Introducción
El síndrome de Klippel-Feil, descrito inicialmente en 1912 por Maurice Klippel y André Feil, es una condición poco común caracterizada por la fusión congénita de vértebras cervicales.1 Esta fusión puede ocurrir en un único bloque (tipo I), en espacios intervertebrales no contiguos (tipo II) o en múltiples segmentos cervicales contiguos (tipo III).2 Aunque tradicionalmente se ha asociado con una tríada de síntomas (baja implantación del cabello en la nuca, cuello corto y limitación de la movilidad cervical) esta presentación clásica solo se encuentra en menos de 50% de los casos.2,3 La expresión fenotípica del síndrome de Klippel-Feil es variable y puede presentarse con o sin manifestaciones extraesqueléticas o anomalías espinales adicionales.1-3 Los pacientes pueden experimentar una amplia gama de síntomas, desde asintomáticos hasta neurológicos, incluyendo compresión medular o radicular, así como trastornos disráficos, anomalías esqueléticas y sistémicas.3,4 El diagnóstico se basa en la exploración física y pruebas de imagen, y el tratamiento puede incluir opciones conservadoras o quirúrgicas, dependiendo de la gravedad y la naturaleza de las lesiones.3,4
Presentación del caso
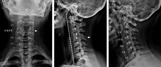
Se trata de paciente femenino de 14 años, que acudió a la consulta con síntomas de dolor cervical unilateral intermitente, cefalea relacionada con la flexión/extensión del cuello y ocasional mareo, sin antecedentes de traumatismos. En la exploración, se observó un cuello corto, dolor en la palpación de la musculatura cervical y limitación en la hiperextensión y rotación cervical. La radiografía simple de columna cervical reveló sinostosis en C4-C5, rectificación de la lordosis cervical y limitación en los rangos de movilidad (Figura 1). Se inició tratamiento analgésico y miorrelajantes, con mejoría clínica.
Discusión
El síndrome de Klippel-Feil es un trastorno poco común que causa la fusión anormal de las vértebras cervicales. Aunque es raro, los pacientes con este síndrome tienen mayor riesgo de lesiones en la columna cervical, incluso con traumas menores. El diagnóstico temprano y el tratamiento adecuado son esenciales para prevenir complicaciones neurológicas y mejorar la calidad de vida.
En este caso, los síntomas neurológicos de la paciente estaban relacionados con sinostosis en C4-C5 y limitación en la movilidad cervical. El tratamiento incluyó analgésicos y miorrelajantes que mejoraron su estado clínico; sin embargo, el manejo a largo plazo del síndrome de Klippel-Feil puede requerir un enfoque multidisciplinario con fisioterapia, asesoramiento genético y seguimiento regular con especialistas en columna vertebral.
Conclusión
El caso clínico presentado resalta la importancia de la identificación temprana y el tratamiento adecuado del síndrome de Klippel-Feil para prevenir complicaciones neurológicas y mejorar la calidad de vida de los pacientes. Es esencial que los médicos y especialistas estén familiarizados con esta afección y puedan ofrecer un enfoque integral y personalizado para su manejo.
Si desea consultar los datos complementarios de este artículo, favor de dirigirse a editorial.actamedica@saludangeles.mx
















