Introducción
A pesar de que el abandono dental infantil (“dental neglect” en inglés), ha sido descrito en la literatura científica por más de 30 años, y distintas academias de odontología pediátrica a nivel internacional han descrito y emitido políticas al respecto, es importante observar que este es un tema poco explorado en la literatura latinoamericana1. En la literatura odontológica se han descrito las implicaciones del abuso y maltrato infantil, así como las características del síndrome de niño maltratado y sus implicaciones en la consulta odontológica. Sin embargo, no existen pautas para reconocer y abordar el abandono dental, especialmente en un contexto regional2,3. Las distintas formas de abuso infantil que incluyen el maltrato físico, sexual, psicológico, el acoso escolar y el tráfico humano han sido exploradas y bien reconocidas en otras áreas, y debidamente ha llegado el momento de incluir al abandono dental como una de estas desafortunadas situaciones nocivas en la infancia. México a través de su ratificación de la Convención de los Derechos del Niño de UNICEF, ha reconocido que todos los infantes tienen el derecho de ser protegidos de abusos, abandonos, y negligencias y merecen los mayores estándares de salud posibles4.
Debido a que la presencia del abandono dental puede ser un indicio para la identificación de abuso y maltrato de otra índole en los infantes, el personal de salud que tiene contacto con el paciente pediátrico se encuentra en una posición clave para identificar y monitorear cualquier situación anormal5. La Ley General de los Derechos de las Niñas, Niños y Adolescentes de México establece que “el cumplimiento de quienes ejerzan la patria potestad, tutela o guarda y custodia de niñas, niños y adolescentes, los cuiden y atiendan; protejan contra toda forma de abuso; los traten con respeto a su dignidad y orienten, a fin de que conozcan sus derechos…”6. La unicef reconoce que, en los niños, niñas y adolescentes, cualquier forma de daño, abuso físico o mental, trato negligente, maltrato y explotación se puede considerar como un acto de violencia contra esta población7. El objetivo de esta revisión es describir el concepto del abandono dental infantil para crear conciencia acerca del tema, haciendo énfasis en la definición, identificación, manejo, implicaciones y futuras direcciones en materia del estudio de la condición.
Concepto de Abandono Dental Infantil
La Academia Americana de Odontología Pediátrica (AAPD, por sus siglas en inglés), emitió desde 1983 una definición de abandono dental, la cual reafirmó posteriormente en 20208. Dicha definición enuncia que el abandono dental es: “La falta consciente por parte de un padre o representante legal de buscar y seguir las necesidades de cuidado y tratamiento para asegurar un nivel de salud oral óptima, que permitirían al niño tener una función adecuada y encontrarse libre de dolor e infección”8. Por su parte, la Sociedad Británica de Odontología Pediátrica (BSPD por sus siglas en inglés), a través de su documento de política respecto al abandono dental, la define como: “La falla persistente en satisfacer las necesidades básicas de salud oral de un niño, lo cual puede resultar en discapacidad oral, de salud en general o del desarrollo integral en un niño o niña”9. Como se puede observar en ambas definiciones, las implicaciones del abandono dental de un infante van más allá de la cavidad bucal y conllevan un compromiso a nivel biopsicosocial.
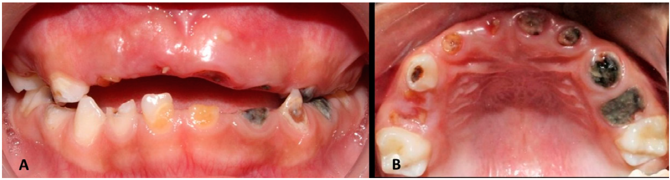
Las necesidades de salud oral en los infantes permiten conceptualizar el impacto que tiene un progenitor/cuidador sobre las condiciones orales pediátricas. Se ha descrito mayor presencia de índices de placa dentobacteriana, inflamación gingival, dientes con lesiones cariosas no tratadas e incluso una menor cooperación al momento de recibir tratamiento dental en niñas y niños que han sufrido algún tipo de abuso10. Por su parte, la caries dental, específicamente la caries de la infancia temprana (CIT- definida como la presencia de una o más lesiones cariosas, dientes perdidos u obturados antes de los 6 años) es la condición patológica oral más prevalente en la población pediátrica, con una estimación de su presencia en alrededor de 530 millones de niños a nivel mundial, según datos de la Organización Mundial de la Salud (OMS)11,12 (Figura 1.A-B). En México, el reporte sivepab (Sistema de Vigilancia de Patologías Bucales) en su versión más actual (2019), estima que, en la población mexicana de infantes de 2 a 5 años, un 70.3% presentan datos que sugieren que existe una alta necesidad de tratamiento de caries dental en la población pediátrica/adolescente mexicana13. El trauma dental/dentoalveolar, así como las lesiones faciales se han asociado a la presencia de abuso físico y sexual, debido a la naturaleza de los actos violentos14,15. Por otra parte, también las enfermedades gingivales/periodontales (especialmente en adolescentes y pacientes con compromisos sistémicos), son las otras condiciones que más afectan a esta población16.

Figura 1 Representación clínica de Caries de la Infancia Temprana - Las Caries de la infancia Temprana conllevan a una situación donde múltiples órganos dentarios se encuentren comprometidos y por consiguiente representan un riesgo al paciente pediátrico de padecer infecciones de origen odontogénico, odontalgia, dificultades para la masticación, nutrición y afectación a su calidad de vida. A. Vista frontal, B. Vista oclusal.
La naturaleza no transmisible de enfermedades como la caries dental y las enfermedades del periodonto han solidificado la importancia de un adecuado cuidado preventivo y orientación profesional para evitar la presencia de las alteraciones12,17. Tomándolo de punto de partida, se debe conceptualizar que los infantes (especialmente de menores edades) dependen de algún progenitor y/o cuidador para poder satisfacer estas necesidades de cuidado de salud oral y evitar efectos adversos18. Se ha discutido de manera amplia también los efectos que tiene el nivel socioeconómico del paciente, y cómo los grupos más marginados se ven proporcionalmente más afectados debido a barreras perpetuadas por la inequidad12,19.
Identificar la presencia del abandono dental infantil es clave para su correcto abordaje. Sin embargo, se ha reportado que existe una dificultad por parte de los odontólogos en reconocer lo que conlleva el abandono dental (diagnóstico y evaluación de signos), así como resistencia para denunciar lo observado por las potenciales consecuencias (por parte de los progenitores, a su práctica privada, preocupaciones personales, etc.) derivadas de esto20,21. Al momento de identificar la condición, es importante realizar la distinción (sugerida por la OMS), que un estado de abandono o negligencia debe distinguirse de una circunstancia de pobreza, lo cual permite entender que el abandono dental solo puede ocurrir en casos donde existe una cantidad razonable de recursos y educación por parte de los progenitores/cuidadores que les permite hasta cierto grado estar conscientes de sus acciones nocivas22. Por consiguiente, a este nivel se debe identificar la condición cuando existe la presencia de cuidadores con conocimiento adecuado, pero una falta consiente de buscar tratamientos y diferenciarlos de aquellos sin el conocimiento o concientización de las necesidades bucales de sus hijos/as5.
Identificación
Para la identificación, es necesario integrar múltiples pautas que deben incluir: un llenado minucioso de la historia clínica, una examinación clínica, y solicitar estudios complementarios cuando sea pertinente23. La historia clínica debe evaluar múltiples aspectos del entorno de la niña o niño, dentro de los cuales se preste especial atención a la sintomatología actual y previa, incluyendo su duración, frecuencia y gravedad9,24. Tales serán puntos claves para identificar la cronicidad de ciertos padecimientos dentobucales y así poder crear una historia de la patología21,23. De igual manera, se debe evaluar la historia de restauraciones dentales previas, ya que dan evidencia respecto al tratamiento previo al cual el paciente ha sido sometido9. Durante la evaluación se debe integrar una adecuada valoración de dieta, porque siempre es una parte integral del riesgo cariogénico del paciente pediátrico. Como resultado de ello también se puede obtener un panorama acerca del estado y bienestar general de salud del paciente25,26. La identificación de un alto consumo de azúcares libres ha sido ligado al desarrollo de lesiones cariosas; una inadecuada ingesta nutricional a deficiencias en los tejidos gingivales, y de manera temprana existe evidencia de que cuando hay deficiencia de ciertas vitaminas se favorece el desarrollo de defectos de la estructura dental (como la hipomineralización)26-28. Finalmente, es importante indicar que la identificación de lesiones cariosas no puede ser tomada por sí sola como una pauta para identificar la condición, dado que la identificación requiere de la integración de todos los elementos a estudiar21.
Como se ha mencionado, se debe medir la consciencia por parte de los progenitores respecto a la presencia de patología dental para evaluar su conocimiento, interés e intenciones5,23. La historia médica por aparatos y sistemas anatómicos, específicamente de aquellas condiciones que pueden tener un efecto sobre la salud bucal (como en pacientes sistémicamente comprometidos) debe realizarse junto a una evaluación/consulta con otros profesionales de la salud respecto al interés que los progenitores han demostrado hacia otros tratamientos médicos29. Evaluar las dificultades de aprendizaje y en el comportamiento, de los progenitores o tutores, permite determinar si existe alguna barrera que pudo haber tenido el paciente para recibir tratamiento (falta de atención especializada, experiencias negativas previas, mal manejo, etc.)9,23. De igual manera, es importante identificar la presencia de ansiedad dental, por parte de los progenitores y/o de los infantes, porque refleja si el tratamiento ha sido postergado por esta situación, y no por abandono dental5,23,30. La ansiedad dental se debe tomar como un estado de aprensión, exacerbado por la sensación de pérdida del control, lo cual está ligado a un sentimiento de que algo terrible pasará en relación con el tratamiento dental31. Por último, se deben evaluar otros marcadores de vulnerabilidad, como pueden ser una edad corta del paciente, o la presencia de alguna discapacidad, ya que se reconoce que siempre serán grupos con mayor riesgo de desarrollar patologías orales como caries dental5,9.
Manejo
Debido a que la condición implica a niños de corta edad, el abandono dental infantil no siempre podrá ser identificado de primera instancia por un odontólogo general u odontopediatra, por lo cual se necesita concientizar al personal médico, de enfermería y de trabajo social respecto a esta condición21,24. El médico, al sospechar la presencia de abandono dental debe plantear estas inquietudes ante los progenitores o cuidadores, proveyéndoles orientación acerca de los beneficios de buscar atención odontológica a su alcance, así como pautas preventivas de salud bucal (cuando esto sea posible)24,29,32. Si se realiza la remisión del paciente a un servicio odontológico, se debe buscar la posibilidad de acompañar la recomendación con una carta de remisión, junto con cualquier otro detalle relevante de la historia médica23. De igual manera, si se identifican signos de algún otro tipo de abuso o maltrato, deben ser referidos a la institución pertinente, especialmente aquellos relacionados a tejidos extraorales durante la examinación clínica de cabeza y cuello como cicatrices, abultamientos, zonas de alopecia, hematomas entre otros datos que pudieran abonar al concepto de maltrato infantil3,29.
A nivel odontológico, se proponen tres etapas de intervención para implementar el tratamiento, dependiendo del nivel de afectación que se presente, las cuales consisten en: a) manejo preventivo por el personal odontológico, b) manejo preventivo multidisciplinario y c) remisión para protección del menor9,23. En el manejo preventivo, se deben plantear las inquietudes de la condición con los progenitores, ofreciendo apoyo para satisfacer las necesidades orales de los infantes a través de objetivos establecidos, llevando registros periódicos y un monitoreo del progreso32. Los procedimientos restaurativos se pueden ir completando paulatinamente, llevando enfoques realistas tanto para el profesionista, como para el infante y su familia23. Al momento de atender al paciente, se debe trabajar en limitar el riesgo cariogénico y trabajar la rehabilitación de lesiones cariosa según el contexto del paciente33. En cuanto al manejo de tejidos periodontales, se debe realizar una valoración minuciosa de los tejidos blandos, pues, en algunas ocasiones a través de la valoración, se pueden revelar signos de abuso sexual5,34.
Si el manejo preventivo por el personal odontológico fracasa, entonces se recomienda aplicar el enfoque preventivo multidisciplinario con otros profesionales como trabajadores sociales y personal de la salud relacionado al niño o niña (pediatras, médicos de cabecera, etc.). Discutir la situación de manera más amplia e intentar negociar planes de acción con la familia y otros profesionistas involucrados, responsabilizando a los progenitores/cuidadores, pero llegando a acuerdos mutuos9,35. En dado caso de que este abordaje fracase, y exista la sospecha de que el niño o niña esté sufriendo daño significativo u otros signos de negligencia o abuso, debe realizarse una remisión a protección infantil36. Se debe ser claro y especifico en las pautas utilizadas para perseguir esta vía de acción y contar con bases y registros para poder sustentar el reporte37. La Figura 2 resume el abordaje a tomar ante la sospecha de un caso de abandono dental infantil.
Figura 2 Ruta de abordaje ante la sospecha del abandono dental infantil- Ante la sospecha de abandono dental infantil, es clave la identificación a través de las distintas pautas clínicas y de contacto con los progenitores/cuidadores. El manejo implica escalar la situación de manera paulatina y juiciosa dependiendo de la reacción de los progenitores/cuidadores, pero se sugiere la remisión para protección del menor en casos de que fracasen los demás abordajes o si se sospecha de otro tipo(s) de abuso. Ilustración creada con BioRender.com
Sugerencias de acción
Es imprescindible que el tema del abandono dental sea abordado como problemática en materia de salud pediátrica. Los altos índices de caries de la infancia temprana, y otras situaciones patológicas orales llevan a pensar que muchos casos de esta condición no se están identificando de manera oportuna y correcta, lo cual debería ser motivo de alarma para todo profesionista que trabaja con la población pediátrica. Como primera instancia, se deben redactar pautas o guías clínicas (emitidas preferiblemente por algún cuerpo gobernante en la materia o el sector público de salud) que permitan20,29:
Dar orientación correcta acerca de la definición y el diagnóstico de la condición, explicar las condiciones/complicaciones a corto, mediano y largo plazo
Presentar los abordajes terapéuticos a seguir
Dar recomendaciones en el manejo de los progenitores/cuidadores según su colaboración, los aspectos legales y los pasos a seguir para reportar a las autoridades.
De preferencia, estas guías deben venir con documentación estandarizada a utilizar para el reporte más avanzado de estos casos29. En materia de educación al profesional en salud bucal, se deben incrementar esfuerzos para educar y entrenar a los profesionistas de salud en formación y ya egresados para que tengan la capacidad de identificar o sospechar de la condición, y conozcan las vías de acción a seguir20. Junto con esto, se debe reforzar el rol de servicios médicos, de enfermería y de cuidado primario pediátrico en general como parte de los equipos de cuidado de salud oral. Está bien identificado el beneficio que tienen estas partes, que están tan íntimamente relacionadas al cuidado y bienestar en las diferentes etapas de la infancia, y cómo estos profesionales pueden realizar revisiones orales oportunas, brindar consejos anticipados así como referir a los pacientes a los servicios odontológicos adecuados y en tiempos ideales (por ejemplo, antes o a los 12 meses de edad)38,39. En el contexto del abandono dental infantil, los prestadores de salud tienen todo el potencial de jugar una parte íntegra y temprana para identificar y limitar el daño del fenómeno en cuestión.
De manera más amplia hay mucho por hacer respecto al trabajo interdisciplinario, así como legislativo en la materia. Es importante establecer pautas de manejo multidisciplinario de esta condición (sistemas de salud públicos, redes clínicas, etc.), para poder tener un seguimiento apropiado de estos pacientes24,34. De igual manera, una vez que estén bien establecidas las guías clínicas, se debe encontrar una manera de legislar respecto a la condición, ya que como se ha mencionado con anterioridad, en muchos casos la identificación de un tipo de abandono/abuso lleva al descubrimiento de otra situación nociva en el menor37. En países como Estados Unidos y el Reino Unido se ha desarrollado mucho más esta materia debido a la cultura jurídica que existe, pero la diferencia cultural no debe ser una excusa para no abordar el tema en nuestro contexto. A nivel comunitario, y como es bien fundamentado en la literatura odontológica, la educación y prevención de las condiciones bucodentales siempre serán las que mejores desenlaces darán a largo plazo11,12. Junto con lo anterior, se deben reconocer las determinantes sociales de la salud oral en la infancia, y las barreras estructurales que se pueden enfrentar debido a éstas. Se sabe que existe una disparidad en la posibilidad y capacidad de educación y servicios en salud oral, muchas veces determinados por posiciones socioeconómicas, capacidad adquisitiva, ocupación, ubicación geográfica, etnicidad y raza40,41. Dichos factores pondrán en mayor riesgo a cierta población a sufrir el abandono dental infantil, pero se hace hincapié a discernir entre las barreras enfrentadas por los factores citados y la verdadera negligencia a la atención de la salud bucal por parte de los progenitores/cuidadores.
Conclusiones
El abandono dental es un aspecto complejo dentro de los abusos y maltratos que puede recibir un niño o niña. El derecho que el niño tiene a crecer en salud y prosperidad se ve afectado por una falta de atención a la salud bucodental, lo cual implica una afectación negativa a lo largo del desarrollo de ese niño o niña, así como en su bienestar biopsicosocial. Introducir este tema como una problemática real en el contexto odontológico actual invita a que se realicen investigaciones para sustentar la teoría y poder obtener resultados regionalizados acerca del conocimiento de la condición entre los profesionistas de la salud, impulsar el desarrollo de guías clínicas y legales a seguir, así como una legislación sustentada que tenga como objetivo la protección del niño o niña vulnerable. Las situaciones actuales en salud nos exigen proteger a los más vulnerables, ya que los grupos marginados o en desventaja socioeconómica son los que más se ven afectados en materia de salud y fenómenos sociales.















