Publicado por el Boletin de Informacion Clinica y Terapeutica de la ANMMa
Definición
El hígado graso no alcohólico (HGNA) es el término empleado para describir una entidad nosológica estereotipada, caracterizada por un conjunto amplio de manifestaciones clínicas interrelacionadas que inician con la esteatosis hepática, definida como el acumulo de triglicéridos (TG) a nivel citoplasmátiсо y que exceda el percentil 95 de hígados magros sanos, o por la presencia de gotas citoplasmáticas de TG en más del 5% de los hepatocitos. La esteatosis puede progresar a un estado de inflamación y daño celular con balonización de los hepatocitos y desarrollo de fibrosis; este tipo de lesión se conoce como esteatohepatitis, la cual puede progresar hacia cirrosis en un período de 10 años en aproximadamente el 29% de los casos; adicionalmente, del 4 al 27% de los pacientes que desarrollaron cirrosis secundaria a esteatohepatitis evolucionarán finalmente a carcinoma hepatocelular.
Actualmente, el HGNA representa la patología crónica de hígado más frecuente en los países de occidente, probablemente debido al aumento en obesidad, diabetes y síndrome metabólico, cuya definición incluye la manifestación hepática propia del HGNA. Por lo anterior, se percibe en los últimos años, aumento en la prevalência de HGNA y se espera que en el futuro cercano siga esta tendencia tanto a nivel mundial como nacional.
Epidemiología
Como se mencionó, el HGNA es una de las hepatopatías más comunes en países industrializados; la presencia de diabetes tipo 2, obesidad, hiperlipidemia y enfermedad cardiovascular son los factores de riesgo de mayor importancia y los más citados durante el establecimiento y desarrollo de la enfermedad de hígado graso.

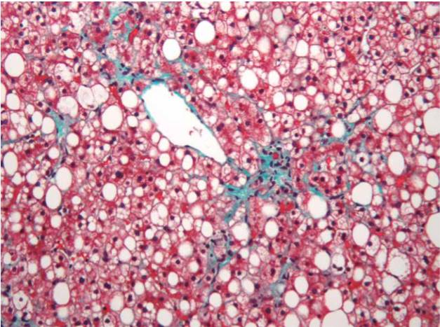
* Fotografía microscópica de un hígado graso (esteatosis macrovesicular), como se ve en una esteatohepatitis no alcohólica.
Dependiendo del criterio diagnóstico utilizado, la prevalência de HGNA puede fluctuar desde 1.8 hasta 46% en la población general; un estudio reciente en poblaciones disímbolas estableció una prevalencia promedio de 16%, en tanto que en grupos de alto riesgo llega a ser hasta de 86%, en pacientes diabéticos o con obesidad.
No existe marcador biológico alguno o prueba diagnóstica con suficiente valor predictivo positvo o negativo para HGNA por lo que el ultrasonido y la tomografia computada son pruebas con sensibilidad casi óptima; las enzimas hepáticas no son marcadores fehacientes de esteatosis, aunque sí predicen fibrosis, particularmente al combinarlos con otros marcadores bioquímicos. Por lo anterior, la prueba "estándar de oro" es la biopsia hepática, a pesar de tener errores de muestra y diferencias en la interpretación histológica además de sesgos de selección y confirmación.
Por otro lado, se ha descrito a través de imágenes obtenidas por resonancia magnética, que la prevalencia de HGNA es de 31%, en tanto que con solo el estudio de las enzimas hepáticas la prevalência disminuye considerablemente y se sitúa entre 2.8 y 9.3%.
Fisiopatología
El mecanismo de enfermedad en la EHGNA es complejo y no ha sido determinado por completo; para explicarlo se ha propuesto la teoría de los "dos golpes": en el primero busca justificar el desarrollo de la esteatosis hepática simple, y en el segundo, el estado inflamatorio que conduce al daño hepatocelular y al desarrollo de fibrosis.
La esteatosis hepática es el resultado de una compleja interacción entre factores ambientales y genéticos; dentro de los ambientales, parece existir desequilibrio entre la cantidad de energía tomada de la dieta y la cantidad utilizada durante el ejercicio cotidiano. Además, se sabe que en el desarrollo de esteatohepatitis participa la señalización proinfla-matoria mediada por la activación de mecanismos de inmunidad innata; en este sentido se ha identificado que los ácidos grasos libres (AGL) activan los receptores tipo Toll (TLR, por sus siglas en inglés) y con ello inician la cascada extrínseca de la apoptosis. Aunado a este mecanismo, aumenta la β-oxidación de los ácidos grasos de cadena larga dentro de los peroxisomas y la ω-oxidación dentro de retículo endoplásmico; con esto se promueve la lipotoxicidad y la formación de especies reactivas de oxígeno que a su vez inducen una variedad de mecanismos intracelulares que finalizan en el daño hepatocelular característico de la EHGNA.
Diagnóstico
El HGNA se diagnostica en pacientes asintomáticos (forma más habitual de presentación de esta enfermedad); azarosamente presentan elevación de transaminasas o gamma-glutamil-transpeptidasa; esto puede ocurrir durante una revisión rutinaria de laboratorio o durante la realización de un ultrasonido abdominal indicado por cualquier otra patología. El diagnóstico debe apoyarse con la historia médica completa, poniendo especial atención en los factores de riesgo tales como consumo de alcohol y estilo de vida. Durante la exploración física debe medirse el peso, estatura, circunferencia abdominal, tensión arterial y el índice toracoabdominal.
Aunque el estándar de oro para el diagnóstico del HGNA es la biopsia hepática, en la mayoría de los casos no influye la estrategia terapéutica; sin embargo, es una herramienta muy útil en el diagnòstico diferencial con otras hepatopatías y también para identificar y estratificar los estadios de progresión a nivel histopatológico durante los diversos estudios de investigación.
Para restringir la realización de biopsias hepáticas, se han diseñado varios índices predictivos de fibrosis en el HGNA, conocidos por sus siglas en inglés como BAD (índice de masa corporal [IMC], edad, diabetes), BAAT (IMC, edad, ALT, triglicéridos), HAIR (hipertensión, alcohol, resistencia a la insulina), BARG (IMC, edad, resistencia a la glucosa) y NAFLD fibrosis score (edad, hiperglucernia, IMC, plaquetas, albúmina, razón de AST/ ALT) de estos, el que ha mostrado mejores resultados es el NAFLD fibrosis score, mismo que debe ser considerado antes de la realización de una biopsia.
La mayoría de los estudios definen al HGNA utilizando métodos indicadores de la enfermedad, tales como las enzimas hepáticas o los estudios de imagen (ultrasonido o tomografia computarizada) que aportan datos sugerentes de esteatosis hepática en personas que presentan pruebas negativas para hepatitis viral, enfermedades hepáticas autoinmunes y causas congénitas de hepatitis crónica. En cuanto al consumo de alcohol, otro factor de exclusión, se sugiere que la persona no tenga un consumo > 20 g/ día con el objeto de evitar que intervenga algún daño preexistente debido a la ingesta crónica de alcohol.
Debe tenerse en cuenta que la especificidad y Conocimiento de los distintos componentes del síndrome metabòlico. Se requiere al menos una disminución de 10% del peso corporal para conseguir modificaciones en las variables bioquímicas e histológicas. Se recomienda que el objetivo inicial sea el control del peso en un periodo de seis meses. En aquellos pacientes con EHGNA sin obesidad, se debe hacer mayor énfasis en el cambio de los componentes de la dieta y no en la disminución de la ingesta calórica, además de favorecer la actividad física. Los tratamientos farmacológicos de la EHGNA se dirigen a la reducción de peso, sensibilización de la insulina, antioxidantes y recientemente, a la modulación de receptores nucleares y de la micro-biota intestinal. Hasta el momento se recomienda el uso de vitamina E o pioglitazona. Sin embargo, en ausencia de información a largo plazo, en la práctica clínica deben utilizarse con cautela. El tratamiento quirúrgico para la reducción de peso no se considera un tratamiento para la EHGNA, aunque hay evidencia de que los pacientes con HGNA que se someten a cirugía bariátrica, presentan mejoría de los parámetros histológicos. En conclusión, el tratamiento óptimo de la EHGNA sigue siendo un reto. sensibilidad de las enzimas hepáticas es baja y los resultados pueden tener variaciones considerables en la historia clínica del paciente, por su parte el ultrasonido también tiene sensibilidad limitada cuando el grado de esteatosis es < 30% y la interpretación es altamente dependiente del operador; pero existe una herramienta de diagnóstico cada vez más utilizada llamada elastografía transitoria (FibroScan), que mide la rigidez hepática y parece correlacionar con el grado de fibrosis.
A diferencia de los métodos cualitativos (enzimas hepáticas y ultrasonido) utilizados hasta hoy para el diagnóstico y seguimiento del HGNA, la resonancia magnética con espectroscopia de protones representa el mejor método cuantitativo no invasivo para determinar el contenido de triglicéridos hepáticos. Algunas de sus limitaciones en la práctica clínica son el costo y la incapacidad para distinguir esteatosis simple de fibrosis.
Tratamiento
El manejo inicial de los pacientes con HGNA debe incluir un programa de intervención sobre el estilo de vida orientado a la reducción de peso y al incremento de la actividad física; además del tratamiento de los distintos componentes del síndrome metabólico. Se requiere al menos una disminución de 10% del peso corporal para conseguir modificaciones en las variables bioquímicas e histológicas. Se recomienda que el objetivo inicial sea el control del peso en un periodo de seis meses. En aquellos pacientes con EHGNA sin obesidad, se debe hacer mayor énfasis en el cambio de los componentes de la dieta y no en la disminución de la ingesta calórica, además de favorecer la actividad física. Los tratamientos farmacológicos de la EHGNA se dirigen a la reducción de peso, sensibilización de la insulina, antioxidantes y recientemente, a la modulación de receptores nucleares y de la microbiota intestinal. Hasta el momento se recomienda el uso de vitamina E o pioglitazona. Sin embargo, en ausencia de información a largo plazo, en la práctica clínica deben utilizarse con cautela. El tratamiento quirúrgico para la reducción de peso no se considera un tratamiento para la EHGNA, aunque hay evidencia de que los pacientes con HGNA que se someten a cirugía bariátrica, presentan mejoría de los parámetros histológicos.
En conclusión, el tratamiento óptimo de la EHGNA sigue siendo un reto.










nueva página del texto (beta)




