Introduction
Bladder cancer is the tenth most diagnosed cancer worldwide, and urothelial carcinoma is the most common histologic subtype.1 Neuroendocrine tumors commonly affect the gastrointestinal and respiratory tracts, but they are scarce in urinary bladder specimens and are found in less than 1 % of cancers in this location.2 Cramer first described primary small-cell neuroendocrine carcinoma of the bladder in 1981,3 and until now, the literature is limited, so treatment, prognosis, and pathogenesis are uncertain.
The fifth edition of the World Health Organization (WHO) classification of Tumors of the Urinary System and Male Genital Organs includes it. It classifies primary neuroendocrine tumors of the urinary tract based on the differentiation grade into the following types: well-differentiated neuroendocrine tumors, small-cell neuroendocrine carcinoma, large-cell neuroendocrine carcinoma, and paraganglioma. A separate section describes tumors with neuroendocrine and non-neuroendocrine epithelial components, called mixed neuroendocrine tumors or MiNENs.4 This tumor is highly aggressive, presents four times more frequently in men than women, and usually affects older patients with a mean age of 66.5
Clinical presentation of MiNEN of the urinary bladder is like those described for small cell carcinoma alone, and the most common symptom is gross hematuria.6 In a recent study, researchers found no differences in age, sex, race distribution, tumor size, stage at presentation, therapy response with pathological downstaging to ≤pT1N0, or overall or progression-free survival between pure small cell carcinoma and mixed tumors.7 However, small-cell carcinoma of the urinary bladder alone has a worse In 57 % of them, there is already lymph node involvement, and in 28 to 50 %, there is lung, bone, liver, and/or brain compromise. Most patients had a history of chronic cystitis, cystolithiasis, or tobacco exposure.6
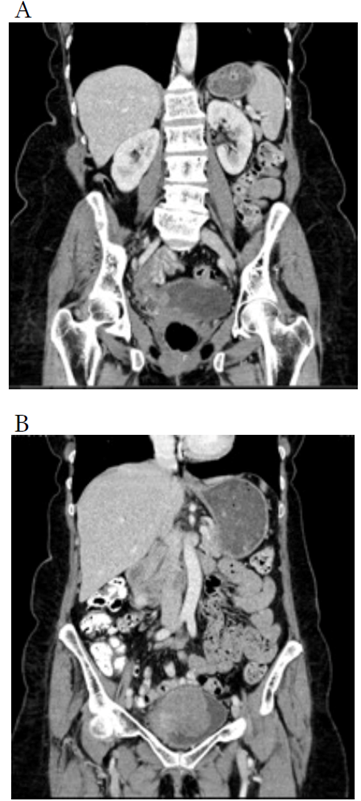
We aimed to describe the case of a woman diagnosed with concomitant primary small-cell neuroendocrine carcinoma and high-grade papillary urothelial. (Figure 1).
Case report
She was a 63-year-old woman with no history of exposure to toxic substances or previous pathologies. She came to the emergency room complaining of five months of unintended weight loss, hypogastric pain, mass sensation, and urinary storage symptoms: daily frequency, nocturia, urgency, and urgency urinary incontinence, and gross hematuria. She received non-steroidal anti-inflammatory drugs. Physical examination revealed cachexia and hypogastric tenderness associated with a palpable solid mass. Laboratory tests showed moderate anemia (hemoglobin 8.9 gr/dl, hematocrit 28.3 %), mild thrombocytosis (500.000/uL), and an elevated C-Reactive Protein (14.26 mg/dL) with no other abnormal values among ionogram, serum creatinine, or lipid profile. The abdominopelvic scan revealed an intravesical mass, measuring 63x70x71mm, compromising the anterior and superior bladder walls, infiltrating the muscular layer, associated with increased fat attenuation (Figure 1. A), and another 11 mm polypoid lesion at the posterolateral right wall. (Figure 1. B). Thorax and brain scans were negative for metastatic compromise.
The surgeon found the two previously described exophytic lesions during the tumor resection. They appeared to infiltrate the muscular layer of the bladder and were partially resected because of their extension. She received an intraoperative transfusion of red blood cells due to low hemoglobin levels.
The urinary cytology reported a high-grade urothelial carcinoma (Figure 2. A). The pathology revealed a high-grade papillary urothelial carcinoma with an invasion of the muscular layer of the bladder (Figure 2. B).
Because of these findings, we offered neoadjuvant chemotherapy. However, we could not do so because of her social and demographic conditions. Then, we performed a radical cystectomy with extended pelvic lymphadenectomy and cutaneous bilateral ureterostomies. The complete resection of the tumor was not possible due to its local pelvic extension (infiltrating pelvic muscle layer and pelvic vessels).
Grossly, two masses were identified: one comprising the superior and the anterior wall, and the other forming the posterolateral right wall of the bladder. They ranged in size from 5,5 to 15 mm, were solid, whitish-to-purplish in appearance, and extended to the perivesical adipose tissue. The histomorphological features showed concomitant invasive high-grade papillary urothelial carcinoma and a poorly differentiated malignant solid tumor composed of small to intermediate-sized round blue cells with some areas characterized by organoid growth pattern configuration suggesting a neuroendocrine tumor (Figure 3). Both tumors invaded up to the soft perivesical tissue and showed lymphovascular invasion. The distal ureters did not show malignant compromise. The pelvic right lymph nodes were positive for metastatic urothelial carcinoma. The uterus had an endometrial polyp and was globally atrophied.
Immunohistochemistry tests were performed (Ventana platform immunohistochemistry; Ventana Medical Systems, Tucson, AZ). The urothelial carcinoma component expressed pan-cytokeratin (AE1/ AE3) and GATA-3 (Figure 4).
It was negative for neuroendocrine markers, while the second tumor expressed neuroendocrine markers (Synaptophysin, CD56) and cytokeratin CAM 5.2 with negativity for urothelial markers, consistent with a small cell neuroendocrine carcinoma (Figure 5).

Figure 5 Immunohistochemistry showing poorly differentiated malignant component expressing neuroendocrine markers.
Consequently, she only received two cycles of adjuvant chemotherapy with cisplatin and gemcitabine because of her social and demographic conditions. Six months after the surgery, the patient came into the emergency room complaining of severe abdominal pain and constipation. She was in general critical condition, with signs of peritoneal irritation. However, her family refused invasive interventions, and the patient died minutes after the admission.
Discussion
A percentage of neuroendocrine carcinoma of the urinary bladder contains a non-neuroendocrine component, represented mainly by urothelial carcinoma in 20-60 % of cases and less frequently by squamous cell carcinoma or adenocarcinoma.6,7 The neuroendocrine component most encountered is small cell carcinoma. These mixed tumors can be named MiNENs, resembling similar tumors arising in the digestive tract, where each element represents at least 30 % of the tumor mass. This cutoff point has been arbitrarily defined in literature because a lesser quantity is unlikely to influence the biology of the whole tumor.8
In general terms, a MiNEN can be classified into three types based on the spectrum of their distinct components, identified morphologically and immunohistochemically: collision, composite, and amphicrine MiNEN. Collision MiNEN occurs when there is proximity without mixing of two coexisting malignant cell tumors, and they remain topographically separated without transition between them. Composite MiNEN occurs when the components coexist in an intermingled population, or there is a predominant component and a focal area of another lesser component. Amphicrine MiNEN comprises a single-cell population that displays the phenotypes of at least two neoplasms.9,10,11
We identified multiple foci of tumors, and the histomorphology revealed boundaries between the two components. However, in some areas, they showed intimate proximity and even mixing between the two populations (Figure 3). The long-standing question with this finding is: Was it an accidental meeting of two synchronous tumors colliding and then transitioning into a composite one, or does one tumor originate from the other? Many theories could answer those questions, and no one may satisfy all scenarios. One common carcinogen could give rise to both cancers, but the cell of origin may be unknown at this point of diagnosis.
In the case of small cell neuroendocrine carcinoma of the bladder, no specific etiology has been reported. Still, the same risk factors associated with urothelial carcinoma are implicated in this tumor. There are several hypotheses regarding the origin: the most known is that small cell neuroendocrine carcinoma has a urothelial origin due to the frequent association with conventional urothelial carcinoma so that it could be transdifferentiation from the latter. Others stand for malignant transformation of Kulchitsky-type neuroendocrine cells within the normal bladder or originating from a multipotential, undifferentiated cell (or cancer stem cell).12,13
The histologic findings for neuroendocrine carcinomas consist of sheets of small, round to oval cells with scant cytoplasm, nuclear molding (75 % of the cases), inconspicuous nucleoli, and a high mitotic rate. It may be accompanied by necrosis and an inflammatory background (40 % of the cases).6,14 Differential diagnosis includes high-grade lymphoma like - urothelial carcinoma, non-Hodgkin lymphoma, round cell metastasis, and poorly differentiated urothelial carcinoma. Immunohistochemistry studies typically demonstrate neuroendocrine differentiation, but a lack of expression of these markers does not exclude the diagnosis. Most bladder small cell neuroendocrine carcinoma express neuroendocrine markers, such as synaptophysin, chromogranin, CD56, and neuron-specific enolase, but not urothelial markers. Others include positivity for TTF-1. In contrast, urothelial carcinoma usually expresses urothelial markers but not neuroendocrine markers.6,13 We ruled out most differentials, and the final analysis concluded the presence of two different carcinomas, as stated.
Rarely do some lymph node metastases have collision patterns. That could indicate that the metastasis developed before the differentiation of its components, but then they differentiated into collision tumors.6 In our case, we found a urothelial carcinoma metastasis in the pelvic right lymph nodes.
There is no consensus regarding the treatment for these patients. They may need a multimodal approach, including transurethral resection of the bladder tumor, radical cystectomy,6 neoadjuvant or adjuvant chemotherapy, radiotherapy, and/ or immunotherapy.
Transurethral resection of the tumor as monotherapy should only be a palliative option, given that it is associated with a median overall survival of 3 to 6 months. When combined with radiotherapy, overall survival becomes 5 to 6.5 months.
Patients with disease Stage I to III treated with local radiotherapy combined with multiagent chemotherapy have an overall survival of 70% at two years, 44% at five years, and disease-free survival of 70% at 2 and 5 years.15
Choong et al. reported a cure rate of 75 % for radical cystectomy among 44 patients with stage II disease.16 The cancer-specific survival rate for patients who undergo only cystectomy is 36 % at five years, with a median cancer-specific survival of 23 months. Platinum-based chemotherapy is the only survival predictor in the multivariate analysis regarding prognosis. Nevertheless, adjuvant chemotherapy appears to have no benefit in survival.16 Besides, it is challenging to obtain cases of neoadjuvant chemotherapy.17
Patients with small cell neuroendocrine carcinoma present a poor prognosis. Jiang et al. reported an overall survival rate of 57.7 % at one year, 36.94 % at two years, 16.61 % at three years, and 2.97% at four years, with a median overall survival of 20.54 months.18 Choong et al. reported 5-year survival rates for patients with Stage II, III, and IV disease of 63.6 %, 15.4 %, and 10.5 %, respectively.15 Sehgal et al. found a median survival from 4 to 23 months and overall survival at five years from 10 % to 40 %. Some proposed poor prognosis factors are age, performance status, the local and distant extent of the tumor, perineural and lymphovascular invasion, and type of tumor-pure vs. mixed histology. Nonetheless, evidence is scarce, and results are ambiguous.
Conclusions
A MiNEN composed of small-cell neuroendocrine carcinoma and high-grade papillary urothelial carcinoma of the urinary bladder is a sporadic disease. It usually presents at advanced stages and is associated with poor prognosis. It requires histological and immunohistochemical studies for its diagnosis, and it is typically impossible to know the exact biology that connects these types of carcinomas. There is no consensus regarding the therapeutic approach, but patients should receive multimodal management.


















