Introducción
La patología mamaria masculina es poco frecuente y por ello poco conocida, aunque hay una gran variedad de afecciones. Ciertamente, el principal temor al momento de consulta es que se trate de un proceso maligno. Sin embargo, la mayoría de las lesiones de la glándula mamaria en los hombres son benignas, siendo su etiología más común la ginecomastia1.
Ante cualquier lesión mamaria en un hombre hay que ser cauto en la evaluación y no subestimar. Si bien el cáncer de mama en hombres es raro y representa tan solo el 1% de todos los cánceres y el 0.2% de las muertes secundarias a estos, su incidencia ha aumentado un 26% en las últimas décadas, pero se considera un diagnóstico de exclusión2-4.
Entre los factores de riesgo para el desarrollo de lesiones mamarias en los hombres se encuentran la edad, la criptorquidia, las lesiones testiculares, el síndrome de Klinefelter, la disfunción hepática, la historia familiar de cáncer de mama y los traumatismos torácicos5.
Es importante comprender morfológicamente su anatomía, ya que la mama, al igual que la femenina, está conformada por tejidos glandulares y adiposos, pero en los hombres las unidades glandulares están compuestas solo por conductos que normalmente están circunscritos debajo del complejo areola-pezón. Por ello, las lesiones de glándula mamaria en los hombres son raras6.
La presentación clínica más frecuente suele ser un nódulo palpable, con dolor focalizado que puede estar o no acompañado de aumento del volumen mamario. Es imprescindible solicitar estudios de imagen para iniciar el abordaje diagnóstico. La mastografía, el ultrasonido y la resonancia magnética son las principales modalidades de imagen7. Cabe señalar que la mastografía no ha demostrado diferencia estadísticamente significativa en su sensibilidad y especificidad sobre el ultrasonido en las lesiones mamarias en los hombres8. No obstante, resulta válido iniciar el protocolo diagnóstico solicitando una mastografía en pacientes mayores de 25 años o una ecografía mamaria en los menores de esta edad. No existe un consenso universalmente aceptado sobre el abordaje inicial con herramientas de imagen en los hombres, sino que este ha sido extrapolado de las experiencias en las mujeres7,9.
En la mastografía existen condiciones, como la ginecomastia, que pueden simular condiciones inflamatorias crónicas. Ciertamente, la ginecomastia y el cáncer mamario no se sobreponen, pero la presencia de un nódulo y la ginecomastia pueden coexistir; sin embargo, no es recomendable realizar biopsia si únicamente este último se encuentra presente. En general, las lesiones no visibles en la glándula mamaria masculina suelen ser benignas, a diferencia de los hallazgos radiotransparentes, que en las mujeres en su mayoría resultan benignos y en los hombres ocurre lo contrario5.
Ante un examen de imagen sospechoso es necesaria la toma de biopsia, que puede ser por aguja fina, escisional o con aguja de corte, prefiriéndose esta última guiada por ecografía debido al menor volumen de la glándula mamaria masculina y a las dificultades técnicas que puedan resultar7. De la misma forma, se debe contemplar no caer en un sobrediagnóstico y tomar en cuenta las repercusiones físicas y psicológicas, así como las posibles complicaciones que pueden aparecer, por lo que es importante optar por herramientas menos invasivas, ya que la mayoría de las lesiones en los hombres resultarán benignas10,11.
El objetivo del presente estudio es evaluar las características clínicas, imagenológicas e histopatológicas de lesiones benignas de mama en hombres, en un periodo de 3 años, en un centro oncológico de referencia.
Métodos
Estudio descriptivo de cohorte retrospectiva efectuado entre los años 2021 y 2023 en pacientes atendidos en la Unidad Médica de Alta Especialidad No. 4 Luis Castelazo Ayala. Los criterios de inclusión fueron pacientes varones que acudieron al servicio de oncología mamaria por alguno de los siguientes motivos de consulta: nódulo palpable, mastalgia, telorrea o aumento de volumen mamario. A los pacientes se les protocolizó con algún estudio de imagen, como ultrasonido o mastografía, y se les realizaron biopsia y estudio histopatológico en el servicio de patología de la misma institución. Como variables del estudio se incluyeron la edad, los antecedentes familiares, el motivo de consulta, la densidad mamaria, las características de la lesión (lateralidad, tipo, localización, diámetro, densidad o ecogenicidad), la presencia de calcificaciones, la retracción del pezón, el engrosamiento cutáneo, la presencia de adenopatías, la clasificación BI-RADS (Breast Imaging Reporting and Data System), el tipo de biopsia y la tratamiento. Los criterios de exclusión fueron ser mujer, tener reporte histopatológico obtenido de otra institución o tener reporte positivo para malignidad. Los criterios de eliminación fueron pacientes con expediente clínico incompleto, con seguimiento fuera de la unidad de estudio o que no hubieran otorgado su consentimiento informado para la utilización de los datos.
Se estudiaron los siguientes hallazgos: ginecomastia, ectasia ductal, miofibroblastoma, lesión papilar con atipia, fibroadenoma, mastitis, hiperplasia ductal usual y tuberculosis.
Para el análisis estadístico se utilizó el programa JASP versión 0.17, empleando estadística descriptiva. Todas las variables categóricas se expresan en frecuencias y porcentajes.
Resultados
De los 20 pacientes varones que acudieron al servicio de oncología mamaria en el periodo 2021-2023, fueron excluidos uno que contaba con reporte histopatológico de otra institución y no fue posible realizar la revisión de laminillas, otro que recibió tratamiento fuera de la unidad y dos por contar con expediente clínico incompleto.
El promedio de edad de la población de estudio fue de 61.5 años y la mayoría (62.5%) no contaba con antecedentes familiares para cáncer de mama. El principal motivo de consulta en nuestra unidad fue la presencia de un nódulo palpable en el 37.5%. Otros motivos de consulta fueron mastalgia, telorrea, aumento del volumen mamario, nódulo palpable con mastalgia y nódulo con presencia de telorrea. En cuanto a la lateralidad, la glándula mamaria más involucrada fue la derecha, en el 50%, mientras que la izquierda correspondió al 37.5% y la afectación fue bilateral en el 12.5% (Tabla 1).
Tabla 1 Características demográficas de la población de estudio
| Variables | Porcentaje (n = 16) |
|---|---|
| Edad promedio 61.56 años | |
| Antecedentes familiares | |
| Sí | 37.5 |
| No | 62.5 |
| Motivo de consulta | |
| Nódulo palpable | 37.5 |
| Mastalgia | 6.2 |
| Telorrea | 12.5 |
| Aumento de volumen | 6.2 |
| Nódulo y mastalgia | 25 |
| Nódulo y telorrea | 12.5 |
| Lateralidad | |
| Derecha | 50 |
| Izquierda | 37.5 |
| Bilateral | 12.5 |
| Índice de masa corporal (promedio 28 kg/m2) | |
| Normal | 62.5 |
| Sobrepeso | 12.5 |
| Obesidad | 25 |
| Comorbilidad | |
| Ninguna | 37.5 |
| Diabetes mellitus tipo 2 | 18.7 |
| Hipertensión arterial sistémica | 43.8 |
El índice de masa corporal promedio fue de 28 kg/m2, estando la mayoría de los pacientes (62.5%) dentro del rango normal. Las enfermedades crónicas reportadas fueron diabetes mellitus tipo 2 en el 18.7% e hipertensión arterial sistémica en el 43.8%; el 37.5% de los pacientes no presentaban comorbilidad (Tabla 1).
En cuanto al abordaje por imagen, la mayoría de los pacientes (62.3%) recibieron una categoría BI-RADS > 4, lo que justificó la toma de biopsia para descartar algún proceso maligno. El hallazgo mayormente reportado fue la presencia de algún nódulo (62.5%). Los patrones de densidad mamaria que predominaron fueron los tipo A (25%) y B (56.2%), es decir, aquellos con menor densidad mamaria. La principal localización de las lesiones fue retroareolar, en la mitad de los casos. Otros hallazgos menos reportados fueron calcificaciones, retracción del pezón, engrosamiento cutáneo y adenopatías (Tabla 2).
Tabla 2 Características imagenológicas de las lesiones de mama en los hombres
| Variable | Porcentaje (n = 16) |
|---|---|
| Densidad | |
| A | 25 |
| B | 56.2 |
| C | 18.7 |
| D | 0 |
| Localización de la lesión | |
| Periareolar | 18.7 |
| Retroareolar | 50 |
| Cuadrante superior externo | 25 |
| Cuadrante inferior interno | 6.2 |
| Tipo de lesión | |
| Nódulo | 62.5 |
| Asimetría | 37.5 |
| Ecogenicidad | |
| Hipoecoico | 62.5 |
| Isoecoico | 31.2 |
| Hiperecoico | 6.2 |
| Densidad | |
| Hipodenso | 18.7 |
| Isodenso | 31.2 |
| Hiperdenso | 50 |
| Calcificaciones | |
| Sí | 6.2 |
| No | 93.7 |
| Retracción del pezón | |
| Sí | 6.2 |
| No | 93.7 |
| Engrosamiento cutáneo | |
| Sí | 12.5 |
| No | 87.5 |
| Adenopatías | |
| Sí | 31.2 |
| No | 68.7 |
| Diámetro máximo de la lesión 19.2 mm | |
| Categoría BI-RADS | |
| 2 | 31.2 |
| 3 | 6.2 |
| 4A | 31.2 |
| 4B | 6.2 |
| 4C | 18.7 |
| 5 | 6.2 |
Discusión
La mayoría de las lesiones de la glándula mamaria masculina son de etiología benigna, siendo la más frecuente la ginecomastia. Los principales motivos de consulta son el incremento del volumen mamario, la presencia de un nódulo palpable y la mastalgia1. Una de las mayores preocupaciones en el momento de consultar es que se trate de un proceso maligno; si bien es raro (menos del 1% de todos los cánceres en varones)12, es pertinente protocolizarlos.
Entre los factores de riesgo más importantes para la presencia de patología mamaria masculina se encuentran la edad, el sobrepeso y la obesidad, la exposición a radiación, el desbalance hormonal y la historia familiar para cáncer de mama, incrementando significativamente el riesgo en quienes presentan mutación en el gen BRCA213.
Es importante correlacionar las lesiones mamarias en los hombres tanto por estudios de imagen como por la clínica, con el fin de reducir las tasas de biopsias innecesarias. En pacientes varones, la ecografía ha demostrado ser una técnica de imagen útil, que ha permitido reducir la tasa de falsos positivos, aunque cabe mencionar que cuenta con ciertas limitaciones, como en la evaluación de las características acústicas posteriores al tratarse de tejidos más delgados14.
En un estudio realizado por Yuan et al.8 en 125 pacientes, se destacan las características ecográficas de lesiones tanto benignas como malignas. Las características más llamativas de las lesiones malignas fueron la excentricidad de la lesión, un componente mixto en su ecotextura (sólido y quístico), la forma irregular de la lesión, los márgenes mal circunscritos y la orientación no paralela8. La mayoría de las lesiones en nuestro estudio coinciden con lo descrito por Yuan et al.8 en las características de benignidad como lesiones periareolares, hipoecoicas y nódulos bien definidos (Tabla 2).
Se debe reservar la toma de biopsia ante un escenario clínico que se corrobora por algún estudio de imagen, así como tomar en cuenta los factores de riesgo intrínsecos del paciente, con el fin de descartar un proceso maligno14.
En un estudio realizado por Bicchierai et al.11 se demostró que la biopsia por aguja de corte tiene mayor precisión al caracterizar las lesiones mamarias en hombres en comparación con las biopsias por aguja fina, por lo que se prefiere como primera herramienta diagnóstica. Se ha reportado que hasta el 15.3% de las biopsias por aguja fina resultan inadecuadas en los hombres. En nuestra serie se realizaron siete biopsias por aguja de corte y ocho por aguja fina; en los pacientes que presentaban como único dato clínico un nódulo palpable se prefirió la toma de biopsia por corte (Tabla 3).
Tabla 3 Motivo de la primera consulta y tipo de biopsia realizada
| Variables | Nódulo palpable (n = 6) | Mastalgia (n = 1) | Telorrea (n = 2) | Aumento de volumen (n = 1) | Nódulo y mastalgia (n = 4) | Nódulo y telorrea (n = 2) |
|---|---|---|---|---|---|---|
| Tipo de biopsia | ||||||
| Biopsia por aguja de corte | 5 | 1 | 0 | 0 | 1 | 0 |
| Biopsia por aspiración | 1 | 0 | 2 | 1 | 2 | 2 |
| Escisional | 0 | 0 | 0 | 0 | 1 | 0 |
La ginecomastia es la alteración más frecuente en la población masculina, cuya etiología es desconocida, aunque se asocia a desórdenes metabólicos, endocrinos, neoplásicos o inducidos por fármacos15. Fentiman et al.16 reportaron que es un hallazgo frecuente, observado en el 40-55% de las autopsias, aunque en el presente trabajo no fue el hallazgo más frecuente. Clínicamente se presenta con hipertrofia mamaria y piel redundante en pacientes que suelen presentar sobrepeso16 (Fig. 1).
En los exámenes radiológicos se pueden identificar tres patrones: nodular, dendrítico y glandular difuso. Se prefiere la ecografía Doppler como herramienta de imagen para iniciar el abordaje diagnóstico, ya que permite identificar la vasculatura incrementada típica en esta condición inflamatoria, a diferencia de la mastografía, en la que es posible observar una capa adiposa homogénea radiotransparente17. Histológicamente se caracteriza por la presencia de proliferaciones benignas de los conductos subareolares y periductales, así como por una ramificación de las células lactíferas. Se trata de un tejido hiperplásico e hipercelular18. Es una afección que tiene repercusiones psicológicas debido a la apariencia estética que presentan los pacientes, repercutiendo en su autoestima al generar inseguridad sobre su cuerpo19.
En las últimas décadas se ha incrementado el número de pacientes varones que buscan atención para la corrección de la ginecomastia. Si bien es válido mantener en vigilancia a estos pacientes ante lesiones mamarias, algunos optan por la corrección mamaria, como reportaron Klinger et al.18 en una serie de 148 pacientes a los que se realizaron desde procedimientos menos invasivos, como la liposucción, hasta mastectomías subcutáneas, la mayoría con fines estéticos. En nuestro estudio, todos los pacientes con esta alteración se mantuvieron en vigilancia (Tabla 4).
Tabla 4 Tratamiento empleado según los hallazgos histopatológicos
| Tratamiento | Vigilancia (%) | Biopsia amplia (%) | Cirugía de Addair (%) | Mastectomía total (%) | Antibiótico (%) |
|---|---|---|---|---|---|
| Hallazgos | |||||
| Miofibroblastoma | - | 75 | - | 25 | - |
| Ginecomastia | 100 | - | - | - | - |
| Fibroadenoma | 50 | 50 | - | - | - |
| Lesión papilar | 50 | - | 50 | - | - |
| Ectasia ductal | 50 | 50 | - | - | - |
| Mastitis aguda | 100 | - | - | - | - |
| Hiperplasia ductal tipo usual | - | 100 | - | - | - |
| Tuberculosis | - | - | - | - | 100 |
Los miofibroblastomas son tumores mesenquimales derivados de fibroblastos estromales que se encuentran comúnmente dentro del parénquima mamario (Fig. 2). Su prevalencia es baja y existen pocos reportes de casos, pero en nuestro estudio fue la lesión más prevalente, presentándose en cuatro pacientes (Tabla 5). Clínicamente se manifiestan como nódulos palpables indoloros. No presentan un patrón imagenológico específico; en la mastografía se aprecian como nódulos bien circunscritos, redondos u ovales, densos y no calcificados, y por ecografía Doppler es posible observar una mayor vasculatura periférica20-22 (Figs. 3 y 4).
Tabla 5 Frecuencia de casos por cada diagnóstico histopatológico
| Hallazgos | Casos (n) | Porcentaje |
|---|---|---|
| Miofibroblastoma | 4 | 25 |
| Ginecomastia | 3 | 18.7 |
| Fibroadenoma | 2 | 12.5 |
| Lesión papilar | 2 | 12.5 |
| Ectasia ductal | 2 | 12.5 |
| Mastitis aguda | 1 | 6.2 |
| Hiperplasia ductal tipo usual | 1 | 6.2 |
| Tuberculosis | 1 | 6.2 |

Figura 3 Características mastográficas de lesiones benignas de mama en hombres. A: proyección craneocaudal. Se aprecia un aumento de volumen mamario bilateral con distorsión de la arquitectura. Se realizó biopsia, la cual reportó ginecomastia bilateral. B: proyección craneocaudal. En la mama derecha se observa un nódulo hiperdenso de características irregulares, cuyo reporte histopatológico indicó mastitis. C: proyección craneocaudal. En la mama izquierda se observa un nódulo hiperdenso, con bordes bien delimitados hacia los cuadrantes internos y el tercio posterior. El reporte histopatológico indicó miofibroblastoma. D: proyección mediolateral oblicua. En la mama izquierda se observa un nódulo hiperdenso, mal delimitado, retroareolar, que compromete los cuadrantes superiores e inferiores. El reporte histopatológico indicó hiperplasia ductal usual. E: proyección craneocaudal. En la mama izquierda se aprecia un nódulo mal definido, retroareolar, el cual fue compatible en el reporte histopatológico con fibroadenoma. F: proyección mediolateral oblicua. En la mama derecha se observa una zona hiperdensa que abarca los cuadrantes superiores e inferiores en el tercio medio, de forma irregular, en la cual se reportó lesión papilar. G: proyección craneocaudal. En la mama izquierda se observa una zona de sistematización, con distorsión de la arquitectura que abarca los cuadrantes externos e internos. En ambas mamas se aprecian múltiples calcificaciones de aspecto benigno. El reporte histopatológico indicó ectasia ductal. H: proyección craneocaudal. En la mama derecha se observa un nódulo hiperdenso, con bordes bien definidos, retroareolar, que en la biopsia por aguja fina fue drenado y el estudio histopatológico indicó tuberculosis.

Figura 4 Características ultrasonográficas y por elastografía de lesiones benignas de mama en los hombres. A: ultrasonido que muestra una lesión con características de nódulo isoecoico con bordes bien delimitados. El reporte histopatológico fue compatible con un miofibroblastoma. B: elastografía que muestra la solidez del tejido, el cual fue auxiliar para integrar el diagnóstico junto al reporte histopatológico final que indicó un miofibroblastoma. C: ultrasonido que muestra una lesión en la mama con características de nódulo hipoecoico con bordes irregulares, más ancho que alto, el cual resultó ser un fibroadenoma. D: ultrasonido que muestra una lesión en la mama, con presencia de un nódulo hipoecoico de bordes bien delimitados, cuyo estudio histopatológico reportó como fibroadenoma.
Histológicamente, esta lesión se compone de haces de células delgadas, uniformes, dispuestas en grupos, separadas por amplias bandas de colágeno hialinizado (Fig. 5). Es importante que se realice un análisis inmunohistoquímico para diferenciarla de otros tumores de células fusiformes, como los lipomas de células fusiformes y el tumor fibroso solitario, así como de procesos malignos, especialmente el carcinoma de células fusiformes. La mayoría serán inmunorreactivos para CD34, actina, CD10 y desmina21,23. El pronóstico de estas lesiones suele ser excelente, por lo que el tratamiento de primera línea es la resección quirúrgica completa y no es necesario complementarlo con otras medidas como radioterapia u hormoterapia24.

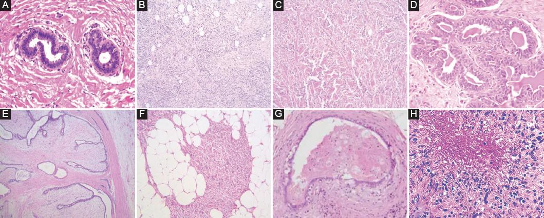
Figura 5 Características histológicas de las lesiones benignas de la glándula mamaria masculina. A: en los conductos se aprecia cierto grado de hiperplasia epitelial, rodeada de estroma mixomatoso hipocelular. Estroma edematoso que contiene grandes cantidades de mucopolisacáridos. Se reportó como ginecomastia. B: se puede observar una respuesta inflamatoria, con linfocitos y células plasmáticas. Se reportó como mastitis. C: haces de células mesenquimales uniformes, delgadas y en forma de huso, dispuestas en grupos separados por bandas de colágeno hialinizado. No se observa atipia citológica y actividad mitótica. Se reportó como miofibroblastoma. D: células con núcleo normocromático, ovales, sin actividad mitótica. Se concluye hiperplasia ductal usual. E: neoplasia bifásica con componente epitelial y fusocelular benigno bien delimitado. Se reportó como fibroadenoma. F: lesión papilar sin atipia que presenta metaplasia apocrina. G: infiltrado inflamatorio alrededor del conducto, con macrófagos y células espongiformes. Se reportó como ectasia ductal. H: en la tuberculosis mamaria se pueden observar granulomas con células gigantes de Langhans acompañadas de necrosis caseosa.
Los fibroadenomas, a pesar de ser las lesiones benignas más frecuentes en las mujeres, no son tan habituales en los hombres25. La ecografía es la modalidad por imagen de preferencia, en la que se pueden apreciar como nódulos hipoecoicos, con bordes bien delimitados, sin mostrar vasculatura en el Doppler color (Fig. 3). Las recomendaciones para su resección son el rápido crecimiento del tumor, la persistencia sin regresión espontánea, la sintomatología como mastalgia y los antecedentes familiares para cáncer de mama26. En el presente estudio se decidió dejar a un paciente en vigilancia y a otro se le realizó resección de la lesión por petición propia (Tabla 4).
Las lesiones papilares en los hombres no son frecuentes, pero la importancia de su protocolización radica en que el segundo subtipo de cáncer más común en los hombres es el papilar, con un 4%, después del carcinoma ductal. La presentación clínica más habitual es un nódulo palpable acompañado de telorrea hasta en un tercio de los casos. Zhong et al.27 reportan, en su experiencia con la cohorte más grande de lesiones papilares en hombres, que es recomendable la toma de biopsia por aguja fina como procedimiento diagnóstico inicial. En su cohorte, todos los pacientes con lesiones papilares benignas recibieron tratamiento escisional. En nuestra serie, a los dos pacientes que presentaron un nódulo mamario con telorrea se les realizó biopsia por aguja fina. Sin embargo, uno recibió tratamiento escisional y el otro se decidió mantener en vigilancia al no aceptar el tratamiento quirúrgico. El pronóstico de estas lesiones suele ser favorable en la mayoría de los casos (Tabla 3).
La tuberculosis mamaria ha sido denominada «la gran simuladora» debido a sus multifacéticas presentaciones. Farrokh et al.28 describieron 32 casos de tuberculosis mamaria, en los que solo hubo un hombre, lo que refleja la rareza de esta enfermedad en los varones. En las mujeres se ha descrito principalmente en aquellas que se encuentran lactando, por lo que existe una predisposición a esta infección debido a la hipervascularidad y la dilatación ductal existente28.
Clínicamente suele presentarse como un nódulo palpable solitario que puede acompañarse de cambios cutáneos, como retracción del pezón o piel de naranja, por lo que es imperativo descartar un carcinoma. En la mastografía se puede apreciar como un nódulo bien circunscrito, que en ocasiones simula un fibroadenoma29. Sin embargo, la herramienta de imagen más valiosa es la ecografía, debido a que permite no solo evaluar correctamente la lesión, sino también la toma de biopsia dirigida, prefiriéndose por aguja fina ya que a su vez es posible el drenaje percutáneo30. En el presente trabajo se encontró un caso de tuberculosis mamaria, en el cual se realizó biopsia por aguja fina dirigida por ecografía, se drenó y se instauró manejo antibiótico, que es el tratamiento más empleado en los casos reportados en la literatura internacional28,29 (Tabla 4).
La hiperplasia ductal se caracteriza por una proliferación de células epiteliales intraductales que pueden presentar o no atipia. En los hombres suele aparecer en aquellos que clínicamente presentan ginecomastia. En la mastografía, los hallazgos suelen ser inespecíficos y puede expresarse como un nódulo o como microcalcificaciones amorfas (Fig. 3). En nuestro estudio solo hubo un caso, lo cual se puede deber a la falta de un patrón específico que oriente a su diagnóstico7 (Tabla 5).
Por otra parte, las mastitis son procesos secundarios a infecciones del tejido mamario, que en ocasiones pueden llegar a formar un absceso. En la mastografía se puede apreciar como un aumento unilateral en el volumen mamario, con engrosamientos trabeculares y cutáneos. Es importante correlacionarlo con la clínica para establecer el diagnóstico certero. Las ectasias ductales afectan a los conductos retroareolares y en ocasiones se acompañan de descargas a través del pezón, como ocurrió en nuestros pacientes. En la mastografía se pueden apreciar estructuras densas que convergen con el complejo areola-pezón y puede haber calcificaciones asociadas. En la ecografía pueden observarse residuos celulares, centrales o periféricos4.
Conclusiones
La patología mamaria en los hombres sigue siendo un terreno desconocido debido a su baja prevalencia. La mayoría de las lesiones están relacionados con procesos benignos, pero es importante interrogar sobre los antecedentes del paciente e identificar los factores de riesgo para malignidad, además de realizar una buena anamnesis de la sintomatología y una adecuada exploración física.
Los estudios de imagen son herramientas auxiliares en el diagnóstico de la patología mamaria, pero a diferencia de lo que ocurre en las mujeres, la información obtenida es más limitada debido a las características anatómicas de la glándula mamaria masculina. Hasta el día de hoy no existe un consenso sobre las indicaciones para realizar un estudio de imagen en los hombres, pero ante la sospecha de una lesión son de gran ayuda para la toma de biopsias dirigidas por imagen.
Ciertamente, el cáncer de mama en los hombres representa menos del 1% de todos los casos; sin embargo, se debe protocolizar y ante la sospecha imagenológica, y tomando en cuenta los factores de riesgo, es pertinente la toma de biopsia para integrar un diagnóstico histopatológico, y a su vez un adecuado triple test (clínica, imagen e histopatología), del cual dependerá el manejo, evitando sobretratar las lesiones benignas, que serán las más prevalentes.
















