Introducción
La enfermedad por hígado graso no alcohólico se define como la acumulación de ácidos grasos y de triglicéridos en el citoplasma de los hepatocitos en ausencia de consumo excesivo de alcohol y sin otras causas de enfermedad hepática crónica. Según su progresión se clasifica en hígado graso no alcohólico (NAFL), la esteatohepatitis no alcohólica (NASH), la fibrosis y la cirrosis.1
La inflamación crónica del hígado tiene como consecuencia la activación de las células estelares que provoca proliferación de fibroblastos y depósito excesivo de matriz extracelular, lo cual distorsiona la estructura del hígado, y altera su función, incrementado la resistencia hepática al flujo sanguíneo.2
A nivel global existe un promedio de 38% de sobrepeso y 21% de obesidad general. La prevalencia de esteatosis hepática no se conoce con exactitud en México, se estima en 17% en la población mexicana.3
La obesidad es uno de los principales factores relacionados a presentar hígado graso no alcohólico,4 no es común encontrar información de la población mexicana sobre la comparación de estos dos entes diagnósticos, a pesar de ser el segundo lugar en prevalencia de obesidad a nivel mundial, por lo cual este estudio adquiere relevancia.
En México es cada vez más frecuente encontrar pacientes con cirrosis hepática y que en su momento cursaron con esteatosis sin recibir el diagnóstico adecuado, situación capaz de transformar su historia natural.4
La pertinencia de este estudio consiste en tener una herramienta útil para poder comparar las áreas de tejido adiposo visceral y subcutáneo en pacientes con esteatosis hepática, sin necesidad de utilizar métodos invasivos u onerosos.
Material y métodos
Se realizó estudio observacional, transversal, analítico en el Servicio de Radiología e Imagen del Hospital Angeles Mocel en el periodo de octubre de 2018 a diciembre de 2021. Se establecieron dos grupos de estudio, el primero con pacientes con esteatosis hepática y el segundo con pacientes sin esteatosis hepática con circunferencia de cintura aumentada, al ser el mejor indicador de riesgo metabólico.5
Se seleccionaron estudios de tomografía axial computarizada de abdomen en fase simple en pacientes de 18-85 años de edad de ambos géneros en sistema PACS Carestream®. Se realizó un cálculo de muestra para estimación de proporciones tomando en cuenta 17% de presencia de esteatosis en la población mexicana3 con un tamaño muestral de 221 pacientes por grupo. Se excluyeron pacientes con artificios de movimiento, hallazgos tomográficos de masas abdominales o comorbilidad con afección a la grasa peritoneal o retroperitoneal, así como antecedentes quirúrgicos hepáticos.
Para identificar la esteatosis hepática se midieron los niveles de atenuación colocando el ROI (regiones de interés, por sus siglas en inglés) que consiste en un cursor capaz de determinar las unidades Hounsfield (UH), evitando los conductos biliares, calcificaciones o artefactos, seleccionando pacientes con una densidad hepática a partir de -40 UH y en comparación con el parénquima del bazo con una diferencia de más de 10 UH.6
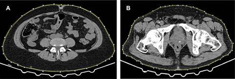
Posteriormente mediante el programa Image J se calculó el área de grasa visceral (AV) y subcutánea (AS), midiendo las densidades entre -190 y -30 UH (Figura 1). Para el cálculo de tejido adiposo en los diferentes compartimentos (subcutáneo y visceral) se ha demostrado que un solo cálculo en un corte axial a nivel umbilical es suficiente como muestra.6 Por último, se calculó la circunferencia para cintura y cadera de cada grupo (Figura 2).

Figura 1: Cálculo de áreas mediante el programa Image J en cortes axiales de tomografía computarizada donde resaltan los valores de atenuación correspondientes a las densidades grasas. A) Área de grasa total. B) Área de grasa subcutánea.

Figura 2: A) Medición de circunferencia de cintura a nivel umbilical. B) Medición de circunferencia de cadera a nivel de trocánter mayor.
Cuando se determinan las áreas de grasa abdominal visceral (AV) y la grasa abdominal subcutánea (AS) se calcula un índice AV/AS, que cuando es superior a 0.4 indicaría obesidad visceral.7,8
Se realizó un análisis descriptivo de las variables cuantitativas con estadística de tendencia central con promedio (media), así como de dispersión con desviación estándar para edad, área de tejido adiposo visceral y subcutáneo, cintura, cadera e índice cintura cadera, así como frecuencia y porcentaje de obesidad visceral y tipos de esteatosis.
Por último, se realizó la comparación con prueba paramétrica t de Student entre áreas de los diferentes compartimentos y parámetros de cintura y cadera.
Resultados
En total se incluyeron 442 estudios, de los cuales se seleccionaron 221 pacientes con esteatosis y 221 con perímetro de cintura aumentada.
En la realización de pruebas de t de Student para grupos de edad el valor de p no fue estadísticamente significativo (p = 0.55). Al realizar una prueba de χ2 de Pearson para asociar la presencia de esteatosis respecto al género y la presencia de obesidad visceral, ésta fue estadísticamente significativa (p = 0.016, < 0.01 respectivamente) (Tabla 1).
Tabla 1: Características de pacientes con y sin esteatosis. N = 442.
| Característica | Con esteatosis, N = 221 | Sin esteatosis, N = 221 | p |
|---|---|---|---|
| n (%) | n (%) | ||
| Edad* | 47.0 ± 13.3 | 46.17 ± 16.6 | 0.55‡ |
| Género | 0.016§ | ||
| Femenino | 95 (43) | 122 (55) | |
| Masculino | 126 (57) | 99 (45) | |
| Presencia de obesidad visceral | < 0.001§ | ||
| Con obesidad | 178 (80) | 122 (55) | |
| Sin obesidad | 43 (19) | 99 (45) |
* Los datos indican la media ± desviación estándar.
‡ Prueba t de Student para muestras independientes.
§ prueba χ2.
Los valores de las pruebas t de Student para muestras independientes comparando los valores antes mencionados en pacientes con y sin esteatosis en todos los casos fueron estadísticamente significativos, a excepción del área subcutánea, lo cual quiere decir que hay una asociación de esteatosis con obesidad visceral y una asociación inversa con el área subcutánea. Por lo cual, además de poder decir que tiene una diferencia clínica, también tiene una diferencia estadísticamente significativa (Tabla 2).
Tabla 2: Comparación de compartimentos y medidas antropométricas de pacientes con esteatosis y sin esteatosis. N = 442.
| Mediciones | Con esteatosis, N = 221 | Sin esteatosis, N = 221 | p* | ||
|---|---|---|---|---|---|
| Media ± DE | IC 95% | Media ± DE | IC 95% | ||
| Área visceral‡ | 202.2 ± 71.4 | 192.3 - 212.2 | 148.9 ± 58.9 | 140.7 - 157.1 | < 0.001 |
| Área subcutánea‡ | 345.9 ± 130 | 327.7 - 364.0 | 327.8 ± 100.6 | 313.8 - 341.8 | 0.12 |
| Área total‡ | 548.1 ± 166.8 | 524.9 - 571.4 | 476.8 ± 125.0 | 459.3 - 494.2 | < 0.001 |
| Cintura§ | 106.3 ± 11.3 | 104.7 - 107.9 | 100.6 ± 9.1 | 99.4 - 101.9 | < 0.001 |
| Cadera§ | 105.0 ± 8.4 | 103.8 - 106.2 | 102.0 ± 7.9 | 100.9 - 103.1 | < 0.001 |
| Índice cintura/cadera | 1.01 ± 0.06 | 1.0 - 1.02 | 0.98 ± 0.06 | 0.97 - 0.98 | < 0.001 |
* p valor de prueba t de Student para muestras independientes.
‡ medición en cm2.
§ medición en centímetros. DE = desviación estándar.
Discusión
En nuestro estudio existen diferencias en medidas antropométricas y áreas corporales que son estadísticamente significativas entre pacientes con esteatosis hepática y pacientes con perímetro de cintura aumentada, particularmente en el compartimento visceral.
La literatura médica6,9 ha demostrado que la tomografía computarizada es una herramienta de fácil acceso además de reproducible que puede distinguir la grasa subcutánea y visceral, mientras que las mediciones antropométricas comunes como el índice de masa corporal (IMC) y la circunferencia de la cintura no proporcionan esta información. La valoración tomográfica en nuestros días está limitada debido a la exposición a la radiación del paciente.
La resonancia magnética se correlaciona significativamente con las áreas de tomografía computarizada a nivel umbilical, aunque es más costosa.8
Se ha observado que al hacer una medición del área visceral y del área subcutánea, en el área total existe una correlación con la presencia de esteatosis hepática.8,10,11 En nuestro estudio este dato se confirma al demostrar que el área visceral es de mayores dimensiones; la diferencia en obesidad visceral entre pacientes es de 33% y la diferencia en área visceral es de 53.3 cm2 en el grupo de esteatosis hepática y pacientes sin esteatosis hepática con circunferencia aumentada. Estos datos concuerdan con el artículo de Ko y colaboradores,12 lo que obligaría a considerar el diagnóstico de obesidad visceral como factor de riesgo de desarrollar cirrosis hepática.
Hay datos que sugieren que la esteatosis secundaria al aumento de grasa visceral probablemente se deba a un mayor metabolismo de ésta y a la diferencia en la distribución del drenaje venoso, el tejido visceral con flujo hacia la vena porta y el subcutáneo hacia el drenaje sistémico y por lo tanto, mayor circulación de ácidos grasos libres y glicerol, lo que aumenta la posibilidad de acumulación en el hígado, además de secretar adipocitoquinas y otras sustancias vasoactivas que pueden aumentar la probabilidad de desarrollar el síndrome metabólico.10,11
Eguchi y colaboradores13 mencionan que la resistencia a la insulina se correlaciona positivamente con la acumulación de grasa visceral, por lo que el síndrome metabólico también es un factor que ha sido ampliamente estudiado en este campo.
Ryo y colaboradores8 demostraron que la reducción de la acumulación de grasa visceral posterior a la modificación voluntaria del estilo de vida con un seguimiento a cuatro años se correlacionó con una disminución en el número de factores de riesgo cardiovascular.
Nuestro estudio se realizó en área urbana en hospital privado, lo cual podría considerarse como una limitación, ya que existen variaciones en la población de áreas rurales y regionales. La exclusión de los pacientes con enfermedades hepáticas se realizó a partir de las imágenes de tomografía, así como de la revisión de diagnósticos en expediente. Futuros estudios podrían hacer énfasis en los hábitos alimenticios y estilo de vida en el entorno mexicano que condicionan mayor prevalencia de grasa visceral.
Conclusión
En nuestro estudio podemos concluir que la mayor parte de los pacientes con esteatosis hepática tienen en 80% obesidad visceral por tomografía computarizada, por lo que ésta es un factor de riesgo de su presentación; el área visceral, subcutánea, el área total, cintura, cadera y el índice cintura/cadera son de mayores dimensiones en comparación con aquéllos que no tienen esteatosis.














