INTRODUCCIÓN
En la antigüedad, las micobacterias no tuberculosas eran contaminantes de laboratorio o colonizadoras de la vía aérea, sin causar enfermedad. Actualmente, se sabe que producen cuadros clínicos que pueden variar desde los subclínicos a la destrucción extensa del tejido pulmonar1.
Existen 3 formas prototípicas de infección pulmonar: “patrón símil tuberculosis”, con infiltrados con o sin cavitación en lóbulos superiores observadas más frecuentemente en hombres adultos que padecen enfermedad pulmonar obstructiva crónica (EPOC) y fumadores; la presentación con “nódulos” o “bronquiectasias nodulares”, manifiesta en mujeres delgadas, mayores, no fumadoras (síndrome de Lady Windermere), y “neumonía por hipersensibilidad” asociada a la exposición de sistemas contenedores de agua2.
En 1992, Reich y Johnson3 describieron 6 mujeres que presentaban enfermedad pulmonar y mycobacterias no tuberculosas con bronquiectasias en el lóbulo medio y língula, inmunocompetentes, sin antecedentes de tabaquismo o enfermedad pulmonar previa. Estos autores postularon la supresión voluntaria de la tos responsable de la imposibilidad para remover las secreciones infectadas de las vías aéreas, lo que predisponía al desarrollo de bronquiectasias.
Lo llamaron síndrome de Lady Windermere, en alusión a la obra El abanico de Lady Windermere de Oscar Wilde, una obra de teatro en cuatro actos, estrenada el 22 de febrero de 1892 en el Teatro St. James de Londres, donde la protagonista suprimía la tos de forma voluntaria4,5. El Mycobacterium avium complex es la mycobacteria tuberculosa que con más frecuencia puede ser capaz de producir enfermedad en humanos6. Puede causar enfermedad pulmonar progresiva y provoca falla respiratoria e incluso la muerte en individuos previamente sanos. Al parecer, la prevalencia está incrementándose, debido a su búsqueda en patologías como bronquiectasias y fibrosis quística7.
PRESENTACIÓN DEL CASO
Mujer de 58 años de edad, no fumadora, con serología VIH negativa, como antecedentes de salud, que acude a consulta porque desde hace 3 meses presenta tos que aparece en todo momento del día con expectoración sobre todo en la mañana y que se acompaña de decaimiento. Refiere haber sido tratada en múltiples ocasiones, sin mejoría. Al examen físico se constató un murmullo vesicular disminuido y pectum excavatum.
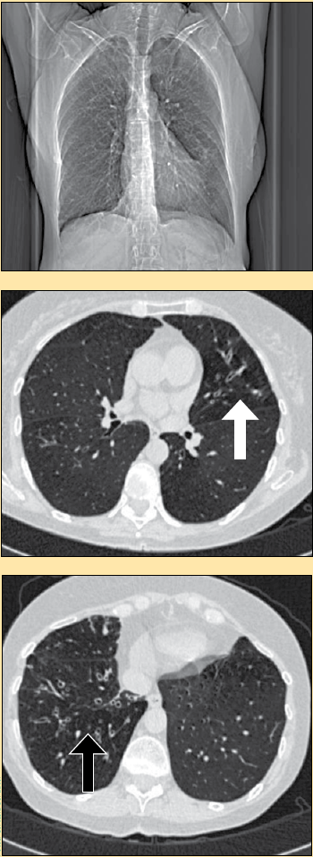
Se le realizó una radiografía de tórax donde no se observaron alteraciones pleuropulmonares y lo mismo ocurrió en la radiografía de senos paranasales. Se le realizó estudio endoscópico donde no se informó alteraciones de la mucosa gástrica. En la prueba funcional, se informó un trastorno obstructivo de intensidad leve con respuesta significativa al broncodilatador. Con estos datos, se realizó una tomografía de pulmón donde se notaron múltiples bronquiectasias en los segmentos lingulares del pulmón izquierdo y en los lóbulos medio e inferior del derecho. Se realizó una broncoscopia donde se informa secreciones bronquiales blanco-amarillentas en ambos árboles bronquiales y se realizó lavado bronquial. Los exámenes de laboratorio clínico se muestran en la tabla 1 .
Tabla 1 Valores de exámenes complementarios de laboratorio
BAAR: bacilo ácido alcohol resistente; GGT: gammaglutamil transpeptidasa; Hto: hematocrito; Hb: hemoglobina; TGO: transaminasa glutamicooxalacética; TGP: transaminasa glutamicopirúvica.
Histopatológicamente, se describió un infiltrado inflamatorio con predominio eosinofílico. El examen directo y el estudio micológico, resultaron negativos. El cultivo bacilo ácido alcohol resistente (BAAR) fue positivo, codificación 3, aislándose complejo Mycobacterium avium-intracellulare (MAI).
Establecido el diagnóstico se le indicó tratamiento con de etambutol (4 tabletas de 250 mg/día) + claritromicina (500 mg cada 12 h) + rifampicina (2 tabletas de 300 mg/día). Cumplió un año de tratamiento que incluía fisioterapia respiratoria. Durante los 2 años de seguimiento no se ha vuelto a aislar la mycobacteria. La tos ha desaparecido, hecho que ocurrió al octavo mes del tratamiento.
DISCUSIÓN
La tos es uno de los síntomas respiratorios más frecuentes que puede manifestarse de forma aguda o crónica. En esta paciente, por su duración de más de 3 meses, se trata de una tos crónica. Ante un paciente de este tipo es válido realizar el diagnóstico diferencial de las entidades más comunes que producen tos crónica, entre ellas, la sinusitis crónica, manifestándose un síndrome de goteo nasal posterior, que no es el caso, debido a que no reportó cefalea vespertina ni secreción purulenta por la nariz, además no aparece lagrimeo, ni fiebre; no hubo dolor a la percusión de los senos ni la palpación de los puntos dolorosos, y la radiografía es negativa. La paciente no es fumadora, por lo que ya está descartado que la exposición al tabaco sea la causa de la tos. De igual modo, no es asmática lo que nos hace descartar esta entidad como causa de tos crónica. La otra entidad que produce tos crónica, con frecuencia es el reflujo gastroesofágico, lo que descartamos por la ausencia de síntomas digestivos, así como que durante la exploración endoscópica no se encontraron manifestaciones orgánicas que establecieran el diagnóstico.
Desde que se realizaron los estudios y que no hubo evidencia de las entidades más frecuentes, se decidió realizar una tomografía de pulmón que hizo evidente las múltiples bronquiectasias en la língula y los lóbulos medio e inferior del pulmón derecho. Se sospechó entonces que pudiera tratarse de una enfermedad producida por un germen atípico, por lo que se realizó una broncoscopia, y así poder llegar al diagnóstico de un complejo Mycobacterium avium-intracellulare, lo que llevó a concluir que la causa de la tos era el síndrome de Lady Windermere. En este caso se presenta una rara causa de tos crónica, la que con el empleo adecuado del método clínico y de los medios de diagnóstico adecuados, pueden establecer el diagnóstico y en consecuencia el tratamiento adecuado.










nueva página del texto (beta)



