Introducción
La rickettsiosis es una enfermedad infecciosa producida por bacterias del género Rickettsia que se transmiten por vectores hematófagos que incluye garrapatas, piojos, ácaros y pulgas. Esta enfermedad mantiene una distribución geográfica universal; sin embargo, el diagnóstico continúa siendo un reto para el clínico de primer contacto debido a la naturaleza inespecífica de su presentación y a la detección tardía de los casos debido a la falta de un signo patognomónico y pruebas de detección rápida.1
Las rickettsias son bacilos Gram (-) obligados, que se transmiten durante el proceso de alimentación de un vector preferencial. Producen cuadros clínicos heterogéneos de acuerdo al agente causal, produciendo fiebre de las Montañas Rocosas tras la inoculación de R. rickettsii durante el proceso de alimentación de las garrapatas o tifus tras la infección por R. prowazekii y R. typhi2 por medio de piojos. Posterior a su ingreso al organismo, son inmediatamente fagocitados por células dendríticas y transportados a los ganglios linfáticos, donde ocurre su multiplicación, posteriormente migrando al torrente sanguíneo, donde se produce invasión del endotelio microvascular, lo que resulta en daño endotelial y sus manifestaciones clínicas comunes como rash cutáneo, hipoperfusión y estados de sepsis.3
En México (según el boletín federal de vigilancia epidemiológica en la semana 35 de 2023) se estiman 64 casos de rickettsiosis sin clasificación, siendo 28 casos para el sexo masculino y 36 casos del sexo femenino, mientras que para la fiebre manchada se reportan 236 casos totales, 150 pacientes masculinos y 86 en femeninos. En el estado de Chihuahua, según estadísticas de 2022, se reportaron 25 casos de rickettsiosis sin clasificación y 53 casos de fiebre manchada, con tendencia al aumento de la incidencia de casos en comparación del año en curso, sin reportarse casos de tifo murino o epidémico.4
Los retos que supone la atención de los pacientes con rickettsiosis son numerosos y usualmente complicados dada la tendencia de este grupo de organismos a desencadenar disfunción orgánica de múltiples sistemas en un corto periodo de tiempo, además de la alta prevalencia de enfermedades crónico-degenerativas que comprometen la capacidad del paciente de responder a la infección, principalmente la diabetes mellitus tipo 2. En el ámbito mundial, se reporta una gran proporción de pacientes con diagnóstico previo de diabetes mellitus en choque séptico (10-30%), teorizándose como mediadores de la inmunosupresión característica de estos pacientes el tiempo absoluto de hiperglicemia de los pacientes.5
En el espectro clínico del choque séptico y sepsis se debe tomar en cuenta la disfunción miocárdica, ya que es una complicación común que llegan a desarrollar más de la mitad de los pacientes con sepsis, debido a mediadores inflamatorios que afectan la función del miocardio,6 dichos pacientes presentan un aumento en la mortalidad en comparación con los pacientes que no desarrollan disfunción cardiaca.7
Dentro de la población con el diagnóstico de diabetes mellitus que sufre un proceso séptico debe identificarse al grupo usuario de (iSGLT-2) inhibidores de la SGLT-2, dada su predisposición a presentar una variedad euglucémica de la cetoacidosis diabética. Dichos fármacos promueven la secreción de glucagón y disminución de la excreción urinaria de cuerpos cetónicos, lo que resulta en la acidosis metabólica de anión GAP elevado y cetonas séricas con determinaciones de glucosa sérica menores a 250 mg/dL.8 Este fenómeno ronda de 2.6 a 3.2%, con aumento de su incidencia que coincide con la introducción de los inhibidores del cotransportador sodio/glucosa (iSGLT-2) para el manejo de la diabetes mellitus, con una incidencia de 0.16 a 0.75 eventos por 1,000 pacientes/año según reportes de ensayos controlados.9
Presentación del caso
Mujer de 41 años, residente de la ciudad de Chihuahua con antecedente de diabetes tipo 2 de dos años de diagnóstico, el cual debutó con cetoacidosis diabética, actualmente se encuentra en tratamiento a base de dapagliflozina 10 mg vía oral cada 24 horas, pioglitazona 15 mg cada 12 horas, así como insulina glargina 12 UI cada 24 horas. Menciona convivencia con animales domésticos, cuenta con tres perros, cuatro gatos y un conejo, los cuales habitan dentro y fuera de la vivienda, se menciona se encuentran infestados por garrapatas y pulgas. Cuenta con antecedente de hija fallecida una semana previa a su ingreso a la unidad de salud con diagnóstico confirmado de rickettsiosis.
Inicia su padecimiento cinco días previos a su ingreso con astenia, adinamia, mialgias y artralgias, así como mal estado general, se menciona aparición de lesión maculares en región torácica, abdominal y miembros torácicos, acudiendo a médico particular donde se inicia tratamiento sintomático, con evolución tórpida y aparición de somnolencia, por lo que acude al Servicio de Urgencias, a su llegada se observan signos vitales de tensión arterial (TA) 98/65 mmHg, frecuencia cardiaca (FC) 110 lpm, frecuencia respiratoria (FR) 30 rpm, temperatura 38 oC, SO2 98%.
Con datos destacables en la exploración física, disminución del estado de alerta caracterizado por somnolencia con escala de coma de Glasgow 10/15, con ruidos cardiacos aumentados en frecuencia y en intensidad, así como presencia de exantema de tipo petequial en extremidades superiores, tórax y abdomen.
En los estudios de laboratorio a su ingreso se observa aumento de transaminasas, así como trombocitopenia y desequilibrio hidroelectrolítico, los cuales se resumen en las Tablas 1 y 2.
Tabla 1: Laboratorios de ingreso.
| Resultados | |
|---|---|
| Biometría hemática | |
| Leucocitos | 4.50 K/µL |
| Eritrocitos | 3.70 M/µL |
| Hemoglobina | 14.60 g/dL |
| Hematocrito | 40% |
| Volumen corpuscular medio | 93 fL |
| Hemoglobina corpuscular media | 33 pg |
| Plaquetas | 50 K/µL |
| Procalcitonina | 0.430 ng/dL |
| Pruebas de funcionamiento hepático | |
| Bilirrubina total | 1.20 mg/dL |
| Bilirrubina directa | 0.60 mg/dL |
| Bilirrubina indirecta | 0.60 mg/dL |
| Albumina | 3.2 g/dL |
| Fosfatasa alcalina | 331 U/L |
| Transaminasa glutámico P | 211 UL |
| Transaminasa glutámico O | 282 U/L |
| Deshidrogenasa láctica | 543 U/L |
| Examen general de orina | |
| Color | Amarillo |
| Aspecto | Claro |
| Densidad | 1.007 |
| pH | 5 |
| Urobilinógeno | 0.200 mg/dL |
| Cetonas | 40 |
| Glucosa | 250 mg/dL |
| Sangre | 200 mg/dL |
| Leucocitos | 0-1 × campo |
| Eritrocitos | 100 × campo |
| Química sanguínea | |
| Ácido úrico | 1.8 mg/dL |
| Nitrógeno ureico | 9 mg/dL |
| Glucosa | 158 mg/dL |
| Creatinina | 0.4 mg/dL |
| Urea | 20 mg/dL |
| Electrolitos | |
| Sodio | 133 mg/dL |
| Potasio | 3 mg/dL |
| Cloro | 102 mg/dL |
Tabla 2: Gasometría arterial de ingreso a urgencias y unidad de cuidados intensivos (UCI).
| Gasometría arterial inicial | ||
|---|---|---|
| Urgencias | UCI | |
| pH | 7.45 | 7.45 |
| pCO2 (mmHg) | 27 | 24 |
| PO2 (mmHg) | 135 | 74 |
| Lactato (mmol/L) | 0.8 | 1.6 |
| Glucosa (mg/dL) | 119 | 164 |
| HCO3 (mmol/L) | 18.8 | 17.5 |
| BE (mmol/L) | -4 | -4.9 |
| SO2 (%) | 99 | 96 |
Se inicia reanimación hídrica por vía central y con tratamiento antibiótico a base de doxiciclina con dosis carga de 200 mg. A su llegada a la unidad de cuidados intensivos se evidencia acidosis metabólica descompensada (Winters 34) (Tabla 2).
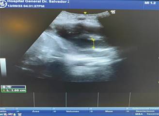
Durante su evolución, se evidencia deterioro hemodinámico con aumento de requerimiento de vasopresores con disminución de SvO2, en la ecocardioscopia se observa hipocinesia del ventrículo izquierdo con una integral velocidad tiempo de 11.1 cm/s, y diámetro de tracto de salida del ventrículo izquierdo de 1.65 cm, con gasto cardiaco de 2.38 L/min (Figura 1 y 2) como deterioro del estado ácido-base con presencia de acidosis metabólica de anión gap elevado (Tabla 3) concomitante con acidosis metabólica de anión gap normal.

Figura 2: Ecocardioscopia. Hipocinesia anterior con dilatación de ventrículo izquierdo con integral velocidad tiempo de 11.1 cm/seg.
Tabla 3: Gasometría arterial con datos de acidosis diabética de anión gap elevado con Δ de anión gap 4, Δ de bicarbonato 6 y Δ ratio 0.6.
| pH | 7.25 |
| pCO2 (mmHg) | 12 |
| PO2 (mmHg) | 63 |
| Lactato (mmol/L) | 1.1 |
| Glucosa (mg/dL) | 126 |
| HCO3 (mmol/L) | 5.3 |
| BE (mmol/L) | -19.3 |
| SO2 (%) | 87 |
Se realiza delta de SvO2 obteniendo 9%, así como colocación de línea arterial obteniendo índice de variabilidad de presión de pulso de 16%, por lo que se realiza ajuste a la reanimación hídrica, por hallazgos descritos se inicia tratamiento a base de dobutamina a 2 μg/kg/min, aunado al inicio de infusión de insulina a 0.05 UI/kg junto con solución glucosada al 10%, obteniendo mejoría gasométrica y hemodinámica paulatina (Figura 3), al contar con criterios de resolución se inicia insulina neutra, protamina y Hagedorn (NPH), y se desescala tratamiento vasopresor e inotrópico, se recaba resultado del laboratorio estatal de Chihuahua con serología de anticuerpos por Rickettsia typhi con títulos 1:152 y < 24.05 en R-PC, la paciente es egresada de la unidad de cuidados intensivos y posterior egresada a domicilio sin complicaciones.

Figura 3: Se aprecia comportamiento evolutivo de las monitorizaciones gasométricas, con cambios principalmente en el primer y segundo día desde su ingreso, correspondientes al desarrollo de cetoacidosis diabética euglucémica, así como su tendencia a la mejoría tras optimización del tratamiento a partir del tercer día de estancia en la unidad de cuidados intensivos.
Discusión
Dentro de la monitorización del paciente que sufre de un proceso séptico, la evaluación clínica continua permite la identificación de procesos patológicos adicionales que pueden potencialmente comprometer el pronóstico durante el tratamiento de la patología. La cetoacidosis euglucémica es un fenómeno que se ha identificado claramente en pacientes con procesos sépticos que se asocian a ayuno prolongado y uso de iSGLT-2, según describen Nasa y colaboradores en su revisión de los principales contextos de presentación de la cetoacidosis euglucémica.10 Biggs y su equipo describen los agentes etiológicos principalmente involucrados en los cuadros que comparten características clínicas similares, pero con importantes diferencias etiológicas y epidemiológicas, por ejemplo: la enfermedad de las Montañas Rocosas, causa de R. rickettsii o el tifo endémico, causado por R. typhi.11
Las infecciones por R. typhi pueden presentarse hasta en 4% como entidades que involucran el fracaso multiorgánico y un peligro importante e inminente para la vida del paciente, que se registran en numerosos reportes de caso, como Sakamoto y su grupo, quienes objetivan un caso producido por R. typhi Wilmington diagnosticado por reacción en cadena de la polimerasa (PCR, por sus siglas en inglés).12 Adicionalmente, pueden comportarse como factor precipitante para la descompensación aguda de una enfermedad crónico-degenerativa, en este caso, provocando la deficiencia relativa de insulina, con la consecuente descompensación metabólica y la ausencia de elevación usual de la glucosa, siendo elementos fundamentales de la fisiopatología de la cetoacidosis euglucémica en el reporte de Nasa y colaboradores.10 En nuestro paciente se identifica la interacción del proceso séptico por la sospecha clínica y epidemiológica de rickettsiosis, que es compatible a las manifestaciones generales descritas por Caravedo y su equipo en su reporte sobre manifestaciones clínicas de la infecciones por rickettsias,13 con presentación de choque séptico, siendo una complicación relativamente rara, como demuestra la cohorte de 90 pacientes realizada por Afzal y su grupo del que se obtienen cuatro pacientes con dicho diagnóstico,14 el antecedente de diabetes mellitus tipo 2 mal controlado y la administración de dapagliflozina como tratamiento. Inicialmente, la paciente es tratada con la pauta de doxiciclina usual justificada en la pauta utilizada por Caravedo y colaboradores y la paciente es tratada con las dosis de doxiciclina usual utilizada por Carvedo y colaboradores, así como la Infectious Diseases Society of America (IDSA por sus siglas en inglés).11,13
A pesar del apoyo vasopresor, la antibioticoterapia oportuna y la vigilancia clínica estrecha, debuta un evento de acidosis metabólica de anión gap elevado, sin hiperglucemia significativa, que incluye evidencia clínica e imagenológica de depresión miocárdica importante, por lo que se realiza el diagnóstico de cetoacidosis diabética euglucémica relacionada a iSGLT-2. El mecanismo principal para la aparición de este fenómeno es la reducción de la reabsorción de glucosa en el túbulo proximal, con la consecuente glucosuria y, adicionalmente, la reducción del aclaramiento de beta-hidroxibutirato y acetoacetato en el riñón, hallazgos descritos en el reporte de tres casos clínicos realizados por Lucero y colaboradores, donde se expone la ausencia común de hiperglicemia.15 Los pacientes usuarios de iSGLT-2 tienen un riesgo siete veces mayor de acidosis en diabetes mellitus tipo 2, posiblemente también relacionados a niveles incrementados de glucagón o posiblemente mediados por efectos directos en las células alfa pancreáticas, según la información obtenida de la cohorte de 259 reportes de acidosis metabólica asociados a iSGLT-2 del estudio FDA´s Adverse Event Reporting System (FAERS) realizado por Blau y su equipo.16
El tratamiento está fundamentado en los mismos principios de la cetoacidosis diabética, con la implementación de infusión de insulina, la corrección de los electrolitos y la deshidratación. Se recomienda el inicio de la rehidratación con cristaloides balanceados, posteriormente debe utilizarse una infusión intravenosa de insulina hasta la corrección el anión gap, con concomitante uso de administración de dextrosa al 10 o 5% para evitar hipoglicemia y cetogénesis, hasta obtener la posibilidad de realizar el traslape a insulina subcutánea y restitución de la vía oral utilizado por Nasa y su equipo y a las guías de estándares del tratamiento de la diabetes mellitus de 2024 de la American Diabetes Association (ADA).10,15,17 En nuestro paciente, se inicia la infusión de insulina a 0.05 UI/kg/hora, con infusión de solución glucosada hasta cumplir criterios de resolución de la cetoacidosis diabética, para finalizar con un traslape exitoso, que se traduce a la mejoría subsecuente y a la posibilidad de reducir y suspender el estímulo adrenérgico e inotrópico, siendo posible el egreso del paciente de la unidad de cuidados intensivos.
Conclusiones
La supervivencia de los pacientes que presentan rickettsiosis radica en el inicio temprano del antibiótico, así como el oportuno sostén hemodinámico. Se debe realizar hincapié sobre la prevención en zonas endémicas como el estado de Chihuahua, de igual manera realizar capacitación continua a personal médico para el reconocimiento oportuno de la sintomatología antes de establecerse la falla multiorgánica. Por desgracia, la evidencia disponible al momento es insuficiente debido a la falta de reporte de casos y la escasa literatura basada en la epidemiología mexicana y, por ende, la facilidad que se tiene para pasar por alto los síntomas hasta que la enfermedad muestra datos de complicaciones y elevada mortalidad. El pronóstico de nuestra paciente se debió al reconocimiento inmediato debido al interrogatorio dirigido y antecedentes familiares de importancia, así como la instauración rápida del tratamiento tanto en el caso de la rickettsiosis como en el caso de la cetoacidosis euglucémica.














