Introducción
Los aneurismas carotídeos extracraneales son una patología rara, con una incidencia inferior al 1% de todos los aneurismas arteriales, abarcan el 0.2-5% de la patología quirúrgica carotídea1,2 y se asocian con tasas de mortalidad del 70-90%, relacionada con la hemorragia por la rotura arterial, embolias sépticas o la oclusión arterial1,3-5.
La aterosclerosis es la causa más frecuente, hasta en el 40% de los casos, especialmente en pacientes de edad avanzada. En el 12-17% de los traumatismos, una endarterectomía carotídea previa puede favorecer el desarrollo de aneurismas por fallo en la línea de sutura en el 36-56% según las series; enfermedades del tejido conectivo, radioterapia cervical o la infección son otras causas posibles3,4,6.
El signo clínico más frecuente es una masa cervical pulsátil indolora, aunque la mayoría de los pacientes se encuentran asintomáticos. La aparición de fiebre, dolor o la presencia de eritema sobre la masa cervical orientan hacia la etiología infecciosa4.
Los pacientes pueden iniciar con clínica neurológica en forma de amaurosis fugax o accidente isquémico transitorio7,8, síndrome de Horner, disfonía o parálisis facial por la compresión de la vía oculosimpática4.
Respecto al diagnóstico, la prueba de imagen inicial es la ecografía Doppler y como estudio de extensión se encuentran la resonancia magnética y la angiografía computarizada con contraste (angio-TC)4,9.
El tratamiento se puede realizar mediante un abordaje quirúrgico abierto o endovascular, el cual dependerá del tamaño, la localización, la etiología y las comorbilidades de cada paciente4,6.
Presentación del caso clínico
Presentamos el caso de una mujer de 87 años, con antecedentes de carcinoma colorrectal tratado con cirugía, artritis reumatoide en tratamiento con metotrexato y adalimumab, hipertensión arterial y dislipidemia que acudió a nuestro centro por cervicalgia y odinofagia asociada a somnolencia de tres semanas de evolución.
La paciente durante el interrogatorio negaba fiebre, infección dental o de cabeza y cuello, traumatismos y cateterización de vía venosa central.
La exploración física era normal y a nivel analítico presentaba elevación de reactantes de fase aguda (leucocitosis 11,450/μl con neutrofilia 7,740/μl y elevación de proteína C reactiva 30.3 mg/l), por lo que fue dada de alta desde el servicio de urgencias con sospecha de infección de vía aérea superior con antibioterapia oral.
La paciente consultó de nuevo una semana más tarde, por persistencia de la sintomatología. Una nueva exploración física revelaba una masa cervical izquierda pulsátil y dolorosa asociada a ptosis palpebral izquierda y miosis ipsilateral.
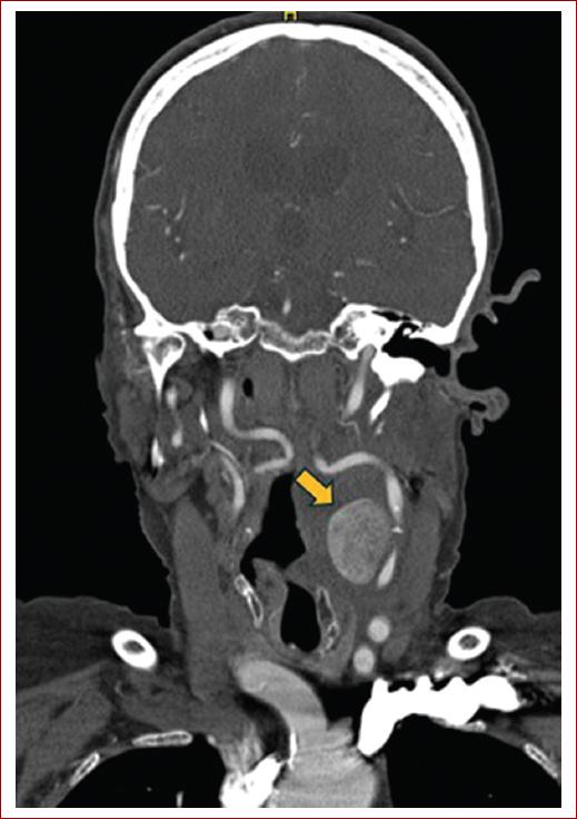
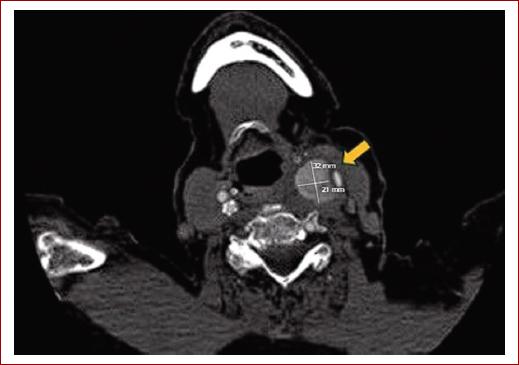
Ante un síndrome de Horner izquierdo con una masa cervical pulsátil, se sospechó de patología carotídea como primera alternativa diagnóstica. Con estos datos, se solicitó una angio-TC donde se observaba una masa hipercaptante a nivel de la bifurcación carotídea izquierda de 32 x 21 milímetros. Esta masa comprimía y desplazaba las estructuras vasculares lateralmente (Figs. 1 y 2).

Figura 1 Corte coronal de angiografía computarizada donde se observa masa hipercaptante en eje carotídeo izquierdo (flecha amarilla).

Figura 2 Corte axial de angiografía computarizada donde se observa masa hipercaptante en eje carotídeo izquierdo de 30 x 21 milímetros (flecha amarilla).
De acuerdo con estos hallazgos, en un primer momento se plantearon como posibles diagnósticos un glomus o un aneurisma carotídeo, por lo que se realizó una ecografía Doppler que confirmaba la presencia de una dilatación aneurismática sacular de 30 milímetros de diámetro en la cara posterior de la bifurcación carotídea izquierda con un patrón de color y flujo en ida y vuelta (signo de «yin-yang») (Fig. 3).

Figura 3 Imagen de aneurisma con flujo bidireccional con signo de ying-yang en ecografía Doppler (flecha amarilla) dependiente de bifurcación carotídea (flecha azul).
Por la presencia de un aneurisma carotídeo sintomático se decidió intervenir a la paciente de manera urgente. Se realizó un abordaje de la bifurcación carotídea izquierda confirmando la presencia de la dilatación aneurismática englobando la bifurcación carotídea y el origen de la arteria carótida interna. Tras la disección y el control de las arterias carótida común, carótida externa y carótida interna, se abrió el saco aneurismático objetivando la rotura de la cara posterior de la bifurcación carotídea con desestructuración de la pared arterial. Se tomaron muestras para microbiología tanto de la pared arterial como de las estructuras adyacentes. Posteriormente, se reconstruyó el paquete vascular con un puente autólogo de la arteria carótida común a la arteria carótida interna con vena safena interna de miembro inferior derecho y ligadura de arteria carótida externa para facilitar la reconstrucción (Fig. 4). Durante la cirugía se decidió utilizar una derivación o shunt carotídeo temporal (Fig. 4B) para asegurar la perfusión cerebral puesto que se preveía un tiempo de clampaje largo, que fue de 50 minutos.

Figura 4 Procedimiento quirúrgico. A: identificación de paquete vascular con aneurisma en bifurcación carotídea. Flecha blanca, arteria carótida común; flecha amarilla, aneurisma carotídeo; flecha naranja, arteria carótida externa; flecha azul, arteria carótida interna. B: tras apertura de saco aneurismático se visualizó rotura en cara posterior (asterisco). Se visualizó shunt carotídeo. C: flecha verde, puente carótido-carotídeo con anastomosis proximal termino-terminal en arteria carótida común y distal termino-terminal en carótida interna con vena safena interna invertida. Ligadura de arteria carótida externa.
Tras la intervención, la paciente evolucionó favorablemente con desaparición de la masa pulsátil y el síndrome de Horner en el postoperatorio inmediato. Durante los días siguientes se mantuvo con antibioterapia empírica hasta el cuarto día postoperatorio, cuando inició un cuadro febril de hasta 38 ºC con drenaje de material purulento a través de la herida quirúrgica y elevación de reactantes de fase aguda (leucocitosis 16,000/μl con neutrofilia 9,800/μl y elevación de proteína C reactiva 90.3 mg/l). Se realizó una angio-TC urgente donde se observó una colección heterogénea a nivel cervical izquierdo con desplazamiento de vía aérea, por lo que se decidió intervención quirúrgica de carácter urgente.
Se realizó limpieza y desbridamiento de piel y tejido celular subcutáneo y drenaje de hematoma acumulado alrededor de las estructuras vasculares de 2.5 centímetros aproximadamente de diámetro anteroposterior, observando la completa integridad del puente.
La paciente permaneció ingresada durante cuatro semanas con antibioterapia intravenosa. Al principio con antibioterapia empírica de amplio espectro y posteriormente se ajustó según antibiograma con cefazolina hasta completar las cuatro semanas de tratamiento. Los resultados de microbiología, tanto de la pared arterial como de los tejidos adyacentes, fueron positivos para Staphylococcus aureus sensible a la meticilina (SAMS).
En ese tiempo, se llevó a cabo un despistaje para encontrar el origen del SAMS. Todas las pruebas fueron normales. Los hemocultivos y las serologías fueron negativos y respecto a las pruebas de imagen, el ecocardiograma transtorácico descartó endocarditis y una nueva angio-TC toraco-abomino-pélvico no encontró algún foco infeccioso.
Al finalizar las cuatro semanas de tratamiento con cefazolina intravenosa y por la evolución favorable, se decidió alta a domicilio con levofloxacino oral de manera indefinida.
A los tres meses, se realizó una tomografía con emisión de positrones donde se observó un depósito focal del radiotrazador con captación de moderada intensidad a nivel cervical izquierdo que se explica por los cambios inflamatorios posquirúrgicos.
Clínicamente la paciente se mantuvo estable, asintomática, con normalización de los reactantes de fase aguda.
Discusión
Los aneurismas carotídeos micóticos o de origen infeccioso son una patología rara e infrecuente. Debido a su alto riesgo de rotura y hemorragia, siempre se debe considerar como una alternativa que descartar en el diagnóstico diferencial de un paciente con síndrome de Horner y masa cervical pulsátil4,7,10.
El microorganismo, que proviene de un foco infeccioso primario, se asienta a través de los vasa-vasorum de la pared vascular, casi siempre a nivel de irregularidades de esta como una placa de ateroma. El más frecuentemente implicado, hasta en el 46% de los casos según la literatura, es S. aureus4,11. En nuestro caso, el foco infeccioso primario del SAMS no se descubrió.
Cuando la imagen obtenida en la angio-TC es dudosa y plantea un diagnóstico diferencial con masas sólidas, la captación de flujo con la modalidad Doppler color nos confirma el diagnóstico. Por ello, la ecografía Doppler debe ser la prueba de imagen inicial y posteriormente realizar otras pruebas de imagen de cara a planificar el tratamiento4,10,11.
En la patología aneurismática se debe tener en cuenta el posible origen micótico a la hora de planificar el manejo y la reconstrucción quirúrgica posterior con material autólogo, siendo esencial una cobertura antibiótica empírica hasta los resultados microbiológicos.
El tiempo del tratamiento antibiótico no está establecido; se recomienda antibioterapia intravenosa prolongada entre cuatro y seis semanas seguida de ciclo antibiótico oral durante mínimo seis meses. En nuestro caso, el tratamiento intravenoso fue de cuatro semanas seguido de antibiótico oral, por el momento indefinido, puesto que se encuentra en el cuarto mes de seguimiento4,10,11.
Conclusiones
Los aneurismas micóticos son una entidad infrecuente y grave, que requiere una alta sospecha clínica ante manifestaciones inespecíficas para evitar retrasos en el diagnóstico. En los casos de origen infeccioso la reparación quirúrgica abierta con material autólogo junto con antibioterapia es el tratamiento de elección.













