Servicios Personalizados
Revista
Articulo
Indicadores
-
Citado por SciELO -
Accesos
Links relacionados
-
Similares en
SciELO
Compartir
Revista de la Facultad de Medicina (México)
versión On-line ISSN 2448-4865versión impresa ISSN 0026-1742
Rev. Fac. Med. (Méx.) vol.55 no.6 Ciudad de México nov./dic. 2012
Caso clínico patológico
Fiebre entérica en fase de fastigium: notas epicríticas acerca de un caso de autopsia
Enteric fever in fastigium phase; epicritic notes on a necropsy case
Miguel Fernando Salazar Moralesª, María del Rocío Estrada Hernándezb, Sara Parraguirre Martínezc
a Residente de 1er año de Anatomía Patológica. Hospital General "Dr. Manuel Gea González". México, DF.
b División de Anatomía Patológica. Hospital General "Dr. Manuel Gea González". México, DF.
c Jefe de la División de Anatomía Patológica. Hospital General "Dr. Manuel Gea González". México, DF. Correo electrónico: k7nigricans@hotmail.com
Recibido: 31marzo2012.
Aceptado: 14mayo2012.
Resumen
La fiebre tifoidea es una enfermedad sistémica de etiología infecciosa ocasionada por el bacilo gramnegativo Salmonella typhi.
Se presenta el caso de una mujer de 19 años quien comenzó con fiebre, dolor abdominal y diarrea; posteriormente cursó con insuficiencia hepática, necrosis tubular aguda, rabdomiolisis y trombocitopenia. Falleció a los 3 días del ingreso hospitalario. Los hallazgos de autopsia fueron: ulceración de placas de Peyer, inflamación y necrosis de ganglios linfáticos mesentéricos, úlceras puntiformes en colon, hepatización pulmonar, congestión hepática, esplénica y renal, así como hemorragias maculares en mesencéfalo y puente. Los cortes histológicos evidenciaron grupos de macrófagos alrededor de focos de necrosis (nódulos tifoideos) en diversas localizaciones: aracnoides, parénquima cerebral, pulmón, hígado, bazo, riñón y médula ósea. Estos hallazgos permitieron concluir el diagnóstico de fiebre tifoidea en fase de fastigium.
La fiebre tifoidea presenta 5 fases cuya expresión morfológica es resultado de una serie de interacciones entre Salmonella typhi y el sistema fagocítico mononuclear del hospedero.
Palabras clave: Fiebre tifoidea, Salmonella typhi, nódulo tifoideo, células de Mallory, sistema fagocítico mononuclear.
Abstract
Typhoid fever is a multisystemic disease of infectious etiology with the gramnegative rod Salmonella typhi as its causative agent.
We present the case of a 19 year old woman who started with fever, abdominal cramps and diarrhea progressing to hepatic insufficiency, acute tubular necrosis, rhabdomyolysis and thrombocytopenia dying three days after hospital admission. Autopsy findings were as follows: Peyer's patches ulcers, necrosis and inflammation of mesenteric lymph nodes, dotted ulcers in colon, lung hepatisation, hepatic, splenic and renal congestion, as well as purpuric lesions in mesencephalon and pons. Microscopic examination revealed macrophage clusters surrounding spots of necrosis (typhoid nodules) in the next locations: arachnoid mater, brain parenchyma, lung, liver, spleen, kidney and bone marrow. These findings supported a diagnosis of typhoid fever at fastigum stage.
Typhoid fever goes through 5 consecutive stages whose morphological expression is product of several interactions between Salmonella typhi and the mononuclear phagocyte system of its host.
Key words: Typhoid fever, Salmonella typhi, typhoid nodule, Mallory's cells, mononuclear phagocytic system.
INTRODUCCIÓN
Un humo, un vapor; dicha es la connotación del nominativo typhus en lengua helénica, y es bajo esta analogía que fue empleado por primera vez para evocar la obnubilación transitoria de un episodio febril1,2. Por tanto, no es de extrañar que diversos procesos infecciosos compartan esta denominación, tal como el tifus asiático (cólera), el tifus de oriente (peste bubónica), el tifus ictérico (fiebre amarilla) y el tifus epidémico (exantemático) entre algunos otros más. No obstante, en nuestro lenguaje la expresión tifo se ha difundido y popularizado de tal forma que prácticamente es sinónimo de fiebre tifoidea: el tifus abdominal del postergado bacilo de Eberth.
BREVIARIO DEL ESTUDIO POSTMORTEM
Mujer de 19 años de edad, sin antecedentes médicos de importancia cuyo padecimiento final inició en septiembre del 2011 con dolor abdominal difuso, evacuaciones diarreicas y fiebre de 38° C. Llegó al servicio de urgencias con datos de choque, la estabilizaron y en el servicio de medicina interna cursó con insuficiencia hepática aguda, necrosis tubular aguda, rabdomiolisis y trombocitopenia. Murió 3 días después de su ingreso a este servicio.
Se realizó el estudio de autopsia con los siguientes hallazgos durante la prosección: en el borde antimesentérico del íleon terminal había múltiples úlceras ovales, de bordes bien definidos y sobreelevados con centro verde olivo (figuras 1 y 2a). Los ganglios mesentéricos estaban aumentados de tamaño y con áreas de necrosis en la superficie de corte (figuras 1 y 2b). También destacaron úlceras puntiformes en colon. En otros órganos: hepatización pulmonar, congestión hepática, esplénica y renal, así como manchas purpúricas en mesencéfalo y puente. El resto de los órganos no evidenciaba alteraciones a nivel macroscópico.

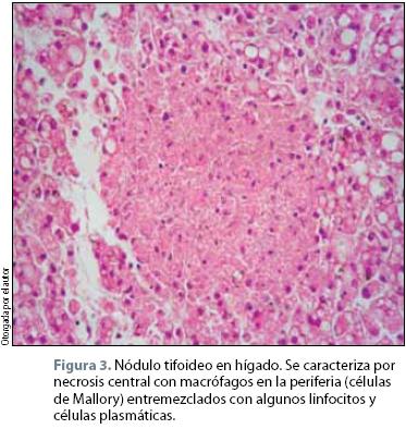
En el examen histológico se observó necrosis licuefactiva de la mucosa y submucosa del segmento de íleon afectado (figura 2c). Las placas de Peyer evidenciaron conglomerados de histiocitos envolviendo zonas discretas de necrosis (figura 2d). Dichos arreglos de macrófagos constituían granulomas que, bajo este contexto, reciben el nombre de nódulos tifoideos. Lesiones similares se identificaron en aracnoides, parénquima cerebral, pulmón, mucosa colónica, parénquima hepático, esplénico, renal, ganglios mesentéricos y médula ósea (figuras 3, 4 y 5af).


Así, esta serie de hallazgos morfológicos permitieron llegar a la conclusión diagnóstica de fiebre tifoidea en fase de fastigium con falla orgánica múltiple como causa de defunción.
DISCUSIÓN
Salmonella es un género de la familia Enterobacteriaceae constituido por bacilos anaeróbicos facultativos gramnegativos, no encapsulados, no esporulados, móviles con flagelos perítricos. A su vez, la especie Salmonella enterica engloba una vasta cantidad de serotipos como typhi, paratyphi (AC), typhimurium, enteritidis y choleraesuis35.
Asimismo existen descritos 5 síndromes clínicos ocasionados por miembros del género Salmonella36: infección asintomática, gastroenteritis aguda, bacteremia con o sin desarrollo de lesiones focales, fiebre tifoidea y el estado de portador asintomático crónico. No obstante, únicamente la serovariedad typhi es capaz de producir fiebre tifoidea. Por otra parte, conviene señalar que los serotipos Paratyphi A, B y C provocan un cuadro clínicamente indistinguible del primero, aunque negativo para la reacción de GrüberWidal en diluciones bajas7,8; tal es el motivo de su designación como fiebre paratifoidea.
La fiebre tifoidea es una enfermedad sistémica cuya historia natural, para fines de estudio y correlación clínicopatológica, ha sido dividida en 5 fases: incubación, invasión, fastigium, lisis y convalecencia6 (figura 6). Hay que considerar, sin embargo, que la introducción del tratamiento antibiótico ha modificado estas etapas de tal forma que no en pocas ocasiones resultan ser inexactas, ambiguas o con cierto grado de solapamiento entre sí.
La fase de incubación posee una duración variable aunque, en términos generales, oscila entre 5 y 30 días. En ella hay una enteritis catarral caracterizada por hiperemia, edema e hipersecreción de mucina así como hiperplasia linforreticular.
En la fase de invasión activa hay una bacteremia en la que pueden aparecer lesiones inflamatorias focales. Las placas de Peyer y los agregados linfoides de apéndice y colon se hipertrofian. Los órganos del sistema retículoendotelial (fagocítico mononuclear) se hallan hiperplásicos y congestivos. A nivel microscópico se observa infiltración de estos tejidos por macrófagos (células de Mallory)9, linfocitos y células plasmáticas con predominio y aglutinación de los primeros, mismos que fagocitan activamente bacilos, eritrocitos y linfocitos degenerados (hemofagocitosis)10,11. Esta lesión inflamatoria constituida característicamente por agregados de macrófagos es denominada nódulo tifoideo (figuras 3 y 4), también conocida como nódulo tifoídico o tifoso. Este último sin embargo, puede generar confusión con el nódulo tifoso propio del tifus exantemático (nódulo de Fraenkel)12.
La fase de fastigium (del latín fastigii, "tejado inclinado") representa, como su nombre lo indica, el cenit de la infección. En esta etapa es característica la ulceración de las placas de Peyer y la necrosis ganglionar. Por otra parte, dado que el huésped ha tenido tiempo suficiente para montar una respuesta inmunológica, tanto de tipo celular como humoral, escasos o ningún organismo pueden ser identificados en los nódulos tifoideos, observándose áreas de necrosis central que corresponden en parte a los mismos macrófagos (figura 3)13. Asimismo, la liberación de endotoxina que sigue a la lisis del microrganismo condiciona la aparición de lesiones toxémicas tales como el daño alveolar difuso, la formación de microtrombos y la degeneración hialina de Zenker de las fibras de músculo estriado6.
En la fase de declinación o lisis el tejido necrótico que recubre las placas de Peyer se desprende para finalmente tapizarse con tejido de granulación y cicatrizar durante la fase de convalecencia. Los nódulos tifoideos se reabsorben sin distorsión alguna del tejido excepto si la necrosis fue demasiado extensa. En bazo, el exudado fibrinoso que aparece sobre la cápsula esplénica puede organizarse de tal forma que éste adquiere una apariencia de "espolvoreado de azúcar glass" (zuckergleiss)6.
Las complicaciones de la fiebre tifoidea sobrevienen principalmente durante la fase de fastigium y en los primeros momentos del estadio de lisis, siendo la más frecuente de ellas la hemorragia de las placas de Peyer6 y la perforación intestinal la de mayor gravedad, con una mortalidad que va del 40 al 60%14,15. Otras complicaciones que se pueden referir son peritonitis, íleo paralítico, necrosis tubular aguda16, arritmia cardiaca, formación de abscesos hepáticos, esplénicos o renales1719, necrosis hepática multifocal, ruptura esplénica, glomerulonefritis (especialmente en asociación con Schistosoma mansonii)6,20, pancreatitis2123, neumonitis, pericarditis, osteomielitis (más común en la hemoglobinopatía por anemia falciforme), artritis, meningitis24,25, ataxia cerebelar, tromboflebitis femoral o safena, mielonecrosis con leucopenia y trombocitopenia26 así como coagulopatía por consumo.
Es interesante reflexionar un poco acerca de la manera en cómo estos cambios morfológicos implican, de alguna u otra forma, una interacción precisa entre Salmonella typhi y el mononuclear fagocítico. Es bien sabido que el patógeno una vez presente en el lumen intestinal se une a las células M y es transportado hacia las placas de Peyer donde es endocitado por fagocitos profesionales (p. ej. macrófagos y células dendríticas) para diseminarse en forma sistémica de manera ulterior10. Tal parece que, para sobrevivir, Salmonella typhi requiere de la activación del macrófago, del eje IFNgIL12 y de la piroptosis.
Dos sistemas distintos de secreción tipo III se ponen en marcha para la transferencia de los factores de virulencia de S. typhi hacia sus hospederos4,10,27, uno de ellos, codificado en isla de patogenicidad 1, media la invasión del epitelio, mientras que el codificado en la isla de patogenicidad 2 es requerido para la supervivencia dentro del macrófago. Así, este último deriva, a través de proteínas como SipB (Salmonella invasión protein B), en la puesta en escena de una forma poco convencional de muerte celular programada con características de necrosis: lapiroptosis10,13. Éste es un proceso que se vale de la caspasa 1 para detonar la muerte celular. A pesar de su semejanza, la piroptosis difiere de la apoptosis en que la primera es capaz de despertar una respuesta inflamatoria al activar ciertas citosinas como IL18 e IL1 β. Durante la piroptosis la membrana celular se rompe liberando estas interleucinas, las cuales estimulan la producción de IFNy por linfocitos T, NK y NKT. El interferón gamma induce a su vez la generación de IL12 por el macrófago, instaurando de esta manera el eje de retroalimentación mutua IFNyIL12. Interferón gamma representa, sin embargo, un arma de doble filo pues, a la vez que limita la reproducción del bacilo, concentraciones elevadas del mismo contribuyen al desarrollo del síndrome hemofagocítico, creando así un círculo vicioso y detrimental.
La hemofagocitosis es un fenómeno asociado a diversos procesos infecciosos, neoplásicos y reumáticos en el cual macrófagos engullen activamente células del resto de la línea hematopoyética10,11. ¿Qué ventajas ofrece este ambiente para el éxito y sobrevivencia de S. typhi? La respuesta no es del todo clara ni se encuentra dilucidada por completo, pero parece subyacer en algunos ligandos presentes sobre la superficie de leucocitos viables con capacidad para inhibir la fagocitosis del bacilo mediada por complemento y anticuerpos (p. ej. CD31 y CD47). Además, la fagocitosis de hematíes podría proteger al patógeno a través de la reducción de las especies reactivas de oxígeno producidas durante el estallido respiratorio; ello mediante la captación de atrapadores estequiométricos, específicamente, del hierro procedente de la hemoglobina. De esta manera los macrófagos activados representarían un nicho para la supervivencia temprana del bacilo mas no la tardía.
Es así como esta secuencia de eventos que ocurren durante las fases de invasión activa, fastigium y declinación culminan en una expresión morfológica que refleja la sutileza de estas interacciones: nódulos tifoideos.
CONCLUSIÓN
Con base en los hallazgos del estudio postmortem es posible concebir a la fiebre tifoidea como un proceso infeccioso de consecuencias sistémicas donde cada una de las fases del curso natural se ajusta a un ritmo normado por las complejas interacciones moleculares que ocurren entre el patógeno y el anfitrión, cuya traducción morfológica consiste en lesiones diseminadas a través del sistema reticuloendotelial las cuales, observadas bajo la microscopía de luz, demuestran arreglos de mononucleares fagocíticos cuya organización se encuentra regida por leyes fisiológicas.
Así pues, detrás de esta sutil escenificación, el tifus abdominal persiste en nuestros días como un mal que germina a partir de una taza de sopa de monstruos28.
REFERENCIAS BIBLIOGRÁFICAS
1. Ledermann DW. "Una historia del bacilo de Eberth desde Junker hasta Germanier". Rev. chil. infectol. [online]. 2003; 20(suppl) [citado 20120319];5861. [ Links ]
2. Navarro F. "Parentescos Sorprendentes: Tifus y estofado". Disponible en: http://www.elcastellano.org/ns/edicion/2002/julio/parent12.html [ Links ]
3. Brooks GF, Butel JS, Morse Sa. "The SalmonellaArizona Group". In: Brooks GF, Butel JS, Morse Sa. "Jawtz, Melnick & Adelberg's Medical Microbiology". 23rd Edition, 2004 McGrawHill. Part III Bacteriology Chapter 16 Enteric Gramnegative Rods (Entero bacteriaceae). pp 256-260. [ Links ]
4. Murray PR, Rosenthal KS, Pfaller MA. "Salmonella". In: Murray PR, Rosenthal KS, Pfaller MA. "Medical Microbiology". 6th Edition 2009 Mosby Elsevier. Section 5 Bacteriology Chapter 30 Enterobacteriaceae. pp. 3079. [ Links ]
5. Romero Cabello R. "Microbiología y Parasitología Humana. Bases Etiológicas de las Enfermedades Infeccionas y Parasitarias". 3ra Edición 2007 Editorial Médica Panamericana. pp 798802. [ Links ]
6. Smith JH. "Typhoid fever". In: Connor DH, Chandler FW, et.al. "Pathology of Infectious Diseases". Appleton & Lange 1997. Volume I Part III Bacterial Infections Chapter 93. p 875887. [ Links ]
7. Peacocke G. "Paratyphoid fever". Trans Roy Acad Med Ir. 1911;29(1):5563. [ Links ]
8. Booth EB. "Paratyphoid fever". Dub J Med Sci. 1905; 119(2);1148. [ Links ]
9. Prichard R. "Selected items from the history of pathology. Frank Burr Mallory". Am J Pathol. 1979;95(2):422. [ Links ]
10. SilvaHerzog E, Detweiler CS. "Intracellular microbes and haemophagocytosis". Cell Microbiol. 2008;10(11):21518. Epub 2008 Jun 23. [ Links ]
11. Nix RN, Altschuler SE, Henson PM, Detweiler CS. Hemophagocytic macrophages harbor Salmonella enterica during persistent infection. PLoS Pathog. 2007;3(12):e193 [ Links ]
12. Martínez Durán C. "Histopatología de las lesiones del tifo exantemático primera investigación hecha en Guatemala". Disponible en: http://hist.library.paho.org/Spanish/BOL/v23n9p791.pdf [ Links ]
13. Hernández LD, Pypaert M, Flavell RA, Galán JE. "A Salmonella protein causes macrophage cell death by inducing autophagy". J Cell Biol. 2003;163(5):112331. [ Links ]
14. Nguyen QC, Everest P, Tran TK, et al. "A clinical, microbiological, and pathological study of intestinal perforation associated with typhoid fever". Clin Infect Dis. 2004; 39(1):617. Epub 2004 Jun 14. [ Links ]
15. Saxena V, Basu S, Sharma CL. "Perforation of the gall bladder following typhoid feverinduced ileal perforation". Hong Kong Med J. 2007;13(6):4757. [ Links ]
16. Khan M, Coovadia Y, Sturm AW. "Typhoid fever complicated by acute renal failure and hepatitis: case reports and review". Am J Gastroenterol. 1998;93(6):10013. [ Links ]
17. Mert A, Tabak F, Ozaras R, et.al. "Typhoid fever as a rare cause of hepatic, splenic, and bone marrow granulomas". Intern Med. 2004;43(5):4369. [ Links ]
18. Huang GC, Chang CM, Ko WC. "Typhoid fever complicated by multiple organ involvement: report of two cases". J Infect. 2005;51(2):E5760. [ Links ]
19. Thapa R, Mukherjee K, Chakrabartty S. "Splenic abscess as a complication of enteric fever". Indian Pediatr. 2007; 44(6):43840. [ Links ]
20. Pancharoen C, Wongsawat J, Phancharoen S, et.al. "Typhoid glomerulonephritis in a child: a rare complication of typhoid fever". Southeast Asian J Trop Med Public Health. 2001; 32(4):86971. [ Links ]
21. Kadappu KK, Rao PV, Srinivas N, Shastry BA. "Pancreatitis in enteric fever". Indian J Gastroenterol. 2002; 21(1):323. [ Links ]
22. Rombolà F, Bertuccio SN. "Typhoid fever and acute pancreatitis: two cases". Infez Med. 2007;15(1):635. [ Links ]
23. Yacaman Handal R, Flores Nava G, Escobedo Chávez E, Pérez Bernabé MM. "Pancreatitis aguda secundaria a fiebre tifoidea en un preescolar". Rev Gastroenterol Mex. 2000; 65(1):303. [ Links ]
24. Kim H, Jeoung JY, Ham SY, Kim SR. "Nontyphoid Salmonella meningitis complicated by a infarction of basal ganglia". J Korean Med Sci. 1999;14(3):3424. [ Links ]
25. Ramachandran S, Wickremesinghe HR, Perera MV. "Acute disseminated encephalomyelitis in typhoid fever". Br Med J. 1975;1(5956):4945. [ Links ]
26. Shin BM, Paik IK, Cho HI. "Bone marrow pathology of culture proven typhoid fever". J Korean Med Sci. 1994; 9(1):5763. [ Links ]
27. Rafatellu M, Wilson RP, Winter SE, Baümler AJ. "Clinical pathogenesis of typhoid fever". J Infect Developing Countries 2008;2(4):2606. [ Links ]
28. Heat W. "Monster Soup Commonly Called Thames Water". 1828. Disponible en: http://www.scienceandsociety.co.uk/results.asp?image=10315337&screenwidth=1366. [ Links ]













