Introducción
La vena cava superior drena directamente a la aurícula derecha la sangre de la cabeza, cuello y miembros torácicos, originándose de la unión de las 2 venas braquiocefálicas derecha e izquierda detrás del primer cartílago costal derecho1.
La anomalía venosa torácica congénita más frecuente es la doble vena cava superior VCS, debido a la persistencia de la vena cava superior izquierda. Su frecuencia no es precisa y se estima una incidencia de 0.5 al 2% incluso hasta el 3% a nivel mundial en población sana y del 11% de los pacientes con cardiopatías congénitas2-5.
Las anomalías de la vena cava superior se desarrollan a partir de defectos durante el desarrollo embriológico, aproximadamente al día 24 de gestación, la sangre venosa de la cabeza y la mitad superior del cuerpo se drena a través de 2 venas bilaterales llamadas venas cardinales. Las venas cardinales anterior y posterior en los lados derecho e izquierdo se unen para formar las venas cardinales comunes derecha e izquierda que drenan en el seno venoso. Entre la cuarta y octava semana de gestación se fusionan la parte caudal de la vena cardinal superior derecha, junto con la vena cardinal común para formar la vena cava superior derecha y la vena cardinal común izquierdo y la parte caudal de la cardinal superior izquierdo se degeneran. Sí este último proceso no se lleva a cabo, persistirá la vena cava superior izquierda4-6.
La presentación clínica suele ser asintomática y resultado de un hallazgo radiográfico o durante procedimientos torácicos, principalmente durante la colocación de accesos venosos centrales o durante cateterismos cardiacos como la colocación de marcapasos7,8.
John Hunter cirujano y anatomista escoces fue el primero en describir la doble vena cava superior en humanos y desde entonces las descripciones solo se han hecho como reportes de caso, dada la baja incidencia de la anomalía venosa9.
Objetivo
Presentar el caso de un paciente nefrópata, de 45 años, al que se le identificó doble vena cava superior de manera incidental durante la colocación de catéter venoso central Mahurkar para hemodiálisis.
Caso clínico
Hombre de 54 años que ingresó al servicio de nefrología de nuestro Hospital General, con diagnóstico de infección asociada a angioacceso y los siguientes antecedentes personales patológicos: diabetes tipo 2 de 15 años de diagnóstico, sin tratamiento actualmente, hipertensión arterial sistémica de 7 años de diagnóstico en tratamiento médico y enfermedad renal crónica KDIGO 5 de 2 años de diagnóstico en terapia sustitutiva de la función renal desde hace un año en modalidad hemodiálisis.
Antecedentes quirúrgicos: Osteosíntesis de tibia y peroné derechos hacía 4 años.
Traumatismos: Fractura de tibia y peroné derechos hacía 4 años.
Historial de accesos vasculares:
10/04/2022: Catéter yugular derecho retirado por disfunción.
10/04/2022: Catéter yugular derecho tunelizado en funcionamiento actual.
05/2022: Catéter femoral derecho colocado por disfunción de tunelizado, se retiró un mes posterior a la apertura del catéter tunelizado.
23/05/2023: Fístula arteriovenosa.
19/06/2023: Catéter yugular derecho tunelizado retirado por infección de angioacceso.
23/06/23: Catéter yugular izquierdo tipo Mahurkar.
El paciente comenzó su padecimiento actual con sensación de alza térmica durante y después de la sesión de hemodiálisis, por lo que acudió al servicio de urgencias con una temperatura de 38.5 °C. Se inició manejo ambulatorio con cefotaxima 1 gramo cada 24 horas. Cinco días después, persistían signos de bacteriemia, por lo que fue hospitalizado y se tomaron hemocultivos que resultaron positivos para Staphylococcus y se ajustó el tratamiento antibiótico a vancomicina. Se decidió retirar el catéter yugular derecho tunelizado y coloración de catéter yugular izquierdo tipo Mahurkar.

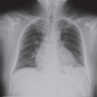
Foto: Castañeda Morales et al.
Figura 1 Radiografía simple de tórax, donde se observa catéter venoso central en vena cava superior izquierda
Se colocó un catéter Mahurkar sin complicaciones, pero en la radiografía de tórax figura 1 se observó una localización atípica. Por lo tanto, se solicitó una angiotomografía de tórax, la cual mostró imágenes relacionadas con la persistencia de la vena cava superior izquierda figuras 2 y 3, con el catéter venoso central en su interior, cuyo extremo se encontraba en el tercio distal vaso anómalo se originaba en la confluencia de la vena yugular interna izquierda y la vena subclavia izquierda, discurriendo inferiormente a la izquierda del arco aórtico y anterior al hilio pulmonar izquierdo, drenando finalmente en la aurícula derecha.

Figura 2 Angiotomografía de tórax ventana simple, corte coronal que muestra el catéter venoso central colocado en la vena cava superior persistente y que sigue el trayecto a lo largo del mediastino izquierdo

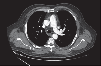
Fotos: Castañeda Morales et al.
Figura 3 Angiotomografía de tórax venta na arterial, corte axial que muestra el catéter venoso central colocado en la vena cava superior persistente
Electrocardiograma de 12 derivaciones
Ritmo sinusal, FC 60 lpm, aQRS -30°, aQRS 360 ms, QTm 360 ms, con datos de hipertrofia ventricular izquierda y bloqueo de la subdivisión anterior de la rama izquierda del fascículo del haz de His.
Ecocardiograma transtorácico
Hipertrofia concéntrica del ventrículo izquierdo, con fracción de eyección 73%, ventrículo derecho con pared libre de 5 mm, TAPSE 22 mm, Onda S de 12 cm/s, PSAP 35, SLG -18.3%, se observó dilatación auricular izquierda.
Ecocardiograma transesofágico
No se observaron imágenes sugerentes de vegetaciones, válvula aórtica con esclerosis de sus valvas y calcificación moderada de sus bordes libres, con calcificación nodular predominantemente de la valva no coronaria sin evidencia de vegetaciones y sin insuficiencia. Resto de válvulas sin alteraciones significativas. Aurícula izquierda dilatada. Orejuela izquierda con forma en “manga de viento” sin imágenes de trombos en su interior. No se observaron trombos intracavitarios. Pericardio de características normales y sin derrame pericárdico.
Discusión
La doble vena cava superior se identifica la mayoría de las veces después de la colocación de un catéter venoso central; sin embargo, en el caso descrito el paciente tenía antecedentes de múltiples accesos centrales sin ser identificada esta variante anatómica, probablemente porque las primeras opciones de colocación de estos dispositivos son en el hemicuello derecho y la presentación de la doble vena cava superior es en su mayoría izquierda.
Las anomalías de los grandes vasos pueden acompañarse de otras alteraciones vasculares y/o cardiológicas. En el caso presentado se puede atribuir la dilatación de la aurícula derecha a la presencia de doble vena cava superior.
Por otro lado, los estudios de imagenología permiten una mejor descripción -y en algunos casos la clasificación- de las anomalías anatómicas, ayudando a disminuir posibles riesgos y complicaciones previo a procedimientos o para corroborar el resultado de una intervención.
Conclusiones
Identificar las principales alteraciones vasculares puede prevenir complicaciones durante los procedimientos como la colocación de catéter venoso central; sin embargo, resulta un hallazgo incidental que puede estar acompañado de otras anomalías cardiacas.










nueva página del texto (beta)






