Introducción
Los litos son estructuras cristalinas incluidas en una matriz orgánica, que se forman en las papilas renales y crecen hasta que, de forma aleatoria, se rompen y los fragmentos pasan al sistema excretor. La enfermedad litiásica renal es un padecimiento común que afecta a casi 1 de cada 11 personas. La prevalencia global de los cálculos renales es de 8.8%, con una proporción mayor entre los hombres (10.6%) que entre las mujeres (7.1%); sin embargo, la brecha de género se está cerrando1. Es más frecuente en la raza blanca, con una incidencia máxima de la cuarta a la sexta décadas de vida, sobre todo en habitantes de lugares con climas cálidos, áridos o secos.
El componente más común de los cálculos urinarios es el oxalato de calcio, que constituye aproximadamente el 60% de todos los litos. La enfermedad litiásica se relaciona, cada vez más con condiciones sistémicas, aunque no está claro si la litiasis es una causa o una consecuencia de estos trastornos. Se ha demostrado que el sobrepeso-obesidad, la hipertensión y la diabetes se asocian con un mayor riesgo de enfermedad1.
La urolitiasis es tan antigua como el hombre mismo, y la lo largo de la historia de la humanidad se recogen varias descripciones. Durante la época de Hipócrates se describieron intervenciones quirúrgicas específicas para aliviar los síntomas de la enfermedad. A fines del siglo XIX los cirujanos extraían litos en abscesos renales concomitantes. En 1879, Heinke describió la primera incisión de pielolitotomía con extracción lítica. Smith y Boyce describieron en 1968 la primera nefrolitotomía anatrófica para cálculos coraliformes, apoyándose en las descripciones técnicas previas de Josef Hyrtl (1882) y Max Brödel (1902) del plano avascular renal. El surgimiento de estas tecnologías y procedimientos fue seguido por el desarrollo de la cirugía mínimamente invasiva, como la laparoscopia. Clayman y Kavoussi fueron los pioneros en el desarrollo del «arte de la cirugía laparoscópica urológica» ya que realizaron la primera nefrectomía laparoscópica transperitoneal en 1991, y Gaur introdujo en 1994 la pielolitotomía laparoscópica con un abordaje retroperitoneal2-3.
El tratamiento médico-quirúrgico de la enfermedad litiásica ha experimentado una dramática evolución durante las últimas 3 décadas4. Los avances en equipos y procedimientos endoscópicos, como la evolución de la nefrolitotomía percutánea, la ureteroscopia, la litotripsia extracorpórea por ondas de choque (LEOCH), la cirugía laparoscópica y la cirugía asistida por robot han disminuido el papel de la cirugía abierta como método de elección. Se han establecido varios métodos para manejar diferentes tipos de cálculos renales, basados en la ubicación, distribución, tamaño y composición del lito, así como la anatomía renal5. La laparoscopia se convirtió en una alternativa a la cirugía abierta y ha sido considerada como una herramienta útil para manejar muchas condiciones urológicas pues tiende a requerir menor analgesia, estancias hospitalarias más cortas, menor convalecencia, mejores resultados cosméticos, menor tasa de complicaciones, menor morbilidad y tasas elevadas de depuración lítica (stone-free rate).
La prevalencia de procedimientos quirúrgicos abiertos ha disminuido, ya que se realiza en sólo 1 a 5.4% de todos los pacientes. La complejidad de la distribución de los litos dentro la unidad renal puede a veces ser un obstáculo para eliminarlos en una sola sesión. La nefrolitotomía percutánea es considerada el estándar para los litos renales mayores de 2 cm; sin embargo, se ha asociado con la necesidad de múltiples tractos, varias sesiones de tratamiento y tasas libres de litos menores a las logradas con la pielolitotomía laparoscópica (88.9-100%).
Se han reportado indicaciones estándar para la pielolitotomía laparoscópica, especialmente en litos pélvicos únicos iguales o mayores de 2 cm o múltiples impactados dentro de una pelvis extrarrenal o dilatada, en los casos en que no existe dilatación de cavidades renales o presencia de infundíbulos estrechos, en casos de riñón ectópico o en herradura, malrotación renal, en la litiasis asociada a anormalidades anatómicas que ameritan de corrección quirúrgica durante el mismo procedimiento como en la obstrucción concomitante de la unión pieloureteral o divertículos caliciales, en cálculos resistentes a la fragmentación como los compuestos de cistina, en pacientes con comorbilidades graves, como enfermedad coronaria, enfermedad hepática crónica, enfermedad renal crónica limítrofe, coagulopatías y anticoagulación que implican un mayor riesgo de lesión parenquimatosa renal o hemorragia masiva perioperatoria y cuyo objetivo es preservar el parénquima renal. Además, es una opción razonable para los litos renales complejos donde la litotripsia extracorpórea o la nefrolitotomía percutánea podrían no tener éxito en una sola sesión6-8.
Caso clínico
Paciente femenino de 47 años de edad con antecedentes heredofamiliares negados. Antecedente personal patológico de hiperparatiroidismo primario a expensas de adenoma paratiroideo izquierdo resuelto con resección quirúrgica del mismo, resto de antecedentes negados. Se presentó al departamento de urgencias por un padecimiento de 24 horas de evolución caracterizado por dolor lumbar izquierdo, de tipo cólico, de intensidad severa, intermitente, irradiado a región abdominal, inguinal y genital ipsilateral, acompañado de polaquiuria, tenesmo, urgencia, hematuria (total, macroscópica, no formadora de coágulos), náusea, vómito en una ocasión e hipertermia no cuantificada. A la exploración física de la paciente se observó constitución endomórfica; con una capacidad funcional en escala ECOG de 0, y Karnofsky de 100%; signos vitales con frecuencia cardiaca (FC) de 90 lpm, frecuencia respiratoria (FR) de 22 rpm, temperatura (T) de 37.3 ºC y tensión arterial (TA) de 110/80 mmHg; cardiopulmonar con campos pulmonares sin alteraciones, frecuencia cardiaca rítmica y sin ruidos agregados; abdomen globoso a expensas de panículo adiposo, normoperistáltico, sin dolor a la palpación superficial ni profunda, timpanismo generalizado y signo de Giordano izquierdo positivo. Genitales de acuerdo a fenotipo y edad, labios mayores y menores sin alteraciones, introito vaginal permeable y sin presencia de exudados patológicos identificables; extremidades sin alteraciones.
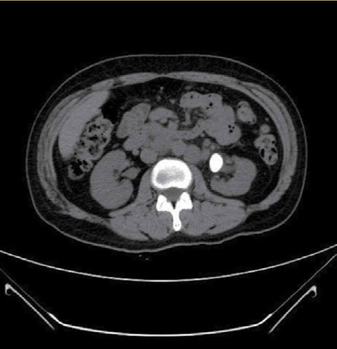
Se solicitaron exámenes paraclínicos de laboratorio completos que demostraron la presencia de leucocitosis a expensas de neutrofilia, con eritrocitos incontables por campo y cristales de oxalato de calcio regulares en el examen general de orina, con calcio sérico y niveles de paratohormona dentro de rangos normales. Se realizó una radiografía simple de abdomen que demostró la presencia de una imagen radiopaca. Dados los hallazgos se efectuó una urotomografía (UROTAC), y se apreció en el topograma una imagen redondeada radiopaca a nivel paravertebral izquierdo de L1 a L2 (Figura 1). En los cortes axial, coronal y en la reconstrucción tridimensional en fase simple y contrastada se hizo evidente una imagen hiperdensa en la pelvis renal izquierda con dimensiones de 2.19 × 1.54 × 2.58 cm e índice de atenuación de hasta 1762 unidades Hounsfield (Figura 2 3, 4), y se hizo el diagnóstico de litiasis piélica izquierda. Se inició impregnación antibiótica empírica previa toma de urocultivo y posteriormente se indicó tratamiento quirúrgico por medio de pielolitotomía laparoscópica izquierda. La evolución fue adecuada en el periodo postoperatorio. La paciente egresó al tercer día del postquirúrgico. Actualmente se encuentra en manejo multidisciplinario por endocrinología y urología, en espera del perfil metabólico para su adecuada categorización y tratamiento postevento lítico.

Figura 1 Topograma de urotomografía (UROTAC) con imagen paravertebral izquierda radiopaca a nivel L1-L2.

Figura 2 Urotomografía en fase simple y corte axial: imagen hiperdensa en la pelvis renal izquierda.
Discusión
El cuadro clínico de la litiasis dependerá de la localización, tamaño y capacidad obstructiva del cálculo. La litiasis puede ser asintomática en el caso de cálculos no obstructivos. Cuando produce dolor, éste es de intensidad variable, brusco, tipo cólico, en el flanco o ángulo costovertebral e irradiado a la ingle y genitales, acompañado de agitación psicomotriz, náusea y vómito. Puede presentarse además un síndrome miccional con disuria, polaquiuria y micro o macrohematuria sin coágulos, recidivante y de duración variable (9-33% casos). Una complicación de la litiasis es la pielonefritis obstructiva, caracterizada por fiebre, escalofríos y afección del estado general. El estudio analítico básico en todo cuadro de cólico renal agudo debe incluir el análisis de orina y sedimento urinario (eritrocitos y/o leucocitos en orina, pH urinario y presencia de cristales), y el análisis sanguíneo, donde interesan parámetros como el recuento leucocitario, la desviación a la izquierda de la fórmula leucocitaria, la función renal e indicadores de sepsis (hemoglobina, hematocrito, plaquetas y coagulación)9.
La evaluación preoperatoria apropiada para cálculos renales es crítica y puede dividirse en 2 categorías: la primera incluye factores relacionados con la imagen del lito renal (como la carga lítica, ubicación, nivel de obstrucción y defectos anatómicos renales), y la segunda considera factores clínicos del paciente, que son variables analizadas a través de una historia clínica adecuada y examen físico.
Para el diagnóstico, comúnmente se utilizan 4 modalidades de imagen: la tomografía computarizada (UROTAC), la urografía intravenosa, el ultrasonido y la radiografía de abdomen. La UROTAC ofrece la mayor sensibilidad (94-100%) y especificidad (92-100%) para la identificación de los cálculos urinarios, por lo que es la modalidad primaria para el diagnóstico (gold-Standard). La tomografía proporciona información útil para seleccionar un tratamiento adecuado, incluyendo el tamaño, el número, los índices de atenuación y la ubicación de los litos dentro del riñón, así como la presencia de hidronefrosis y de variantes anatómicas10. Se ha documentado un abordaje retroperitoneal (lumboscópico) o transperitoneal para la pielolitotomía laparoscópica. La elección en la mayoría de los casos está dictada por la experiencia y preferencia de los cirujanos. En el acceso al riñón por vía transperitoneal se coloca al paciente en posición decúbito lateral modificada, con una inclinación de 45°, con puntos de presión acolchonados. Se obtiene acceso a la cavidad abdominal con una técnica cerrada usando la aguja de Veress, o con la técnica abierta de Hasson por medio de una incisión y posterior colocación de un trocar de 10-12 mm. A continuación, se colocan 2 o 3 trocares adicionales utilizando guía laparoscópica (Figura 5). Se moviliza el colon incidiendo la fascia de Toldt o por medio de un abordaje transmesocólico. El hilio renal se identifica y la grasa peripiélica que rodea la pelvis renal se limpia con una disección meticulosa asegurando que los vasos renales o sus ramas no se lesionen11. El uréter se identifica cerca del polo inferior y sigue por la parte superior a la pelvis renal; una vez lograda su adecuada exposición, la pielotomía se realiza con tijeras laparoscópicas con posterior extracción del cálculo, ésta puede hacerse en forma completa por medio de su manipulación con pinza tipo Grasper o mediante algún método de fragmentación intracorpórea (laser Holmio en Endobag)12. Se cierra la incisión con sutura de poliglactina trenzada 3-0 o 4-0 de una manera interrumpida o continua. Alternativamente, se puede utilizar un dispositivo de sutura laparoscópica de un solo uso (Endo Stitch, Autosuture, US Surgical, Norwalk, Connecticut) en lugar de una sutura tradicional. Finalmente, se coloca un drenaje cerca de la incisión pélvica renal pero no directamente sobre ella13. La tasa de conversión a cirugía abierta oscila de 0 a 27%. La mayoría de las series tienden a preferir el abordaje retroperitoneal debido a la disminución del riesgo de contaminación peritoneal.
Después del diagnóstico de enfermedad litiásica, deben realizarse pruebas metabólicas que consistirán en 1 o 2 recolecciones de orina de 24 horas obtenidas en una dieta aleatoria y analizadas al mínimo para el volumen total, el pH, el calcio, el oxalato, el ácido úrico, el citrato, el sodio, el potasio y la creatinina, con la intención de categorizar a los pacientes como formadores de litos de bajo o alto riesgo, identificar alteraciones del metabolismo específicas y dictaminar el tratamiento individualizado a continuar14,15. La dieta y el estilo de vida modifican el riesgo de desarrollar cálculos. Se han evaluado varias medidas dietéticas para determinar sus efectos sobre la formación de litos proporcionando razones convincentes para incorporar o evitar una variedad de alimentos1. Se deberá recomendar a todos los formadores de litos una ingesta de líquidos que logre un volumen de orina de al menos 2.5 litros al día. Los resultados reproducibles de la cirugía laparoscópica y su alta efectividad la hacen una opción viable en el tratamiento de la litiasis piélica. Es indudable la ventaja que ofrece el abordaje laparoscópico frente al abierto al ser éste un procedimiento de mínima invasión que brinda una más pronta y mejor evolución posoperatoria, dolor leve, bajo consumo de analgésicos, buenos resultados cosméticos y baja incidencia de complicaciones.
Conclusión
Los procedimientos laparoscópicos se han convertido en una opción en el armamento del urólogo para el tratamiento de la litiasis del tracto urinario superior, especialmente en pacientes de alto riesgo con múltiples comorbilidades. Los resultados favorables se pueden lograr con la selección apropiada del paciente y la técnica quirúrgica correcta.
FINANCIAMIENTO
No se recibió patrocinio de ningún tipo para llevar a cabo este artículo.
CONFLICTO DE INTERESES
Los autores declaran no tener ningún conflicto de intereses.










nueva página del texto (beta)






