Introducción
En el paciente candidato para la colocación de implantes dentales se deben evaluar los tejidos blandos durante el examen periodontal básico, ya que el ancho de la mucosa queratinizada es importante en la salud de los tejidos periimplantarios. La presencia de una banda adecuada de mucosa queratinizada está relacionada con menos acumulación de placa bacteriana e inflamación de la mucosa así como de mediadores proinflamatorios, lo que sugiere que su ausencia puede ser crucial, especialmente para el control de placa bacteriana y las lesiones mucosas asociadas a la placa alrededor de los implantes dentales.1,2
La encía queratizada alrededor de los implantes dentales influye tanto en los parámetros clínicos como en los inmunológicos de estos sitios. Estos hallazgos son de especial importancia en la zona estética, donde la encía queratinizada delgada y estrecha puede conducir a una mayor recesión gingival.3
Esto también se observa en pacientes con sobre-dentaduras porque la ausencia de mucosa queratinizada adecuada alrededor de los implantes se asocia con mayor acumulación de placa bacteriana, inflamación gingival, sangrado al sondeo periodontal y recesión de la mucosa.4
El aumento del ancho de la mucosa queratinizada alrededor de los implantes se asocia con menor pérdida media de hueso alveolar y mejores índices de salud de los tejidos blandos.5
Por lo tanto, la aplicación de la microcirugía periodontal para el aumento de encía insertada se ha aplicado con éxito para mejorar la calidad y la cantidad de encía adherida alrededor de los implantes.6
En el presente caso también se realizó el diagnóstico endodóntico, el cual fue necrosis pulpar con periodontitis apical asintomática como consecuencia de trauma dental, lo que trajo como consecuencia la falta de cierre apical. Estos casos habían sido tradicionalmente tratados con hidróxido de calcio a largo plazo, con múltiples citas para lograr el cierre del ápice, pero con alta prevalencia de fractura radicular. En la década de los 90 surge el MTA (mineral trióxido agregado) como una alternativa, el cual redujo las consultas y la predisposición a la fractura radicular del diente involucrado.7 El MTA ha sido utilizado con buenos resultados en dientes con pulpa vital en recubrimiento pulpar directo, pulpotomía parcial y total para sellar perforaciones laterales del conducto y de furca así como barrera apical en tratamiento de conductos de dientes necróticos con formación radicular incompleta y como material de retroobturación durante la cirugía apical.8,9
La aplicación de MTA en lugar de hidróxido de Ca se basa en su capacidad para formar una barrera apical dura, por lo que ha demostrado ser el material apropiado para casos de apexificación.10
El siguiente reporte de caso demuestra la formación de una barrera apical con MTA en un diente permanente con ápice inmaduro.
Presentación de caso clínico
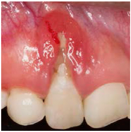
Paciente de sexo femenino de 20 años de edad que se presenta al consultorio dental para tratamiento de ortodoncia, pero se refiere a periodoncia por presentar inflamación y recesión gingival en el diente 12. Durante la evaluación periodontal inicial se realizó sondeo periodontal, observando inflamación, exudado purulento y deformidad mucogingival por vestibular (recesión gingival). Al interrogatorio la paciente no refiere antecedentes personales patológicos, por lo que se considera paciente aparentemente sana. El diagnóstico periodontal fue gingivitis inducida por placa bacteriana y recesión gingival clase I de Miller en el órgano dentario 12. Se tomaron radiografías periapicales para completar los auxiliares de diagnóstico (Figura 1).
La paciente refiere haber sufrido traumatismo a la edad de cinco años, lo que afectó los órganos dentarios superiores del lado derecho.
Al realizar pruebas de vitalidad pulpar y de percusión el órgano dentario 12 no responde, clínicamente se observa cambio de coloración en la corona además de recesión gingival, al examen radiográfico se aprecia ápice abierto y lesión radiolúcida a nivel periapical; basados en los hallazgos clínicos y radiográficos, el diagnóstico fue necrosis pulpar con periodontitis apical asintomática, por lo que el tratamiento es apicoformación con MTA (Figura 2A).

Figura 2: A) Radiografía periapical preoperatoria. B) Resultados de la fase I periodontal. C) Procedimiento quirúrgico para la eliminación de canino retenido y apreciación del ápice inmaduro. D) Radiografía final del tratamiento de conductos.
De acuerdo al examen clínico, se decidió llevar a cabo el tratamiento periodontal y endodóntico que más adelante se explicará, tomando en cuenta que el diente tenía un pronóstico desfavorable, el objetivo inicial de estos tratamientos era controlar la enfermedad periodontal y endodóntica, recuperar los tejidos blandos periodontales para más tarde llevar a cabo la extracción del diente y realizar la regeneración ósea guiada y en un futuro colocar un implante dental.
Cabe mencionar que el tratamiento le fue explicado detalladamente a la paciente, señalando ventajas y desventajas del mismo, y se le dio a firmar una carta de consentimiento informado.
Tratamiento periodontal inicial
Se inició fase I periodontal mediante la modificación de hábitos de higiene bucal, se implementó la técnica de cepillado de Stillman modificado, uso adecuado de hilo dental y se realizó profilaxis, logrando con estos procedimientos la eliminación de la inflamación gingival (Figura 2B).
Tratamiento endodóntico
El tratamiento endodóntico se efectuó bajo anestesia local y aislamiento, la longitud de trabajo se tomó con una lima tipo K.80 y se confirmó radiográficamente, ya que en estos casos el uso del localizador no es confiable. La preparación biomecánica se realizó con la lima tipo K.80 y con copiosa irrigación de Na OCL al 5.25%, se colocó hidróxido de Ca por un periodo de siete días y la cavidad de acceso fue sellada con algodón y Provisit ®.
Después de una semana se retiró el hidróxido de Ca y de nuevo se irrigó con NaOCL al 5.25%, a continuación se secó el conducto con puntas de papel para poder colocar el MTA en la porción apical del conducto con la finalidad de formar una barrera apical, la adecuada colocación del material se pudo observar en las radiografías.
Una semana después la paciente tuvo cita con el cirujano maxilofacial para que le fuera retirado un canino retenido (Figura 2C) y al estar irrigando el cirujano, el MTA se fue deslavando hasta desaparecer en su totalidad, por lo que ya recuperada la paciente se le dio nuevamente cita para su tratamiento endodóntico y en este caso debido a las condiciones de la raíz se decidió obturar en su totalidad el conducto radicular con MTA y la cavidad de acceso con resina (Figura 2D).
Ganancia de encía insertada
Una vez concluido el tratamiento endodóntico se programó la cirugía periodontal para ganar encía insertada y se decidió aplicar la técnica de doble papila; sin embargo, hubo poca ganancia de encía insertada, por lo mismo se decidió colocar un injerto gingival libre.
Antes de iniciar el procedimiento quirúrgico (injerto gingival libre), la paciente realizó colutorios con gluconato de clorhexidina al 0.12%, enseguida se aplicó la técnica de anestesia supraperióstica en el diente 12 y así posteriormente preparar el sitio receptor, el sitio donador fue la zona palatina, se obtuvo un injerto de alrededor de 1mm de espesor y se suturó con puntos simples aislados con ácido poliglicólico 5-0. Ambas heridas se protegieron con un apósito periodontal.
A las dos semanas se retiraron las suturas y el apósito periodontal, por dos semanas se indicó la realización de colutorios dos veces al día con gluconato de clorhexidina al 0.12%.
Procedimiento de cobertura radicular
Dos meses después se efectuó la cirugía periodontal para ganar altura y espesor gingival, se realizó un desplazado coronal más injerto de tejido conectivo subepitelial (ITCS) (Figura 3A).

Figura 3: A) Preparación del lecho receptor (ITCS). B) Adaptación del injerto de tejido conectivo subepitelial. C) Cicatrización a los 15 días después de haber realizado la cobertura radicular. D) Revisión clínica cuatro meses después del procedimiento de cobertura radicular.
El ITCS fue tomado de la zona palatina, se removió el tejido adiposo y el epitelio subyacente (Figura 3B). Este injerto se colocó en el sitio receptor suturándolo a las papilas interdentales con puntos suspensorios coronales, posteriormente se realizó el desplazado coronal del colgajo combinando puntos simples aislados con suspensorios coronales, para esto se usó sutura de ácido poliglicólico 5-0.
Al terminar el procedimiento se colocó apósito periodontal (Coe-Pak) en ambos sitios quirúrgicos.
Se recetó ibuprofeno cápsulas de 600 mg y colutorios con gluconato de clorhexidina al 0.12% (dos veces al día durante dos semanas).
A los 15 días se retiró el apósito periodontal y la sutura se retiró a las dos semanas después del procedimiento. La paciente no tuvo complicaciones posto peratorias (Figura 3C).
Resultados
Se hicieron revisiones periodontales periódicas, cuatro meses después de la segunda cirugía se observó que la cobertura radicular era de 90% aproximadamente en el diente 12, por lo mismo se decidió efectuar la cobertura radicular con la técnica semilunar, siendo una técnica indicada para recesiones pequeñas y con buena cantidad de encía insertada (Figura 3D).
De acuerdo con el seguimiento clínico y radiográfico a los seis meses y al año se considera un tratamiento exitoso, ya que la paciente se encuentra asintomática y en las radiografías se aprecia reparación de la lesión periapical.
A dos años después de haber realizado los procedimientos, se observa estabilidad de los tejidos blandos y por lo tanto, a petición de la paciente, se decide postergar la colocación del implante y mantener al diente el tiempo que sea funcional, esto mientras éste no refiera ninguna sintomatología (Figuras 4AyB).

Figura 4: A) Fotografía final, revisión dos años después. B) Radiografía periapical a dos años de haber concluido el tratamiento. C) Sondeo periodontal inicial. D) Sondeo periodontal final.
Al sondeo periodontal no se encontró bolsa perio dontal y se pudo corroborar la inserción adecuada del injerto, comparando clínicamente el sondeo periodon tal y final (Figuras 4CyD).
La paciente quedó satisfecha con los resultados clínicos.
Discusión
En este caso gracias a los diversos procedimientos quirúrgicos periodontales se logró ganar una buena cantidad y calidad de tejido queratinizado, ya que una de las técnicas aplicadas fue la colocación de injerto de tejido conectivo subepitelial; aplicar esta técnica tiene beneficios en la reducción significativa de la recesión gingival, esto en comparación con sólo la aplicación del colgajo desplazado coronal.11
En otros estudios se ha observado que el colgajo coronalmente avanzado modificado combinado con el injerto de tejido conectivo subepitelial es eficaz y predecible para producir cobertura de la raíz en múltiples recesiones gingivales adyacentes asociadas con ganancia en los niveles de inserción clínica y en el ancho de tejido queratizado.12,13
El procedimiento desplazado coronal más injerto de tejido conectivo subepitelial proporciona mejores resultados a largo plazo (60 meses después de la cirugía) que sólo el desplazado coronal. La estabilidad a largo plazo del margen gingival es menos predecible para los defectos GR Miller clase II en comparación con los de clase I,14 aunque otros resultados indican que el tratamiento de recesiones gingivales múltiples adyacentes clase I y II de Miller mediante la técnica modificada coronalmente avanzada del túnel y la matriz de colágeno puede generar una cobertura de raíz completa estadística y clínicamente significativa.15
Los procedimientos de injerto de tejido blando también son importantes en las zonas alrededor de implantes dentales, ya que dan como resultado una salud periimplantaria más favorable al ganar mucosa queratinizada, por lo tanto existe mejoría en los índices de sangrado y niveles óseos marginales más altos,16 los injertos autógenos (injerto de tejido conectivo subepitelial) permiten un aumento en el grosor de los tejidos blandos y resultados estéticos, y mejoran el biotipo gingival.17-19
De acuerdo con los hallazgos clínicos y radiográficos el tratamiento de elección en este caso es la apexificación. Diversos materiales se han utilizado para estos casos como el hidróxido de calcio, pero presenta algunas desventajas como múltiples citas en largos periodos, resultados impredecibles en la formación de una barrera apical y sobre todo la susceptibilidad a la microfiltración bacteriana y a la fractura.20
Otro material ampliamente utilizado es el MTA, ya que existen estudios científicos que han demostrado su gran biocompatibilidad, excelente sellado y buena adaptación marginal que reduce la microfiltración bacterial, además de que el tratamiento reduce de manera significativa los largos periodos en comparación con el uso de hidróxido de Ca.
En este caso se utilizó MTA, ya que ha demostrado ser el material de elección para formar una barrera apical en órganos dentarios permanentes no vitales con ápice abierto.21 Otro factor para utilizar MTA es que a diferencia de otros materiales fragua en presencia de humedad y su principal componente que es el óxido de calcio se convierte en hidróxido de calcio, lo que le confiere un pH alto con efecto antibacterial y a diferencia del hidróxido de calcio el material tiene buena estabilidad y baja solubilidad.22
Como se ha mencionado los resultados favorables obtenidos en este caso clínico son debido a sus propiedades como la de biocompatibilidad, en el estudio de Tawil PZ 2009 se demostró que histológicamente se forma un nuevo cemento en el área de los tejidos perirradiculares así como una baja respuesta inflamatoria con la formación de un puente en el área del espacio pulpar; gracias a la capacidad de sellado que presenta, logra una barrera estable evitando la contaminación bacteriana y de fluidos que son aspectos importantes para lograr el éxito clínico.23
Conclusiones
El caso presentado confirma que el uso de MTA para el tratamiento en dientes con ápice abierto estimula la regeneración del tejido apical.
Las diversas técnicas de procedimientos mucogingivales permiten ganar o en este caso recuperar los tejidos blandos perdidos alrededor del diente, sólo es cuestión de diagnosticar y desarrollar un buen plan de tratamiento.
Al finalizar este caso, podemos concluir que el trabajo multidisciplinario es importante para lograr el éxito y el bienestar del paciente.















