Introducción
Los sarcomas de tejidos blandos son una entidad diagnóstica poco común, que representan aproximadamente el 1% de todas las neoplasias malignas en adultos1. Los sarcomas paratesticulares representan un subgrupo aún más raro de sarcomas de tejidos blandos, representan el 1% de los sarcomas de tejidos blandos2. Sin embargo, los sarcomas paratesticulares son la presentación más común de los sarcomas genitourinarios, el 30% del total de casos2. Afecta predominantemente a adultos jóvenes, adolescentes y niños, y presenta un comportamiento agresivo, con una alta tasa de recurrencia y propensión a la metástasis temprana3.
Gran parte de la experiencia en la descripción de patrones clínicos de comportamiento proviene de pequeñas series de casos, por lo que existe poca experiencia publicada sobre el manejo de los sarcomas de tejidos blandos en esta localización específica de la enfermedad4. Debido a esto, es de suma importancia conocer esta entidad, ya que tanto la sobrevida global como el periodo libre de recurrencia es desalentador y que, descartando diagnósticos diferenciales como otro tipo de sarcomas, tumores del estroma gastrointestinal extragástricos o metástasis de otros tipos histológicos de cáncer, enfoca el tratamiento adecuado5.
El tratamiento eficaz con resección completa aumenta la sobrevida y el periodo libre de recurrencia, sin embargo, al ser un sarcoma raro y agresivo tras la escisión quirúrgica, se presenta recurrencia local, siendo el retroperitoneo el lugar más común en aproximadamente el 27-60% de los pacientes6. Las tasas de supervivencia a 5 años oscilan entre el 38 y el 55%, por lo que es una entidad de pronóstico pernicioso, es por ella la importancia de presentar el caso7,8.
Reporte de caso
Paciente de sexo masculino de 80 años, originario y residente de León, Guanajuato, de ocupación campesino. Con antecedentes personales patológicos de diabetes mellitus tipo 2 en manejo con insulina, alergias negadas. Cirugías previas: orquiectomía radical izquierda por medio privado el 17 de enero del 2022. Niega otros antecedentes, niega historia de cáncer en familia.
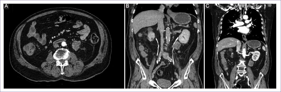
Comienza su padecimiento en noviembre del 2021 con presencia de dolor testicular, así como aumento de tamaño del testículo, por lo que acude a atención a medio particular en enero del 2022, donde le comentan que se trata de un tumor testicular que requiere intervención quirúrgica, por lo que esta se lleva a cabo; según se comenta, sin complicaciones. No obstante, en el resultado de patología se reporta neoplasia fusocelular mesenquimal de alto grado de cordón espermático de 9 × 7 cm, con invasión linfovascular presente, así como margen quirúrgico proximal positivo, por lo que es enviado al Instituto Mexicano del Seguro Social en marzo del 2022, donde es valorado por el servicio de oncología médica y radiooncología, y se otorga tratamiento adyuvante con seis ciclos de vincristina 1.6 mg, doxorubicina 60 mg y ciclofosfamida 1,600 mg (concluyendo en agosto del 2022), así como radioterapia inguinal y paratesticular con 36 Gy en 18 fracciones (concluyendo en octubre del 2022), posteriormente envían al servicio de cirugía oncológica para continuar con vigilancia. Durante esta con adecuada evolución, manteniéndose asintomático, con periodo libre de enfermedad de 2 años con 4 meses, hasta que en estudio tomográfico de control en enero del 2025 se observa tumor a nivel de retroperitoneo, en lecho de riñón izquierdo en contacto con grasa perirrenal, así como uréter izquierdo desde tercio proximal y medio (Fig. 1), sin evidenciar actividad a distancia.

Figura 1 A: tomografía axial de abdomen en fase contrastada con presencia de tumor retroperitoneo con afectación de uréter izquierdo. B y C: imágenes coronales por tomografía abdominal contrastada donde se evidencia tumor en retroperitoneo con afectación de uréter izquierdo hacia pelvis renal izquierda.
Al valorar estudio de imagen se propone intervención quirúrgica, a valorar realizar resección amplia con nefrectomía radical izquierda.
Se realizó laparotomía exploradora y se encontró tumor de 12 × 15 cm aproximadamente, irregular, pétreo, cápsula con ulceración (Fig. 2) con afectación a estructuras adyacentes como colon izquierdo, riñón izquierdo desde polo superior hasta región de psoas ilíaco, con extensión medial hacia aorta, así como tercera y cuarta porción del duodeno y vasos mesentéricos, por lo que se considera como irresecable de forma transquirúrgica, sin presentar eventualidades durante la intervención.
Respecto a nuestro paciente se clasificó como EP IIIA (pT2N0M0), con progresión a retroperitoneo, la cual fue irresecable, al momento se ha mantenido con adecuada evolución, no hubo ninguna barrera social para establecer el diagnóstico, se envió a oncología para manejo especializado para aplicación de quimioterapia, con ifosfamida y mesna por tres ciclos cada 3 semanas. En la consulta de seguimiento el paciente se encuentra asintomático, con adecuada evolución y tolerancia al manejo establecido, satisfecho con la atención otorgada y con entendimiento óptimo de su patología, acudiendo oportunamente a sus citas de seguimiento.
Discusión
El sarcoma paratesticular es una causa importante de morbimortalidad, puede crecer rápidamente y hacer metástasis de forma temprana; y como principal sitio de afectación es el retroperitoneo9.
Grandes metaanálisis, como mencionan Rodríguez y Ball, han demostrado que al menos la mitad de los pacientes con sarcomas paratesticulares desarrollan recurrencia y casi un tercio desarrollan metástasis a distancia9.
Se observa afectación ganglionar regional en el 45 al 91%, como observamos en nuestro caso, en la que la progresión fue a retroperitoneo, como se describe en la bibliografia9,10.
El tratamiento en este tipo de escenarios es realizar un tratamiento multimodal que consiste en resección amplia, con márgenes adecuados de al menos 1 a 2 cm, y manejo adyuvante con quimioterapia y radioterapia10.
Las posibles causas asociadas a esta afección son la agresividad de la misma histología y la rareza. Por ello es fundamental en primera instancia lograr márgenes negativos para mejorar sobrevida global del paciente (que puede alcanzar hasta el 78%) contar con los marcadores de inmunohistoquímica para realizar un adecuado diagnóstico, ya que por su singularidad y unicidad es importante realizar un manejo multimodal para tener un control de la enfermedad, así como un periodo libre de recurrencia mayor. Por lo que la mayor fortaleza es lograr una resección completa, con márgenes negativos, ya que se aumenta la sobrevida global, sin embargo la mayor limitación es realizar un adecuado abordaje tanto clínico como quirúrgico10.
Al reportar nuestro caso, reforzamos la importancia de entender que el comportamiento de este tipo de sarcomas es desalentador, con altas tasas de recurrencia, y entender que el comportamiento tan agresivo hace que en algunos escenarios no sea factible lograr una resección quirúrgica por afectación a estructuras vitales, como en el caso de nuestro paciente, por lo que la detección oportuna, así como un tratamiento multidisciplinario aumentan la sobrevida global.














