INTRODUCIÓN
El hematoma mesentérico espontáneo es una entidad poco frecuente cuya etiología suele ser incierta, generalmente suele ser consecuencia de traumatismos, rotura de aneurismas aórticos, embarazos ectópicos, neoplasias erosivas o pancreatitis necrotizante. teniendo como diagnostico diferencial la hemorragia intraperitoneal mesentérica espontánea1. Es una entidad difícil de diagnosticar clínica y radiológicamente; los signos y síntomas suelen ser inespecíficos, los síntomas con mayor frecuencia presentados son el dolor abdominal difuso, las náuseas y el vómito2, sin embargo, los síntomas serán dependiendo del tamaño y la localización del hematoma
CASO CLÍNICO
Varón de 36 años, con antecedente de amigdalectomía con utilización de transfusión, tabaquismo positivo a razón de 10 cigarrillos al día, así como pérdida ponderal del 10% en 6 meses. Inició 3 días previos con dolor abdominal en epigastrio que se irradiaba a hipocondrio derecho y hacia región dorsal, de tipo transfictivo, que se intensificaba posterior a la ingesta de colecistoquinéticos.
A la exploración física: Murphy positivo, sin datos de irritación peritoneal.
Signos vitales: tensión arterial 130/80 mmHg, frecuencia cardiaca de 120 latidos por minuto, frecuencia respiratoria de 20 respiraciones por minuto, temperatura de 36 °C, saturación de oxígeno de 97% con puntas nasales a 1 litro por minuto.
Se decidió la realización de estudios de laboratorio, que se muestran en la tabla 1.
Tabla 1 Estudios de laboratorio
| Estudio | Resultado |
|---|---|
| Leucocitos | 16.8 miles/µl |
| Neutrófilos | 12.7 miles/µl |
| Hemoglobina | 17.10 g/dl |
| Hematocrito | 49.8 % |
| Plaquetas | 296 miles/µl |
| Creatinina | 0.73 mg/dl |
| Sodio | 136 mmol/L |
| Cloro | 100 mmol/L |
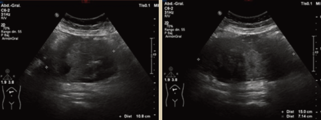
Se encontró leucocitosis, por lo que se pensó en colecistitis aguda, solicitando ultrasonido, en el que se observó lesión heterogénea de predominio hipoecoico, con zonas anecoicas difusas en su interior, ovoidea, de bordes lobulados, localizada en epigastrio con extensión hacia flanco derecho, con dimensiones en sus ejes mayores de 10.8 × 15 × 7 cm. En Doppler color se observó aumento de la vascularidad periférica, de origen por determinar, sin descartar etiología neoplásica (figuras 1a, 1b y 2).

Imagen: Argüello Ramírez et al.
Figura 1ay 1b Ultrasonido en modo B donde se observa lesión heterogénea, predominantemente hipoecoica, con zonas anecoicas difusas en su interior, ovoidea y de bordes lobulados.

Imagen: Argüello Ramírez et al.
Figura 2 Ultrasonido Doppler color que muestra imagen heterogénea, con aumento de la captación periférica.
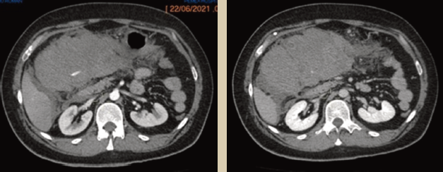
Con estos hallazgos se decidió realizar tomografía simple y contrastada de abdomen, en la que se identificó tumoración en epigastrio, extendida a hipocondrio y flanco derechos, hipodensa, ovoidea, de bordes lobulados, con atenuación en fase simple de 38 UH. Al paso del medio de contraste mostró realce de hasta 59 UH en fase arterial, que se mantuvo en fase venosa, con presencia de vaso nutricio (neovaso), así como zonas compatibles con sangrado (figuras 3a y 3b).

Imagen: Argüello Ramírez et al.
Figura 3a y 3b Tomografía axial de abdomen con contraste intravenoso en fase arterial (izquierda) y venosa portal (derecha), donde se identifica tumoración hipodensa, con zonas de mayor densidad en su interior (flecha), que presenta mínimo realce al contraste, localizada a nivel mesentérico (estrella).
Ante estos hallazgos, se decidió realizar cirugía laparoscópica programada, en la que se identificó hemoperitoneo (figura 4), motivo por el cual se cambió a cirugía abierta, donde se visualizaron 2 vasos sangrantes del mesenterio, que fueron reparados.

Imagen: Argüello Ramírez et al.
Figura 4 Hematoma coagulado con abundante sangre en cavidad peritoneal.
El paciente presentó mejoría clínica y fue dado de alta 2 días después, sin eventualidades. En consulta de control refirió mejoría de los síntomas previos al procedimiento quirúrgico.
DISCUSIÓN
El hematoma mesentérico espontáneo es una rara condición médica, usualmente asociada a patologías agudas que suelen pasar desapercibidas, como trauma cerrado de abdomen, pancreatitis aguda3 o uso de anticoagulantes. También puede estar asociado a complicaciones posteriores a procedimientos como la colonoscopía4.
Los signos y síntomas son inespecíficos, siendo los más frecuentes el dolor abdominal difuso, las náuseas y el vómito4. No obstante, estos dependen del tamaño y localización del hematoma3. Los vasos de menor calibre suelen provocar sangrado laminar activo, que en muchas ocasiones se resuelve o contiene de manera espontánea antes del diagnóstico clínico 4. Si el tamaño es masivo (300 ml), puede encontrarse una masa palpable en la exploración abdominal, que condiciona compresión extrínseca de las asas intestinales, evolucionando a obstrucción intestinal3.
Suele presentarse entre los 8 y 60 años, con un pico de incidencia entre los 55 y 56 años, sin predilección por género o etnicidad5.
El diagnóstico debe realizarse antes de que el paciente presente repercusiones hemodinámicas, como hipotensión secundaria a bajo gasto por secuestro de volumen hacia el abdomen3-5. La tomografía computada de abdomen en fase simple y contrastada es el estándar de oro para la valoración de esta entidad5.
Según un estudio realizado por Takashimizu y colaboradores, los cambios tomográficos varían con el tiempo, lo que dificulta el diagnóstico cuando han pasado varios días desde el inicio de los síntomas, sugiriendo valorar las unidades Hounsfield (UH) en relación con el tiempo (tabla 2)5.
Tabla 2 Correlación de tiempo vs unidades Hounsfield (UH)
| Días | Unidades hounsfield | Densidad |
|---|---|---|
| 0 a 14 días | 70 a 90 UH | Hiper o isodenso |
| 14 a 28 días | 20 a 30 UH | Densidad mixta |
| >28 días | 20 a 30 UH | Hipodenso |
Una revisión realizada en Argentina por Espil y colaboradores demostró que en tomografías no contrastadas, el rango de atenuación en la fase hiperaguda es de 35 a 45 UH, mientras que en la fase aguda es de 60 UH6. En tomografías contrastadas, el reforzamiento varía entre 85 y 300 UH en hematomas agudos5-6. En algunos casos, es posible identificar un foco hiperdenso central o “blush”, característico de sangrado activo.
Otro método de estudio altamente utilizado es la angiografía, de gran importancia para identificar el vaso sangrante. La utilidad principal de este método es la posibilidad de realizar embolización y controlar el sangrado4.
El tratamiento continúa siendo controversial. Si el paciente se encuentra hemodinámicamente estable, puede realizarse tratamiento conservador de acuerdo con el tamaño del hematoma4. Por otro lado, si el paciente presenta inestabilidad hemodinámica y no responde a la reposición de líquidos, será necesaria la cirugía de urgencias7.
Las hemorragias mesentéricas o retroperitoneales se producen principalmente en pacientes con antecedente de traumatismos abdominales y, con menor frecuencia, en aquellos bajo tratamiento prolongado con anticoagulantes o con diátesis hemorrágica. En casos raros, se han descrito asociadas a rotura de aneurismas o malformaciones vasculares que afectan arterias del territorio esplácnico. Cerca del 30% de los casos se desarrollan como complicación de pancreatitis aguda o crónica. Pueden manifestarse como hemorragia retroperitoneal o digestiva, o como hallazgo incidental en tomografía o angiografía.
CONCLUSIONES
En nuestro caso, el paciente acudió por dolor abdominal difuso asociado a pérdida de peso, por lo que inicialmente se pensó en una patología neoplásica. Se decidió realizar el procedimiento quirúrgico por vía laparoscópica, donde se confirmó el hematoma, motivo por el cual se convirtió a cirugía abierta, en la que se visualizó el origen del sangrado a nivel de los vasos mesentéricos, los cuales fueron reparados satisfactoriamente sin complicaciones postquirúrgicas.
Debido a la baja frecuencia de esta patología, se decidió su reporte, con el objetivo de tenerla presente como diagnóstico diferencial ante la presencia de lesiones mesentéricas.
PRESENTACIONES PREVIAS
Ninguna.
CONFLICTO DE INTERESES
Todos los autores declaramos no tener conflicto de intereses.















