INTRODUCCIÓN
La infertilidad se define como la imposibilidad de lograr un embarazo después de 12 meses o más de mantener relaciones sexuales regulares sin protección. La pérdida recurrente del embarazo no se clasifica como infertilidad, pero sí puede considerarse un problema de la salud reproductiva1. Los datos estadísticos indican que 48.5 millones de parejas en el mundo son infértiles2. Se considera que 72.4 millones de mujeres en todo el mundo sufren infertilidad y alrededor de 6.1 millones tienen dificultades para quedar embarazadas o llevar un embarazo a término en los Estados Unidos3),(4),5). En México, se estima que existen 1.5 millones de parejas con problemas de infertilidad6 y la Secretaría de Salud indica que, de las consultas con el médico familiar, 20% corresponde a problemas de fertilidad, y de éstas, de 8 a 10% son enviadas con el médico especialista en reproducción7; atendiéndose anualmente a cerca de 12,000 parejas en la Unidad de Biología de la Reproducción del Hospital de Gineco Obstetricia No. 3 del IMSS8.
Se consideran tanto factores masculinos como femeninos que conducen a la infertilidad y a los trastornos reproductivos. En el caso de los hombres, deben tomarse en cuenta los parámetros del semen; el factor femenino incluye alteraciones hormonales, tubáricas, cervicales, uterinas y ováricas. En alrededor de 10% de las parejas infértiles, ambos sexos son responsables9; descartando los problemas orgánicos, se calcula que en 30% de las parejas con infertilidad no se conocen las causas10.
Las fallas reproductivas se consideran multifactoriales, además de los problemas orgánicos destacan el estilo de vida y en las últimas décadas ha cobrado interés la contaminación ambiental.
ESTILO DE VIDA Y SALUD REPRODUCTIVA
El estilo de vida de las mujeres es un factor clave respecto a la fertilidad, además de la edad y de algunos hábitos y costumbres que desarrollen durante su vida y que contribuyen de manera negativa sobre la función reproductiva11 (Tabla y Figura 1).
Tabla 1. Factores relacionados con el estilo de vida de las mujeres y sus efectos en la reproducción
| Factor | Efectos en la reproducción |
|---|---|
| Maternidad tardía | |
| Obesidad | |
| Estrés | |
| Tabaquismo |

Figura 1 En la actualidad, la mujer prioriza su desarrollo personal y profesional. Paradójicamente, las mujeres corren el riesgo de adquirir hábitos y costumbres que pueden perjudican su salud, incluyendo la reproductiva.
Maternidad tardía
El cambio en la dinámica de las sociedades ha influido en que las mujeres retrasen la edad para ser madres; esto se ha dado principalmente en países europeos, donde ellas prefieren su desarrollo académico, profesional y personal; sin embargo, la maternidad tardía lleva el riesgo no sólo de la disminución en la reserva de ovocitos en los ovarios, sino también del deterioro de los mismos, incrementándose así la incidencia de infertilidad12.
Obesidad
La obesidad está relacionada con alteraciones en la ovulación y la producción de hormonas hipofisiarias y ováricas, lo que reduce la fecundidad, evita la implantación embrionaria y genera anormalidades placentarias13. Se ha propuesto que la actividad física favorece la función reproductiva, mientras que el sedentarismo genera problemas que perjudican la implantación, el embarazo y el nacimiento de productos vivos14.
Estrés
La tensión emocional constante y mal manejada, también genera alteraciones psicológicas que pueden repercutir en la fertilidad15; en las mujeres que viven con estrés continuo, tienden a disminuir las concentraciones de estradiol, hormona luteinizante (LH) y progesterona en la fase lútea, y hay inhibición de la ovulación16.
Tabaquismo
Está comprobado que el hábito tabáquico altera la función reproductiva, manifestándose con bajos índices de concepción, de implantación17, el tiempo de concepción se prolonga18 y aumenta el riesgo de aborto19. En las mujeres fumadoras se han encontrado células inflamatorias intraepiteliales en el cuello uterino20 y un aumento en el receptor de progesterona en el útero, lo que podría influir en la presencia de endometriosis21. También es importante resaltar la influencia del tabaquismo en la salud reproductiva de las fumadoras pasivas, ya que se ha encontrado que en estas mujeres la calidad de los embriones tiende a ser pobre22; incluso hay referencias que muestran que los daños generados por el tabaquismo afectan de igual manera a las fumadoras activas y a las pasivas. En un estudio realizado por Soldin y colaboradores en 201123 se mostró que se encuentran menores concentraciones séricas de estrona, estradiol y estriol en comparación con mujeres no fumadoras; sin embargo, en mujeres fumadoras pasivas se encontró que también presentan niveles bajos de estas hormonas en sangre y los valores fueron similares a los de las mujeres fumadoras.
CONTAMINACIÓN ATMOSFÉRICA
Por otra parte, el crecimiento en la densidad de la población, la industrialización y el uso indiscriminado de combustibles fósiles ha contribuido al aumento de la contaminación ambiental de las grandes urbes, que es una fuente de exposición directa con repercusiones importantes en la salud humana, al afectar los sistemas respiratorio24, cardiovascular25 y reproductor26, entre otros.
Evidencias en animales de laboratorio
Con base en modelos animales, existe suficiente información sobre las alteraciones en el sistema reproductor femenino inducido por la inhalación de contaminantes ambientales que repercuten de forma negativa en la fertilidad; entre los hallazgos encontrados en modelos murinos, se ha reportado la disminución en la producción de las hormonas sexuales, estrógenos y progesterona; en el ovario se observa estrés oxidante, mayores concentraciones de citosinas inflamatorias, apoptosis de ovocitos y daño en el folículos antrales, mientras que en el útero se observan cambios histológicos en el endometrio27,28. Esta capa del útero presenta cambios cíclicos en su morfología y función regulados por los estrógenos y la progesterona, y cualquier alteración en este equilibrio es un riesgo para que se efectúe la implantación y el desarrollo de la gestación. En ratonas gestantes expuestas al aire de la ciudad de Sao Paolo, Brasil, se observaron fallas en la implantación embrionaria, abortos y menor número de crías nacidas vivas en comparación con el grupo de hembras expuestas a aire filtrado29.
Evidencias en mujeres
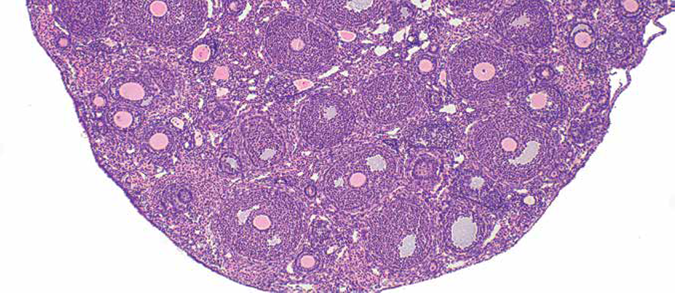
Aunque la contaminación es un factor de riesgo para la salud de los habitantes de las ciudades, poco se ha estudiado sobre la relación de los contaminantes ambientales y la reproducción humana; en el caso de las mujeres, se han desarrollado estudios epidemiológicos que correlacionan a los contaminantes atmosféricos con la reproducción femenina en áreas urbanas e industrializadas (Tabla 2). La exposición directa a compuestos tóxicos presentes en el aire, puede ser determinante en la salud reproductiva de las mujeres, ya sea alterando directamente a la estructura histológica y la función de los órganos reproductores (Figura 2) o sobre la gestación, puesto que tienen diversos mecanismos de daño, como la alteración en la producción de hormonas, la generación de estrés oxidante y el daño al ácido desoxirribonucleico (ADN), a las proteínas y a los lípidos de las membranas celulares30),(31(Figura 2).
Tabla 2. Efectos de los contaminantes atmosféricos sobre la reproducción en mujeres sin exposición ocupacional
| Tipo de contaminantes | Compuesto | Efectos |
|---|---|---|
| Plaguicidas | Organoclorinados | |
| Derivados de la ctividad industrial y de la quema de combustibles fósiles | Hidrocarburos aromáticos policíclicos | |
| Dióxido de azufre (SO2) y dióxido de nitrógeno (NO2) | ||
| Metales, cadmio (Cd) y plomo (Pb) | ||
| Partículas suspendidas |

Figura 2 El ovario es uno de los órganos reproductivos más sensibles a los compuestos tóxicos. El desbalance hormonal o el daño directo a los folículos ováricos puede llevar a la infertilidad. Corte histológico de ovario teñido con hematoxilinaeosina.
Los combustibles fósiles son uno de los desencadenantes más importantes de la contaminación, por lo que el uso indiscriminado de vehículos automotores ha hecho que los contaminantes se concentren en el aire. En Roma, Italia, se llevó a cabo un estudio en mujeres policías adscritas al área de tránsito vehicular y se encontraron menores concentraciones de estradiol sérico durante las fases folicular y lútea del ciclo menstrual, comparado con mujeres que trabajan en actividades administrativas o Burocráticas32. Estos datos indican que las mujeres que permanecen más tiempo expuestas al aire contaminado de las ciudades son más susceptibles a presentar trastornos reproductivos, como abortos espontáneos e infertilidad33, en comparación con las mujeres que realizan la mayor parte de sus actividades en lugares cerrados, pues se ha comprobado que el humo generado por la combustión del diésel, contiene sustancias que pueden afectar la esteroidogénesis y la gametogénesis34. En una industria petroquímica en China, se estudió la duración del ciclo menstrual en mujeres trabajadoras y se encontró que el ciclo no se modifica durante los primeros 7 años de trabajo. Sin embargo, a medida que aumentan los años laborales, era más frecuente la irregularidad en el ciclo, ya sea menor a 21 días o mayor a 35 días35.
Contaminantes atmosféricos y reproducción en mujeres
Los estudios realizados sobre los contaminantes presentes en el aire y su toxicidad en la salud reproductiva de la mujer, están centrados en algunos plaguicidas como los organoclorinados, y los derivados del uso de combustibles fósiles por los vehículos automotores y la industria, como los óxidos de nitrógeno y de azufre, los metales y las partículas suspendidas36.
Plaguicidas organclorinados
En una población del centro de China se tomaron muestras de fluido folicular de mujeres con edades de 20 a 35 años que presentaban infertilidad, y en ellas se encontró la presencia de organoclorinados en mayor concentración comparado con mujeres fértiles; cabe resaltar que ninguna de las mujeres incluidas en este estudio estuvieron expuestas de forma directa a este tipo de plaguicidas37. Aunque los plaguicidas tienen diversos mecanismos de acción, uno que podría tener relación con la infertilidad femenina, es la disrupción endocrina, principalmente la relacionada con la actividad de los estrógenos38.
Hidrocarburos aromáticos policíclicos
Respecto a la reproducción femenina, los hidrocarburos aromáticos policíclicos modifican la función endocrina y pueden tener efectos estrogénicos o antiestrogénicos que modifican la producción de hormonas sexuales y el desarrollo de los folículos ováricos39.
Óxidos de azufre y de nitrógeno
Los contaminantes ambientales tienen un efecto dañino sobre el embrión y el feto, ya que se transfieren en forma directa a través de la placenta; el grado de afectación depende de la toxicidad del compuesto y la etapa de desarrollo en que se encuentre el producto40. Entre los contaminantes atmosféricos que pueden inducir abortos espontáneos, están el dióxido de azufre (SO2) y el dióxido de nitrógeno (NO2)41. El SO2 es un agente genotóxico que se emite a la atmósfera por la actividad de industrias productoras de ácido sulfúrico, papel, fertilizantes, cemento y acero; debido a esto, las personas que viven en áreas industrializadas están más expuestas a este contaminante42. El NO2 se genera por la quema de combustibles, es un potente oxidante e induce respuestas inflamatorias y la activación de linfocitos T y macrófagos43.
Metales
Los metales son un grupo importante de contaminantes ambientales. Aunque algunos de ellos son esenciales para las funciones normales del organismo, como el cromo y el zinc, algunos otros, cuando se encuentran en exceso en el ambiente, son potencialmente tóxicos. Sin embargo, otros metales tóxicos se emiten a la atmósfera por la actividad industrial y por la quema de combustibles, son resistentes a ser eliminados de forma natural y se acumulan en el ambiente, volviéndose un peligro para la población en general y, especialmente, para el personal que por su trabajo se encuentra expuesto44. Ejemplo de ello es el cadmio, que es un metal pesado ampliamente utilizado en la industria y que se asocia con alteraciones morfológicas observadas en el endometrio, ya que la presencia de cadmio es mayor en este tejido en mujeres que presentan endometriosis45 y la concentración en sangre también está aumentada en comparación con mujeres sanas46.
Otro ejemplo es el plomo, metal pesado muy usado en la industria, por lo que en las ciudades industrializadas las concentraciones son altas. Tiene una amplia gama de efectos tóxicos sobre diferentes órganos, entre los que destacan los del sistema respiratorio y del sistema nervioso47. Su efecto tóxico también se ha demostrado en el sistema reproductor femenino. En un estudio realizado en la ciudad de México, se mostró que existe una relación entre la concentración de plomo en sangre y la ocurrencia de abortos espontáneos, en un rango de 1.8 abortos por cada 5 mg de incremento de plomo en sangre48.
Partículas suspendidas
Otro tipo de contaminantes ambientales son las partículas suspendidas totales (PST) de composición y tamaño variable que permanecen suspendidas en el aire. Se clasifican por su diámetro aerodinámico: las partículas con un diámetro de hasta 10 micrómetros (PM10) constituyen la fracción respirable de las PST, y las menores a 2.5 micrómetros (PM2.5) son las más dañinas a la salud puesto que al ser inhaladas, alcanzan los alveolos pulmonares, y muchos de los compuestos tóxicos que se encuentran en las PM2.5 pueden ingresar al torrente sanguíneo y ser distribuidos a todo el organismo49. Se considera que por cada 10 µg/m3 de PM2.5 que se incrementen en el ambiente (de forma crónica), aumenta de 4 a 6% la mortalidad; las enfermedades cardiovasculares se incrementan en 10% e incluso la prevalencia de cáncer de pulmón aumenta hasta 22%50.
En la zona metropolitana del valle de México (ZMVM), los niveles de Pb, CO, SO2 y NO2 en el aire cumplen con las normas oficiales mexicanas; sin embargo, los niveles de PM10, PM2.5 y O3 superan las normas. Cada año se producen 31,000 toneladas de PM10 y de éstas, 13,000 toneladas corresponden a las PM2.5. Con respecto al ozono, sus principales precursores son los compuestos orgánicos volátiles y los óxidos de nitrógeno; tanto las partículas suspendidas como los óxidos de nitrógeno son generados principalmente por el uso de vehículos automotores y se estima que en la ZMVM existen 250 autos por cada 1000 habitantes, sin considerar los vehículos registrados en otros estados y que circulan regularmente en esta región (Figura 3). También es importante resaltar a la actividad industrial, ya que en la ZMVM se tiene un registro de 6,000 industrias medianas y grandes51.

Figura 3 La contaminación ambiental es uno de los problemas más graves de las grandes urbes. El numeroso parque vehicular es uno de los principales emisores de compuestos tóxicos a la atmósfera.
La toxicidad de las partículas suspendidas no sólo depende de su tamaño aerodinámico, sino también de su composición química. En las más pequeñas (PM2.5), predominan los hidrocarburos poliaromáticos y los metales, que tienen diversos mecanismos tóxicos, incluidas la generación de estrés oxidante y la modificación de la producción y secreción de hormonas sexuales52. Las partículas suspendidas son potencialmente tóxicas para los gametos y los embriones conservados en las clínicas de fertilización asistida; se ha visto que la implementación de aire filtrado en estas clínicas, mejora el número de nacidos vivos y disminuye el número de abortos, comparado con los datos obtenidos antes de llevar un control de la calidad del aire53.
Se han realizado diversos estudios sobre el efecto de las PST en la función reproductiva y se ha demostrado una relación directa entre la disminución de la viabilidad de embriones y la exposición a partículas suspendidas en modelos murinos54. Uno de los parámetros de fertilidad afectados por las partículas suspendidas es la tasa de fecundidad. En un estudio llevado a cabo parejas que residen en Teplice, una zona altamente contaminada de la República Checa, se relaciona el incremento de cada 10 µg/m3 de PM2.5 con la disminución en la fecundidad en un 22%39. Estos resultados hacen evidente el riesgo de vivir en zonas industrializadas en donde se generan grandes cantidades de sustancias reprotóxicas.
Las PM10 y PM 2.5 tienen un efecto negativo en la fertilidad; existe un estudio realizado en Estados Unidos, donde se establece el riesgo de infertilidad femenina en relación con el lugar de residencia. En este estudio, se observó que de 36,000 enfermeras participantes, las que viven a menos de 200 metros de vialidades con alto tráfico vehicular, en donde las concentraciones de estas partículas son altas, tuvieron una asociación positiva con problemas de infertilidad55. En otro estudio realizado en Barcelona entre mujeres en edad reproductiva, se determinó que el rango de fertilidad (tomando como parámetro el número de recién nacidos por cada 1000 mujeres) disminuyó con respecto a partículas suspendidas, siendo más evidente con las partículas de diámetro entre 2.5 a 10 mm, ya que se encontró una reducción de la fertilidad de 13% cuando aumentan estas partículas56 . El ciclo menstrual también se ve afectado por las partículas suspendidas (PM10), ya que la duración de la fase folicular se acorta, se determinó en mujeres residentes en la ciudad de Cracovia, Polonia, de entre 24 y 35 años57.
Es importante resaltar la actividad estrogénica de algunos tóxicos que forman parte de las partículas suspendidas, la cual podría desencadenar las alteraciones observadas durante el ciclo menstrual. Las mujeres durante el embarazo también son susceptibles a los efectos tóxicos de las partículas suspendidas, las cuales pueden ocasionar disminución en el peso fetal y neonatal, además de un menor tiempo de gestación58. Un estudio epidemiológico realizado en mujeres embarazadas residentes de la zona metropolitana de Sao Paolo, Brasil, indica la asociación entre la exposición a altos niveles de PM10 durante el periodo previo a la concepción y la pérdida del embarazo durante el primer trimestre; este primer periodo de la gestación es crítico para la sobrevivencia del embrión, y las partículas suspendidas podrían dañarlo directamente o de forma indirecta afectando a la madre de tal manera que se evite la implantación o causando el aborto en esta etapa59.
CONCLUSIÓN
Las investigaciones realizadas por científicos en diversas partes del mundo, apuntan al daño en la salud reproductiva en mujeres que habitan en ciudades con problemas de contaminación ambiental; pero esto no es suficiente para evitar o disminuir los riesgos por los compuestos tóxicos presentes en el aire. Se requiere la elaboración y aplicación de leyes dirigidas a la protección de la población que incluyan la promoción de las industrias limpias, el manejo apropiado de desechos tóxicos, el control apropiado del tráfico vehicular y el uso de combustibles limpios. También es necesaria la concientización mediante la educación ambiental y la promoción de la participación ciudadana, ya que tanto el gobierno como la sociedad somos corresponsables del deterioro ambiental en el que vivimos.










nueva página del texto (beta)



