Introducción
El aneurisma de la arteria esplénica (SAA) se define como una dilatación anormal de la arteria > 1 cm de diámetro, tiene una incidencia que va de 0.09 a 0.78% en reportes de autopsias de arteriografía, siendo una patología rara.1 Los factores asociados incluyen hipertensión, cambios hemodinámicos y hormonas como estrógeno, progesterona y relaxina.2,3 Con el incremento del uso de tomografías computarizadas (TC), la detección incidental de SAA se encuentra en aumento, siendo 80% de estos asintomáticos.
Presentación del caso
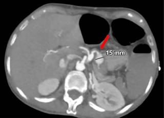
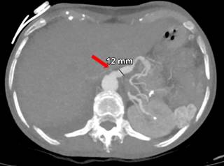
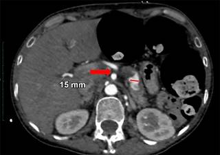
Mujer de 44 años quien 6 meses previos a su ingreso refiere disminución progresiva de la clase funcional debido a un soplo aórtico, por lo que se realizó cambio valvular con la necesidad de ser sometida a circulación extracorpórea y uso de vasopresores. Durante los primeros 10 días postquirúrgicos se diagnostica obstrucción intestinal, por lo que se realiza TC con hallazgo incidental de arteria esplénica (Figura 1) con dilatación aneurismática de hasta 12 mm, en un nuevo estudio de TC a las 24 horas (Figura 2) con ligero aumento del diámetro de aneurisma esplénico hasta 15 mm, pasadas 96 horas solicita nueva TC (Figura 3) y se evidencia mejor definición de la dilatación aneurismática de la arteria esplénica con diámetro actual de 15 mm (previamente de 12 mm). Con los hallazgos tomográficos previamente descritos, se pudo observar la evolución del proceso de dilatación aneurismática con ruptura contenida por el parénquima pancreático, la paciente cursó con un cuadro de obstrucción intestinal con desimpactación endoscópica y dolor abdominal, por lo que seguramente se enmascaró el cuadro clínico.

Figura 2: Tomografía computarizada a las 24 horas con ligero aumento del diámetro del aneurisma esplénico a 15 mm.
Discusión
El SAA es el tercer aneurisma intraabdominal en frecuencia y supone de 40-60% de los casos de un aneurisma de una arteria visceral, pueden ser clasificados histopatológicamente en aneurismas verdaderos y pseudoaneurismas.2,4 Los aneurismas de arterias viscerales (AAV) se definen como los aneurismas de la arteria celíaca, mesentérica superior e inferior y sus ramas, las tres capas de la pared arterial se encuentran intactos; mientras que los pseudoaneurismas de las arterias viscerales (PAAV) son en realidad rupturas contenidas por la adventicia o los vasos perivasculares.
Los AAV presentan una dilatación focal de la arteria con un diámetro > 1.5 veces su diámetro normal, la arteria esplénica es la más comúnmente afectada (60%), en segundo lugar la arteria hepática (20%), seguida por la arteria mesentérica superior (5%) y la arteria celíaca (4%), existen otras localizaciones posibles como la arteria mesentérica inferior, gástrica, gastroepiploica, gastroduodenal y pancreaticoduodenal que juntas suman 11% de los casos.3,5
La TC de abdomen con contraste intravenoso es la modalidad de diagnóstico por imagen ideal, es útil en detectar pequeños SAA y evaluar la anatomía para la planeación operatoria. La angiografía es el estudio diagnóstico más específico para identificar un SAA, aparte de diagnóstica puede ser terapéutica.3
En nuestro caso, la ruptura de la arteria esplénica en la cual la hemorragia es contenida por el parénquima pancreático logrando sellar el defecto sin presentar pancreatitis y sólo dejando atrás una hipodensidad en el parénquima pancreático subyacente, es extremadamente rara.

















