
INTRODUCCIÓN
La enfermedad celíaca (EC) es un padecimiento sistémico con base inmunológica caracterizado por la intolerancia al gluten. La prevalencia mundial se ha reportado aproximadamente en 1%. El diagnóstico depende de la sintomatología, pruebas serológicas y resultado de la biopsia de intestino delgado1.
Hay un primer grupo de expresión clínica conformado por pacientes en quienes, desde edades tempranas, se presenta el cuadro clásico de diarrea, malabsorción y pérdida de peso. Sin embargo, de forma concomitante pueden presentarse también manifestaciones atípicas de la enfermedad como anemia severa, osteoporosis, alteraciones de la calcemia y metabolismo mineral, artritis, anormalidades en las pruebas de funcionamiento hepático, alteraciones en piel, síntomas neurológicos, síntomas similares al síndrome de intestino irritable e infertilidad.
Existe un segundo grupo de pacientes en los que la enfermedad puede mantenerse silente a pesar de que existan cambios característicos en la biopsia de intestino delgado (atrofia de las vellosidades, hiperplasia de las criptas e infiltrado linfocitario) y que se detectan solo por hallazgos en biopsias realizadas por otras causas. Sucede algo similar con los anticuerpos antigliadina y antitransglutaminasa, ya que pueden estar presentes sin que esto se traduzca en algún tipo de expresión clínica.
Finalmente, un último grupo de pacientes cursa con una variedad latente en la que aún con la susceptibilidad genética y serología positiva, se mantienen asintomáticos con una mucosa intestinal estructuralmente normal (incluso con dietas normales en gluten). Para este último caso, se han descrito dos subpoblaciones: pacientes que alguna vez manifestaron la enfermedad en la infancia, presentaron mejoría tras restringir el gluten en la dieta y permanecieron asintomáticos a pesar de reanudar el consumo en cantidades normales en etapas posteriores de la vida. Por otro lado, existe un segundo subgrupo que desarrollará la enfermedad en la etapa adulta a pesar de nunca haber presentado síntomas o cambios estructurales en la mucosa durante la infancia2),(3. Cabe destacar que el debut de esta última forma, puede no ser necesariamente bajo el cuadro típico de síntomas gastrointestinales aislados, lo cual impide que la enfermedad celiaca sea la sospecha inicial, lo que provoca retraso o dificultad en el diagnóstico. Debe considerarse que estos pacientes pueden acudir al servicio de urgencias o a la consulta de primer contacto con la expresión predominante de manifestaciones atípicas.
CASO CLÍNICO
Paciente masculino de 57 años de edad. Antecedente de anemia perniciosa diagnosticada una década previa por el hallazgo de niveles séricos disminuidos de vitamina B12, anemia macrocítica y hallazgos no especificados en una endoscopia. Fue tratado con reposición intramuscular de cobalamina y suspendió el tratamiento sin ningún seguimiento. Refirió además historia de síndrome de intestino irritable para el cual tomó tratamiento farmacológico intermitente no especificado.
Acudió al servicio de urgencias por padecimiento de 3 semanas de evolución caracterizado por evacuaciones disminuidas en consistencia (Bristol 6-7) en número de 2 a 3 al día, sin moco ni sangre con lientería y esteatorrea ocasional asociadas a la ingesta de alimentos ricos en grasa; se acompañó de distensión abdominal, dolor difuso de leve a moderada intensidad que mejoró con las evacuaciones, náusea, hiporexia y debilidad muscular generalizada con predominio en miembros pélvicos. Se agregaron calambres, espasmos musculares y parestesias distales en las 4 extremidades, motivo que lo hace acudir al servicio de urgencias para valoración. Al interrogatorio dirigido refirió pérdida de peso no intencionada de aproximadamente 5 kg en los últimos 30 días. Ingresó hemodinámicamente estable con signos vitales dentro de parámetros normales. A la exploración física destacó la presencia de signos de Chvostek y Trousseau que sugirieron hipocalcemia. A la exploración abdominal con moderada distensión, peristalsis aumentada en frecuencia, y dolor difuso de leve intensidad a la palpación media y profunda, sin datos de irritación peritoneal. Se solicitaron estudios de laboratorio generales que se muestran en la Tabla 1.
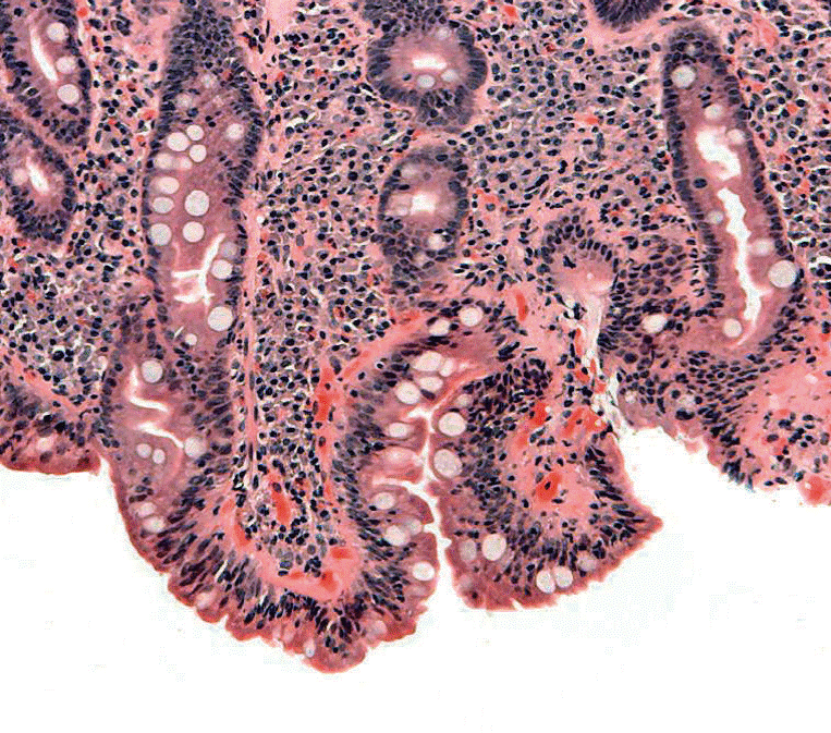
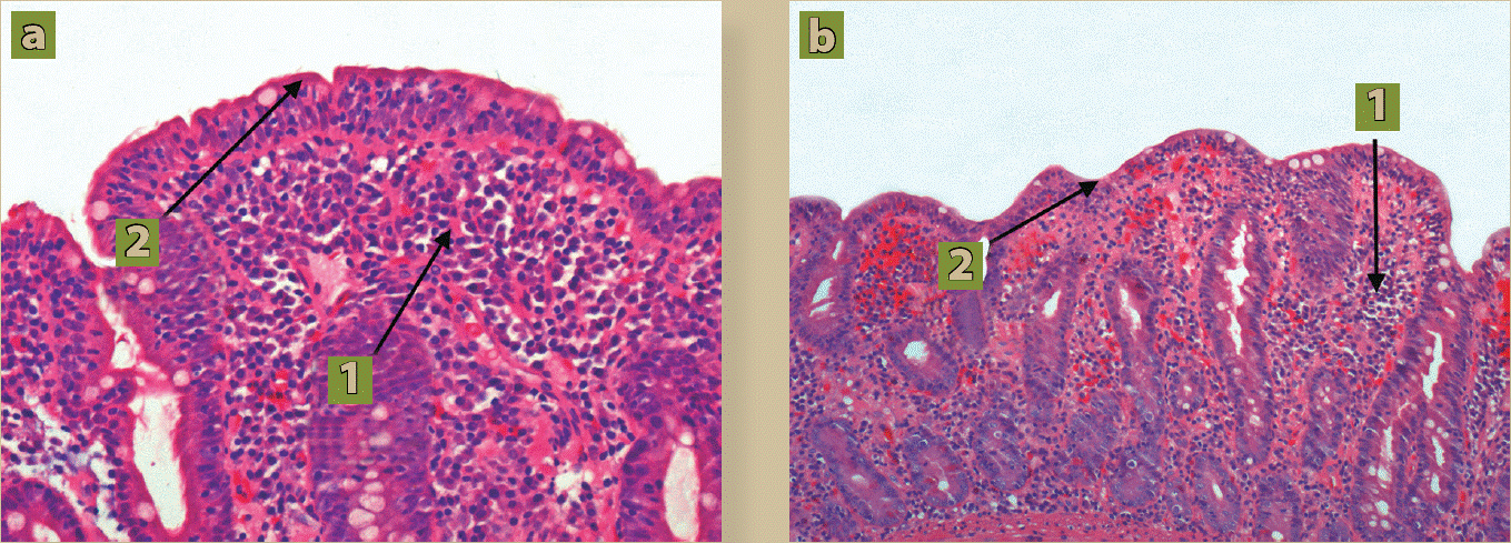
Se solicitó electrocardiograma (EKG) en el que se observó ritmo sinusal, intervalo QT corregido de 465 mseg. Se inició reposición de electrolitos, así como infusión intravenosa de calcio, con lo cual remite la clínica asociada a hipocalcemia. Se solicitó ultrasonido abdominal, que reportó litiasis vesicular sin datos de agudización con abundante lodo biliar. Ingresó a hospitalización para continuar abordaje de hipocalcemia, síndrome anémico y síndrome de malabsorción. Se complementó abordaje con niveles de ácido fólico: 8.3 ng/mL (5.9-24.8), vitamina B12 < 50 pg/mL (180-914), 25-hidroxivitamina D <4 ng/mL (30-100), PTH intacta 245 pg/mL (10-60), Ac-antifactor intrínseco 0.9 AU/mL (0-1.1), alfa y beta carotenos séricos (disminuidos) que sugirieron malabsorción. Se descartó hipoparatiroidismo primario. Durante el internamiento presentó leucopenia con neutropenia moderada (hasta 500 5 × 103/μL) además de trombocitopenia (92 × 103/μL), presentó pico febril aislado sin aislarse microorganismo en hemocultivos. Ante la sospecha de síndrome de malabsorción y por los antecedentes referidos por el paciente, se decidió realizar panendoscopia y colonoscopia con toma de biopsias en las que se reportó duodenitis atrófica y gastropatía eritematosa. En la colonoscopia se encontraron datos de atrofia de la mucosa en íleon distal. Las biopsias de duodeno (Figura 1) reportaron duodenitis crónica con atrofia moderada de vellosidades intestinales e incremento de linfocitos intraepiteliales sugestivos de enfermedad celiaca Marsh 3B (Tabla 2); a nivel del íleon se reportaron hallazgos similares: ileitis crónica con incremento de linfocitos intraepiteliales y atrofia leve a moderada de vellosidades12. Se solicitaron Ac antitranglutaminasa: IgG < 2 U/mL, IgA 12 U/mL (positivo). Por los hallazgos previos, se estableció diagnóstico de EC; se inició dieta con restricción de gluten. Continuó con reposición de vitamina B12 intravenosa y calcio/vitamina D orales. Posterior a 4 días de estancia intrahospitalaria, egresó por mejoría.

Foto: Otorgada por los autores
Figura 1ay 1b Biopsia duodenal: 1. Infiltración linfocítica en la submucosa. 2. Aplanamiento y atrofia de vellosidades intestinales compatibles con estadio 3B de la clasificación de Marsh (Atrofia moderada con infiltrado linfocitario).
Tabla 2 Clasificación histológica de Marsh de la enfermedad celiaca
| Etapa 0 | Mucosa preinfiltrativa. Biopsia de aspecto normal |
| Etapa 1 | Aumento en el número de linfocitos intraepiteliales a más de 30 por cada 100 enterocitos |
| Etapa 2 | Cambios de la etapa 1 más hiperplasia de las criptas; aumento de su profundidad sin reducción de la altura de las vellosidades |
| Etapa 3 | Atrofia de las vellosidades. A: Parcial, B: Subtotal, C: Total. Lesión clásica y característica de la enfermedad celiaca, sin embargo no es patognomónica |
DISCUSIÓN
La enfermedad celíaca fue clásicamente descrita como una enfermedad de presentación en la infancia; sin embargo, su diagnóstico en la etapa adulta se ha vuelto mucho más común.
La identificación de pacientes asintomáticos ha sido posible gracias a la detección de anticuerpos séricos y hallazgos de biopsias de intestino realizadas por otro motivo. En muchos casos, las manifestaciones no gastrointestinales de la enfermedad son las que motivan el screening serológico y la indicación para realizar biopsias. En el caso presentado, la hipocalcemia secundaria a un síndrome de malabsorción fue el principal motivo de sospecha de la enfermedad celiaca una vez descartadas otras causas. Sin embargo, las manifestaciones atípicas aún siendo relativamente infrecuentes, pudieran ser la forma de debut antes de los síntomas típicos. Dentro de estas manifestaciones destacan las siguientes, de las que se hace una breve descripción:
• Hipocalcemia. Las concentraciones séricas de calcio y fósforo están reguladas por varios mecanismos. Entre ellos destacan la absorción en el intestino, la reabsorción tubular renal y la movilización o almacenamiento desde los huesos.
Los órganos implicados en la regulación del calcio son las glándulas paratiroides, las células C (parafoliculares) de la tiroides, el hígado y la piel sin dejar de mencionar que la propia ingesta juega un papel también importante. Un adulto requiere consumir en promedio alrededor de 1000 mg de calcio al día4. La vitamina D, uno de los principales componentes de la regulación del metabolismo calcio-fósforo, se adquiere a través de la dieta y se genera a nivel cutáneo por la exposición a la luz solar, la cual genera la conversión del 7-dehidrocolesterol a previtamina D3, misma que es rápidamente convertida a vitamina D3 (colecalciferol) y finalmente almacenada en el hígado en forma de 25-hidroxivitamina D. Esta última es convertida a la forma activa 1,25 hidroxivitamina D por acción de la enzima 1-alfa-hidroxilasa en riñón.
Las concentraciones séricas de calcio y fósforo están reguladas también por la hormona paratiroidea al estimular la reabsorción renal de calcio, la excreción de fósforo y favorecen la actividad de la ya mencionada 1-alfa-hidroxilasa. Pequeñas elevaciones en la concentración plasmática de calcio actúan mediante feedback negativo para disminuir la secreción de PTH. El fósforo sérico depende también de la actividad de la PTH, la vitamina D activa y la dieta. Su concentración sérica tiene un efecto de feedback contrario al del calcio. Las células C o parafoliculares de la tiroides secretan calcitonina, una hormona de 32 aminoácidos que se opone a la acción de la PTH, lo que disminuye el número y actividad de los osteoclastos y por lo tanto de la resorción ósea en situaciones de hipercalcemia. Favorece también la excreción renal de calcio y fósforo. Se sabe que su efecto es menos determinante en la regulación del calcio ya que al favorecer su disminución, la PTH se sobrepone a su efecto de forma dominante.
La 1,25 hidroxivitamina D, forma activa final de la vitamina D, favorece la reabsorción de calcio y fósforo a nivel renal e intestinal5. Es así que los mecanismos de transporte intestinal de calcio y vitamina D, se ven predominantemente afectados en la EC, y pueden estar asociados con escenarios que van desde la osteoporosis con hipocalcemia crónica leve-moderada, hasta formas agudas sintomáticas6. La hipocalcemia y la enfermedad ósea metabólica no explicadas por una etiología clara, deben levantar la sospecha de EC sin importar la edad de presentación, ya que podrían ocurrir en pacientes sin síntomas gastrointestinales.6
• Enfermedad neuropsiquiátrica. Existen diversos reportes que describen la asociación de la enfermedad celiaca con cefalea, neuropatía periférica, ataxia, depresión, distimia, ansiedad y epilepsia. Este grupo de manifestaciones se explican en parte por la deficiencia de vitaminas del complejo B y vitamina E7.
• Anemia. Se ha reportado la asociación con anemia por deficiencia de hierro; una serie de 93 pacientes con este tipo de anemia reportó hallazgos en la biopsia compatibles con enfermedad celiaca hasta en el 12%8.
• Artritis. Se ha descrito aumento en la prevalencia de osteoartritis en la enfermedad celiaca, aunque no está claro cuál sea la relación causal9.
• Enfermedad renal. Hasta en una tercera parte de los pacientes se ha descrito la presencia de depósitos de IgA en el glomérulo, sin embargo en la mayoría no existe manifestación clínica alguna, gracias a la ausencia de activación del complemento2.
El realizar estudios en búsqueda de enfermedad celiaca debería aplicarse en los siguientes casos:
Pacientes con síntomas gastrointestinales sugestivos típicos: diarrea crónica, malabsorción, pérdida de peso y distensión abdominal recurrente.
Pacientes sin otra explicación para cuadros que se acompañen de anemia por deficiencia de hierro, anemia macrocítica por deficiencia de vitamina B12 o folatos, hipocalcemia y deficiencia de vitamina D, elevación persistente de transaminasas, estomatitis aftosa persistente, hipoplasia del esmalte dental, neuropatía periférica idiopática, ataxia cerebelar no hereditaria y, en el caso de los pacientes pediátricos, estatura corta y pubertad retrasada.
Pacientes con DM1 que tengan familiares de primer grado con diagnóstico de enfermedad celiaca y que cursen con cuadro clínico sugestivo.
La evaluación debe realizarse mientras el paciente mantiene una dieta normal en gluten (Figura 2). Para iniciar el abordaje, podemos dividir a los pacientes en aquellos con alta probabilidad de tener el padecimiento (> 5%) y aquellos con baja probabilidad (< 5%). Se considera con alta probabilidad a aquellos pacientes con diarrea severa, pérdida de peso, anemia persistente, historia familiar de enfermedad celíaca, dermatitis herpetiforme, síndrome de Down, deficiencia selectiva de IgA y otras condiciones con fondo autoinmune como diabetes tipo 1 y enfermedad autoinmune tiroidea o hepática. El anticuerpo antitransglutaminasa de tipo IgA tiene sensibilidad y especificidad de 95% y hasta 100% respectivamente con base en una revisión sistemática, estos valores son similares a los anticuerpos antiendomisio (IgA) superando ambos la sensibilidad y especificidad de los anticuerpos antigliadina1),(10.
Por el antecedente referido de anemia perniciosa y la anemia macrocítica observada en los estudios de laboratorio, se solicitó serología para detección de anticuerpos antifactor intrínseco, los cuales fueron negativos. Aunque la sensibilidad de estos anticuerpos va del 50 a 80% y por lo tanto no son por sí mismos excluyentes de anemia perniciosa, la hipocalcemia sintomática no es una manifestación asociada de forma característica a este padecimiento, y los hallazgos de la biopsia de intestino delgado apoyaron el diagnóstico de enfermedad celíaca. La anemia por deficiencia de B12, sobre todo si es severa, puede acompañarse de trombocitopenia y neutropenia, en grados variables que pudieran imitar a un síndrome mielodisplásico, leucemia aguda y anemia aplásica. Todos estos casos pueden, de igual modo, cursar con macrocitosis y pancitopenia; sin embargo, antes de realizar aspirado de médula ósea u otro estudio como parte del abordaje, es necesario descartar y tratar la etiología carencial.
El tratamiento de la enfermedad celíaca debe basarse en los siguientes puntos:
Consulta con un nutriólogo capacitado en el manejo de la enfermedad.
Educación sobre la enfermedad.
Adherencia a una dieta libre en gluten.
Identificación y tratamiento de las deficiencia nutricionales.
Acceso a grupos de ayuda.
Seguimiento a largo plazo.
La velocidad de respuesta a la dieta libre de gluten es variable, aunque 70% de los pacientes presentan mejoría clínica al cabo de 2 semanas. Las manifestaciones clínicas mejoran antes que los hallazgos en la biopsia. Se sugiere realizar de nuevos estudios de laboratorio al cabo de 4 a 6 semanas, incluyendo biometría hemática, folatos, vitamina B12, cinética de hierro, pruebas de función hepática y nuevos estudios serológicos en búsqueda de anticuerpos antitransglutaminasa IgA, ya que con estos últimos puede evaluarse la respuesta a la dieta. Existe un 5% de pacientes considerados como refractarios a la dieta libre de gluten. Estos casos pueden explicarse por 2 causas principales: 1) El paciente no ha tenido un apego estricto a la dieta libre de gluten, 2) existe otra enfermedad concomitante o diferente de la enfermedad celiaca11.
CONCLUSIONES
La enfermedad celíaca no siempre se manifiesta con síntomas típicos y su diagnóstico no es exclusivo en la población pediátrica. Es posible hacer el diagnóstico en pacientes adultos que cursan o no con este tipo de manifestaciones. Algunos pacientes pueden ser diagnosticados tras varios episodios de remisión y recurrencia de la enfermedad a lo largo de varios años, y no es infrecuente que hayan sido previamente evaluados y diagnosticados de forma errónea (en el caso presentado se hizo el diagnóstico erróneo de anemia perniciosa); puede que incluso hayan recibido tratamiento para alguna de las manifestaciones clínicas o deficiencias nutricionales y vitamínicas que aparecen a consecuencia del síndrome de malabsorción. La osteoporosis y la hipocalcemia están descritas como posibles manifestaciones atípicas de la enfermedad celíaca; sin embargo es infrecuente que se presenten de forma sintomática aguda requiriendo reposición con calcio intravenoso como en el caso descrito.
Ante el caso de un hombre adulto con hipocalcemia sintomática aguda (no explicada por causas endocrinológicas como el hipoparatiroidismo primario), que no presentó un cuadro franco gastrointestinal desde su infancia o juventud, puede resultar difícil considerar a la enfermedad celíaca como primera causa, y los médicos pudieran esforzarse por seguir tratando de descartar otras causas. Sin embargo, no debemos olvidar la posibilidad, de que se trate de un adulto sin historia conocida de diarrea o intolerancia al gluten y que esto no descarta el diagnóstico de EC.
Aunque los anticuerpos antitranglutaminasa tienen una alta sensibilidad y especificidad, se recomienda complementar con la toma de biopsia de intestino delgado (duodeno) para poder realizar el diagnóstico definitivo. La dieta con restricción de gluten es el pilar de tratamiento para estos pacientes. La EC que debuta en la etapa adulta mediante hipocalcemia sintomática grave no es una expresión clínica común, pero debiera considerarse dentro de los diagnósticos diferenciales.










nueva página del texto (beta)



