Antecedentes
La neuralgia del trigémino sigue siendo uno de los retos neuroquirúrgicos actuales para lograr controlar el dolor neuropático a largo plazo. En casos refractarios puede requerirse el manejo quirúrgico1,2.
La descompresión microvascular es un abordaje no lesional que preserva la función del nervio trigémino y permite una buena resolución a largo plazo, además de ser potencialmente curativa. Se utiliza la disección microquirúrgica en la zona de emergencia del nervio en su origen en el tallo cerebral (zona de transición) y se utiliza un soporte o prótesis para mantener la separación del vaso y evitar el contacto directo con el nervio. Para ello se han utilizado diferentes materiales, como el teflón, para evitar el fenómeno pulsátil o kinking sobre el nervio3-6. El efecto del material no es inocuo, ya que se han descrito complicaciones derivadas de los materiales protésicos7.
La innovación traslacional aporta biomateriales y andamios que ofrecen la ventaja de ser biocompatibles, biodegradables, no tóxicos y poder proveer una acción regenerativa. En la literatura científica no existen informes sobre el uso de la esponja de quitosana con el propósito de un efecto dual protésico y regenerativo. Este reporte propone esta fase piloto de evaluación de la tolerancia al biomaterial en el tallo cerebral en humanos en dos casos representativos8-10.
Etapa I: diseño del andamio 3D
Etapa de estudio precedida por una línea de investigación traslacional en la que se realizaron evaluaciones de diseño, ingeniería tisular, análisis de biomateriales, biocompatibilidad, toxicidad y biodegradabilidad. Se utilizó quitosana de grado biomédico de peso molecular medio, con un 75-85% de desacetilación, en una presentación en polvo de Sigma Aldrich®, E.U.A. Para la síntesis de la esponja porosa 3D se utilizó inicialmente una solución de quitosana al 4%, y para su adecuada solubilización se mezcló con ácido acético al 2%. Posteriormente se procedió a colocarla sobre la placa de Petri, en donde se completó el proceso de precipitación, lavado, verificación del pH, liofilización y diseño de capas y porosidad, para complementar con doble esterilización en autoclave y gas (óxido de etileno).
Etapa II: aplicación a casos clínicos
Caso 1
Previa notificación y revisión del proceso de consentimiento informado para los casos piloto y la revisión de las implicaciones éticas, se procedió a su aplicación microquirúrgica mediante craniectomía suboccipital derecha selectiva. Paciente femenina de 72 años con 6 años de dolor por neuralgia del trigémino que se exacerbó en los últimos 6 meses, refractaria al tratamiento farmacológico, múltiples efectos secundarios, toxicidad hepática y desnutrición.
Caso 2
Masculino de 48 años con dolor neuropático en la rama maxilar del trigémino derecho secundario a dolicoectasia de la arteria basilar. Sin respuesta a oxcarbazepina ni a otros fármacos. Posterior a 6 meses se tipificó como refractario a fármacos y, ante la evidencia de ideaciones suicidas, se le propuso tratamiento microquirúrgico a través de craniectomía suboccipital derecha selectiva.
Resultados
Caso 1
Se realizó una descompresión microvascular sobre el nervio trigémino, encontrando la rama de la arteria cerebelosa superior con compresión pulsátil sobre el mismo en el plano inferior. Se colocó una esponja de quitosana de diseño personalizado cubriendo el nervio en su zona de origen (zona de transición) en el tronco del encéfalo y el trayecto de la arteria cerebelosa superior.
La hipoestesia dolorosa de la rama maxilar y el dolor súbito y punzante desaparecieron, y el reflejo corneal fue normal. Tras 6 meses de seguimiento, confirmamos la estabilidad de su estado clínico sin ningún fármaco, con un seguimiento con estudios de imagen en el primer año y clínicamente por 5 años sin dolor.
Caso 2
Abordaje microquirúrgico con hallazgos de compresión por la arteria basilar y la vena petrosa superior, en la que se coloca, posterior a la disección aracnoidea, el implante de quitosana para separar el nervio trigémino. Sin complicaciones transoperatorias. Descenso gradual de oxcarbazepina y retiro total a 3 meses del posoperatorio. Tras 7 años de seguimiento, sin reincidencia del dolor neuropático y sin tratamiento farmacológico (Figura 1 y Tabla 1).

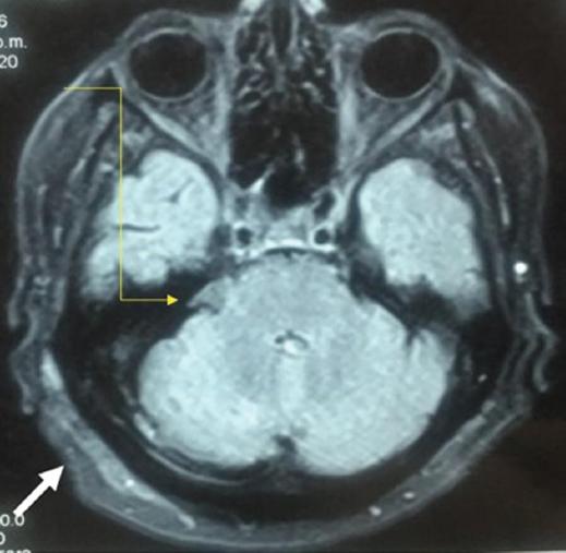
Figura 1 Resonancia magnética axial simple en T1 con evidencia del implante-esponja en la cisterna trigeminal a las 48 h de posoperatorio (flecha amarilla). Se observa un segundo implante de quitosana en una conformación en bicapa en la zona dural de la craniectomía (flecha blanca).
Tabla 1 Descripción evolutiva de los casos intervenidos y su seguimiento
| Caso | Edad | EVA dolor preimplante | EVA dolor posimplante | Posquirúrgico inmediato | Seguimiento a largo plazo |
|---|---|---|---|---|---|
| 1 | 72 | 9-10 | 0-1 | Náusea, vómito, vértigo, hipoacusia transitoria | Sin dolor neuropático No fármacos Deceso por enfermedad cardiovascular (IAM) a los 5 años |
| 2 | 48 | 9-10 | 0-1 | Cefalea secundaria (pinchos de cabezal), vértigo, vómito, por 24 h | 7 años sin dolor, sin fármacos No efectos clínicos ni en neuroimagen asociados al implante |
EVA: escala visual analógica para el dolor (0-10); IAM: infarto agudo de miocardio. Adaptada de ref.15.
Discusión
Nuestros estudios previos de la fase de ingeniería tisular sobre las propiedades físicas y químicas, la resistencia y la elasticidad de la quitosana, complementados con ensayos experimentales, nos permitieron confirmar en la etapa preclínica la biocompatibilidad, la biodegradabilidad, la ausencia de toxicidad y la bioseguridad. El plan piloto en humanos fue resultado consecuente con el precedente de su biotolerancia en la base de cráneo y como sustituto dural11,12.
En los casos reportados se demostró la causalidad de la compresión vascular sobre la estructura del nervio, con efecto pulsátil traumático, y cierto patrón de bandas aracnoideas adherenciales. El resultado sobre el dolor neuropático coincide con el efecto dual al combinar la descompresión mecánica con la potencial conducta regenerativa del implante, ya descrita en otros estudios. Fue posible controlar el dolor a largo plazo sin complicaciones inherentes al biomaterial. Consideramos que esta alternativa representa un enfoque prometedor, sin problemas de biocompatibilidad ni complicaciones en el curso transoperatorio y posoperatorio, y con resolución del dolor trigeminal sin necesidad de tratamiento farmacológico.
Esta estrategia abre una nueva posibilidad para que este tipo de biomateriales, con un bajo costo y una adecuada biotolerancia, puedan integrarse a las opciones para el tratamiento de esta afección tan discapacitante. Este reporte preliminar de los primeros casos aplicados en humanos ratifica el compromiso de seguimiento en un estudio futuro de fase clínica, aleatorizado y comparativo, para continuar con el análisis en un mayor número de casos, y con el refinamiento del diseño de la esponja de quitosana desde una perspectiva de ingeniería tisular y medicina personalizada13.
El uso de biomateriales con propiedades bioactivas y biocompatibles es una alternativa expectante a desarrollar, bajo la estrategia de la innovación en biomateriales como la quitosana14.










nueva página del texto (beta)


