Introducción
Los senos de Valsalva son dilataciones de la pared aórtica localizadas entre el anillo valvular aórtico y la unión sinotubular. Su localización se encuentra en relación con las arterias coronarias, por lo que se designan como seno coronario izquierdo, coronario derecho y seno no coronario. El aneurisma del seno de Valsalva es una dilatación del mismo ocasionada por falta de continuidad entre la capa media de la pared aórtica y el anillo valvular.1
Presentación del caso
Varón de 54 años que acudió al Servicio de Urgencias de nuestro hospital por un síncope con recuperación posterior en segundos al realizar ejercicio físico. El paciente no presenta comorbilidades significativas conocidas.
A la exploración física, electrocardiograma (ECG) y rayos X de tórax posteroanterior (PA) y lateral fueron normales. En las pruebas de laboratorio destacó dímero D elevado (3,797 ng/mL), por lo que se solicitó una angio-TC de arteria pulmonar para descartar tromboembolismo pulmonar (TEP) como causa del síncope.
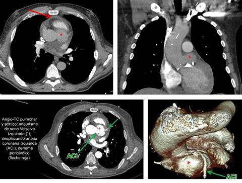
El estudio fue negativo para TEP, pero reveló la presencia de un discreto derrame pericárdico y una válvula aórtica severamente calcificada con alteración morfológica de la raíz aórtica, en la que se identificaba una imagen ovalada parcialmente calcificada en su margen basal en íntima relación con el seno coronario izquierdo, que sugería corresponder con un aneurisma del mismo, de aproximadamente 23 mm de diámetro máximo.
Ante los hallazgos y tras valoración del paciente por Servicio de Cardiología y realización de ecocardiografía reglada, se completó el estudio con una angio-TC de aorta torácica con sincronización cardiaca, que confirmó la sospecha diagnóstica de aneurisma del seno de Valsalva izquierdo con una válvula aórtica severamente desestructurada y de apariencia bicúspide (Figura 1).
Discusión
Los aneurismas de los senos de Valsalva son dilataciones anómalas de la raíz aórtica entre el anillo valvular y la unión sinotubular de la aorta ascendente que, aunque raros, pueden ser causa de patología cardiaca severa.
Se trata de una entidad poco usual, se ha reportado en 0.09% en una serie de autopsias y entre 0.14 y 0.23% en estudios quirúrgicos.2 Ocurren como consecuencia de una debilidad en la lámina elástica de la capa media de la aorta, y la mayoría son congénitos, pero también los hay adquiridos (degenerativos, infecciosos, inflamatorios no infecciosos como vasculitis, traumáticos o iatrogénicos). No es infrecuente que se asocien a otras cardiopatías, entre ellas anomalías de la válvula aórtica como válvula bicúspide u otras.2
Su complicación más frecuente, y potencialmente fatal, es la rotura, siendo mayor para los aneurismas localizados en el seno derecho.3 Su diagnóstico se establece generalmente en el contexto de una complicación o rotura, ya que la mayoría de ellos son asintomáticos. Sin embargo, con el aumento en el número de pruebas de imagen, algunos se diagnostican de forma incidental en estudios de imagen realizados por otros motivos o en cirugías cardiacas indicadas por otra patología.
La tomografía computarizada (TC) es la prueba de elección para valorar su morfología, tamaño y relaciones con el resto de estructuras cardiacas, así como para establecer una planificación prequirúrgica.
En cuanto al manejo terapéutico, la cirugía es el método de elección en caso de ruptura. En el caso de aneurismas no complicados, asintomáticos o detectados casualmente, la indicación también es la cirugía en la mayoría de los casos con la aparición, en los últimos años y como alternativa, de técnicas menos invasivas como el cierre percutáneo.4
Conclusiones
La angio-TC de la arteria pulmonar para descartar tromboembolismo puede revelar hallazgos adicionales, por lo que conviene estar familiarizado con la anatomía de las estructuras que quedan recogidas en el mismo para identificar potenciales hallazgos de interés ante el cuadro clínico a estudio.
















