INTRODUCCIÓN
Una de las causas más comunes de atención en urgencias es el dolor abdominal, asociado con un cuadro agudo de apendicitis; sin embargo, la relación con la obstrucción intestinal lo convierte en un reto diagnóstico y quirúrgico. El síndrome de la banda apendicular es una afección en la que el apéndice forma un anillo a través del cual un asa de intestino se ocluye y se colapsa; en consecuencia, es una causa de oclusión intestinal de tipo mecánica1.
Existen múltiples denominaciones en la literatura médica en relación con esta patología, que se conoce también como síndrome del nudo apendicular, torniquete apendicular, síndrome de lazo apendicular, nudo apéndice-ileal, entre otros. La mayoría se han reportado como casos clínicos en pacientes de todas las edades2. El primer caso reportado fue en 1901, descrito por Lucius Hotchkiss en Nueva York, este caso describió una oclusión intestinal asociado con una apendicitis aguda. Posteriormente, Forbes Hawks clasificó las causas de obstrucción intestinal asociada con apendicitis en mecánicas, sépticas o mixtas. Ambos autores asocian a la apendicitis aguda con la obstrucción intestinal3.
Actualmente, la relación que hay entre la obstrucción del intestino delgado y la apendicitis es de aproximadamente el 2.7%, y el 1.2% de los casos de apendicitis aguda que resulta en obstrucción intestinal; la obstrucción intestinal asociada con apendicitis aguda se divide en: adinámica, mecánica, pero sin compromiso vascular, mecánica estrangulada y obstrucción por isquemia mesentérica1,2.
El dolor abdominal es el síntoma principal que se presenta, la diferencia radica en la relación con la patología desencadenante. Normalmente el cuadro a apendicitis aguda se relaciona con dolor periumbilical que se irradia y localiza en el cuadrante inferior derecho del abdomen, acompañado de náusea, anorexia, fiebre; sin embargo, la oclusión intestinal incluye el dolor abdominal generalizado o inespecífico, distensión abdominal, náuseas, vómito de contenido gastrointestinal o fecaloide, intolerancia a la vía oral, ausencia de gases intestinales o diarrea, ambas patologías justifican una consulta a cirugía general en el servicio de urgencias.
El diagnóstico de oclusión intestinal por sí solo llega a representar hasta el 15% de los ingresos quirúrgicos por dolor abdominal no traumático en el servicio de hospitalario1,4.
CASO CLÍNICO
Mujer de 73 años. Como antecedentes quirúrgicos: histerectomía total abdominal y colecistectomía laparoscópica, sin otro antecedente de importancia para el padecimiento actual.
Inició sus síntomas tres días previos con dolor y distensión abdominal, acompañados de náusea y vómito en 6 ocasiones de contenido gastrobiliar. El dolor fue referido con intensidad de 6/10 en escala de EVA, con predominio en epigastrio. Un día después refirió exacerbación de los síntomas, así como vómito hasta en 10 ocasiones, por lo que se comunicó con su médico tratante, quien indicó tratamiento médico; sin embargo, la paciente no presentó mejoría, motivo por el cual decidió acudir al servicio de urgencias.
Una vez en urgencias se encontró con signos vitales normales, distensión abdominal generalizada, timpanismo a la percusión, auscultación con escasos ruidos peristálticos, ausencia de evacuación por 36 horas y dolor predominante en fosa ilíaca izquierda, sin datos de irritación peritoneal ni signos apendiculares. Se decidió realizar estudios de laboratorio generales, los cuales mostraron leucocitosis, bandemia de 9%, pruebas de funcionamiento hepático sin alteraciones y gasometría con lactato de 0.7 mmol/L.
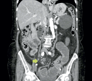
Se solicitó tomografía abdominal con medio de contraste IV, la cual mostró imagen en remolino a nivel de mesogastrio sugestiva de hernia interna; apéndice cecal de 0.8 mm con presencia de aire en su interior; distensión de asas intestinales, colon colapsado y divertículos en sigmoides sin datos de agudización (figura 1).

Imágenes: Salinas-García et al.
Figura 1 Corte coronal de tomografía abdominal (flecha) muestra el signo de remolino.
La paciente fue ingresada para observación. Se inició manejo médico con antibióticos, analgésicos y colocación de sonda nasogástrica. Se decidió manejo conservador por 24 horas; la sonda presentó un gasto de hasta 2,000 ml. Sin embargo, la mejoría clínica de la paciente fue limitada, por lo que se decidió programarla para procedimiento quirúrgico, que consistió en laparoscopia diagnóstica.
Durante el procedimiento quirúrgico, entre los hallazgos importantes se observaron asas intestinales con dilatación significativa y líquido libre inflamatorio en cavidad. En fosa ilíaca derecha se evidenció zona de conglomeración de asas, por lo que se sospechó que el sitio de la oclusión se encontraba ahí. Se inició disección hasta evidenciar asa de íleon terminal comprimida por presencia de una “adherencia” que colapsaba el paso intestinal; se procedió a disecarla para localizar el origen de la oclusión (figuras 2 y 3).
Durante la disección se evidenció que el colapso del asa de íleon fue provocado por un anillo constrictor apendicular causado por el apéndice cecal. Se continuó con la disección hasta localizar la base y la punta apendicular; esta última se encontraba firmemente adherida al íleon (figura 4). Se realizó disección roma de la punta apendicular, logrando separarla del íleon sin lesión en este. Una vez liberada la porción, se revisaron las características de coloración y se corroboró la perfusión con filtro de verde de indocianina (ICG) (figuras 5 y 6).

Imágenes: Salinas-García et al.
Figura 4 Imagen laparoscópica del apéndice cecal inflamado y su base.

Imagen: Salinas-García et al.
Figura 5 Imagen laparoscópica que muestra vascularidad adecuada del asa intestinal con verde de indocianina.
La paciente presentó adecuada evolución postoperatoria: toleró la dieta, presentó ruidos peristálticos y canalizó gases, por lo que fue dada de alta a domicilio por mejoría clínica dos días después del procedimiento. Fue valorada en consulta a los 15 días y al mes de la cirugía, sin presentar complicaciones relacionadas con el procedimiento.
DISCUSIÓN
Una de las teorías mencionadas del porqué el apéndice inflamado envuelve al intestino delgado puede responderse por el simple hecho de que es un órgano móvil, y que embriológicamente puede presentar variaciones anatómicas; además, el tamaño del apéndice varía y puede contribuir a ocluir un asa de intestino, también cuando la punta apendicular está unida al mesenterio ileocólico como respuesta inflamatoria crea un tipo de tejido fibroso. Como resultado parte del intestino se puede herniar a través de este defecto2,5. Cuando se habla de una oclusión intestinal asociada con algo fisiológico, el proceso inflamatorio es el tipo más común, se debe a la diseminación de exudado, líquido purulento y mediadores inflamatorios hacia las estructuras adyacentes. Otra forma de oclusión intestinal está relacionada con la isquemia, una consecuencia grave de la trombosis de las ramas de la arteria ileocólica que causa necrosis del íleon terminal con pérdida de la función5,6.
En el estudio retrospectivo de Beltrán se incluyeron 3,626 pacientes de apendicitis operados, de los cuales 44 casos (1.2%) tuvieron obstrucción intestinal; de los 44 casos reportados, 48% tuvieron íleo mecánico con estrangulación, por lo que estos pacientes presentaron una respuesta inflamatoria severa y la mayoría de ellos tuvieron obstrucción mecánica con estrangulación7. El diagnóstico preoperatorio es difícil, por otras causas comunes de oclusión intestinal, lo primero es descartar adherencias producidas por cirugías previas, hernias o procesos tumorales, esto se descarta con una adecuada anamnesis y estudios de imagen7,8. La radiografía de abdomen se convierte en el primer estudio solicitado; sin embargo, los datos que aporta son muy generales en cuanto a la oclusión intestinal, desde niveles hidroaéreos y asas intestinales dilatadas. La ecografía puede mostrar signos de oclusión intestinal como pared intestinal gruesa con aumento del peristaltismo y líquido entre las asas intestinales, aunque estos estudios son adecuados para iniciar un abordaje diagnóstico en relación con la oclusión intestinal, no aportan gran ayuda para conocer la etiología8,9.
La tomografía computarizada es el mejor estudio de imagen ya que aporta datos como: el realce de la pared intestinal, posibles tumores o abscesos que produzcan compresión intrínseca o extrínseca, apendicitis, hernias internas, entre otros9,10. El abordaje quirúrgico dependerá de la condición clínica del paciente y experiencia del cirujano con la cirugía laparoscópica, debido a las ventajas en términos de recuperación y menor riesgo de hernias posicionales en comparación con la realización de una laparotomía convencional. La resolución de esta patología es el realizar una apendicectomía tradicional y valorar la integridad del asa intestinal afectada, si es necesario llevar a cabo una resección intestinal con anastomosis primaria; en este caso, el uso de verde de indocianina, del que se administró 0. 25mg /kg de peso por vía intravenosa, a los 5 minutos se observó una perfusión intestinal adecuada6,9. Las complicaciones reportadas con esta patología son la estrangulación del intestino delgado y la estrangulación del propio apéndice, que podrían llegar a la perforación con las graves consecuencias que esto ocasiona8,10.
CONCLUSIÓN
La oclusión intestinal secundaria a un anillo apendicular se presenta como un diagnóstico poco frecuente; es difícil de diagnosticar debido a otras causas más comunes de oclusión intestinal, sobre todo en pacientes con antecedentes quirúrgicos debido a la posible presencia de adherencias. El manejo de la oclusión intestinal sigue siendo el mismo; sin embargo, tratar y diagnosticar la etiología es lo más importante, lo que requiere de una alta sospecha clínica para llegar a un manejo definitivo.


















