estos hallazgos corroboran el compromiso ganglionar del pilomatrixcarcinoma3.
La literatura reciente sugiere que el pilomatrixcarcinoma tiene una mayor incidencia en hombres, con una proporción de 1.3 respecto a las mujeres, y es más frecuente en la sexta y séptima décadas de la vida4. Las teorías sobre el desarrollo del pilomatrixcarcinoma indican que puede surgir de la transformación maligna de un pilomatrixoma preexistente5,6. Esta teoría se basa en la evidencia de que los cambios malignos pueden ocurrir en tumores benignos preexistentes. El diagnóstico histopatológico diferencial incluye el carcinoma pilomatrical y el pilomatrixcarcinoma, caracterizados por un patrón de crecimiento morfológico asimétrico, ulceración, diferenciación pobre e infiltración tumoral2.
CONCLUSIONES
El pilomatrixoma se presenta con mayor frecuencia en pacientes jóvenes y niños; sin embargo, como se muestra en este caso, puede aparecer en adultos con un patrón más agresivo, expansivo e infiltrante. Es fundamental comprender en profundidad los rasgos de comportamiento de esta entidad para evaluar adecuadamente los probables escenarios clínicos. Los estudios de imagen, la clasificación y caracterización del tumor son cruciales para el enfoque terapéutico y el seguimiento de esta patología3.
El pilomatrixoma es más frecuente en niños y adultos jóvenes; sin embargo, como se evidencia en este caso, puede presentarse en adultos con un comportamiento más agresivo, expansivo e infiltrante. La comprensión detallada de esta entidad es fundamental para evaluar los distintos escenarios clínicos y establecer un diagnóstico preciso. Los estudios de imagen, junto con la clasificación y caracterización del tumor, son esenciales para definir el enfoque terapéutico y garantizar un seguimiento adecuado3.










nueva página del texto (beta)





