Introducción
Aunque muchas de las medidas de laboratorio de malabsorción y micronutrientes se desarrollaron a mediados del siglo XX, el término “insuficiencia intestinal” no se introdujo hasta 1980. Este periodo marcó un hito importante en la comprensión de la fisiología y las implicaciones nutricionales de la pérdida de segmentos del intestino delgado.1 La insuficiencia intestinal (FI) fue definida por primera vez en 1981 por Fleming y Remington como “una reducción de la masa intestinal funcional por debajo de la cantidad mínima necesaria para una digestión y absorción adecuadas de los alimentos”.2
La Sociedad Europea de Nutrición Clínica y Metabolismo definió la insuficiencia intestinal (FI) como “la reducción de la función intestinal por debajo del mínimo necesario para la absorción de macronutrientes y/o agua y electrolitos, de modo que se requiere la suplementación intravenosa para mantener la salud y/o el crecimiento”.3
Anatómicamente, según el tipo y la extensión de la resección intestinal y los procedimientos quirúrgicos adicionales (estomas), se pueden distinguir tres categorías diferentes de intestino corto como criterios pronósticos para la futura progresión de la enfermedad:4
Tipo I: agudo y de corta duración. Por lo general, es una afección autolimitada, a menudo observada en el entorno perioperatorio y/o en asociación con una enfermedad crítica, donde los pacientes requieren nutrición parenteral (NP) durante unos días o semanas;
Tipo II: condición aguda prolongada, a menudo surge en pacientes con condiciones metabólicamente inestables y requiere un tratamiento multidisciplinario complejo y suplementos intravenosos durante un periodo de semanas a meses;
Tipo III: condición crónica que se encuentra en pacientes metabólicamente estables que necesitan ser sustituidos por vía intravenosa durante meses o años. Puede ser (parcialmente) reversible o irreversible.5
Presentación de caso
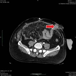
Paciente masculino de 48 años con antecedentes de poliomielitis sin secuelas aparentes durante la edad adulta. Inicia su padecimiento con abdomen agudo de causa probable apendicitis diagnosticado y atendido en hospital particular, se realiza laparoscopia con conversión a cirugía abierta, durante la cirugía se observa tumoración de yeyuno proximal (a 30 cm de ángulo de Treitz) (Figura 1), se realiza resección de 40 cm de yeyuno con anastomosis laterolateral con grapadora lineal, presentando fuga por dehiscencia de anastomosis a las 24 horas, por lo que se le realiza yeyunostomía a nivel de anastomosis, paciente con desarrollo tórpido y datos de sepsis abdominal, por lo que se envía a nuestra unidad por falta de recursos económicos.

Figura 1: Tomografía computarizada en corte axial en donde se observa la cuarta porción duodenal cercano al ángulo de Treitz y 30 cm restantes con salida a estoma yeyunal. Se encuentra dehiscencia en la aponeurosis de los músculos rectos abdominales.
Laboratorios a su ingreso: tiempo de protrombina (TP) 17.2 segundos, índice internacional normalizado (INR, por sus siglas en inglés) 1.5, tiempo parcial de tromboplastina (TTP) 27.9 segundos; proteína C reactiva (PCR) 8.8 mg/dl, = velocidad de sedimentación globular (VSG) 50 mm/h, procalcitonina 0.63 ng/ml; leucocitos 10.66 × 109/l, neutrófilos 8.57, hemoglobina (HB) 9.8 g/dl, hematocrito (Hto) 31.1%, volumen corpuscular medio (VCM) 100.5 fl, hemoglobina corpuscular media (HCM) 31.6 pg, plaquetas 485,000/mm3; bilirrubina total (BT) 1 mg/dl, albúmina 3.3 g/dl, proteínas 5.4 g/dl, globulina 2.1 g/dl; sodio (Na) 146 meq/l, potasio (K) 4 meq/l, cloro (Cl) 111 meq/l, calcio (Ca) 7.5 meq/l, fósforo (P) 2.8 meq/l, magnesio (Mg) 1.8 meq/l, nitrógeno ureico en sangre (BUN) 12 meq/l, creatinina (Cr) 0.55 mg/dl. Tomografía sin evidencia de colecciones. Se realiza manejo y control de sepsis, así como desequilibrio hidroelectrolítico y se realiza soporte nutricional con nutrición parenteral al 100%; a los 15 días se decide reintervenir encontrando abdomen congelado; se realiza disección a través del epiplón hasta encontrar asa de intestino delgado, se coloca sonda Foley de 18 Fr con técnica de Witzel. Se realiza paso de medio de contraste, se localiza sitio de inserción de yeyunostomía en yeyuno (Figura 2), por lo cual se realiza inicio de nutrición por la misma, se inicia dieta al 100% vía oral con recolección de quimo y autotrasplante por el mismo paciente (Figura 3). A las dos semanas se realiza balance nitrogenado encontrándolo positivo, por lo que se decide su egreso y manejo ambulatorio después de 36 días de estancia hospitalaria. A los siete meses del egreso se realiza protocolo de reconexión sin complicaciones, con egresó a los siete días con recuperación total.

Figura 2: Se realiza pase de medio de contraste por sonda de yeyunostomía, a las 24 horas de la primera reintervención. Muestra paso por yeyuno, íleon y colon.
Discusión
Al inicio del caso clínico se menciona que el paciente es hipertenso sin tratamiento específico. En Finlandia, se realizó un estudio de 52 pacientes con diagnóstico de falla intestinal, el 69% eran mujeres y la mediana de edad fue de 62 años. Encontraron que el síndrome de intestino corto fue el mecanismo de falla intestinal más frecuente con un 73%. En estos pacientes, las comorbilidades más comunes fueron hipertensión (37%) y diabetes mellitus (23%).6
En nuestro caso clínico, evaluamos a un paciente masculino que había sido sometido a una apendicectomía abierta y presentaba una tumoración en la parte proximal del yeyuno. Se reseccionaron 40 cm de yeyuno, lo que afectó la función metabólica, linfática y secretora del sistema digestivo, resultando en una falla intestinal, similar a lo que se describe en el estudio de Chandankhede y colaboradores.5
Posteriormente, el paciente experimentó una dehiscencia de la anastomosis intestinal, lo que puede llevar a complicaciones como fístulas, peritonitis y sepsis de origen abdominal. La incidencia de esta complicación está influenciada por el sitio anatómico resecado, la flora microbiana, el aporte vascular y la tensión en la anastomosis. Se estima que la dehiscencia en el intestino delgado aumenta en un 15% la tasa de mortalidad, según lo mencionado por Campos y asociados.7
A los 15 días de hospitalización y tras la realización de una yeyunostomía, comenzamos la reinfusión de quimo a través de esta sonda. Este tratamiento resultó en una mejora del estado nutricional, de la función de absorción del intestino y en la prevención de enfermedad hepática. Además, acortó el periodo de dependencia de la nutrición parenteral en pacientes con falla intestinal, según lo indicado por Beath y colegas.8
Nuestro paciente padecía insuficiencia intestinal debido a un síndrome de intestino corto y tuvo una estancia intrahospitalaria de 36 días, similar a los 26 días reportados por Enríquez y su grupo.9
En 2018, Lam y colaboradores fueron los primeros en comentar su experiencia real con teduglutida en pacientes adultos con insuficiencia intestinal asociada a síndrome de intestino corto del programa de rehabilitación intestinal del Centro Médico Mount Sinai de Nueva York. Realizaron un estudio retrospectivo con 18 pacientes a quienes les dieron 0.05 mg/kg del medicamento al día durante seis meses. De los 18 pacientes, 11 alcanzaron una autonomía nutricional de su intestino completa en 10 meses. Esto mostró ser una alternativa eficaz a otros tratamientos.10
En 2019 Pevny y su equipo, también informaron, en un estudio retrospectivo de tres años, sus resultados a cerca de 19 pacientes con falla intestinal que fueron tratados con teduglutida en tiempo medio de 56 semanas. De ellos, el 21% mostró autonomía de la nutrición parenteral y el 79% redujo grandemente la necesidad de volumen parenteral semanal comparado con su inicio. Esta respuesta se observó, en promedio, a las 12 semanas del tratamiento. El 33% de los pacientes necesitaron reducir la dosis de teduglutida, modificar el intervalo o una interrupción temporal de las mismas. En ninguno de estos pacientes se detectaron pólipos nasales o cáncer con colonoscopia anual.11
Conclusión
En este caso clínico se observó que la resección de una porción significativa del yeyuno generó alteraciones importantes en la función metabólica y secretora del sistema digestivo, conduciendo a una falla intestinal. La reintroducción del quimo mediante una yeyunostomía demostró ser un tratamiento efectivo para mejorar el estado nutricional, la función de absorción del intestino y prevenir enfermedades hepáticas, además de reducir la dependencia de la nutrición parenteral en pacientes con falla intestinal.















