Introducción
El síndrome de Patau es una condición genética que fue identificada en 1960 como trisomía del cromosoma 13.1 En frecuencia, la trisomía 13 constituye la tercera trisomía autosómica más común. Es un problema grave ya que aproximadamente 15% sobrevive el año de vida.2 Se estima que tiene una prevalencia de 1 por cada 12,000 a 29,000 nacimientos; en los Estados Unidos de Norteamérica.3,4
En esta trisomía existen tres tipos, la completa o por no disyunción es la más común y representa 63% de los casos de todos los diagnosticados en Latinoamérica. La segunda en frecuencia es el tipo mosaico (21%), seguida de la trisomía parcial o por translocación robertsoniana (16%).5-12
De acuerdo con sus manifestaciones clínicas, en Brasil, Petry y colaboradores en una serie de 30 pacientes encontraron que sólo 13% de los casos presentan la tríada clásica: microftalmía, fisura labio-palatina y polidactilia. Pero señalan que 77% tuvo pabellones auriculares dismórficos, 47% con orejas de implantación baja, mientras que la microftalmía y micrognatia con 50 y 60%, respectivamente. La polidactilia (principalmente de manos) se encontró en 63%, y en menos de 10% hipertelorismo ocular y pies en mecedora.5 Otros autores describen que más de 50% de los casos tiene microcefalia, frente deprimida con angioma, aplasia cutis en región parietooccipital, labio hendido y fisura palatina. Además, que la mayoría presenta discapacidad intelectual, epilepsia y retraso global en el neurodesarrollo.13,14
Presentamos a un paciente con trisomía 13 completa quien tuvo hallazgos clínicos poco usuales.
Caso clínico
Se trata de un paciente masculino de tres años, quien fue referido al servicio de genética por retraso global en el neurodesarrollo y malformaciones congénitas, hijo de madre de 35 años y padre de 37 en el momento de la concepción, sin historia de consanguinidad o endogamia. Tuvo seis controles prenatales, no presentó oligohidramnios, pero se detectó retraso en el crecimiento intrauterino a partir de la semana 30. Nació por parto eutócico a las 38 semanas de gestación, Apgar 8 y 9. Por antropometría se determinó que era pequeño para la edad gestacional; según las curvas de crecimiento de la Organización Mundial de Salud se ubicó por debajo del percentil 3, con un peso de 2,100 g, talla de 41 cm, perímetro cefálico de 30 cm.
Se ingresó a neonatología por presentar microcefalia, microftalmía, polidactilia bilateral, zona alopécica parietooccipital e hipertonía muscular. A los siete días de vida, Dermatología identificó que una lesión en cuero cabelludo podía corresponder con aplasia cutis congénita, lo cual se confirmó por biopsia.
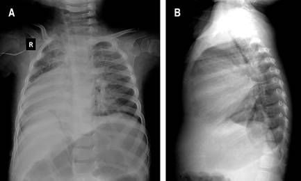
A los dos meses de edad, cardiología pediátrica mediante estudios de imagen estableció que presentaba dextrocardia y persistencia de conducto arterioso (Figura 1). En cuanto a su desarrollo se determinó retraso psicomotor grave, ya que a los dos años empezó la emisión de sonidos guturales y a sonreír a los tres. En tomografía de cráneo no se detectaron malformaciones del sistema nervioso central. Sin embargo, poco tiempo después aparecieron crisis convulsivas parciales complejas que fueron controladas con clonazepam; inicialmente eran dos crisis por semana, pero fueron disminuyendo a una por mes. En electroencefalograma se reportaron cambios epilépticos difusos. Por oftalmoscopía se evidenciaron cambios atróficos en ambos nervios ópticos; mientras que en potenciales evocados de tallo cerebral se identificó sordera moderada en oído derecho.

Figura 1: A) La radiografía de tórax anteroposterior evidencia el vértice cardiaco orientado hacia la derecha del tórax (dextrocardia) en el paciente con trisomía 13 completa. B) Radiografía lateral de tórax.
En la primera consulta del servicio de genética, a los tres años de edad, su peso era de 11.3 kg (percentil 3), talla de 87.2 cm (percentil 10) y perímetro cefálico de 42 cm (percentil < 3). Había pérdida marcada de la masa muscular, con predominio en el segmento distal de las extremidades.
En cráneo se detectó una zona alopécica de 20 × 20 mm, localizada en región parietooccipital del cuero cabelludo (Figura 2A). Su facie era cuadrangular, con hipoplasia medio facial, frente inclinada, presencia de hemangioma plano en el tercio medio-inferior de la frente. Sin hipertelorismo ocular, pero con microftalmía bilateral, ausencia de cejas en el tercio interno, y estrabismo divergente. Pabellones auriculares de implantación baja y rotados; nariz hipoplásica con dorso nasal amplio y muesca en cada ala nasal; filtrum borrado, arco de Cupido poco definido, paladar alto y arqueado, labios finos y micrognatia (Figura 2B).

Figura 2: A) Cráneo con zona cicatrizal alopécica de 20 × 20 mm, localizada en la zona parietooccipital del cuero cabelludo. B) Facie con ausencia de labio leporino y hemangioma plano en el tercio medio-inferior de la frente. C) Manos con polidactilia postaxial.
El tórax era estrecho en el diámetro anteroposterior; se auscultaron ruidos cardiacos rítmicos en hemitórax derecho, con ausencia de soplos. En las bolsas escrotales no se palparon ambos testículos. En las extremidades superiores se confirmó polidactilia, observando tendencia a la flexión de los dedos y camptodactilia cubital bilateral, con defectos en los pliegues de flexión; además de pliegue palmar transverso único bilateral (Figura 2C). Las uñas en las manos eran estrechas e hiperconvexas; había prominencia posterior del talón en ambas extremidades inferiores (pie en mecedora). Un ultrasonido abdominal mostró hipoplasia renal unilateral derecha.
En la evaluación del neurodesarrollo, de acuerdo con la escala de conducta adaptativa de Vineland, se consideró que correspondía a un niño de 18 meses de edad, con sus habilidades motoras y expresión de lenguaje gravemente afectadas.
De acuerdo con hallazgos clínicos y de imagen se procedió al estudio citogenético convencional, y mediante cultivo de linfocitos sanguíneos con técnica de bandas GTG y el conteo de 120 metafases, se determinó un cariotipo de sexo masculino con trisomía del cromosoma 13 en variedad línea completa: 47, XY +13 (Figura 3A). El cariotipo de sus padres fue normal. La hibridación in situ con fluorescencia (FISH) se llevó a cabo en metafases de linfocitos sanguíneos, para el cromosoma 13 utilizando el kit de sondas de ADN comerciales Aneuvision: las sondas LSI (locus specific identification) fueron 13 (región 13q14.2) marcadas con fluorocromo SpectrumGreen y para el 21 (región 21q22.13) estuvo marcada con fluorocromo SpectrumOrange. Las imágenes con los cromosomas marcados fueron capturadas usando un microscopio Zeiss Axio Scope.A1 (Figura 3B). En estudio citogenético de una muestra de piel se corroboró la fórmula cromosómica de la sangre periférica, descartando mosaicismo.

Figura 3: A) Cariotipo convencional, 47, XY, +13. B) Técnica hibridación in situ con fluorescencia (FISH), con marcaje de sondas locus specific identification (LSI) para el cromosoma 13 (13q14.2) verde y para el 21 (q22.13) amarillo, permite observar el marcaje trisómico para el cromosoma 13 (flechas).
Discusión
Con el propósito de comparar el caso que presentamos con lo previamente reportado en la literatura, se elaboró la Tabla 1, en la cual incluimos 13 pacientes. Como se puede observar, en 12 casos se describe la tríada clínica clásica; el labio o paladar hendido en un caso (8.3%) y la polidactilia de manos y pies en seis casos. Los hallazgos craneofaciales involucran la aplasia cutis o defectos en el cuero cabelludo, con mayor frecuencia se ubica en el ápice de la cabeza (16.6%), también está el orificio nasal único y las muescas en cada ala nasal como hallazgos poco usuales, similar a nuestro caso. 15-19 Entre otros defectos faciales se describe frecuentemente que las orejas tienen implantación baja; además, se han reportado algunos casos con presencia de mamelones o fositas preauriculares.
Tabla 1: Hallazgos clínicos descritos en 13 reportes de casos, de pacientes con trisomía completa del cromosoma 13.
| Características | Latinoamérica | En todo el mundo | |||||||||||
|---|---|---|---|---|---|---|---|---|---|---|---|---|---|
| Caso presentado | Duarte AC et al. (2003) | Martins WD et al. (2024) | Redheendran R et al. (1981) | Tunca et al. (2001) | Jacob et al. (2010) | Peroos et al. (2012) | Feben et al. (2015) | Imataka et al. (2016) | Goff et al. (2017) | Kramer et al. (2022) | Hu RS et al. (2023) | ||
| Sexo | Masculino | Femenino | Masculino | Femenino | Masculino | Femenino | Femenino | Femenino | Femenino | Masculino | Femenino | Femenino | Femenino |
| Edad al momento del reporte | 3 años | 28 meses | Recién nacido | 19 años | 11 años | 32 años | 15 años | 8 años | Recién nacido | 14 años | 2 años | Adolescente | 3 años |
| Región | Ecuador | São Paulo | São Paulo | / | / | Afroamericana | / | Somalia | Caucásica | Japón | / | Países bajos | / |
| Edad (años) | |||||||||||||
| Padre | 37 | / | / | 46 | 26 | / | / | 29 | / | 41 | / | / | / |
| Madre | 35 | 36 | 16 | 40 | 26 | 18 | / | 27 | / | 37 | / | / | 35 |
| Edad gestacional (semanas) | 38 | / | 37 | 38 | < 38 | 36 | 38 | 41 | 38 | > 35 | 38 | 38 | 39 |
| Peso al nacimiento (g) | 2,100 | 2,600 | 2,226 | 2,760 | 2,370 | / | / | 2,433 | / | 1,950 | / | / | 3,600 |
| Parto vaginal | + | + | + | + | + | / | / | + | + | / | / | / | + |
| Malformaciones | |||||||||||||
| Microcefalia | + | + | + | + | + | + | + | + | + | + | + | / | / |
| Agenesia de cuerpo calloso | – | / | – | / | / | / | / | + | – | + | + | + | + |
| Defectos de cuero cabelludo | + | + | – | / | / | / | / | + | / | / | / | / | / |
| Nariz ancha y bulbosa | + | + | + | + | + | + | + | / | + | / | + | / | + |
| Microftalmía | + | / | / | + | + | + | + | + | + | / | / | / | / |
| Coloboma del iris | – | / | – | + | + | + | / | / | / | / | / | / | / |
| Cataratas | – | / | – | + | + | + | + | + | / | / | / | / | / |
| Implantación baja orejas | + | + | + | + | + | / | + | + | / | + | + | / | / |
| Fosita o mamelón preauricular | + | / | – | + | / | / | / | / | + | / | / | / | + |
| Labio hendido | – | – | – | – | – | – | / | – | + | – | – | / | / |
| Paladar hendido | – | – | – | – | – | – | / | – | + | – | – | / | / |
| Dextrocardia | + | – | – | + | – | + | – | – | – | – | – | – | – |
| Renales | – | / | + | / | / | / | / | + | + | / | / | + | / |
| Criptorquidia | + | § | + | § | + | § | § | § | § | + | § | § | / |
| Útero didelfo | § | / | § | – | § | – | / | – | – | § | / | + | – |
| Polidactilia de manos | + | + | + | + | + | – | / | + | – | + | / | / | / |
| Polidactilia de pies | – | – | + | + | + | / | / | + | + | + | / | / | / |
| Pliegue palmar único | + | / | – | / | / | / | / | / | – | / | + | / | / |
| Fisura de manos/ectrodactilia | – | – | – | – | – | – | / | – | + | – | – | / | / |
| Pies en mecedora | + | + | / | + | + | + | / | / | / | + | + | / | + |
| Hemangioma capilar | + | + | – | / | / | / | / | / | / | + | / | / | / |
| Retraso en el neurodesarrollo | + | + | § | + | + | + | + | + | + | + | + | + | + |
| Convulsiones | + | + | – | + | + | + | + | + | + | + | + | + | + |
| Otros | |||||||||||||
| Infecciones recurrentes | + | + | § | + | + | + | + | + | / | + | + | + | + |
| Reporte citogenético | 47, XY +13 |
47, XX +13 |
47, XY +13 |
47, XX +13 |
47, XY +13 |
47, XX +13 |
47, XX +13 |
47, XX +13 |
47, XX +13 |
47, XY +13 |
47, XX +13 |
47, XX +13 |
47, XX +13 |
| Murieron antes del año de vida | – | – | + | – | – | – | – | – | – | – | – | – | – |
RN = recién nacido.
Descripción del caso: + Presente. - Ausente. / No reportado.
§ No aplica.
Otro hallazgo clínico es la microcefalia que está presente en más de 80% de los casos, que se asocia con el retraso en el neurodesarrollo. La cual es tan grave que un gran número no logran independencia en la ejecución de actividades básicas como la higiene y alimentación, por lo que requieren cuidado permanente.
Un defecto que destacar, que estuvo presente en nuestro caso, pero es poco frecuente, es la dextrocardia, la cual se ha descrito previamente en dos publicaciones.20,21 Uno de ellos corresponde a la paciente con mayor tiempo de supervivencia reportada, una mujer afroamericana de 32 años, mientras el otro también es una mujer de 19 años. Señalamos que se han descrito diferentes defectos cardiacos congénitos, en más de 70% de los pacientes.5,13,22,23
A nivel de genitales, también se han descrito alteraciones, las cuales son más frecuentes en varones, e incluyen principalmente a la criptorquidia, lo cual se presentó en nuestro paciente. En mujeres existe el reporte de un caso con útero didelfo.24
Con respecto a las malformaciones en extremidades, la polidactilia es considerada un hallazgo cardinal.25 Pero también se han descrito, otras menos frecuentes como la camptodactilia, pliegue palmar transverso único bilateral y la hipoplasia parcial de las uñas en las manos y pies. Esto último concuerda con el caso del presente reporte. La ectrodactilia se ha reportado en un caso, el cual presentó una bidactilia en la mano derecha y oligodactilia con hendidura en la mano izquierda.26
Entre las anormalidades en piel se ha mencionado a los hemangiomas capilares, localizados principalmente en cráneo y cara. En nuestro paciente se detectó aplasia cutis, que ya se ha descrito previamente.27
Por último, queremos destacar tres puntos adicionales que se muestran también en la Tabla 1; el primero es que la mayoría son mujeres (n = 9), el segundo es que tienen cuadros recurrentes de infecciones urinarias y respiratorias, y el tercero es que tuvieron una supervivencia mayor a un año de edad.28,29














