Servicios Personalizados
Revista
Articulo
Indicadores
Links relacionados
-
Similares en
SciELO
Compartir
Gaceta médica de México
versión On-line ISSN 2696-1288versión impresa ISSN 0016-3813
Gac. Méd. Méx vol.141 no.5 Ciudad de México sep./oct. 2005
Imágenes en medicina
Lisencefalia
Lissencefalia
Verónica MotaG.,ª* Oscar F. ValdiviesoC.,ª Laura QuirozR.ª y José Luis CrialesC.ª
ª Curso universitario de Radiología, Grupo CT Scanner de México, Hospital Santa Fe, México D.F., México.
Coordinador: Manuel CardosoRamón
* Correspondencia y solicitud de sobretiros:
Curso Universitario de Radiología. Grupo CT Scanner de México, Hospital Santa Fe,
México, D.F., México.
Resumen de historia clínica
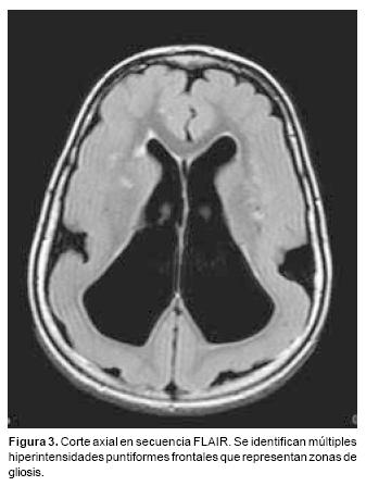
Paciente masculino de 3 años de edad, producto de la segunda gestación, obtenido por cesárea a las 30 semanas de embarazo. Cursó con crisis convulsivas tónico clónicas de difícil manejo desde los 8 meses de edad, así como con retraso psicomotor. Se realizó resonancia magnética (RM) de cráneo con los siguientes hallazgos: en la secuencia T2 en plano axial, a nivel de los ventrículos laterales se observó un engrosamiento generalizado de la corteza cerebral en ambos hemisferios, asociado a ausencia de surcos cerebrales normales que le dio un aspecto "liso" al cerebro (Figura 1). La cisura de Silvio en ambos lados se encontró amplia y poco profunda lo que le confirió un aspecto en figura de "8". En la imagen sagital en secuencia FLAIR (Fluid Attenuated Inversion Recovery) la línea media el cuerpo calloso se observó adelgazado de forma generalizada (Figura 2). En las adquisiciones axiales en secuencia FLAIR se identificaron imágenes puntiformes, hiperintensas, confluentes de localización subcortical en ambos hemisferios, de predominio frontal compatibles con zonas de gliosis (Figura 3).



Diagnóstico por imagen
El término lisencefalia significa "cerebro liso", y hace referencia a una insuficiencia del desarrollo de surcos y circunvoluciones incluida en el grupo de anomalías de la migración neuronal.1,2
La agiria es la ausencia de circunvoluciones en la superficie del cerebro y es sinónimo de "lisencefalia completa", mientras que la paquigiria es la presencia de pocas circunvoluciones amplias y lisas pudiendo ser reemplazada por el término de "lisencefalia incompleta". La paquigiria puede ser focal o difusa. Cuando es focal casi siempre es bilateral y generalmente posterior. Cuando es difusa, por lo general está asociada con regiones de agiria y es más severa en la región parietooccipital.2
Se identifican 2 subtipos anatomopatológicos: la lisencefalia "clásica" que es el resultado de la detención de la migración neuronal y la lisencefalia "en empedrado", resultado de la sobremigración de neuronas.3
La tomografía computada es de gran utilidad en casos de malformaciones relacionadas con infección por citomegalovirus o toxoplasmosis dada su capacidad para identificar calcificaciones periventriculares que son comunes en estos casos; sin embargo tiene menor sensibilidad para el diagnóstico de paquigiria focal en donde la modalidad de imagen de elección es la resonancia magnética1. En los pacientes con lisencefalia clásica completa se observa una superficie cerebral lisa con disminución de la sustancia blanca así como cisuras de Silvio poco profundas y orientadas verticalmente que le confieren un aspecto que ha sido descrito como en forma de "reloj de arena" o de "8". En los casos de lisencefalia incompleta, las áreas de paquigiria también evidencian engrosamiento de la corteza, aunque presentan circunvoluciones amplias y surcos poco profundos.2,3
Referencias
1. Lee SH. Cranial MRI and CT. Mc GrawHill 1999. [ Links ]
2. Barkovich AJ. Neuroimagenología Pediátrica.. Ediciones Journal 2001. [ Links ]
3. Swischuk LE. Imaging of the newborn, infant and young child. Williams & Wilkins 2004. [ Links ]













