Introducción
Las metástasis cardiacas son infrecuentes, aunque se describen hasta en el 9% de las necropsias de pacientes con cáncer, y suelen originarse a partir de mesoteliomas pleurales, melanomas, leucemias, cáncer de pulmón, mama, estómago o riñón1,2. El carcinoma renal de células claras avanzado suele comprometer a las cavidades cardiacas derechas por la invasión local de la vena cava inferior, aunque se han descrito casos extremadamente raros en los que se generan metástasis cardiacas sin compromiso de esta estructura por diseminación linfática o hematógena1-8.
Presentación del caso
Mujer de 67 años, con antecedentes de Chagas, linfoma Hodgkin en la infancia que requirió quimioterapia, carcinoma de tiroides a los 55 años que requirió radioterapia y tiroidectomía total, e hipertensión arterial, medicada con losartán 50 mg.
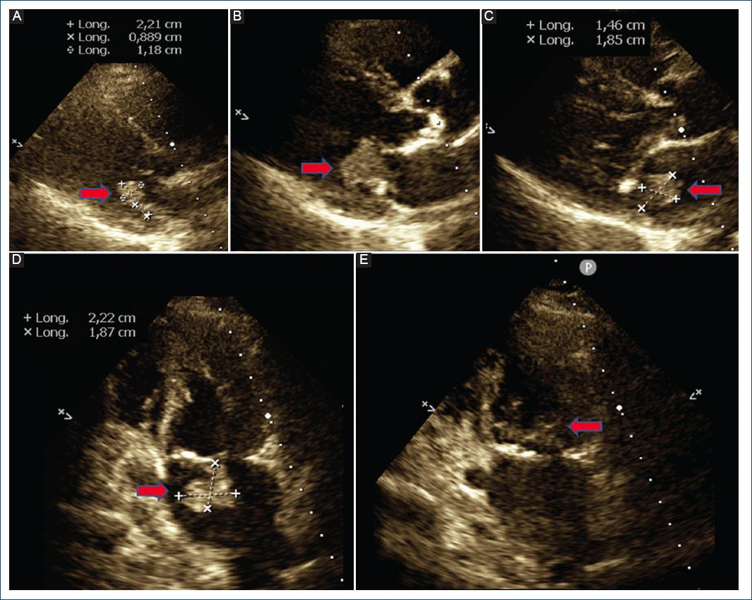
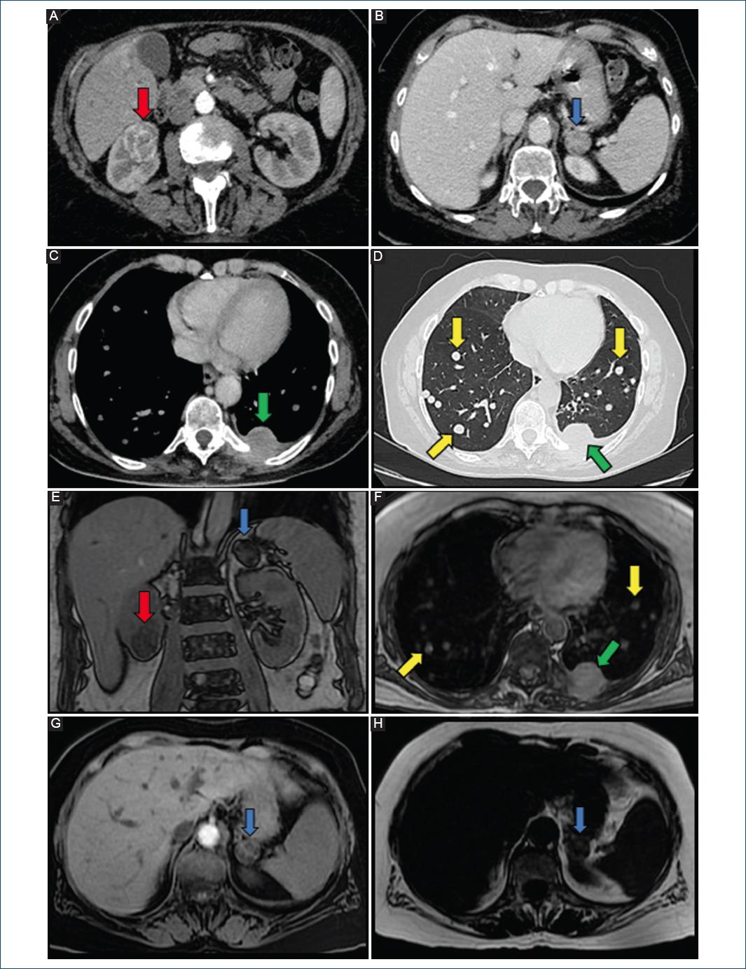
Fue derivada desde su ciudad de residencia por diagnóstico de posible endocarditis mitral, presentando pérdida de peso y sudoración nocturna de cuatro meses de evolución, descripción de una vegetación en valva posterior mitral y seis hemocultivos negativos. En nuestra institución se realizó ecocardiograma transtorácico, que evidenció masa móvil homogénea de 22 x 18 mm adherida a la valva mitral posterior de posible origen tumoral con protrusión hacia ventrículo izquierdo y generando insuficiencia mitral moderada (Fig. 1). No presentaba alteraciones en el electrocardiograma o el laboratorio. Se efectuó resonancia magnética (RM) cardiaca que informó la presencia de una masa en anillo mitral posterior de 20 mm hipervascular con captación y retención de contraste, y otra lesión similar pequeña en válvula aórtica (Fig. 2). Ante la sospecha de metástasis cardiaca, se realizó tomografía computarizada (TC) de abdomen y pelvis que detectó una masa isodensa heterogénea de 32 x 30 mm en el polo renal inferior derecho con necrosis interna y captación de contraste periférico, y un nódulo heterogéneo hipercaptante de 20 x 18 mm en glándula suprarrenal izquierda, ambos de origen neoformativo (Fig. 3). Se realizó TC de tórax que evidenció una masa hipercaptante subpleural a nivel basal posterior izquierdo de 29 x 28 mm que infiltraba los tejidos blandos y músculos intercostales adyacentes, además de múltiples nódulos pulmonares de hasta 5 mm compatibles con secundarismo (Fig. 3). La TC de encéfalo resultó normal. Se realizó RM de abdomen con contraste que detalló que la masa renal era compatible con neoplasia primaria y que el nódulo suprarrenal era compatible con secundarismo (Fig. 3). Se realizó biopsia renal, de una lesión pulmonar y de las subpleurales, compatibles con un carcinoma renal papilar de células claras con inmunohistoquímica positiva para vimentina y citoqueratina 7 en forma difusa y con patrón cup-like con anhidrasa carbónica IX. Se interpretó como carcinoma renal avanzado, con metástasis cardiacas mitral y aórtica (sin invasión de la vena cava), pulmonares, subpleurales y suprarrenal contralateral.

Figura 1 Masa adherida a valva posterior mitral evaluada mediante ecocardiograma transtorácico (flechas rojas). Vista paraesternal izquierda en diástole (A y B) y en sístole (C). Vista apical cuatro cámaras en sístole (D) y diástole (E).

Figura 2 Resonancia magnética cardiaca. Se observa una metástasis adherida a valva posterior mitral (flechas rojas) en sístole (A), diástole (B) y en diástole y con retención de contraste (C). También se observa una metástasis pequeña adherida en cara ventricular de válvula aórtica (flechas azules) en eje largo de tres cámaras (D), eje largo de 5 cámaras (E) y eje corto (F).

Figura 3 Imágenes de tomografía de tórax y abdomen con contraste endovenoso (A-D), y de resonancia magnética de abdomen con contraste endovenoso (E-H). Se observa el tumor primario renal derecho con necrosis central (flechas rojas), una metástasis en glándula suprarrenal izquierda (flechas azules), una metástasis subpleural que invade músculos intercostales (flechas verdes), y múltiples metástasis pulmonares bilaterales (flechas amarillas). En G y H se observa el comportamiento de la metástasis suprarrenal (flechas azules) mediante secuencias LAVA-Flex con supresión de agua y grasa, respectivamente.
Se decidió iniciar tratamiento inmunomodulador con pembrolizumab y axitinib, efectuando pruebas de Strout y reacción en cadena de la polimerasa cuantitativa para Chagas previo al inicio del tratamiento y cada 15 días durante este, a fin de descartar su reactivación como consecuencia del tratamiento oncológico, las cuales fueron siempre negativas. Tras seis ciclos de tratamiento no se redujeron las metástasis ni el tumor primario, manteniéndose asintomática y sin cardiotoxicidad a un año de seguimiento.
Discusión
Se define metástasis cardiacas como la diseminación a distancia de un tumor a cualquiera de las estructuras cardiacas, e incluye los tumores que producen masas neoplásicas intracavitarias por invasión de la vena cava inferior1,2. Su incidencia varía entre el 2.3 y 18% en diferentes series, y disminuye con la edad1,2.
Los tumores que mostraron la tasa más alta de metástasis en el corazón son el mesotelioma pleural (48%), melanoma (28%), adenocarcinoma de pulmón (21%), carcinoma escamoso de pulmón (18%), carcinoma de mama (16%), carcinoma de ovario (10%), leucemia (9%), carcinomas bronquioalveolares (10%), carcinomas gástricos (8%), carcinomas renales (7%) y carcinomas de páncreas (6%)1,2. Pueden propagarse por cuatro vías: invasión local directa, diseminación sanguínea, por el sistema linfático y por invasión intracavitaria a través de las venas cavas o las pulmonares1,2.
Aproximadamente el 30% de las metástasis cardiacas involucran el pericardio, el 30% el epicardio o el miocardio y solo el 5% afectan al endocardio. Mientras que la mayoría de los tumores metastatizantes a corazón afectan a pericardio o miocardio, el endocardio es especialmente implicado por melanomas, carcinoma renal y carcinoma hepático. Pueden ser asintomáticas o manifestarse como derrame pericárdico, arritmia ventricular, síncope o insuficiencia cardiaca1,2.
Los principales diagnósticos diferenciales de las metástasis endocárdicas son los trombos intracavitarios, vegetaciones de endocarditis infecciosa, mixomas, sarcomas u otros tumores cardiacos primarios, por lo que el ecocardiograma, la RM o la tomografía por emisión de positrones son necesarios para caracterizar la lesión1,2.
El carcinoma renal de células claras avanzado suele comprometer las cámaras cardiacas derechas a mediante la invasión de la vena cava inferior, mientras que las metástasis endocárdicas generadas por diseminación hemática sin invasión de la vena cava son extremadamente infrecuentes y suelen diagnosticarse tardíamente, post mortem mediante necropsias3-8. El tratamiento de primera línea actualmente se basa en la administración de inmunomoduladores, especialmente en pacientes con mal pronóstico, demostrando una sobrevida del 50% a los 48 meses3-8.
Conclusión
Las metástasis cardiacas originadas a partir de un carcinoma renal de células claras sin compromiso de la vena cava inferior son infrecuentes. Pueden tener manifestaciones clínicas variadas, y los diagnósticos diferenciales son trombos intracavitarios, vegetaciones y tumores cardiacos primarios. El tratamiento inmunomodulador debe iniciarse precozmente para modificar el pronóstico.














