Introducción
La enfermedad de Krabbe es un error innato del metabolismo, con mecanismo de herencia autosómico recesivo. Esta enfermedad es causada por un defecto en el gen GALC, ubicado en el cromosoma 14, provocando deficiencia de la hidrolasa ácida galactosilceramidasa (GALC) que es responsable de la degradación de galactosilceramidas y esfingolípidos, abundantes en las membranas de mielina.1-3 La ausencia de GALC conduce a la acumulación tóxica de galactosilfingosina (psicosina), un lisoderivado de galactosilceramidas, en oligodendrocitos y células de Schwann que dan como resultado la desmielinización del sistema nervioso central (SNC) y sistema nervioso periférico (SNP).4-7
Los pacientes con enfermedad de Krabbe de inicio temprano suelen manifestar un fenotipo más grave y de rápida progresión, caracterizado por espasticidad apendicular, hipotonía axial, irritabilidad, retraso o regresión psicomotora grave, episodios recurrentes de fiebre, y tienen alta mortalidad. En contraste, los pacientes de inicio tardío presentan evolución más lenta, con regresión psicomotora gradual, desarrollo progresivo de paraparesia espástica y alteraciones de la marcha. Independientemente de la forma de presentación, esta enfermedad también puede afectar múltiples órganos y sistemas (Figura 1).8-13
El diagnóstico se basa en la sospecha clínica y en hallazgos de resonancia magnética cerebral (RMC), en la cual se evidencian alteraciones en la sustancia blanca y sustancia gris.14 Además, en los estudios de neuroconducción se presenta reducción en la velocidad de conducción nerviosa, tanto sensitiva como motora.15 Cuando se sospecha esta enfermedad, se requiere la medición de la actividad de la enzima GALC en leucocitos o cultivos de fibroblastos; mientras que el análisis molecular permite confirmar el diagnóstico.16,17
El reemplazo enzimático, la reducción de sustratos, las chaperonas enzimáticas y la terapia génica han demostrado ser estrategias prometedoras pero su eficacia en la enfermedad de Krabbe sigue siendo limitada. El trasplante de células madre hematopoyéticas representa el estándar actual de atención, pero su principal objetivo es ralentizar su progresión.18
En este artículo se presenta el abordaje de una paciente con diagnóstico de la enfermedad de Krabbe, con fenotipo de inicio infantil temprano.
Presentación del caso
Lactante femenino de seis meses que, dos semanas antes de su ingreso, inició con irritabilidad persistente y fiebre. Nace en una zona endogámica. Fue producto de una octava gestación con controles prenatales incompletos, siendo el parto en domicilio.
Durante la exploración física se observó irritabilidad, edema palpebral y aumento del tono en las cuatro extremidades, por lo que se sospechó neuroinfección. Se realizaron estudios bioquímicos, se inició tratamiento antibiótico y se solicitó una tomografía cerebral, la cual reveló atrofia cortical y ventriculomegalia. Posteriormente, la paciente fue referida a un hospital de segundo nivel.
A su ingreso, presentaba taquicardia, palidez generalizada, irritabilidad, postura en opistótonos, apertura ocular intermitente con pupilas mióticas, falta de fijación y seguimiento visual, reflejo cocleo-palpebral negativo, dificultad para tragar, movimientos hipercinéticos tipo distonía en las cuatro extremidades, hiporreflexia músculo-tendinosa y aducción bilateral del pulgar. El perímetro cefálico con z-score de -1.45; peso con z-score -1.66 y talla con z-score-1.85, para su edad.
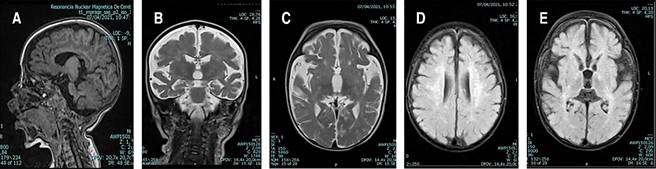
Se descartó neuroinfección y se suspendió el esquema antimicrobiano. Se realizó RMC, cuyas imágenes se presentan en la Figura 2. También se realizó electroencefalograma por presencia de posturas anormales persistentes, en el cual se reportó lentificación moderada de los ritmos de fondo, posiblemente relacionados con el uso de medicamentos (benzodiacepinas o barbitúricos), pero sin actividad ictal.

Figura 2: Resonancia magnética cerebral. A) Corte sagital T1 donde se evidencia adelgazamiento del cuerpo calloso, pérdida de volumen generalizad<a supra e infratentorial con ampliación de los espacios subaracnoideos y cisternas. B) Corte coronal T2. C) Corte axial T2. D y E) Corte axial T2/FLAIR se aprecia alteración de la sustancia blanca difusa desde la corona radiada e hiperintensidades del tracto corticoespinal.
Se documentó compromiso neurosensorial por los reportes de potenciales auditivos y visuales anormales. Ante la presencia de hiporreflexia, por electromiografía y velocidades de neuroconducción se determinó neuropatía periférica sensitivo-motora.
La evolución clínica, los hallazgos en neuroimágenes y los estudios neurofisiológicos sugirieron la posibilidad de enfermedad de Krabbe, por lo cual se solicitó cuantificación enzimática de galactosilcerebrosidasa en leucocitos; el resultado fue de 0.01 mmol/h/mg (valor de referencia 0.30 mmol/h/mg), confirmando la enfermedad.
Con el diagnóstico, la paciente se egresó para dar seguimiento de manera ambulatoria por un equipo multidisciplinario; no obstante, la paciente falleció dos meses después.
Discusión
Las leucodistrofias se definen como enfermedades hereditarias con afección primaria de la sustancia blanca del SNC, las cuales son progresivas. La edad de las primeras manifestaciones clínicas varía entre las diferentes leucodistrofias; cuando se presentan antes del primer año, como es el caso de nuestra paciente, las enfermedades que se pueden sospechar son Krabbe, Canavan, Alexander, Pelizaeus-Merzbacher, leucoencefalopatía megalencefálica e hipomielinización, con atrofia de ganglios basales y cerebelo.18-20
El deterioro motor es uno de los síntomas más comunes en las leucodistrofias. A menudo se presenta como retraso en alcanzar los hitos de las habilidades motoras en las formas hipomielinizantes y regresión motora en los tipos desmielinizantes,21 siendo el último el caso de nuestra paciente. Esto se asocia a la afectación de ganglios basales y tractos piramidales que conllevan a alteraciones del tono, postura y movimiento, tal como lo presentó la paciente.
La neuropatía periférica, con disminución de los reflejos músculo-tendinosos, puede ser un signo de presentación temprana en la leucodistrofia metacromática (MLD) y enfermedad de Krabbe. Esta manifestación puede, por tanto, aumentar el riesgo de diagnóstico erróneo debido a su similitud con el síndrome de Guillain-Barré e incluso la enfermedad de Charcot-Marie-Tooth, como una neuropatía periférica hereditaria.22
Adicionalmente cursan con disfunción autónoma, pudiendo comprometer el sistema cardiovascular, gastrointestinal, renal. El síndrome febril, como en nuestra paciente, es frecuente en las formas infantiles, por afectación en la termorregulación. La irritabilidad e inquietud también pueden presentarse tempranamente en la enfermedad de Krabbe.23,24
La dificultad o el retraso en el diagnóstico en relación con las leucodistrofias se debe a manifestaciones inespecíficas, por lo que para el diagnóstico diferencial es importante dividir los signos clínicos, tener en cuenta la edad de presentación, los patrones y hallazgos en RMC y los estudios adicionales neurofisiológicos.25,26
Existen diferencias relacionadas con la edad en la RMC, especialmente entre los fenotipos infantil temprano, de inicio tardío y adolescente/adulto. En las formas infantiles hay aumento de la intensidad de la señal T2 en la sustancia blanca cerebral, el núcleo dentado y la sustancia blanca cerebelosa. En la enfermedad del adulto hay aumento de la intensidad de la señal T2 en las regiones parietooccipital y los tractos corticoespinales; los núcleos dentados y la sustancia blanca cerebelosa generalmente se conservan.26 La disminución significativa de la velocidad de conducción motora y sensitiva es una clave valiosa hacia el diagnóstico, como lo fue en nuestro caso.27
Para ayudar al clínico que pudiera tener un caso similar, en la Figura 3 se presenta una propuesta de ruta diagnóstica.
Las opciones terapéuticas se limitan a pacientes asintomáticos o con pocos síntomas de la forma infantil de la enfermedad de Krabbe, siendo el trasplante de células madre hematopoyéticas la opción principal, el cual es preferible realizarlo en las primeras dos semanas de vida. En la actualidad se encuentran en estudio la utilidad de la terapia de reemplazo enzimático, trasplante de células madre neurales y la terapia de reducción de sustrato.28-31
















