Servicios Personalizados
Revista
Articulo
Indicadores
-
Citado por SciELO -
Accesos
Links relacionados
-
Similares en
SciELO
Compartir
Revista de la Facultad de Medicina (México)
versión On-line ISSN 2448-4865versión impresa ISSN 0026-1742
Rev. Fac. Med. (Méx.) vol.57 no.1 Ciudad de México ene./feb. 2014
Artículos de revisión
El cáncer de ovario, el asalto del homicida invisible
Ovarian cancer, the assault by an invisible murderer
Rubí Gaona Estudilloa
a Facultad de Medicina UNAM. México, DF. Correo electrónico: r_ga_es@hotmail.com.
Recibido 02/11/2012.
Aceptado: 04/08/2013.
Resumen
El cáncer de ovario se origina de 3 tipos de células: células epiteliales, células germinales y células del estroma. Aproximadamente el 90% de los casos de cáncer de ovario son del tipo epitelial, que es la forma más frecuente de los 3 tipos histológicos y desafortunadamente una de las principales causas de muerte por cáncer del aparato reproductor femenino, al ser una enfermedad con sintomatología insidiosa e inespecífica, que lamentablemente tiene una mortalidad extremadamente alta. La incidencia de este tipo de estirpe aumenta con la edad, y a diferencia del de las células germinales y del estroma, son raros antes de los 40 años.
Es importante saber que tanto en México como a nivel global, la variedad en incidencia del subtipo histológico del cáncer epitelial de ovario se da en las siguientes proporciones: seroso (60-80%), mucinoso (10-25%), endometrioide (8-20%), de células claras (5%), tumor de Brenner (< 1%) e indiferenciado. Esto nos muestra que el cáncer de ovario epitelial seroso es el más frecuente en el mundo, y por lo tanto, el que más asecha a las mujeres.
Palabras clave: Cáncer de ovario epitelial seroso.
Abstract
Ovarian cancer develops from three kinds of cells: epithelial cells, germ cells, and stromal cells. About 90% of ovarian cancer is of the epithelial kind, thus being the most frequent of the three histological types and, unfortunately, one of the main causes of death by female reproductive system cancer; due to the insidious and unspecific symptomatology of this disease, which, regrettably, has an extremely high mortality. The incidence of this kind of lineage increases with age and, unlike germ and stromal cancers, it is rare before the fifth decade of life.
It is important to know that in Mexico as well as in the rest of the world, that the incidence of the different varieties of the histological subtype of ovarian epithelial cancer is as follows: serous (60-80%), mucinous (10-25%), endometrioid (8-20%), clear cells (5%), Brenner tumor (<1%) and not differentiated. Epithelial-serous ovarian cancer is the most frequent in the world; therefore, the one we fear hunts most of our women.
Key words: Epithelial-serous ovarian cancer.
Ocúpate de tu cuerpo con disciplina y fidelidad, el
cuerpo son los ojos del alma y si los ojos no ven bien,
todo el mundo se verá en tinieblas.
Johann Wolfgang Goethe
Take care of your body with discipline and fidelity,
the body is the eyes of the soul and if thy eyes do not see
well, then all the world will be darkness.
Johann Wolfgang Goethe
¿HEMOS DEJADO MORIR A 5 MUJERES CADA DÍA?
Nada es más importante que la vida. Es increíble cómo, en un momento de la existencia, nos llega la certeza de que debemos comenzar a darle la importancia necesaria a nuestras vidas. Y nos volvemos más conscientes cuando conocemos a personas menos afortunadas, quienes a partir de un terrible accidente, enfermedad o cualquier otro suceso, nos hacen recordar lo corta que es la vida.

Es indiscutible que entre más vivencias adquiramos, más conocemos de la vida y por lo tanto, mejores decisiones podremos tomar, pero realmente tenemos en cuenta ¿qué hacer si nuestra vida llegara a ser amenazada por el cáncer, y aún más si eres mujer?
Durante la 29a Reunión Anual del Instituto Nacional de Cancerología (INCAN), se mencionó que aproximadamente 5 mujeres mueren a diario por cáncer de ovario, lo que se traduce en alrededor de 2,000 al año. El cáncer de ovario representa la tercera neoplasia ginecológica más frecuente y la cuarta causa de muerte por cáncer en la población femenina mexicana1. En México, existe una prevalencia de 5.5 mujeres afectadas por cada 100 mil habitantes. Llama la atención el hecho de que se detecta en estadios muy avanzados, ya que "muchas veces se confunde con colitis o amibiasis", lo expresa la doctora Dolores Gallardo, y es por eso que muchas mujeres llegan en una etapa clínica avanzada y fallecen.
SÍNTOMAS DEL CÁNCER DE OVARIO
En primer lugar, no hay síntomas específicos. Sí, lamentablemente el 70% de las pacientes con cáncer de ovario son diagnosticadas cuando éste se ha extendido fuera de la pelvis. La aparición de dolor abdominal, polaquiuria, astenia y estreñimiento significativos, suelen indicar una fase avanzada del proceso2, y en estos casos sólo del 5 al 20% logra llegar a una supervivencia de 5 años1.
El cáncer de ovario esporádico representa aproximadamente el 85% de los casos de esta enfermedad, lo que deja del 10 al 15% a la predisposición genética hereditaria3.
Históricamente se ha llamado al cáncer de ovario "el asesino silencioso", porque los síntomas se presentan hasta etapas avanzadas, cuando las posibilidades de curación son escasas4.
Para sorpresa de muchos, un amplio estudio de 1725 mujeres con cáncer de ovario en los Estados Unidos y Canadá, publicó la evaluación del tipo de síntomas, que aunque vagos, estuvieron presentes y que las mujeres experimentaron antes del diagnóstico. Aunque el estudio fue retrospectivo, los resultados fueron significativos: 95% de las mujeres con cáncer de ovario desarrollaron signos y síntomas en un promedio de 3 a 6 meses antes de ver a un médico para su atención. Los síntomas más comunes fueron el aumento de tamaño abdominal (61%), hinchazón (57%), fatiga (47%), dolor abdominal (36%), indigestión (31%), polaquiuria (27%) y dolor pélvico (26%). Curiosamente los síntomas ginecológicos fueron los menos comunes. La evaluación por etapa reveló que en pacientes con enfermedad en estadio temprano (que tiene tasas de curación de un 70 a 90%), 89% se quejaba de estos síntomas antes del diagnóstico5.
También se reportó un lamentable retraso significativo en el diagnóstico. Los médicos equivocadamente diagnosticaban a las pacientes con síndrome de intestino irritable, estrés, gastritis e incluso depresión meses antes del diagnóstico de cáncer de ovario. De hecho, al 30% de las pacientes se les prescribió una receta con medicamentos para tratar otra enfermedad dentro de los meses anteriores a su diagnóstico de cáncer de ovario5.
LA TERRIBLE APIDEMIA
El objetivo de esta información no es crear pánico, sin embargo sí se pretende crear conciencia, principalmente entre las personas que tienen entre 56 y 60 años6, que en el cáncer de ovario, al presentar síntomas tan inespecíficos, la presencia de los síntomas más frecuentes ya mencionados nos da motivos para sospechar, diferenciar y crear instantáneamente un marco de riesgo de todas nuestras pacientes o conocidas, sea cual sea la especialidad o campo de la medicina practicada. Por lo tanto, es importante tomar en cuenta cuáles son los factores de riesgo más incipientes:
• Nuliparidad.
• Menarca temprana.
• Menopausia tardía.
• Edad avanzada.
• Historia familiar.
• Mutaciones del BRCA1 y BRAC2.
• Norteamericanos y noreuropeos7.
Recientemente la endometriosis ha demostrado de forma consistente estar asociada a un riesgo mayor de cáncer de ovario, con una odds ratio aproximada de 28. Los tipos histológicos más comunes de cáncer epitelial de ovario relacionado a endometriosis son el carcinoma de células claras y endometrioide9.
PRUEBAS DE DETECCIÓN PARA PREVENIRLO
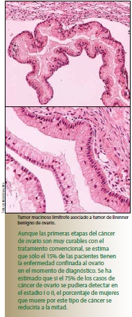
Aunque las primeras etapas del cáncer de ovario son muy curables con el tratamiento convencional, se estima que sólo el 15% de las pacientes tienen la enfermedad confinada al ovario en el momento de diagnóstico10.
Expertos de la American Congress of Obstetricians and Gynecologists y US Preventative Services Task Force, así como muchos otros investigadores, creen que para tener un impacto significativo en la reducción la mortalidad del cáncer de ovario, debemos poner más énfasis en el desarrollo y ensayo de métodos para la detección precoz de la enfermedad en pacientes con alto riesgo.
Se ha estimado, por ejemplo, que si el 75% de los casos de cáncer de ovario se pudiera detectar en el estadio I o II, el porcentaje de mujeres que muere por este tipo de cáncer se reduciría a la mitad. Un método para la detección precoz, conocido como cribado o screening del cáncer de ovario, es evaluar a las mujeres en situación de riesgo para la enfermedad antes de la aparición de los síntomas.
El screening es una combinación de pruebas para una población asintomática en riesgo, con el intento de identificar una enfermedad en una etapa curable11.
Se considera que un protocolo de detección precoz de cáncer de ovario debe tener un valor predictivo positivo de al menos 10%12, por lo tanto, los exámenes que son útiles para la detección de esta enfermedad en determinados casos en los que encontramos factores de riesgo notables, incluyen la determinación del marcador tumoral CA-125 (para el subtipo epitelial) u otros marcadores serológicos, la ecografía transvaginal o la combinación de ambas.
Se recomienda que las mujeres con cáncer de ovario de tipo familiar que no se han sometido a una ooforectomía profiláctica, se revisen periódicamente con una combinación de CA125 y ultrasonido transvaginal. Algunos han sugerido que se inicie a la edad de 35 años o 5 a 10 años antes que la edad más temprana del primer diagnóstico de cáncer de ovario en la familia.
UNA VIVENCIA REAL
Tal es el caso de Debra E., sobreviviente de cáncer de ovario de 59 años (57 al recibir el diagnóstico), atendida en Centres for Disease Control and Prevention (CDC). "Las mujeres de mi familia tienen antecedentes de muy buena salud y de vivir muchos años. Nunca pensé que sería yo la que podría tener problemas de salud graves. Pero apareció algo nuevo: vi una sola mancha de sangre en mi pantiprotector. Como tenía 57 años de edad y estaba en la menopausia, pedía las citas con mi ginecólogo, algo que venía haciendo religiosamente siempre. La mancha de sangre fue un recordatorio de que era hora de hacerme un chequeo".
El error más grave es pensar que este padecimiento es algo exclusivo de gente lejana, de mujeres que por lo menos tienen antecedentes de cáncer en su familia.
Conforme las mujeres vamos creciendo y nos mantenemos sanas, pensamos que nos hemos salvado de ciertas enfermedades que asechan nuestra era, y nos preocupamos cada vez más por las eventualidades "desafortunadas" propias de los años como las arrugas, la celulitis, blefaroptosis, etc., y gastamos una gran parte de nuestros ingresos para evitarlas.
Pero entre la belleza y el fin de nuestros días hay un punto medio, llamada "calidad de vida". Aunque nos quedaran 20 años, 2 meses o 2 días de vida, lo más importante es vivirla bien, en todo su contexto. Por supuesto que si nos preguntaran "¿Harías lo posible para evitarlo?", creo que todos contestaríamos "¡Por supuesto!", por lo tanto, esto implica no sólo una afirmación sino una acción, y se adquiere la responsabilidad de saber y conocer qué pasa dentro de nuestro cuerpo, a qué estamos expuestas y cómo evitarlo.
POSIBLES FACTORES PREVENTIVOS ENCONTRADOS EN EL ESTILO DE VIDA
• Evitar la obesidad. Aún no es completamente comprobable, pero hay una probabilidad que la obesidad aumente el riesgo de cáncer de ovario. Una revisión sistemática informó que existe una pequeña asociación entre el índice de masa corporal (IMC) > 30 y el riesgo de cáncer de ovario13. Otro estudio realizado por casos y controles mostró que la asociación entre la obesidad y el cáncer de ovario, aumenta el riesgo en un 40%, a comparación de las personas que estaban dentro de un IMC normal14.
• Tabaquismo. Otro punto a discusión es el efecto del tabaquismo sobre el riesgo de cáncer de ovario, el cual no ha sido bien definido. El hallazgo más interesante hasta ahora ha sido una asociación entre el tabaquismo actual o pasado y su relación con el aumento en el cáncer de ovario del subtipo mucinoso15.
• Alimentación. Un estudio prospectivo de cohorte de 29.083 mujeres en los Estados Unidos encontró que el consumo de huevo de 2 a 4 veces por semana, así como una mayor ingesta de hidratos de carbono y productos lácteos aumentaron el riesgo relativo de desarrollar cáncer de ovario, mientras que el consumo de los vegetales de hoja verde disminuye el riesgo de manera significativa (riesgo relativo [RR] 0,44; intervalo de confianza [IC], del 95%), pero no hubo asociación con la grasa de la dieta, así como la ingesta de carnes, panes, cereales y almidones para el riesgo de cáncer de ovario15.
Como conclusión, sería ideal que algún día podamos tener otro enfoque y una mentalidad diferente acerca de la prevención y la realidad de esta enfermedad que parece tener un campo de invisibilidad que amenaza al mundo, a nuestro país, y más que nada a nuestras mujeres.
Nunca es demasiado tarde, el hoy es el tiempo para empezar a cambiar la consciencia, y tener en cuenta que el cáncer de ovario no es sólo una patología, es un cosmos en el que se integra nuestra responsabilidad de prevención, que involucra a la sociedad de la que formamos parte, a la persona en su totalidad, e implica una voluntad férrea a la vida.
REFERENCIAS BIBLIOGRÁFICAS
1. Gallardo RD, Cantú de León D, Alaníz LP, Álvarez AMA, Bañuelos FJ, Herbert-Núñez GS, et al. Tercer Consenso Nacional de Cáncer de Ovario 2011. Grupo de Investigación de Cáncer de Ovario y Tumores Ginecológicos en México "GICOM". Rev Inv Clin. 2011;63(6):665-702. [ Links ]
2. Fauci A, Braunwald E, Kasper DL, Hauser SL, Longo, DL, Jameson JL, et al. Harrison's Principles of Internal Medicine. New York: McGraw-Hill; 2009. pp 604-6. [ Links ]
3. Kerlikowske K, Brown JS, Grady DG. Should women with familial ovarian cancer undergo prophylactic oophorectomy? Obstet Gynecol. 1992;80:700. [ Links ]
4. Goff B. Symptoms Associated With Ovarian Cancer. Clinical Obstetrics and Gynecology. 2012;55(1):36-42. [ Links ]
5. Goff BA, Mandel L, Muntz HG, et al. Ovarian carcinoma diagnosis. Cancer. 2000;89:2068-75. [ Links ]
6. Berek JS. Ginecología de Novak. 14a Edición. España: Wolters Kuwer Health España, S.A., Lippincott Williams & Wilkins; 2008. [ Links ]
7. Schorge JO, Shaffer JI, Halverson LM, et al. Williams Ginecología. México DF: Mc. Graw-Hill Interamericana; 2009. [ Links ]
8. Sayasneh A, Tsivos D, Crawford R. Endometriosis and ovarian cancer: a systematic review. ISRN Obstet Gynecol. 2011;2011:140-310. [ Links ]
9. Kondi-Pafiti A, Papakonstantinou E, Lavazzo C, et al. Clinicopathological characteristics of ovarian carcinomas associated with endometriosis. Arch GynecolObstet. 2011. [ Links ]
10. Jelovac D, Armstrong DK. Recent progress in the diagnosis and treatment of ovarian cancer. CA Cancer J Clin. 2011; 61:183-203. [ Links ]
11. Havrilesky LJ, Sanders GD, Kulasingam S, et al. Development of an ovarian cancer screening decision model that incorporates disease heterogeneity. Cancer. 2011;117:545-53. [ Links ]
12. Rosenthal AN, Menon U, Jacobs IJ. Screening for ovarian cancer. Clin Obstet Gynecol. 2006;49:433. [ Links ]
13. Olsen CM, Green AC, Whiteman DC, et al. Obesity and the risk of epithelial ovarian cancer: a systematic review and meta-analysis. Eur J Cancer. 2007;43:690-709. [ Links ]
14. Purdie DM, Siskind V, Bain CJ, et al. Body size and ovarian cancer: case-control study and systematic review. Cancer Causes Control. 2001;12:855-63. [ Links ]
15. Kushi LH, Mink PJ, Sellers TA, et al. Prospective study of diet and ovarian cancer. Am J Epidemiol. 1999;149:21-31. [ Links ]



















