Introducción
El cáncer colorrectal (CCR) es un tumor maligno que se origina en las paredes del intestino grueso e incluye los segmentos de: ciego, colon ascendente, colon transverso, colon descendente, sigmoides y recto. En el cáncer de recto, de manera similar a los tumores de colon, la mayoría son adenocarcinomas (98%), el resto son tumores carcinoides, linfomas, GIST (Tumor del Estroma Gastrointestinal), células escamosas y adenocarcinomas mucinosos, estos últimos con peor pronóstico.1),(2
El CCR es el cáncer más común del tracto gastrointestinal. En México es la cuarta causa principal de nuevos casos y muertes relacionadas a cáncer. Es más prevalente en los países desarrollados, pero con menor tasa de mortalidad debido a mejor detección, estadificación y tratamiento.3-5 Al momento del diagnóstico 50% de los pacientes tiene invasión de la muscular propia de la pared y dos tercios de ellos metástasis a ganglios linfáticos.6
La mayoría de los casos de CCR se presentan de manera aislada, existen factores de riesgo como edad, sexo masculino, pólipos en colon, enfermedades inflamatorias intestinales y ambientales (obesidad, ingesta pobre de fibra, entre otros).6 Los adenomas son tumores benignos que, considerados precancerosos y según su grado de displasia, aumentan el potencial de malignidad.7,8
Las imágenes de resonancia magnética (RM) potenciadas en T2 identifican de forma correcta la anatomía de la pared rectal con sus tres capas: capa interna hiperintensa que representa la mucosa y submucosa, capa intermedia hipointensa de la muscularis propia; y capa hiperintensa externa más prominente que caracteriza el tejido graso perirrectal. Además, permite identificar la anatomía del recto que se extiende desde el margen anal hasta la unión rectosigmoidea, se divide en segmento inferior (0-5 cm), medio (5.1-10 cm) y superior (10.1-15 cm); rodeados de la fascia mesorrectal que contiene ganglios y tabiques fibrosos.2,5
Asimismo, la RM tiene un rol fundamental en la evaluación preoperatoria, estadificación y reestadificación de los pacientes diagnosticados clínica e histopatológicamente con cáncer de recto. Los protocolos estándar establecidos en las diferentes guías internacionales como la Sociedad Europea de Radiología Abdominal y Gastrointestinal (ESGAR, por sus siglas en inglés) no incluyen secuencias en T1 con administración de medio de contraste rutinariamente, debido a resultados previos controversiales acerca de la evaluación de la penetración del tumor a la pared rectal o en extensión a la fascia mesorrectal. Sin embargo, evaluar con buena definición la localización del tumor, su longitud, la relación con la reflexión peritoneal anterior, la distancia desde el margen anal al borde inferior del tumor, morfología y apariencia, son cruciales para la estadificación con el sistema TNM que es el más aplicado.9-11
Existen pocos estudios en los que se ha evaluado la utilidad de la administración de medio de contraste para estadificación primaria del cáncer rectal. Okizuka y colaboradores realizaron una investigación en 32 pacientes con secuencias potenciadas en T1 con gadolinio y supresión grasa adicionales a las secuencias T2 convencionales en las que no se logró mejorar el rendimiento de la RM para estadificación del cáncer de recto, mencionando la dificultad para aislar la reacción desmoplásica del tumor, por lo que llevó a una sobreestadificación.12
En investigaciones más recientes, Li-Juan Wan y Yuan Liu realizaron un estudio de 431 pacientes para explorar el valor de la RM en secuencias T1 con medio de contraste, con el objetivo de identificar una franja de realce submucoso para diferenciar los tumores T0-T1 de los T2, en contraste con la valoración de la muscular propia en las secuencias T2. Sus resultados concluyeron que dicha banda de realce fue superior para diferenciar las lesiones en estadios T0-T1 de las lesiones en estadio T2 con una precisión diagnóstica de 87% frente a 67% para la evaluación del estado de la muscular propia en las secuencias T2.13
Por otra parte, Vliegen RF estudió a 83 pacientes y concluyó que agregar secuencia T1 con medio de contraste a las secuencias T2 no mejoró de manera significativa la precisión diagnóstica en la predicción de la penetración del tumor rectal a la pared; sin embargo, en el análisis de algunos de sus resultados, encontramos que para uno de los observadores que participaron en el estudio existió alta sensibilidad de 98%, valor predictivo positivo de 84%, valor predictivo negativo de 89%, pero con una baja especificidad de 40%.14
La diferenciación previa al tratamiento entre los tumores en estadio T0-T1 y T2 (invasión de la muscular propia) puede ser difícil mediante la evaluación por RM debido a la infra o sobreestadificación que podría derivar en un manejo inadecuado del paciente. Por ello, el objetivo de este estudio fue determinar la sensibilidad y especificidad de la secuencia T1 contrastada de la RM para la evaluación del compromiso de la muscular propia en los pacientes con cáncer de recto.
Material y métodos
Este estudio de prueba diagnóstica incluyó la revisión de reportes de resonancias magnéticas en el periodo de enero de 2018 a diciembre de 2022 de 48 pacientes mayores de 18 años con cáncer de recto que contaban con secuencia T1 contrastada, sin manejo quirúrgico previo a la RM, mismos que después fueron tratados quirúrgicamente, con lo que se obtuvo un resultado histopatológico de nuestro centro. La interpretación de los estudios fue realizada por un solo radiólogo experimentado. La recolección de información fue realizada por medio de las bases de datos de los servicios de resonancia magnética y de patología.
Se obtuvieron sensibilidad, especificidad, valor predictivo positivo y valor predictivo negativo de acuerdo con la identificación de involucro de la muscular propia en el reporte de la RM con secuencias de T1 y medio de contraste, con reporte de histopatología como estándar de oro. Así mismo, se realizó un análisis descriptivo y de contraste de las variables identificadas de la población de estudio con Excel.
Resultados
Se incluyeron 48 pacientes, 21 mujeres (44%), 27 hombres (56%), con rango de edad de 33 a 85 años, media de 57.29 ± 11.42 años. La morfología del tumor que con más frecuencia se identifica por RM es la polipoide en 35 (72%) casos, semicircunferencial en siete (15%) y circunferencial en seis (12%). Acorde a la localización, se encontró una distribución expresada en la Tabla 1, siendo la más frecuente localización en recto medio en 14 (29%) pacientes.
Tabla 1: Distribución por la localización del tumor (N = 48).
| Localización anatómica en el recto | n (%) |
|---|---|
| Inferior | 6 (12.5) |
| Medio | 14 (29.2) |
| Superior | 8 (16.7) |
| Inferior y medio | 3 (6.3) |
| Medio y superior | 11 (22.9) |
| Inferior, medio y superior | 6 (12.5) |
De toda la población estudiada (N = 48), 13 (27%) casos tuvieron resultado histológico confirmatorio de involucro a la muscular propia y 35 (73%) mostraron un reporte negativo; mientras que la RM en secuencia T1 con medio de contraste, de la totalidad de la población estudiada (N = 48), identificó positivo el involucro de la muscular en 33 (69%) pacientes (Figuras 1 y 2), y negativo en 15 (31%).

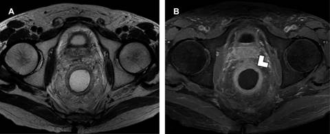
Figura 1: A) Resonancia magnética (RM) de recto en secuencia T2 con gel endorrectal, muestra tumor circunferencial del recto inferior, que no involucra la muscular propia. B) Mismo paciente, RM en secuencia T1 con saturación grasa y gadolinio muestra infiltración del tumor que involucra la muscular propia y la grasa mesorrectal (punta de flecha).

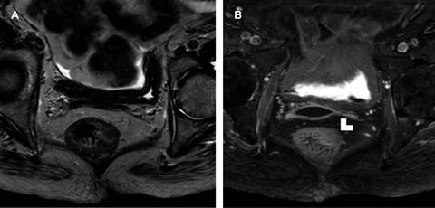
Figura 2: A) Resonancia magnética (RM) de recto en secuencia T2 en la que se observa una tumoración polipoide con aparente integridad de la muscular propia. B) RM en secuencia T1 con saturación grasa y gadolinio del mismo paciente donde se evidencia pérdida de la interfaz de la muscular propia (punta de flecha).
En específico, la RM con secuencia T1 contrastada, logró identificar características de involucro de la muscular propia en 12 de los 13 casos con afectación de la muscular propia confirmada por histología, y se obtuvieron datos compatibles con ausencia de afectación en 14 de los 35 pacientes que no mostraron implicación histológica de la muscular propia, lo cual traduce una sensibilidad de 92.3%, especificidad de 40%, valor predictivo positivo de 36.4% y valor predictivo negativo de 93.3%.
De tal forma que la RM con secuencia T1 contrastada en pacientes con cáncer de recto tuvo una sensibilidad de 92.3%, especificidad 40%, valor predictivo positivo de 36.4% y valor predictivo negativo de 93.3% para nuestra población con cáncer de recto. Con lo que se demuestra la utilidad de la fase T1 de la RM contrastada por su alto valor predictivo negativo.
Discusión
Los resultados de este estudio ponen de manifiesto que la resonancia magnética de recto, incluyendo secuencia en T1 y administración de medio de contraste, es de utilidad en la evaluación del involucro de la muscular propia de la pared rectal, de modo particular con alta sensibilidad y valor predictivo negativo.
En el trabajo realizado por Vliegen RF14 se muestran, al menos para un observador, datos muy similares a nuestros resultados; en su estudio se obtuvo sensibilidad de 98%, especificidad de 40% y valor predictivo negativo de 89% en comparación con el nuestro, donde la sensibilidad resultante fue de 92.3%, especificidad de 40% y valor predictivo negativo de 93.3%.
La diferenciación previa al tratamiento entre los tumores en estadio T0-T1 y T2 (invasión de la muscular propia) es primordial para la elección del tratamiento apropiado y puede ser complicada mediante la evaluación por RM; sin embargo, como se ha demostrado en nuestro estudio y en algunos estudios previos, el adicionar con secuencia T1 y medio de contraste si bien no demostró ser esencial en la evaluación de la penetración del tumor en la pared rectal, sí puede ser de utilidad al menos en los casos en los que existan dudas al respecto; este trabajo supone una contribución a la menor sobreestadificación.
Conclusiones
De todo lo descrito con anterioridad podemos concluir que, de acuerdo con los resultados de este trabajo, la resonancia magnética de recto con protocolos convencionales es indispensable en la estadificación tumoral. Sin embargo, el realizar la secuencia T1 con medio de contraste puede ser de utilidad en la evaluación de la penetración tumoral a la pared rectal.














