INTRODUCIÓN
El síndrome del teratoma creciente es una entidad descrita por Logothetis, en 1982, como un tumor de células germinales no seminomatoso que se caracteriza por la presencia de metástasis con marcadores tumorales normales, durante o después de la finalización de la quimioterapia y presencia exclusiva de componentes de teratoma maduros en un paciente con antecedentes conocidos de tumor de células germinales no seminomatosos (NSGCT), también se le ha denominado retroconversión quimioterapéutica.
CASO CLÍNICO
Paciente de sexo femenino, de 18 años, con cuadro clínico de 3 años de evolución, inició con aparición de tumoración pélvica, asociado con elevación de marcadores tumorales alfafetoproteína (AFP) de 1.000 y BHCG (hormona beta gonadotropina coriónica humana) de 35.6 mU/ml (mg/ml). Se realizaron estudios con tomografía de abdomen y pelvis contrastada, con hallazgos de una tumoración pélvica de 26 cm, no se describieron metástasis, ni lesiones retroperitoneales; se realizó una intervención quirúrgica con histerectomía, salpigooferectomía bilateral, omentectomía y lavado peritoneal; reporte histopatológico de teratoma inmaduro de ovario derecho de alto grado, sin implantes tumorales en útero, omento, ovario izquierdo ni salpinges; líquido peritoneal negativo a células neoplásicas.
A los 3 meses del postquirúrgico inició con incremento del perímetro abdominal, se realizó tomografía abdominal contrastada de control, evidenciándose persistencia de la enfermedad a nivel retroperitoneal, así como tumor que abarcaba toda la pelvis, derrame pleural bilateral y ascitis (figura 1); reporte de resultados de laboratorio con hormona gonadotropina coriónica humana fracción beta negativa y alfafetoproteína negativa (tabla 1), por lo cual se indicó comenzar manejo con 3 ciclos de quimioterapia y posteriormente se le realizó una laparotomía exploratoria en la que realizaron la resección de tumoraciones intraabodminales con reporte de patología con teratoma maduro en las 3 muestras tomadas. En seguimiento con oncología y tomografía abdominal de control, hubo evidencia de aparición de tumoración hepática (figura 2) sugerente de actividad metastásica, por lo que requirió un nuevo procedimiento quirúrgico y se realizó la intervención con evidencia de tumoración que ocupa la cara posterior y superior del hígado en segmentos VI y VII, así como dos tumoraciones a nivel del retroperitoneo; se realizó la resección de estas, todas con reporte histopatológico de teratoma quístico maduro sin evidencia de neuroepitelio.

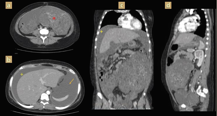
Figura 1 Tomografía abdominopélvica contrastada postoperatoria a y b) cortes axiales c y d (reformateo coronal y sagital) con presencia de una tumoración sólida, heterogénea, con realce al medio de contraste que abarca toda la pelvis asociado a siembra de metástasis peritoneales, con pérdida de interface grasa con la vejiga (*), derrame pleural bilateral (+) y ascitis (flecha).
Tabla 1 Reporte de estudios paraclínicos
| Valores preoperatorios | Control postoperatorio 2 meses | Control postoperatorio 6 meses | Último control | |
| BHCG Valor de referencia: < 5 mlU/ml | 35.6 | 2.9 | 2.3 | 0.3 |
| Alfafetoproteína Valor de referencia: < 5.5 lU/ml | >1000 | 344 | 5.2 | 2.9 |
| DHL Valor de referencia: (81-234) | 788 | 849 | 561 | 194 |
AFP: alfafetoproteína; DHL: lactato deshidrogenasa láctica; FBHCG: fracción beta gonadotropina coriónica humana.

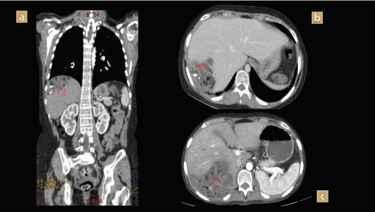
Figura 2 Tomografía abdominal con recidiva tumoral hepática en corte axial a) simple y b) contrastada c) reformateo coronal contrastada, hígado con parénquima heterogéneo a expensas de una imagen con bordes lobulados, localizada segmentos VII-VIII contenido heterogéneo por presencia de imágenes iso, hipo e hiperdensas en su interior en relación a componente graso, calcio y líquido (*).
Presentó una evolución satisfactoria en su postoperatorio, tomografía axial de abdominal de control sin nuevas imágenes tumorales (figura 3); acudió con reporte definitivo de patología con teratoma quístico maduro sin evidencia de neuroepitelio en la totalidad de la muestra hepática y tumoraciones retroperitoneales resecados, marcadores tumorales se encuentran negativos, dado los antecedentes de teratoma inmaduro y en este caso las lesiones presentaron tejido maduro derivado de las 3 capas germinativas, sin atipias, lo cual corresponde a síndrome de teratoma en crecimiento. No requirió manejo adicional con quimioterapia, presentó una adecuada evolución.
DISCUSIÓN
El síndrome de teratoma creciente fue descrito por Logothetis en 1982, consiste en un teratoma de ampliación que contiene elementos maduros de un tumor de células germinales no seminomatosas en pacientes con niveles normales de alfafetoproteína sérica y b-HCG 1, hay conversión de componente de teratoma inmaduro en un teratoma maduro como resultado de la quimioterapia o quimio-radiación e incluye la enfermedad metastásica no expansiva. Este síndrome ha sido documentado principalmente en hombres. En la literatura solo se han descrito unos 50 casos de síndrome de teratoma en crecimiento en mujeres 2.
La etiología exacta de la enfermedad aún no está clara. No se ha implicado ningún factor genético ambiental único. Se ha descrito con cada agente quimioterapéutico que se utilizan en el tratamiento del tumor de células germinales (bleomicina, etoposide, cisplatino, metotrexato, actinomicina D, ciclofosfamida), ningún medicamento se considera que se ha asociado con una mayor incidencia 3. Dentro de las hipótesis se encuentra que la quimioterapia actúa como agente selectivamente en las células malignas y transforma el teratoma inmaduro en un teratoma maduro. Las células benignas con un fenotipo insensible a la quimioterapia crecen por su propia cuenta 4.
Los criterios de diagnóstico son: normalización de marcadores séricos, aumento de tamaño o número o ambos de lesiones en imágenes, ya sea durante la quimioterapia o después de la finalización de la quimioterapia y presencia exclusiva de componentes de teratoma maduros en un paciente con antecedentes conocidos de teratoma de células germinales no seminomatosas 5. El diagnóstico sigue siendo un desafío importante para los oncólogos debido a la rareza de la enfermedad. Sin embargo, un diagnóstico temprano puede prevenir que el paciente reciba quimio-radioterapia y cirugía extensa 6.
Dentro de las características imagenológicas, los hallazgos típicos son el agrandamiento y el cambio quístico dentro de las metástasis existentes. Los teratomas en crecimiento también pueden calcificarse, un hallazgo que representa la presencia de elementos óseos y cartilaginosos maduros dentro del teratoma y desarrollar grasa intralesional. El aumento del número de lesiones con cambios quísticos mayores, calcificaciones punteadas o curvilíneas y márgenes circunscritos son los hallazgos más comunes relacionados 7. Con respecto al sitio de metástasis el retroperitoneo es el sitio común por diseminación de vía linfática de los tumores germinales, pero también se han encontrado en el mediastino, el pulmón, el hígado o los ganglios linfáticos de diversas localizaciones 8. La RMN puede ser útil para distinguir el material proteico y el contenido quístico de lesiones complejas, permite delinear mejor la relación entre el tumor y las estructuras adyacentes 9.
La piedra angular del tratamiento siempre será la resección quirúrgica completa; la cirugía tardía puede conducir a un aumento del tamaño del tumor que conduce a la compresión mecánica de los órganos vitales 10. La resección incompleta aumenta las posibilidades de recurrencia (50-83%) en comparación con la resección completa que conduce a la recurrencia de 0 a 4% 11. Para los controles periódicos, la tomografía computarizada es útil en la evaluación morfológica de la enfermedad, para identificar el aumento en el tamaño de la masa 12, dado que se pueden producir recurrencias tardías, los pacientes con factores de riesgo para la recurrencia deben ser seguidos hasta 10 años 13.
CONCLUSIÓN
Sospechar de manera temprana el síndrome de teratoma en crecimiento en pacientes con teratoma de células germinales no seminomatosas, con aumento del número de lesiones después de la quimioterapia en presencia de marcadores séricos negativos, permite prevenir el retraso en la resección quirúrgica y evita la administración de quimioterapia innecesaria. Esta patología presenta un buen pronóstico si se hace un reconocimiento temprano. Es importante que los radiólogos conozcan la historia natural, correlacionen los hallazgos de la imagen con la entidad y valoren las complicaciones mecánicas abdominales compresivas, así como la necesidad de continuar el seguimiento con las pruebas de imágenes adecuadas.










nueva página del texto (beta)





