INTRODUCCIÓN
El divertículo de Meckel (DM) está compuesto por todas las capas de la pared gastrointestinal; se presenta como un saco ciego único en el borde antimesentérico del íleon, opuesto a las ramas terminales de la arteria mesentérica superior. Es considerado la malformación congénita más común del tracto gastrointestinal1-3. Descrito por primera vez por el anatomista comparativo Johann Friedrich Meckel en 18094.
Es el resultado de la obliteración incompleta de los ductos vitelinos; durante el desarrollo embrionario, el canal onfalomesentérico comunica al intestino medio con el saco de Yolk, este se oblitera entre la sexta y décima semana de gestación convirtiéndose en ligamento, el cual posteriormente involuciona y se reabsorbe. Cuando esto no sucede se desarrolla el divertículo1-4.
Su presentación clínica y epidemiológica clásicamente se identifica por la regla de los dos: 2% de la población, a 2 pies de la válvula ileocecal, 2 pulgadas de largo, 2 tipos de mucosa heterotópica, la presentación antes de los 2 años y el doble de incidencia en sexo masculino2,4,5.
Generalmente es asintomático, sobre todo en adultos. La incidencia documentada de un divertículo de Meckel complicado (sintomático) varía de un 4 a 16% en las series más grandes2,6-9. Existen factores de riesgo para el desarrollo de complicaciones de esta entidad; sexo masculino, edad menor de 50 años, divertículo ≥ 2 cm de longitud y que contenga mucosa heterotópica2,6. Entre ellas se encuentran la ulceración, hemorragia, intususcepción, obstrucción intestinal, perforación, fístulas (divertículo-vesicular) y tumores3.
La mortalidad en pacientes sintomáticos se reporta en 6%, siendo más alta en enfermedad complicada y en pacientes de edad avanzada con comorbilidades2,8,10.
CASO CLÍNICO
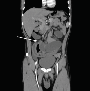
Paciente del sexo masculino, de 26 años de edad, sin antecedentes personales patológicos relevantes, que se presentó al servicio de urgencias con un cuadro de 24 horas de evolución, caracterizado por dolor abdominal en mesogastrio, tipo cólico, sin irradiaciones, EVA 10/10, acompañado de náusea y vómito, así como disminución de evacuaciones. A la exploración física dirigida, peristalsis presente, abdomen blando y depresible, doloroso a la palpación media y profunda en mesogastrio y fosa iliaca derecha. Se realizó tomografía de abdomen con contraste parenteral, en la cual se identificó escaso líquido libre en corredera parietocólica y fosa iliaca derecha, engrosamiento concéntrico de íleon de forma segmentaria, zona de transición con marcada dilatación de asas de íleon terminal (proximal al sitio de transición) (figura 1). Se inició manejo conservador con reposo digestivo con sonda nasogástrica a derivación, reposición hidroelectrolítica y antibioticoterapia, sin mostrar mejoría del cuadro clínico, por lo cual se decidió manejo quirúrgico, se realizó laparotomía exploradora y se reportaron los siguientes hallazgos; divertículo de Meckel con banda mesodiverticular que condiciona hernia interna comprometiendo asa de íleon distal de aproximadamente 25 cm (figuras 2 y 3). Se procedió a liberar asa sin lograr reversión de la isquemia intestinal y viabilidad, por lo que se realizó resección de 30 cm de íleon distal incluyendo el divertículo de Meckel, con posterior entero-entero anastomosis término-terminal, con colocación de drenaje abierto. Con adecuada evolución postquirúrgica, tolerancia a la vía oral, evacuaciones presentes, sin datos de fuga anastomótica, por lo que se decidió su egreso a domicilio al séptimo día postquirúrgico.

Imagen: Sandoval López et al.
Figura 1 En la topografía de íleon terminal, se identifica zona de transición con estructura heterogénea hiperdensa e hipodensa sugestiva de presencia de gas en su interior, y asa proximal dilatada de hasta 7 cm de diámetro.

Imagen: Sandoval López et al.
Figura 2 Divertículo de Meckel con banda mesodiverticular que condiciona hernia interna comprometiendo segmento de íleon terminal de aproximadamente 25 cm.
DISCUSIÓN
La falla de obliteración del conducto, así como el divertículo de Meckel, condicionan el desarrollo de otras anomalías; cuerdas fibrosas residuales, seno umbilical, fístula onfalomesentérica y quiste entérico3.
La literatura define que las tres formas de presentación clínica del divertículo de Meckel sintomático son secundarias a obstrucción, hemorragia gastrointestinal e inflamación con o sin perforación. La obstrucción intestinal es la forma más frecuente de presentación (representa un 40% de los casos), esta puede ser secundaria a intususcepción (la más frecuente), incarceración, adherencias, estenosis, torsión o vólvulo; y otras causas no tan usuales como la incarceración de un divertículo en una hernia inguinal (hernia de Littre) y tumores que contienen al divertículo2,7,11.
De acuerdo con el estudio de Parvanescu et al., los principales síntomas previos a cirugía fueron dolor abdominal (92%), distensión abdominal (83%), vómito (75%), y dolor a la palpación abdominal (33%). La presencia de vómito y distensión abdominal se relacionaron con divertículo de Meckel asociado a obstrucción del intestino delgado (P = .002 and P <.001, respectivamente)12.
El diagnóstico de un divertículo de Meckel complicado es difícil debido a que esta entidad puede simular otras causas de abdomen agudo. Menos del 10% de casos se diagnostican de forma preoperatoria2,13-15.
Para su abordaje diagnóstico, las radiografías simples son inespecíficas, siendo solo valorable cuando presenta datos de obstrucción intestinal. En la tomografía abdominal simple es difícil diferenciar el divertículo no complicado de las asas intestinales; no obstante, cuando se utiliza contraste oral e intravenoso la sensibilidad y especificidad aumentan. Otras opciones diagnósticas son tomografía con eritrocitos marcados con Tecnecio 99, angiografía, enema baritado y laparoscopía diagnóstica. La angiografía generalmente no es concluyente, a menos que tenga una tasa de sangrado >0.5 mL/min3,5,10,16.
El tratamiento para la patología sintomática incluye la diverticulectomía, resección en cuña y resección segmentaria, ya sea por abordaje abierto o laparoscópico. La elección del procedimiento depende de la integridad de la base del divertículo y el yeyuno adyacente, así como la presencia y localización de tejido ectópico2,10,11,17.
CONCLUSIÓN
Un cuadro de obstrucción intestinal es la forma de presentación clínica más frecuente del divertículo de Meckel, con múltiples etiologías, en el caso expuesto, secundario una hernia interna por una banda mesodiverticular que condicionó compromiso vascular de asa intestinal irreversible. Debe considerarse al divertículo de Meckel complicado entre los diagnósticos diferenciales de un cuadro de obstrucción intestinal en el contexto de pacientes sin antecedentes quirúrgicos; sin embargo, debido a la presentación clínica inespecífica, se requiere un alto índice de sospecha, ya que un diagnóstico precoz y un tratamiento oportuno se asocian a una menor morbimortalidad.










nueva página del texto (beta)





