INTRODUCCIÓN
Las enfermedades aterotrombóticas son un problema de salud responsables de más del 25% de las causas de muerte a nivel mundial. Recientemente la Organización Mundial de la Salud (OMS) ha resaltado el impacto mundial de las mismas, ya que se consideran las causas más comunes de morbimortalidad y su prevalencia va en aumento en países industrializados1. En México, 1 de cada 1,000 hospitalizaciones es secundaria a isquemia mesentérica, la mortalidad a 30 días es hasta de un 80%, debido al retraso en el diagnóstico y tratamiento2.
CASO CLÍNICO
Paciente del sexo femenino, de 84 años de edad, originaria de Oaxaca, residente de Cuernavaca, Morelos, la cual cuenta con los siguientes antecedentes: hipertensión arterial sistémica; fibrilación auricular paroxística; cardiopatía valvular con implante percutáneo de válvula aórtica, en septiembre del 2018; y colocación de marcapasos definitivo bicameral, a finales del mismo año.
Acudió a valoración al servicio de urgencias refiriendo cuadro caracterizado por pérdida de peso de aproximadamente 4 kilogramos en el último mes, relacionado a dolor abdominal difuso; adicionalmente se asoció pérdida del apetito y saciedad temprana; refirió agudización del cuadro 1 semana antes de su ingreso, con disminución en la ingesta alimenticia y aumento en la intensidad del dolor abdominal; negó cambios en las evacuaciones.
Signos vitales a su ingreso: tensión arterial 100/60 mmHg, frecuencia cardiaca 75 lpm, frecuencia respiratoria 20 rpm, temperatura 35.6 °C, saturación de oxígeno al 90% al aire ambiente, a la exploración abdominal se encontró dolor a la palpación difuso y giordano izquierdo dudoso; se percibió perístasis presente en todos los cuadrantes abdominales; el resto sin otros hallazgos de relevancia clínica.
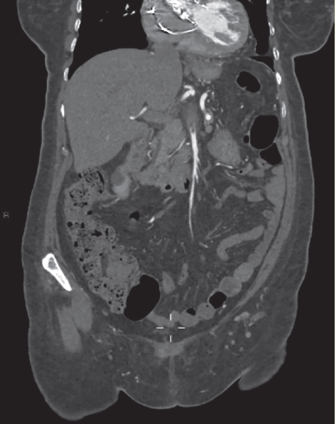
A su ingreso se solicitaron laboratorios generales, los cuales mostraron leucocitosis y anemia normocítica normocrómica grado I de la OMS, el resto de los estudios de laboratorio fueron reportados dentro de los parámetros establecidos por laboratorio; se decidió ingreso hospitalario para abordaje diagnóstico por anemia y gastropatía; se solicitaron estudios de laboratorio de extensión, los cuales reportaron sangre oculta en heces cualitativa positiva y examen general de orina con bacterias escasas. Se inició tratamiento con ceftriaxona y pantoprazol. Al persistir con intenso dolor abdominal, se solicitó tomografía abdominal simple, la cual sugirió trombosis mesentérica, por lo que se realizó complemento con angiotomografía abdominal, que reportó los siguientes resultados: trombosis segmentaria (figura 1) y en la totalidad de la luz de la arteria mesentérica superior con longitud de 37 mm, y posterior recanalización por vascularidad colateral (figura 2), trombosis de la iliaca externa derecha a 9 mm de su nacimiento, que se extiende hasta arteria femoral con opacificación distal (figura 3).

López Zenteno et al.
Figura 1 Angiotomografía abdominal, reconstrucción coronal en fase arterial, que muestra defecto de llenado en la arteria mesentérica superior en forma segmentaria y posterior recanalización.

López Zenteno et al.
Figura 2 Angiotomografía abdominal, reconstrucción sagital en MIP (máxima intensidad de proyección) que muestra en el nacimiento de la arteria mesentérica superior defecto que ocupa la totalidad de la luz con longitud de 37 mm.

López Zenteno et al.
Figura 3 Reconstrucción volumétrica de angiotomografía en fase arterial que demuestra defecto de llenado en el nacimiento de la arteria mesentérica con recanalización, así como trombosis de la arteria iliaca externa derecha que se extiende la arteria femoral ipsilateral.
Después de los hallazgos previos, se decidió tratamiento endovascular; se proyectó angioplastia mesentérica superior con duración de 3 horas con abordaje femoral, previa medicación con clopidogrel 75 mg5 y ASA 100 mg5. Se canalizó femoral, se pasó guía y catéter de cola de cochino, al llegar a t12 se realizó angiografía de aorta abdominal, visualizándose oclusión total de la mesentérica superior, se observó oclusión de 40% en tronco celiaco, se realizó angioplastia en mesentérica superior con balones y colocación de 3 stents en mesentérica superior (figura 4a-e).

López Zenteno et al.
Figura 4 Angiografía que muestra inicialmente defecto de llenado en el nacimiento de la arteria mesentérica superior (a), con recanalización parcial de la misma, posteriormente dilatación con balón (b). Apertura y colocación de stent (c) en el sitio del defecto. Tras la administración del medio de contraste se observa recanalización total de la mesentérica superior (d) y de sus ramas pancreaticoduodenal inferior, yeyunales, ileales, cólica derecha inferior y superior y cólica media (e).
Después del procedimiento se egresó a piso de hospitalización en donde se mantuvo hemodinámicamente estable; cifras tensionales dentro de parámetros sin requerir apoyo vasopresor, adecuada oxigenación con oxígeno suplementario, no requirió apoyo de ventilación mecánica invasiva, se mantuvo afebril sin datos de respuesta inflamatoria sistémica; persistió bajo vigilancia estrecha por 24 horas, y se procedió a iniciar progresión de la vía oral al día siguiente con buena tolerancia a líquidos y posteriormente a sólidos; continuó con buena evolución hasta su egreso.
DISCUSIÓN
La isquemia mesentérica es una condición poco común con altas tasas de mortalidad, se relaciona con sufrimiento intestinal con alta posibilidad de progresar a necrosis intestinal; se presenta en el 1% de los pacientes hospitalizados con una tasa de mortalidad del 24 al 94%, si no se diagnostica a tiempo; se presenta mayormente en hombres 3:1 con respecto a las mujeres, y es más frecuente en mayores de 60 años3.
La incidencia puede aumentar debido al mayor porcentaje de personas que, gracias a los avances médicos y nuevas terapéuticas, alcanzan mayor número de edad sin importar las comorbilidades asociadas, entre ellas la fibrilación auricular, síndromes coronarios, falla cardiaca, trombosis arterial previa y estados de hipercoagulabilidad. La isquemia intestinal crónica tiene poca incidencia y se asocia mayormente a estados de inflamación intraabdominal, trauma o lesión intestinal; sin embargo, la presencia de ateroesclerosis u oclusión de arterias intestinales no es un hallazgo poco común en este grupo de pacientes2,4.
Por mucho tiempo, la ateroesclerosis y la trombosis arterial se han considerado entidades separadas con diferentes mecanismos patogénicos, la trombosis es principalmente causada por plaquetas y fibrina, mientras que la ateroesclerosis es causada por leucocitos, células endoteliales de músculo liso en estrecha relación con la respuesta inmune y adaptativa. Los mecanismos biológicos y las interacciones celulares relacionados con trombosis también son relevantes para la ateroesclerosis. De igual manera, la desregulación de las interacciones adhesivas entre plaquetas, el endotelio y los leucocitos son importantes a través de todas las etapas del proceso ateromatoso. Los mecanismos de coagulación relacionados con la generación de fibrina pueden contribuir a la progresión rápida de las lesiones ateroescleróticas3,5.
Anatómicamente, la irrigación arterial del sistema gastrointestinal está dada por 3 ramas de la aorta abdominal: el tronco celiaco, la arteria mesentérica superior y la arteria mesentérica inferior. El tronco celiaco se encuentra a nivel de las vértebras T12 y L1 y provee de circulación arterial al esófago distal, duodeno, estómago, bazo y sistema hepatobiliar6. La arteria mesentérica superior se origina a nivel de L1 o L2, de manera distal al tronco celiaco e irriga el intestino medio a partir del yeyuno hasta la mitad del colon transverso; por último, la arteria mesentérica inferior se origina en la superficie lateral izquierda de la cara anterior de la aorta abdominal a nivel de L3, y provee de irrigación la otra mitad del colon transverso hasta el recto5,6. Estos vasos se encuentran interconectados entre sí en múltiples áreas, las cuales proveen una red colateral con el objeto de cubrir el tracto digestivo superior, medio e inferior. La isquemia mesentérica crónica secundaria a la oclusión de una o más arterias mesentéricas puede ser bien tolerada si existe desarrollo de estas colaterales5,7.
El sistema portal se encarga del drenaje venoso intestinal; de la misma forma, el drenaje gástrico es mediante la vena esplénica, el drenaje del intestino delgado y colon proximal es mediante la vena mesentérica superior, y la vena mesentérica inferior es responsable del drenaje del colon descendente y recto6.
La circulación esplácnica recibe alrededor del 20% del gasto cardiaco, dependiendo del estado metabólico incluso puede aumentar en el periodo posprandial hasta 200%6. A pesar de la cantidad de capilares en el lecho vascular esplácnico, la cantidad de oxígeno demandada es relativamente baja, permitiendo que el mayor aporte de oxígeno sea por la vena portal, por lo tanto, el flujo sanguíneo debe ser reducido al menos un 50% antes de que el aporte de oxígeno se vea comprometido. Así mismo, diferentes mecanismos contribuyen con el tono vascular mesentérico y son responsables de estados como el postprandial o estados de hipotensión. El flujo sanguíneo esplácnico es sensible a deshidratación, inflamación, liberación de catecolaminas, insuficiencia cardiaca y ejercicio intenso; cada uno de estos puede llevar a isquemia intestinal secundaria a vasoconstricción esplácnica6, la regulación intrínseca del flujo sanguíneo es un mecanismo de adaptación que ayuda a redireccionar la sangre del intestino al cerebro en episodios de hipotensión sistémica8. Existen numerosos mecanismos propuestos responsables del control de flujo intestinal, los mecanismos neurales y hormonales son mecanismos que contribuyen para el control del flujo intestinal, se ha propuesto la intervención de la adenosina como responsable de la relajación arteriolar del músculo liso en caso de isquemia9. La causa principal de angina mesentérica es la ateromatosis oclusiva de los troncos viscerales, sin embargo, puede ser secundaria a arteritis, displasia fibrosa u otras arteriopatías obstructivas menos frecuentes9,10.
Formas de isquemia mesentérica
Isquemia mesentérica crónica. Se define cuando hay incapacidad de suplir el flujo sanguíneo al tracto gastrointestinal, cuando aumenta la demanda postprandial, ocasionando síntomas claros de isquemia. En esta situación es raro encontrar gangrena mesentérica, la ateroesclerosis es la causa más relacionada a este tipo de isquemia en más del 95% de los casos relacionados con este tipo de isquemia, usualmente estos pacientes tienen otro tipo de comorbilidades como diabetes mellitus tipo 2 (DMII), hipertensión, consumo crónico de tabaco, dislipidemias o antecedente de intervencionismo cardiaco o vascular7,11,12.
Isquemia mesentérica aguda. Resulta en la oclusión repentina del flujo sanguíneo, lo que ocasiona isquemia secundaria; este tipo de isquemia se considera una emergencia hospitalaria, entre las causas agudas se encuentran las siguientes: embolismo, el cual puede ser secundario a infarto agudo al miocardio; fibrilación auricular; placas ateromatosas previas o intervencionismo reciente.
Otras causas
Otras causas son trombosis arterial, trombosis mesentérica y causas no oclusivas por fenómenos de vasoespasmo o disminución del flujo. Menos de 15% de los casos de isquemia mesentérica corresponden a la etiología venosa, la tasa de mortalidad oscila entre el 40-50%10,12,13.
Clínicamente, puede cursar de diversas formas, como la isquemia reversible transitoria, la isquemia irreversible crónica o la isquemia fulminante aguda. Los pacientes presentan dolor abdominal difuso e inespecífico, más distensión abdominal, se pueden agregar síntomas como nausea vómito y diarrea7,12. Son menos comunes los signos peritoneales, se acentúan más en pacientes con antecedente de enfermedades hipercoagulables, neoplasias o cirrosis. El grado de lesión intestinal depende de la duración y gravedad de la isquemia. Como resultado de la isquemia, se produce desprendimiento y ulceración aguda o subaguda de la mucosa. La pérdida de la barrera mucosa permite la translocación bacteriana y la absorción de toxinas, entre las complicaciones se encuentran sepsis, infarto y muerte14,15.
La mayor parte de los casos se diagnostica por angiotomografía o resonancia magnética con una sensibilidad y especificidad que alcanzan valores hasta del 98%. En cuanto al diagnóstico, los laboratorios no son específicos, en la biometría hemática se pueden encontrar leucocitosis y neutrofilia, adicionalmente puede presentarse aumento de deshidrogenasa láctica o enzimas pancreáticas, específicamente la amilasa, estudios extra como los gases arteriales pueden demostrar acidosis metabólica con hiperlactatemia secundaria a isquemia intestinal por hipoperfusión7,16,17.
La angiografía es el método más confiable para demostrar la presencia de enfermedad oclusiva, permite evaluar las vías colaterales, actualmente se prefiere como estudio de elección previo a la tomografía arterial computarizada, otro estudio es el ultrasonido Doppler, el cual es específico, pero poco sensible a comparación con la tomografía, ya que es un estudio operador dependiente13,16. El tratamiento incluye manejo terapéutico y quirúrgico, el manejo antitrombótico es un pilar en el tratamiento, las intervenciones quirúrgicas incluyen la restauración del flujo por cateterismo, endarterectomía o colocación de bypass7. La prioridad debe ser la restauración del flujo sanguíneo de manera temprana, la terapia endovascular tiene buenos resultados para la restauración de la perfusión de manera rápida; si no es posible realizar este procedimiento, existen opciones como la trombólisis o revascularización quirúrgica10,16,18.
CONCLUSIÓN
La isquemia mesentérica es una patología relativamente poco común, con desenlaces potencialmente fatales, a pesar de los avances en el diagnóstico, técnicas de imagen, manejo perioperatorio y tratamientos, por lo que representa un reto diagnóstico y terapéutico para el médico de primer contacto. Actualmente, se clasifica de acuerdo con su presentación clínica como aguda o crónica y, en relación con el mecanismo que disminuye el flujo sanguíneo, se puede clasificar como oclusivo y no oclusivo2.
La isquemia intestinal, en cualquiera de sus presentaciones aguda o crónica, conlleva una alta tasa de mortalidad secundaria, principalmente al diagnóstico no oportuno; los estudios de laboratorio tienen muy baja sensibilidad, siendo el diagnóstico por imagen el más sensible, especialmente por resonancia magnética y angiotomografía, la piedra angular del tratamiento en los últimos 50 años consiste en la resolución quirúrgica con un pronto diagnóstico. Actualmente, la angioplastia mesentérica y la terapia endovascular se han convertido en terapias viables para la isquemia mesentérica aguda y crónica. La terapia endovascular tiene el potencial de alterar el curso clínico de manera favorable en los pacientes con isquemia mesentérica aguda10,16.










nueva página del texto (beta)



