Introducción
La fractura del epicóndilo medial del húmero en niños es la tercera más común, representando 20% de las fracturas de codo en esta población.1 Afecta con mayor frecuencia a varones en una proporción de 3:1.2 Su mecanismo típico de trauma es una caída al piso con el antebrazo y codo extendidos, con una fuerza aplicada en valgo sobre el codo. En 50% de los casos se asocia con luxación del codo, y alteraciones del nervio cubital (neuropraxia) pueden presentarse en hasta en 10-15% de los pacientes.3
El tratamiento de esta fractura sigue siendo controvertido en la literatura, con algunos puntos de consenso, como la indicación de tratamiento conservador para fracturas con desplazamiento menor de 5 mm.4,5 Sin embargo, pacientes con fractura expuesta del epicóndilo medial, codos inestables, epicóndilo encarcelado en la articulación y síntomas de lesión del nervio cubital, presentan mayor indicación de tratamiento quirúrgico.4,5 Los pacientes con fractura del epicóndilo medial con desplazamiento mayor de 5 mm, pero que no cumplan los criterios mencionados anteriormente para la cirugía, carecen de consenso sobre su tratamiento. En estos casos, el tratamiento puede ser conservador o quirúrgico, y la decisión puede compartirse con la familia.4,6,7
El tratamiento quirúrgico, cuando está indicado, puede realizarse de varias maneras. El paciente puede posicionarse en decúbito dorsal, lateral o ventral. La fijación de los fragmentos puede realizarse con agujas de Kirschner, banda de tensión, anclas, tornillos sin cabeza de compresión automática, clavos absorbibles o, como se realiza comúnmente, con tornillo canulado con o sin arandela.2,7,8,9
Howard, Slongo y Monsell, en el «Surgical Reference» publicado en el sitio web de la AO Foundation, describen la técnica «Inside-out» para la fijación del epicóndilo medial. Esta técnica detalla la preparación de la fijación desde la porción interna de la fractura hacia la externa, seguida de la fijación con un tornillo canulado desde la porción externa hacia la interna.10
El objetivo de este artículo es describir nuestra experiencia con esta técnica, sus resultados y complicaciones.
Material y métodos
Este estudio fue aprobado por el Comité de Ética e Investigación bajo el número CAAE: 83376824.4.0000.5225.
Se trata de un estudio transversal, retrospectivo, observacional y no intervencionista, en el cual se evaluaron los expedientes de niños y adolescentes con fractura del epicóndilo medial, sometidos a tratamiento quirúrgico utilizando la técnica «Inside-out» en un hospital de trauma terciario. El estudio incluye la descripción de la técnica quirúrgica y del manejo postoperatorio.
Criterios de inclusión: pacientes con esqueleto inmaduro y fracturas del epicóndilo medial operados con la técnica «Inside-out» entre Enero de 2020 y Junio de 2024. Criterios de exclusión: pacientes con seguimiento postoperatorio menor de seis meses o con expedientes clínicos incompletos.
La técnica quirúrgica fue la misma para todos los pacientes, siguiendo los pasos descritos a continuación:
Posicionamiento del paciente en decúbito dorsal.
Abordaje sobre el epicóndilo medial.
Identificación del nervio cubital para su protección.
-
Perforación central en la metáfisis del sitio de la fractura en el húmero con una guía de 1.25 mm para tornillo canulado de 3.5 mm (Figura 1).
-
Perforación central de la metáfisis con una broca canulada de 2.7 mm (Figura 2).
-
Perforación central del fragmento del epicóndilo medial con la guía de 1.25 mm del tornillo canulado de adentro hacia afuera (desde el foco de la fractura hacia la porción externa) (Figura 3).
-
Perforación del fragmento con broca canulada de 2.7 mm (Figura 4).
-
Inserción de la guía desde la porción externa del epicóndilo hacia la interna (Figura 5).
-
Avance de la guía hacia la metáfisis del húmero en el sitio previamente perforado (Figura 6).
-
Reducción automática del epicóndilo (Figura 7).
Fijación de la fractura con el tornillo canulado de 3.5 mm (Figura 7).
Cierre de la herida quirúrgica.
Cuidados postoperatorios
Inmovilización con férula de yeso braquiopalmar durante dos semanas, retiro de puntos en el mismo período, seguido por el inicio de la movilidad activa. Se recolectaron los siguientes datos epidemiológicos: sexo, edad, lado afectado y tiempo de seguimiento.
Se evaluaron el mecanismo de trauma, presencia o no de fractura expuesta, luxación del codo y encarcelamiento del epicóndilo medial, así como la ocurrencia de lesiones asociadas.
Se analizaron complicaciones intraoperatorias, movilidad postoperatoria, complicaciones postoperatorias (rigidez articular, incomodidad con el material de síntesis, inestabilidad y lesiones nerviosas), consolidación de la fractura y necesidad de una segunda cirugía. Los resultados funcionales fueron evaluados con el puntaje QuickDASH (Figura 8).
Análisis estadístico: se calcularon resúmenes univariados de datos demográficos de los pacientes utilizando estadísticas descriptivas estándar, incluyendo promedios e intervalos para variables continuas y frecuencias para variables categóricas.
Resultados
Se evaluaron retrospectivamente los expedientes de 21 niños y adolescentes con fracturas del epicóndilo medial tratados con la técnica «Inside-out» entre Enero de 2020 y Junio de 2024.
Se incluyeron 13 (61.9%) pacientes de sexo masculino y ocho (38.1%) de sexo femenino. El lado derecho fue afectado en 15 (71.4%) casos. La edad varió de nueve a 16 años (promedio de 13 años), y el seguimiento promedio fue 19 meses (rango 6-54 meses).
El trauma indirecto fue el mecanismo de lesión en todos los casos; de éstos, nueve pacientes (42.8%) sufrieron caídas de bajo nivel, cinco durante actividades deportivas (23.8%), cuatro en caídas de bicicleta (19.1%), dos en caídas de patines (9.5%) y uno en arrollamiento (4.8%) (Tabla 1).
Tabla 1: Datos epidemiológicos.
| Sexo | Edad (años) | Lado | Seguimiento (meses) | Mecanismo del trauma | Fractura expuesta | Luxación codo | Fractura asociada |
|---|---|---|---|---|---|---|---|
| M | 14 | D | 4 a 6 | Caída mismo nivel | No | Sí | No |
| M | 15 | D | 1 a 7 | Trauma deportivo | No | Sí | No |
| M | 13 | D | 1 a 8 | Caída mismo nivel | No | No | No |
| M | 11 | D | 1 a 4 | Caída mismo nivel | No | Sí | No |
| F | 12 | D | 1 a 5 | Caída mismo nivel | No | No | Sí |
| M | 15 | D | 1 a 1 | Trauma deportivo | No | No | No |
| F | 13 | I | 10 | Caída mismo nivel | No | No | No |
| F | 10 | D | 8 | Caída bicicleta | No | No | No |
| M | 14 | D | 1 a 3 | Trauma deportivo | No | No | No |
| M | 14 | D | 7 | Caída bicicleta | No | No | No |
| M | 12 | D | 4 años | Caída mismo nivel | No | No | No |
| M | 16 | I | 11 | Trauma deportivo | No | No | No |
| M | 15 | I | 2 a 4 | Caída bicicleta | No | No | No |
| F | 14 | D | 2 a 9 | Atropello | No | Sí | No |
| F | 9 | I | 3 a 4 | Caída bicicleta | No | Sí | No |
| F | 10 | I | 3 a 5 | Caída mismo nivel | No | No | No |
| M | 16 | D | 6 | Trauma deportivo | No | No | No |
| F | 12 | D | 7 | Caída de patines | No | Sí | No |
| F | 10 | D | 1 a 6 | Caída mismo nivel | No | No | No |
| M | 14 | I | 9 | Caída mismo nivel | No | Sí | No |
| M | 16 | D | 6 | Caída de patines | No | Sí | No |
D = derecho. F = femenino. I = izquierdo. M = masculino.
No se observaron casos de fracturas expuestas en esta muestra. Hubo ocho (38%) luxaciones de codo con encarcelamiento del epicóndilo medial y un paciente con fractura ipsilateral del cuello radial, tratada con clavo flexible según la técnica de Metaizeau11 (Tabla 1).
No se reportaron complicaciones intraoperatorias. En cuanto a las complicaciones postoperatorias, un paciente presentó limitación de 5o en la extensión (movilidad final de 5/140o); ningún paciente tuvo pérdida de amplitud de movimiento para la flexión o la pronosupinación. Todas las fracturas consolidaron, y no se observaron lesiones neurológicas ni inestabilidad en valgo tras la fijación de la fractura (Figuras 9 y 10). Cuatro (16%) pacientes reportaron molestias en la inserción de la cabeza del tornillo (dos requirieron su extracción, mientras que dos optaron por no retirarlo). Un paciente (4.7%) presentó cicatriz hipertrófica (Tabla 2).

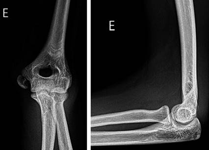
Figura 9: Radiografía en proyección anteroposterior y lateral de una paciente de 15 años con fractura del epicóndilo medial.

Figura 10: Radiografía en proyección anteroposterior y lateral, dos años después de la cirugía de fractura del epicóndilo medial del húmero fijada con la técnica «Inside-out».
Tabla 2: Complicaciones y resultado funcional.
| Categoría | Sí | No |
|---|---|---|
| Complicaciones perioperatorias | 0 | 21 |
| Pérdida de movilidad | Un paciente (déficit de 50o en extensión)* | 20 |
| Consolidación | 21 | 0 |
| Lesión neurológica | 0 | 21 |
| Inestabilidad en valgo | 0 | 21 |
| Quejas relacionadas con el material de síntesis | 4 pacientes‡ | 17 |
| Segunda cirugía | 2 pacientes (extracción de tornillo canulado)§ | 19 |
| QuickDASH score igual a cero | 17 | 4 (2.27, 2.27, 9.1, 11.4)¶ |
* Un paciente con flexoextensión de 5o a 140o.
‡ Cuatro pacientes con molestias relacionadas con el tornillo canulado.
§ Dos pacientes se sometieron a la extracción del tornillo canulado.
¶ QuickDASH score: resultados diferentes de 0 (0 indica ausencia de quejas).
DASH = Disabilities of the Arm, Shoulder and Hand (discapacidades del brazo, hombro y mano). QuickDASH score = prueba rápida DASH.
En la evaluación funcional mediante el QuickDASH score, el promedio fue 1.1, con un rango de 0 a 11.4. El peor resultado correspondió a un paciente con dolor en el sitio del tornillo, que mejoró tras la remoción del mismo (Tabla 2).
Discusión
La mejor forma de tratar las fracturas del epicóndilo medial del húmero y la superioridad del tratamiento quirúrgico sobre el conservador siguen siendo controvertidas en la literatura mundial. El metaanálisis realizado por Kamath y colaboradores,3 y la revisión sistemática de Pezzutti y asociados.8 no mostraron diferencias en los resultados funcionales entre los tratamientos conservador y quirúrgico. Sin embargo, el tratamiento conservador está asociado con mayor tasa de seudoartrosis del epicóndilo medial, que alcanza entre 50 y 90% de los casos. De éstas, 21% son sintomáticas, causando inestabilidad en valgo, dolor crónico y lesión del nervio cubital.8,12,13 El tratamiento quirúrgico tiene la ventaja de lograr consolidación en hasta 96% de los casos, permitiendo una movilidad articular precoz, especialmente con el uso de implantes más estables.8
Hallwachs y colegas13 señalan que las recomendaciones actuales para el tratamiento quirúrgico se centran menos en el grado de desplazamiento del fragmento y más en factores como la energía del trauma, la exposición de la fractura, el encarcelamiento del epicóndilo medial, la disfunción del nervio cubital, la inestabilidad en valgo y el retorno al deporte competitivo o al trabajo.
En cuanto al posicionamiento del paciente para la cirugía, se consideran las siguientes posibilidades: decúbito dorsal, lateral o ventral. Usamos el decúbito dorsal en nuestros pacientes. El decúbito ventral facilita el abordaje y la reducción del epicóndilo medial, pero puede ser incómodo para el procedimiento anestésico. El decúbito dorsal, aunque puede dificultar la reducción debido a la posición posteromedial del epicóndilo en relación con el plano frontal del codo, facilita el procedimiento anestésico. Glotzbecker y su equipo14 encontraron que el posicionamiento no afecta los resultados de la fijación, por lo que recomendamos elegir según la preferencia del cirujano.
Rickert y colaboradores15 compararon, desde un punto de vista biomecánico y clínico, la fijación del epicóndilo medial con agujas de Kirschner, tornillos canulados y anclas con suturas absorbibles. En un modelo porcino, la fijación con tornillo canulado fue la más rígida y estable, fallando por erosión del epicóndilo alrededor del tornillo. En el caso de las agujas de Kirschner, el epicóndilo sufrió avulsión; mientras que, en la fijación con anclas, la falla ocurrió por avulsión del anclaje. Los mismos autores evaluaron clínicamente a pacientes menores de 10 años y encontraron que los tratados con tornillos canulados lograron movilidad precoz, pero presentaron mayor irritación de tejidos blandos, requiriendo una segunda cirugía para retirar el tornillo. Por otro lado, los tratados con anclas presentaron la menor tasa de reoperaciones (10%). Hallwachs cita la fijación con tornillo canulado como el «estándar de oro» para las fracturas del epicóndilo medial.
En nuestra serie de casos, utilizamos el puntaje QuickDASH para evaluar los resultados funcionales, obteniendo excelentes resultados, similares a los reportados en la literatura.16,17,18 Las quejas reportadas por nuestros pacientes estuvieron relacionadas con la incomodidad causada por el tornillo en el sitio de inserción en cuatro pacientes.
La tasa de consolidación de fracturas del epicóndilo medial tratadas quirúrgicamente reportada en la literatura es de 96%,8 sin diferenciar entre los diferentes métodos de fijación. En nuestra serie, todos los pacientes fueron tratados con fijación «Inside-out» utilizando un tornillo canulado, logrando consolidación en todos los pacientes. No se reportaron casos de inestabilidad en valgo tras la estabilización y consolidación de las fracturas, manteniéndose todos los codos estables. La seudoartrosis se describe en la literatura como un factor asociado a la inestabilidad en valgo. Creemos que el tratamiento quirúrgico mejora las tasas generales de consolidación de estas fracturas, reduciendo el riesgo de evolución hacia la inestabilidad.3,19 Tuvimos un paciente con síntomas de neuropraxia del nervio cubital, que mejoró tras la cirugía, y no se observaron síntomas de lesión nerviosa en el postoperatorio.8
La limitación de movilidad tras la lesión, especialmente en la flexoextensión del codo, es una de las mayores complicaciones.20,21,22 Este déficit está muy relacionado con el daño extenso de tejidos blandos. En nuestra serie, un solo paciente presentó pérdida de movilidad, con una limitación de 5o en extensión. La fijación estable permitió una movilización precoz a las dos semanas postoperatorias, logrando un retorno completo de la movilidad articular en la mayoría de los pacientes.
Una complicación intraoperatoria descrita que dificulta la fijación es la fragmentación del epicóndilo medial durante la fijación con tornillo canulado.2,13,23 En nuestra serie, no se observaron fragmentaciones del epicóndilo medial, lo que representa una de las principales ventajas de la técnica «Inside-out». Al realizar la fijación desde la parte interna hacia la externa del epicóndilo, la guía se inserta en el centro del epicóndilo, disminuyendo el riesgo de fractura iatrogénica, sin necesidad de usar arandela, otro factor que puede causar incomodidad en el epicóndilo medial.23
La complicación más prevalente en nuestro estudio fue la incomodidad causada por la prominencia de la cabeza del tornillo canulado, lo que constituye el principal motivo de reoperación para retirar el tornillo tras la consolidación. En la literatura, se describe una tasa de extracción del material de síntesis de 41%24 a 46%25 por este motivo. En nuestra serie, cuatro pacientes reportaron incomodidad, de los cuales dos requirieron retirar el tornillo, logrando resolución de los síntomas.
Un paciente presentó una cicatriz hipertrófica, complicación también descrita en el estudio de Wilson y col.26
Nuestro estudio tiene limitaciones que deben ser reconocidas. La naturaleza retrospectiva del diseño puede haber introducido sesgos en la selección de los pacientes, además de las limitaciones inherentes a la recopilación de datos. El tamaño de la muestra es limitado debido a la baja prevalencia de esta fractura en el codo y a que no todas las fracturas tienen indicación quirúrgica. Otra limitación es la edad promedio de nuestros pacientes, de 13 años; como sólo tuvimos dos pacientes menores de 11 años, no podemos afirmar que la técnica sea igualmente eficiente en pacientes más jóvenes. A pesar de estas limitaciones, todos los pacientes fueron tratados siguiendo los mismos pasos, permitiendo un análisis consistente del método.
Conclusión
La técnica «Inside-out» demostró ser una buena alternativa para el tratamiento quirúrgico de fracturas del epicóndilo medial en niños, proporcionando seguridad en la fijación, evitando la fragmentación, favoreciendo la consolidación, permitiendo una movilización precoz y presentando pocas complicaciones significativas.






















