Introducción
Los tumores retroperitoneales solo suponen un 0.07-0.2% de todas las neoplasias del organismo. Un 85% son malignos, de los cuales los sarcomas de partes blandas constituyen el 35% y entre ellos destaca el liposarcoma como variedad histopatológica más frecuente del retroperitoneo1.
El liposarcoma es un tumor mesenquimatoso maligno con componente adiposo con diferentes grados de atipia. Son de cuatro tipos: diferenciado (45%), mixoide (35%), pleomórfico (> 15%) y desdiferenciado (5%)2.
El estudio paraclínico inicial de elección es la tomografía contrastada, sin embargo la resonancia magnética se ha convertido en un mejor método por las cualidades de este tipo de tumor en cuanto a la diferenciación de tejidos específicos adyacentes y por tanto en la estadificación tumoral. El riñón es el principal órgano infiltrado. El diagnóstico definitivo es histopatológico. El tratamiento en la enfermedad localizada y localmente avanzada es la resección quirúrgica, con un margen mínimo de 20 mm2. En la enfermedad irresecable, la quimioterapia y/o radioterapia neoadyuvante son una opción para disminuir el tamaño tumoral3.
Presentación del caso
Se trata de una paciente de 42 años sin antecedentes heredofamiliares oncológicos. Sin ningún antecedente quirúrgico, infecto-contagioso, ni crónico -degenerativo.
Inicia con pérdida de peso no cuantificada, astenia y adinamia; protocolizada y enviada por el hospital de Tuxpan (Veracruz) con diagnóstico de tumor retroperitoneal tras contar con reporte de tomografía computarizada (TC) toracoabdominal del 26 de abril de 2023 que evidencia tumoración compleja que cubre toda la parte anterior del abdomen de 28 x 10 x 20 cm con ecotextura multiquística, sólida y grasa semejante a teratoma que rechaza la vejiga y el riñón izquierdo, por lo que se efectúa laparotomía exploradora en mayo del 2023 con reporte de tumoración no resecable. Se toma biopsia, la cual reporta liposarcoma, por lo que se inicia protocolo en esta unidad el 5 de enero de 2024.
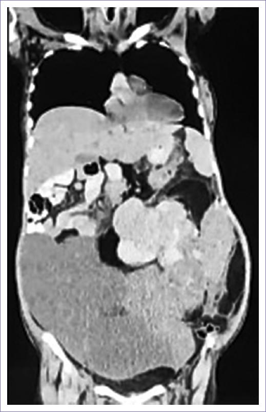
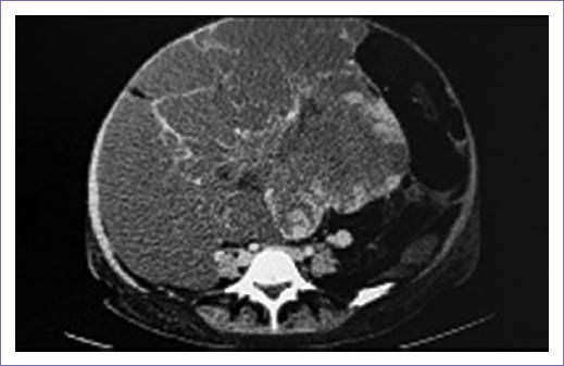
Acude para realización de nueva TC el 27 de enero de 2024, refiriendo dolor a nivel costal derecho, con aumento de perímetro abdominal y anemia, reportando hallazgos de neoformación en retroperitoneo de primario conocido 17 x 20 x 12 cm, engrosamiento focal de la pleura visceral en segmento 6, probable infiltración metastásica (Figs. 1 y 2). A su ingreso, con los siguientes estudios de laboratorio: hemoglobina 6.8 g/dl, hematocrito 24.2%, plaquetas 722,000/ul, leucocitos 10.33 x 103/ul, neutrófilos 75%, calcio 8.4 mg/dl, magnesio 2 mmol/l, sodio 136 mmol/l, potasio 4.1 mmol/l, cloro 96.7 mmol/l, glucosa 102, creatinina sérica 0.4 mg/dl, nitrógeno ureico en sangre 5 mg/dl, tiempo de protrombina 14.7 s, ratio internacional normalizado 1.3, tiempo de tromboplastina parcial 33.9 s, CA 19-9 5.7 Ul/ml, antígeno carcinoembrionario 0.5 ng/ml.

Figura 1 Tomografía contrastada con lesión en cavidad abdomino-pélvica y retroperitoneo de aspecto tumoral.

Figura 2 Tomografía axial computarizada abdominal que muestra masa heterogénea con coeficiente de atenuación en rangos lipídicos.
Después de la firma de los consentimientos informados quirúrgicos y de anestesiología, así como ayuno de 8 horas, se procede a cirugía el 7 de febrero de 2024.
Bajo anestesia general equilibrada se procede a realizar incisión supra-infraumbilical línea media, diéresis por planos hasta cavidad abdominal, obteniendo abundante líquido peritoneal. Se encuentra tumoración adherida a peritoneo parietal y visceral de estructuras adyacentes (Fig. 3), disección roma de estructuras vasculares aorta, cava, mesentérica superior de la tumoración (Fig. 4), sin lesión de estas, obteniendo pieza quirúrgica de 40 x 40 x 25 cm, 10 kg aproximadamente, incluyendo bazo, cuerpo y cola de páncreas, hemicolon y riñón izquierdo (Figs. 5 y 6), confección de colostomía de transverso y yeyunostomía de Witzel. Se coloca penrose abocado a hueco pélvico.
La paciente ingresa de quirófano a unidad de cuidados intensivos y es egresada a piso de cirugía oncológica al día siguiente, manteniéndose en vigilancia e inicio de dieta enteral por yeyunostomía. Evoluciona con aparente fístula pancreática con alto gasto por drenaje tipo penrose con amilasa de 3,377 U/l y lipasa de 1,718 U/l en citológico y citoquímico de este. Es sometida a segundo evento quirúrgico, encontrando perforación de yeyuno por sonda de yeyunostomía a 15 cm de esta y abundantes natas de fibrina realizando reparación en dos planos: primero puntos simples con Vycril©, segundo puntos Lembert con seda comprobando hermeticidad mediante prueba de azul de metileno.
Posteriormente con adecuada evolución clínica, inicio de dieta por yeyunostomía y disminución de gastos por sondas y drenajes. Se mantiene bajo observación en hospitalización, en donde se evidencia cuantificación de glucemia mayor a 180 g/dl, presentando diabetes mellitus secundaria a la resección parcial del páncreas, que se trata con insulina de acción rápida subcutánea.
Se considera como diagnóstico diferencial debido al tamaño y rapidez del crecimiento manifestado en la paciente, el tumor renal como primario, en relación con la imagen emitida en la TC, siendo este el órgano mayormente involucrado. El reporte final de estudio histopatológico de la pieza quirúrgica indica liposarcoma bien diferenciado, por lo que el pronóstico se espera bueno en función tanto de la estirpe histopatológica como de la resección completa del tumor.
Discusión
Desde el punto de vista macroscópico, el liposarcoma tiene componente mixoide, necrosis y fibrosis, generalmente > 20 cm y con un alto índice de crecimiento. El único tratamiento curativo es la cirugía, el margen quirúrgico debe ser > 20 mm y realizarse una resección en bloque, y está indicada en la enfermedad localizada y localmente avanzada1. El liposarcoma desdiferenciado tiene alto potencial metastásico, del 13-47%, con una recurrencia del 18-57%, siendo la recurrencia local lo más común4,5. Dado que la variedad de liposarcoma de bajo grado aparece con más frecuencia a nivel retroperitoneal, es muy importante la exéresis quirúrgica completa que solo se logra rebasando la cápsula tumoral y realizando en un alto porcentaje de casos la exéresis de órganos englobados por el tumor específico2, exigiendo una nefrectomía y, como en nuestro caso, la resección de los órganos involucrados del hemiabdomen izquierdo.
La paciente es admitida a nuestra unidad con diagnóstico ya establecido por estudio histopatológico de biopsia previa, pero al haberse encontrando en una localidad carente del servicio de cirugía oncológica, el abordaje inicial y la etapa clínica pudo haberse realizado de manera distinta y en un momento más temprano.
La supervivencia global a cinco años de estos tumores es de aproximadamente el 75 al 100%, donde el principal factor pronóstico es la resección completa3, por lo que en este caso el pronóstico se espera bueno al tratarse de una enfermedad con resección completa, sin involucro macroscópico de estructuras vasculares importantes y ser histopatológicamente bien diferenciado.
Los tumores retroperitoneales primarios son tumores que no se desarrollan a partir de ningún órgano retroperitoneal, sino que provienen de tejidos propios de tal espacio o de restos embrionarios, por lo que se ven relacionados con factores de riesgo como radiación administrada previamente para tratar otros tipos de cáncer, síndromes hereditarios como neurofibromatosis, síndrome de Li-Fraumeni, síndrome de Gardner, retinoblastoma o esclerosis tuberosa, así como la exposición a ciertos químicos como cloruro de vinilo. Esta paciente no cuenta con ningún antecedente de los antes descritos, por lo que no se encuentra relación directa con ningún factor de riesgo específico6.
Se considera importante la documentación de este caso, en particular tanto por las características de la tumoración como el volumen y el involucro de múltiples órganos adyacentes a este, así como por el tipo de abordaje seleccionado para la resolución del caso; así mismo, por lo que se desencadena a partir de este como la diabetes mellitus secundaria a la resección del cuerpo y cola de páncreas y la sarcopenia derivada de la modificación de la dieta por yeyunostomía, considerando que todo lo anterior depende de cada caso en particular dependiente de los órganos afectados, pero que a su vez deben ser previstos para su manejo integral en el posquirúrgico.
Se comenta a la paciente los riesgos inherentes a la cirugía que requería, sin embargo menciona de manera enérgica el deseo por realizársela, por lo que en el posquirúrgico manifiesta su satisfacción acerca del manejo otorgado.


















