INTRODUCCIÓN
Se denomina histiocito a los macrófagos y células dendríticas residentes de los tejidos. Los macrófagos son células principalmente involucradas en la depuración (ya sea de células apoptóticas, desechos o patógenos). Las células dendríticas son células presentadoras de antígenos, un tipo especial de estas son las células de Langerhans que en condiciones normales son residentes de la epidermis1,2,3,4.
Se conoce como histiocitosis a un grupo de enfermedades caracterizadas por desórdenes proliferativos de células del sistema fagocítico mononuclear (monocitos, macrófagos y células dendríticas) en diferentes órganos y sistemas. Son enfermedades con predominio infantil, poco frecuentes y de origen desconocido, con gravedad variada y características biológicas diversas. Existen más de 100 subtipos de esta enfermedad1,2,3,4.
CLASIFICACIÓN DE LAS HISTIOCITOSIS
Su complejidad, así como su variabilidad en la presentación clínica, gravedad, evolución y pronóstico han hecho de la clasificación de la histiocitosis un reto. La primera clasificación emitida por la Histiocyte Society en 1987 las agrupaba en tres clases5:
Clase I: Histiocitosis de células de Langerhans.
Clase II: Histiocitosis de células fagocíticas mononucleares no relacionadas a células de Langerhans.
Clase III: Trastornos histiocíticos malignos.
Posterior a esta se difundió una clasificación que tomaba en cuenta, además de las características morfológicas, el comportamiento biológico de los trastornos. Dicha clasificación fue desarrollada en 1997 por especialistas de la Organización Mundial de la Salud (OMS), del Committee on Histiocytic/Reticulum Cell Proliferations y Reclassification Working Group of the Histiocyte Society y separaba estos trastornos en:
Más adelante la OMS realizó una serie de actualizaciones, la última en 2008, con una revisión en 2016 en la cual se agrega la enfermedad de Erdheim-Chester (antes ausente) y recalca que debe distinguirse de otros tipos de xantogranuloma juvenil8,9.
En 2016, Emile et al. proponen una clasificación basada en histología, fenotipo, alteraciones moleculares y características clínicas y radiológicas, la más completa clasificación hasta la fecha. Este sistema de clasificación consta de 5 grupos de enfermedades: 1) relacionados con células de Langerhans, 2) cutáneos y mucocutáneos, 3) histiocitosis malignas, 4) enfermedad de Rosai-Dorfman, y por último 5) linfohistiocitosishemofagocítica y síndrome de activación de macrófagos4(tabla 1).
Tabla 1 Clasificación de la histiocitosis y neoplasias de los linajes macrófagos-dendríticos
| Grupo “L” (Langerhans) | |
| Grupo “C” |
Cutáneo no LCH Cutáneo no LCH con mayor componente sistémico |
| Grupo “R” |
Enfermedad Rosai-Dorfman familiar (RDD) |
| Grupo “M” | |
| Grupo “H” |
AXG: xantogranuloma del adulto; BCH: histiocitosiscéfalicabenigna; ECD: Erdheim-Chester disease; GEH: histiocitosiseruptivageneralizada; HLH: linfocitosishemofagoíticaprimaria; ICH: indeterminate cell histiocytosis; JXG: xantogranulomajuvenil; LCH: Langerhans cell histiocytosis; NXG: xantogrnuomanecrobiótico; PNH: histiocitosis nodular progresiva; RDD: enfermedad Rosai-Dorfman; SRH: reticulohistiocitomasolitario; XG: xantogranuloma.
Modificado de: Emile JF, Abla O, Fraitag S, Horne A, Haroche J, Donadieu J, et al. Revised classification of histiocytoses and neoplasms of the macrophage-dendritic cell lineages. Blood. 2016;Jun 2;127(22):2672-81.
La mayoría de las enfermedades del grupo L (grupo “Langerhans”) tienen mutaciones clonales que activan vías de señalización similares y son considerados por algunos como neoplasias mieloides inflamatorias4. En la tabla 2 se muestran las enfermedades y subtipos específicos de este grupo.
Tabla 2 Histiocitosis del grupo L (subtipos)
| Enfermedad | Subtipo |
|---|---|
| LCH | LCH SS LCH lung+ LCH MS-RO+ LCH MS-RO- Asociado con otro trastorno meloproliferativo/mielodisplásico |
| ICH: ECD | ECD
classic ECD sin compromiso óseo Asociado con otro trastorno meloproliferativo/mielodisplásico JXG extracutanea o diseminada con mutación MAPKactivating o translocaciones ALK |
| Mezcla de LCH/ECD | |
Modificado de: Emile JF, Abla O, Fraitag S, Horne A, Haroche J, Donadieu J, et al. Revised classification of histiocytoses and neoplasms of the macrophage-dendritic cell lineages.Blood. 2016;Jun 2;127(22):2672-81.
ECD: Erdheim-Chester disease; ICH: indeterminate cell histiocytosis; LCH: Langerhans cell histiocytosis; MS: multiple system; RO: risk organ; SS: single system.
El objetivo de este trabajo es presentar el caso clínico de un paciente con enfermedad de Erdheim-Chester y hacer una revisión de esta rara enfermedad.
CASO CLÍNICO
Se presenta el caso de un varón de 45 años de edad, residente de la ciudad de Monterrey, Nuevo León. Dedicado al servicio paramédico. Sin antecedentes personales patológicos de trascendencia para el caso. Inició el padecimiento con aparición súbita de dolor agudo, punzante a nivel escrotal acompañado de cambios en la coloración del mismo. El paciente se trasladó al servicio de urgencias donde se observaron datos de síndrome agudo escrotal, por lo cual ingresó a cirugía de urgencia con sospecha diagnóstica de hernia inguinal estrangulada.
Una vez que hubo iniciado el procedimiento quirúrgico, al incidir el escroto, se observó una salida de sangre de origen desconocido, sin datos de contenido herniario por lo cual se decidió revertir el procedimiento y practicar una laparotomía exploradora. Durante el procedimiento se encontró el hallazgo de hemoperitoneo, proveniente de hemorragia a nivel esplácnico por ruptura espontánea a nivel del polo inferior (el paciente no contaba con antecedentes traumáticos), por lo que se realizó esplenectomía.
Al estudio macroscópico del espécimen el peso del bazo fue de 1,200 gramos, con medidas de 25 x 20 x 12 cm, con consistencia suave. Al corte, la superficie era de color rojo claro, con áreas de hemorragia intraparietal que ocupaban 20% del total de la superficie del corte. Macroscópicamente se detalló la disminución de la pulpa blanca y que la consistencia del bazo era en general muy suave.
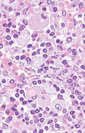
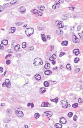
Para la descripción microscópica se estudiaron cortes a diferentes niveles del bazo. Con ello se evidenció una moderada congestión vascular, se advirtió que los corpúsculos de Malpighi se encontraban depletados intensamente, se identificaron células poliédricas que medían en promedio de 50-80 micras, de citoplasma claro con núcleo pequeño, excéntrico, de tipo histiocítico; se identificaron eosinófilos aislados en los sinusoides esplénicos. En las células de la serie blanca, en forma muy aislada se identificaron células atípicas de la serie linfoide, predominando este cambio a nivel de los corpúsculos, que adicionalmente mostraron otro cambio, arteriolas de paredes gruesas con disminución de la luz (figura 1 y figura 2).
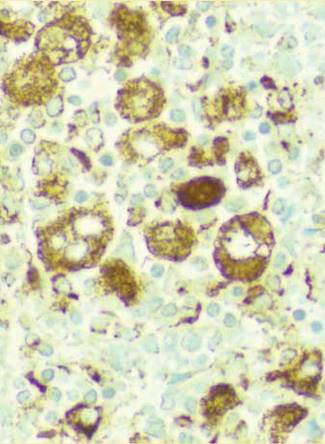
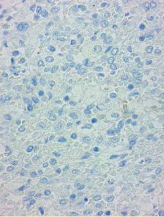
Al espécimen se le practicó un panel de inmunohistoquímica, que mostró un inmunofenotipo con cambios a favor de la enfermedad de Erdheim-Chester, siendo CD68 positivo (figura 3), CD1a negativo (figura 4) y S100 ocasionalmente positivo (figura 5).

Fotos: Autor del artículo
Figura 3 Muestra de tejido de bazo con tinción de inmunohistoquímica positivo para CD68

Fotos: Autordel artículo
Figura 4 Muestra de tejido de bazo con tinción de inmunohistoquímica negativa para CD1a

Fotos: Autor del artículo
Figura 5 Muestra de tejido de bazo con tinción de inmunohistoquímica ocasionalmente positiva para S100
Se estableció que el diagnóstico histopatológico era compatible con la enfermedad de Erdheim-Chester, sin embargo, las manifestaciones clínicas de la enfermedad no eran evidentes.
DISCUSIÓN
La Enfermedad de Erdheim-Chester (ECD), anteriormente llamada granulomatosis lipídica, fue descrita por primera vez por Jakob Erdheim y William Chester en 1930. Es una enfermedad anteriormente clasificada como una histiocitosis de fagocitos mononucleares distintos a las células de Langerhans; en la clasificación actual se encuentra dentro del grupo “L”. Es una enfermedad rara, de la que solo se han reportado cerca de 600 casos4,10,11.
La gran parte de los pacientes con ECD son diagnosticados entre los 40 y 70 años (con un promedio de 53 años) y parece tener predilección por los varones hasta en un 73%10,11,12.
La etiología de la ECD sigue siendo incierta actualmente, lo que hace que se le considere como un trastorno inflamatorio no neoplásico. El daño es causado por la infiltración de histiocitos espumosos (con carga lipídica) al hueso o al órgano de choque, generando una respuesta fibroblástica que conlleva a la falla de dicho órgano10,11,13.
Las manifestaciones de la enfermedad varían en cada paciente, pudiendo ser de manera local en un solo órgano o sistema, o bien, de manera multisistémica afectando más de un órgano o sistema en el organismo, o en escasas ocasiones presentándose de manera asintomática10,11,13.
Los síntomas iniciales de la enfermedad son inespecíficos y no aparecen en todos los pacientes. Los más comunes son fiebre, debilidad, pérdida de peso y sudoraciones nocturnas. La fatiga está asociada a anemia microcítica, que ocasionalmente se presenta en los pacientes con ECD12,13,14.
La presentación más común de la enfermedad consiste en dolor óseo, que al estudio radiográfico conlleva a cambios característicos en los huesos largos. Las manifestaciones óseas ocurren en cerca del 96% de los pacientes con ECD, sin embargo, solo 50% de los pacientes manifiesta ostealgia, que cuando se presenta reside en las rodillas y los tobillos. Los huesos que con mayor frecuencia se ven afectados son el fémur, la tibia, el peroné, y menos frecuentemente el cúbito, el radio y el húmero. El signo radiográfico principal es la esclerosis bilateral simétrica de las zonas diafisiarias y metafisiarias de los huesos largos, se considera patognomónico de la enfermedad. Esporádicamente se han descrito lesiones óseas líticas10,12,15,16.
La progresión de la enfermedad al sistema nervioso puede manifestarse en un abanico de signos y síntomas, dependiendo de la localización, tamaño y comportamiento de la lesión. En orden de frecuencia las más encontradas son: diabetes insípida, exoftalmos, ataxia cerebelosa, panhipopituitarismo y papiledema12,15.
Las manifestaciones cardiovasculares suelen ser comunes, pero regularmente asintomáticas y por lo común son detectadas incidentalmente. El hallazgo más asiduo es el revestimiento de la aorta torácica/abdominal y ramas de ésta con tejido blando, a lo que se le conoce como “coated aorta o aorta cubierta” vistos en el TC en alrededor de dos tercios de los pacientes con ECD12. Algunas otras expresiones incluyen la infiltración pericárdica que se observa como un engrosamiento del pericardio que sin tratamiento oportuno puede evolucionar a un taponamiento cardíaco. Se reporta la presencia de un pseudotumor con infiltración mural en la aurícula derecha en cerca de dos tercios de los pacientes10. Es posible observar anomalías en los trazos electrocardiográficos12. Las manifestaciones cardíacas se presentan en mayor medida en pacientes de edad avanzada (> 60 años) en comparación con pacientes jóvenes con la enfermedad15.
Los pacientes con compromiso pulmonar suelen ser asintomáticos16, en caso de presentar síntomas, los habituales son tos seca y disnea. Las radiografías convencionales se observan de manera normal, sin embargo, en la TC se observa engrosamiento de la zona septal interlobular, opacidades micronodulares, engrosamiento de las fisuras interlobulares, consolidación parenquimatosa, lesiones microcísticas, quistes de pared delgada, derrame pleural o engrosamiento de la pleura. El diagnóstico puede corroborarse con un lavado bronquioalveolar que confirmará el diagnóstico si los hisitiocitos muestran las características inmunihistoquímicas diagnósticas. La función pulmonar puede verse afectada por un patrón restrictivo en el estudio de espirometría, pero sin alteración de los valores de los gases arteriales10.
Los pacientes con afectación renal suelen presentarse de manera asintomática, sin embargo, es común encontrarla en más de un tercio de los pacientes con ECD. Existe asociación entre la “aorta cubierta” y el compromiso de estructuras retroperitoneales12. En caso de manifestaciones clínicas, las más comunes son disuria y dolor abdominal. La infiltración a la grasa perirrenal aparece como un borde renal irregular que da la apariencia de un “riñón peludo” (hairykidney), que es demostrable en una TC. Las porciones de los ureteros que comúnmente se afectan son la zona media y distal de estos12. Se han documentado estenosis de las arterias renales con hipoperfusión renal que conduce a un estado de hipertensión renal12,13,14,15,16.
Las manifestaciones cutáneas suelen ser raras, presentándose en menos de un tercio de los pacientes. Las lesiones cutáneas más reportadas son los xantelasmas, placas amarillentas en los párpados, y raramente en cara, cuello, axila, tronco e ingle10. La biopsia de la lesión puede mostrar macrófagos espumosos, células inflamatorias, fibrosis y células gigantes de Touton16. El dolor y el prurito son los síntomas que presenta comúnmente el paciente en los sitios de lesión. También se documentan casos con lesiones de xantomas papulares color marrón rojizo10,16.
Las manifestaciones del tracto gastrointestinal, testículos, bazo, hígado, tiroides, páncreas, músculo esquelético y mama son sumamente raras y pueden ser orientativas a otro diagnóstico12,16.
El diagnóstico de la ECD se realiza mediante la confirmación histopatológica junto a las manifestaciones clínicas de la enfermedad, así como a los auxiliares radiológicos. Ante la presentación asintomática de esta patología, se acepta el patrón histológico característico como criterio suficiente para realizar el diagnóstico14.
Las características anatomopatológicas de la ECD son variables, habitualmente exponiendo una infiltración característica de histiocitos espumosos (con carga lipídica) con una fibrosis circundante. Pueden estar presentes células gigantes de Touton, que se caracterizan por presentar un anillo de núcleos que rodean un centro citoplasmático de predominio eosinofílico, y el citoplasma encontrado hacia la periferia es característicamente más claro y de aspecto espumoso debido a la acumulación de lípidos14,17.
Actualmente la inmunohistoquímica juega un papel fundamental para el diagnóstico de la ECD y el resto de las histiocitosis. Los histiocitos presentes en la enfermedad de Erdheim-Chester son característicamente positivos para CD68 (cluster of diferentation 68), que es una proteína que en patología es usada como marcador de histiocitos y tumores histiocíticos, es específica para los lisosomas. Se desconoce su función exacta, pero se cree que puede tener un papel en actividades fagocíticas; dicha proteína permite la localización de subgrupos de macrófagos en diversos tejidos y órganos18. Otra de las características inmunohistoquímicas definitorias de la ECD es la negatividad para CD1a que es una molécula presentadora de antígenos no clásica importante en la presentación de glucolípidos y lipopéptidos, la utilidad principal de esta, en este caso, es la diferenciación con la histiocitosis de células de Langerhans en la cual la positividad a CD1a es muy específica19. El marcador S100 se observa ocasionalmente positivo, corresponde a una familia de proteínas de unión al Ca2+ que actúa en la regulación del movimiento, crecimiento, diferenciación, transcripción y secreción celulares; dicho marcador se encuentra positivo en múltiples líneas de células incluyendo las células dendríticas, células de Langerhans y macrófagos20. Algunos otros hallazgos inmunohistoquímicos menos característicos son positividad para CD163 (receptor scavenger hemoglobina/haptoglobina), Factor XIIIa (marcador de proliferaciones fibrohistiocíticas), y CD207 (lecitina de tipo C especifica de células de Langerhans) negativa10,11,13,14,21-23.
No existen hallazgos específicos en valores de laboratorio; sin embargo, se han reportado casos donde la VSG, la proteína C reactiva y la fosfatasa alcalina se muestran elevadas12.
Se ha reportado un patrón característico inflamatorio en los pacientes con ECD en comparación a controles, que consiste en valores elevados de interferón α (IFN-α), interleucina 12 (IL-12), proteína quimioatrayente de monocitos 1 (MCO-1) y la interleucina 6 (IL-6), además de valores bajos de interleucina 4 (IL-4) e interleucina 7 (IL-7)10,14.
El pronóstico de la enfermedad está asociado a la gravedad del padecimiento, pudiendo resultar beneficioso para los raros casos asintomáticos o mínimamente sintomáticos en los cuales solo hay afectación de un órgano o sistema. Pese a esto, frecuentemente, es una enfermedad de mal pronóstico, con una sobrevida menor de 3 años a pesar de un tratamiento. La causa de muerte en la mayoría de los pacientes está asociada a fibrosis pulmonar o a insuficiencia renal por fibrosis retroperitoneal10,11,13.
CONCLUSIÓN
El caso presentado cuenta con diagnóstico histopatológico compatible con la enfermedad de Erdheim-Chester. Es de resaltar que, ante la presentación asintomática o inusual de esta patología, se acepta el patrón histológico característico como criterio suficiente para realizar el diagnóstico. En la presente situación, se realizó el análisis del bazo obtenido por laparotomía exploradora en el cual se encontró morfología, así como panel de inmunohistoquímica compatible con la enfermedad, los cuales consisten en la infiltración de histiocitos espumosos positivos para CD68, negativo para CD1a y de positividad variable para S100. El paciente no mostraba características clínicas ni paraclínicas adicionales atribuibles a la enfermedad. La EDC es una rara enfermedad con gran variabilidad clínica, misma que queda evidenciada en el presente caso, por lo cual es necesario que se tenga un alto índice de sospecha de esta y de todas las histiocitosis en general y que no se dude en la premura de realizar biopsia ante cualquier sospecha dada la agresiva evolución de estos padecimientos.










nueva página del texto (beta)





