Introducción
El síndrome de Miller-Dieker cuenta con un patrón de herencia autosómico dominante y pertenece al grupo de trastornos de la migración neuronal. Se caracteriza por la presencia de lisencefalia de tipo 1, retraso global del desarrollo, microcefalia, epilepsia y dismorfismos faciales dados por mutaciones en el cromosoma 17p13.1
La lisencefalia de tipo 1 se caracteriza por una superficie lisa de la corteza cerebral (lisencefalia), ausencia de circunvoluciones cerebrales (agiria) y aumento del grosor de las circunvoluciones (paquigiria)2.
En 1942, Earl Walker dio a conocer los primeros casos de lisencefalia en referencia a la apariencia de la superficie cortical3, posteriormente James Q. Miller, en 1963, describió en 2 hermanos la ausencia de circunvoluciones cerebrales asociadas a una corteza compuesta por 4 capas, y documentó los dismorfismos faciales asociados4. En 1969, Hans Dieker contribuyó a la identificación del síndrome al detectar en dos hermanos la presencia de un trastorno similar5.
El síndrome de Miller-Dieker es una enfermedad extremadamente rara con prevalencia de 1 caso por cada 100,000 recién nacidos vivos1. En México, el síndrome de Miller-Dieker se ha reportado como la causa del 4.5% de los casos de lisencefalia de tipo 1.6
Nosotros presentamos dos casos de síndrome de Miller-Dieker donde los datos de la exploración física y del interrogatorio fueron pistas que permitieron una fuerte sospecha diagnóstica y que a su vez el diagnóstico definitivo permitió brindar un adecuado manejo con la finalidad de mejorar el pronóstico a largo plazo.
Presentación de casos
Caso 1
Paciente del sexo femenino, de 2 años 4 meses, con los siguientes antecedentes perinatales: hija de madre de 20 años, producto de la primera gestación que cursó un embarazo de 38 semanas sin control prenatal, tratado mediante resolución vía abdominal por preeclampsia con datos de severidad, APGAR 8/9 y con un peso al nacer de 2,545 gramos. En el momento de la valoración con diagnóstico de retraso global del desarrollo y epilepsia focal de evolución tórpida desde los 6 meses de edad en tratamiento con valproato de magnesio 40 mg/kg/día.
Durante la exploración física se identificó un peso de 8.9 kg, talla de 81 cm, perímetro cefálico de 44 cm (microcefalia, por debajo del percentil 3 de la OMS), hipotonía cervical, cuadriparesia espástica e hiperreflexia generalizada. Se identificó una frente prominente, hundimiento biparietal, puente nasal deprimido con narinas antevertidas y micrognatia. Presentó sonrisa al llamado materno, sin balbuceo, pinza gruesa y dificultad para la sedestación.
Acudió a valoración por haber presentado 6 crisis generalizadas tónico clónicas durante 24 horas con duración de hasta 5 minutos cada crisis, a su llegada no presentó crisis epilépticas.
El electroencefalograma mostró abundante actividad epiléptica focal interictal en región temporal bilateral, asimétrica, asincrónica con sincronización ocasional de forma temporal bilateral.
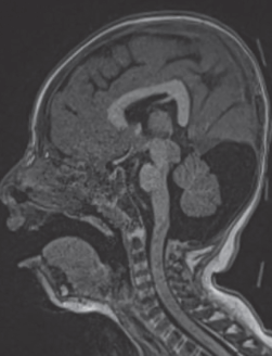
La resonancia magnética de cráneo identificó engrosamiento generalizado de la corteza cerebral de 16 mm, apariencia lisa macroscópica, poca profundidad de las cisuras de Silvio y disminución generalizada de la surcación. Se identificaron focos heterotópicos periventriculares frontales (figura 1). En el cuerpo calloso se observó la formación de un ángulo recto entre el cuerpo y el esplenio, así como la presencia de megacisterna magna (figura 2).

Figura 1 Resonancia magnética cerebral en secuencia T1 en corte sagital que identifica apariencia lisa y disminución de la surcación de la superficie cortical cerebral, así como heterotopías periventriculares frontales

Figura 2 Secuencia T1 en corte sagital en donde se observa un ángulo recto entre el cuerpo y el esplenio del cuerpo calloso y coexistencia de megacisterna magna
El cariotipo reveló un genotipo 46,XX y el diagnóstico genético mediante hibridación fluorescente in situ (FISH) identificó una deleción en el cromosoma 17p13.3.
Se agregó oxcarbazepina 40 mg/kg/día al tratamiento resultando en poca mejoría clínica, por lo que posteriormente se añadió levetiracetam 36.5 mg/kg/día con el que actualmente presenta mejoría parcial en el control de las crisis epilépticas.
Caso 2
Lactante del sexo masculino, de 8 meses, con antecedentes perinatales de embarazo normoevolutivo de 38 semanas sin control prenatal, con resolución por cesárea electiva, con peso al nacer de 3,150 gramos y APGAR 8/9, sin referir antecedentes personales patológicos.
Inició el padecimiento a los 4 meses de edad cuando presentó espasmos tónicos en flexión, acudiendo con facultativo, quien brindó el diagnóstico de síndrome de West e inició manejo con ácido valproico sin presentar mejoría, motivo por el cual acudió a una nueva valoración.
En la exploración física se identificó un peso de 7 kg, talla de 70 cm, perímetro cefálico de 42 cm (microcefalia, por debajo del percentil 3 de la OMS), hundimiento biparietal, frente prominente, falta de sostén cefálico, ausencia de sedestación, pobre respuesta al estímulo luminoso y cuadriparesia hipotónica hiporrefléctica.
El electroencefalograma mostró datos de hipsarritmia modificada de predominio central derecho y temporal izquierdo.
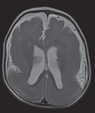
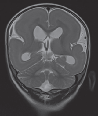
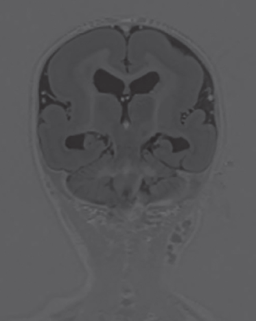
La resonancia magnética cerebral permitió reconocer un engrosamiento difuso de la corteza cerebral de forma bilateral con disminución de la superficie giral suprayacente, así como apariencia lisa de ambos hemisferios (figura 3), además se asoció con la presencia de heterotopia en banda hiperintensa en T1 e hipointensa en T2 (figura 4), así como disminución generalizada del grosor del cuerpo calloso y de ambos hipocampos (figura 5). Mediante este estudio se brindó el diagnóstico de lisencefalia de tipo 1 con heterotopia en banda del grupo IIB.

Figura 3 Corte axial de resonancia magnética cerebral ponderada en T2 que muestra engrosamiento difuso de la corteza cerebral bilateral y apariencia lisa de la superficie cortical

Figura 4 Secuencia T2 en corte coronal que muestra banda heterotópica hipointensa de predominio periventricular

Figura 5 Corte coronal de la secuencia ponderada en inversión-recuperación que muestra disminución generalizada del grosor del cuerpo calloso y de ambos hipocampos
El cariotipo mostró un genotipo 46,XY y mediante FISH se identificó una deleción en el cromosoma 17p13.3, que permitió brindar el diagnóstico de síndrome de Miller-Dieker. Se brindó tratamiento con levetiracetam 40 mg/kg/día y vigabatrina 40 mg/kg/día, actualmente con adecuado control de los espasmos infantiles.
Discusión
El síndrome de Miller-Dieker se desarrolla entre las 10 a 14 semanas de gestación como efecto de deleciones o microdeleciones en el cromosoma 17p13.3 en el que se ubica el gen YWHAE y el gen PAFAH1B1.7
El gen PAFAH1B1 codifica para LIS-1, a su vez el gen YWHAE codifica para 14-3-3ɛ que participa junto con LIS-1 y la dineína para regular la movilización de los microtúbulos de las neuronas y con ello participan en la migración neuronal8. La deleción del gen PAFAH1B1 resulta en la secuencia de lisencefalia aislada, sin presencia de dismorfismos faciales, mientras que deleciones largas entre los genes YWHAE y PAFAH1B1 resultan en el síndrome de Miller-Dieker9.
Histológicamente, como resultado de una corteza cerebral poco organizada, se identifican 4 capas a diferencia de las 6 capas presentes en una corteza sin alteraciones. La primera es la capa molecular, seguida por la capa compuesta de neuronas piramidales, la tercera capa contiene fibras mielinizadas con menor cantidad de neuronas y la última capa se caracteriza por desorganización neuronal total10.
Los dismorfismos faciales incluyen microcefalia, hundimiento craneal biparietal, frente prominente, implantación baja de oídos, nariz corta con narinas antevertidas, puente nasal ancho, labio superior prominente y micrognatia11. En nuestros pacientes dichos hallazgos fueron identificados y ayudaron a brindar una fuerte sospecha diagnóstica.
Otras anomalías asociadas son polihidramnios, defectos septales ventriculares o auriculares, tetralogía de Fallot, estenosis valvular pulmonar, restricción simétrica del crecimiento intrauterino, polihidramnios u onfalocele12.
Al igual que en nuestros casos, inicialmente en el síndrome de Miller-Dieker se presenta hipotonía que progresará a espasticidad, así como retraso del desarrollo global, cambios de comportamiento, trastorno obsesivo compulsivo, trastorno por déficit de atención e hiperactividad y crisis epilépticas13.
Las crisis epilépticas se presentan en el 90% de los casos entre los 3 y 12 meses de edad, caracterizándose en un inicio por ser espasmos infantiles en 35-85% de los casos y posterior al primer año de edad, se presentan crisis epilépticas mixtas, mientras que entre 34-37% de los casos presentan crisis focales, mismos tipos de crisis observadas en ambos pacientes, y solo el 12% de los casos llega al estado epiléptico14.
Los tipos de crisis epilépticas más frecuentes son de tipo generalizadas con componente tónico o tónico-clónicas; sin embargo, en lactantes se presentan como espasmos infantiles con o sin hipsarritmia, que pueden persistir o cambiar a lo largo del tiempo a crisis focales, atónicas o de ausencia15.
Conforme las crisis epilépticas recurren, tienden a presentar un pobre control farmacológico durante el segundo y tercer año de vida, por lo que se debe añadir clobazam, fenobarbital o ácido valproico16.
El diagnóstico prenatal se realiza a partir de las 23 semanas de gestación mediante ultrasonido, encontrándose hallazgos tempranos como anomalías de la fisura silviana, ventriculomegalia, agenesia/hipoplasia del cuerpo calloso y hasta las 31 semanas de gestación se identifica una superficie lisa de la corteza cerebral17. Sin embargo, en ambos casos no existió control prenatal ni realización de ultrasonidos estructurales durante la gestación, por lo que no existió un diagnóstico prenatal.
El diagnóstico consta de técnicas de neuroimagen como la tomografía computarizada y la resonancia magnética, que permiten identificar de forma patognomónica la apariencia lisa de la corteza cerebral asociada o no a malformaciones intra o extracraneales2. Las disgenesias del cuerpo calloso se asocian comúnmente a este síndrome; sin embargo, en nuestro primer caso se añadió además la presencia de heterotopias periventriculares frontales y una megacisterna magna, hallazgos documentados por primera ocasión. En el segundo paciente, además de la disgenesia del cuerpo calloso, se logró observar la presencia de heterotopia en banda y la disminución del volumen de ambos hipocampos.
Como complemento para el diagnóstico, se pueden realizar pruebas genéticas pre o posnatales como son el cariotipo o la hibridación fluorescente in situ (FISH), esta última considerada como la técnica de elección18.
El consejo genético se debe realizar en casos en donde se identifican deleciones para determinar si la deleción es de novo o es heredada y así brindar un consejo genético apropiado a las familias afectadas. En 20% de los casos uno de los padres porta una mutación balanceada, pudiendo ser una translocación críptica que presenta una tasa de recurrencia mayor al 30%.19
Entre los diagnósticos diferenciales que se deben plantear, se encuentran otras causas de lisencefalia de tipo 1 (secuencia de lisencefalia aislada, lisencefalia asociada al cromosoma X, heterotopia laminar subcortical, síndrome de Norman-Roberts) y las causas de lisencefalia de tipo 2 (síndrome de Walker-Warburg, distrofia muscular congénita de Fukuyama, enfermedad músculo-ojo-cerebro y distrofia muscular)20.
El tratamiento va dirigido de acuerdo con el tipo de crisis epilépticas presentes o posterior a su caracterización mediante electroencefalograma. En pacientes que debutan con espasmos infantiles, el protocolo terapéutico consta de vigabatrina, hormona adrenocorticotrópica y esteroides; sin embargo, el uso de lamotrigina y ácido valproico tienen una alta tasa de respuesta del 85%.21
El pronóstico es pobre y se debe a la discapacidad intelectual y a la epilepsia refractaria a tratamiento presente hasta en el 89% de los casos6, situación observada en ambos pacientes que presentaron epilepsia de difícil control que ameritó el uso de varios fármacos antiepilépticos para obtener una mejoría parcial.
La tasa de mortalidad se estima en cerca del 50% a los 10 años de edad, siendo las enfermedades respiratorias la primera causa de muerte, seguida por el estado epiléptico. Sin embargo, la expectativa de vida se asocia con la severidad de la lisencefalia identificada por neuroimagen, presentándose mayor mortalidad en fenotipos con lisencefalia severa22.
Conclusión
En pacientes con síndrome de Miller-Dieker es importante el diagnóstico oportuno para brindar un manejo adecuado de las comorbilidades que trae consigo y mejorar la calidad de vida de los pacientes.
Se debe tener una alta sospecha diagnóstica mediante la exploración física dirigida a identificar alteraciones en pacientes con epilepsia de difícil control, ya que permite guiar el diagnóstico etiológico y con ello brindar un adecuado tratamiento.
En nuestro país, a pesar de la baja incidencia, es de especial relevancia identificar tempranamente a los pacientes con síndrome de Miller-Dieker para así crear programas de atención dirigidos a mejorar el pronóstico.










nueva página del texto (beta)




