Mujer de 46 años que presentó nódulo tiroideo izquierdo de aproximadamente 2 cm de diámetro, sin adenopatías en el cuello. Se realizó una hemitiroidectomía izquierda para el estudio transoperatorio, la cual reveló: tiroiditis de Hashimoto/carcinoma papilar de tiroides.
1. En la tiroiditis de Hashimoto es característica la presencia de:
a) Anticuerpos antiperoxidasa (TPO) y anticuerpos antitiroglobulina (Tg).
b) Anticuerpos estimulantes del receptor de hormonas tiroideas (TSI).
c) Infección de la glándula tiroides de etiología viral.
Fibrosis extensa que afecta a la glándula tiroides y estructuras adyacentes al cuello.
2. Es la neoplasia tiroidea que más se asocia a la Tiroiditis de Hashimoto:
a) Carcinoma medular de tiroides.
b) Carcinoma de células de Hurthle.
c) Carcinoma papilar de tiroides.
d) Carcinoma anaplásico de tiroides.
3. Es la causa más frecuente de hipotiroidismo en las zonas donde la concentración de yodo es suficiente:
a) Secundario a fármacos.
b) Tiroiditis de Hashimoto.
c) Tiroiditis de Quervain.
d) Hipoplasia o aplasia tiroidea.
4. Es la neoplasia maligna tiroidea más frecuente
a) Carcinoma anaplásico de tiroides.
b) Carcinoma folicular de tiroides.
c) Carcinoma papilar de tiroides.
d) Linfoma de células B.
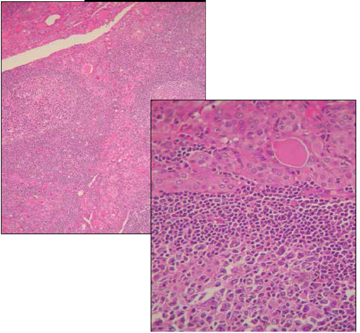
5. En el examen microscópico de la tiroiditis de Hashimoto es característico:
a) Presencia de células gigantes multinucleadas las cuales engloban fragmentos aislados de coloide o acúmulos extrafoliculares.
b) Exceso de células foliculares.
c) Presencia de nódulos irregulares los cuales contienen cantidades variables de coloide marrón y gelatinoso.
d) Extenso infiltrado inflamatorio crónico folicular con formación de centros germinales y cambios oncocíticos de las células foliculares y presencia de células gigantes multinucleadas.
Respuestas:
1 (a) Anticuerpos antiperoxidasa (TPO) y anticuerpos antitiroglobulina .(Tg)
2 (c) Carcinoma papilar de .tiroides
3 (b) Tiroiditis de .Hashimoto
4 (c) Carcinoma papilar de .tiroides
5 (d) Extenso infiltrado inflamatorio crónico folicular con formación de centros germinales y cambios oncocíticos de las células foliculares y presencia de células gigantes .multinucleadas










nueva página del texto (beta)




