38 4Pedagogía quirúrgica: hacia una perspectiva de la educación humanistaAutoconcepto físico y percepción de salud en pacientes tratados de pie equino varo aducto congénito 
Home Page  

  • SciELO

  • SciELO


Acta ortopédica mexicana

 ISSN 2306-4102

Acta ortop. mex vol.38 no.4 Ciudad de México jul./ago. 2024   11--2025

https://doi.org/10.35366/116305 

Artículos originales

Necrosis avascular de la cabeza femoral tras COVID-19: presentación clínica y manejo. Resultados clínico-funcionales de descompresión y suplementación con aspirado de células de médula ósea

Avascular necrosis of the femoral head after COVID-19: clinical presentation and management. Clinical-functional outcomes of decompression and supplementation with bone marrow cell aspirate

D Godoy-Monzón1  * 

A Cid-Casteulani2  3 

S Svarzchtein2  3 

S Sasaki2 

JM Pascual-Espinosa1 

1 Hospital San Rafael, Hospitales Pascual. Cádiz, España.

2 Centro Médico Integral Fitz Roy. Buenos Aires, Argentina.

3 Clínica Finochietto. Buenos Aires, Argentina.


Resumen:

Introducción:

la pandemia de COVID-19 ha dado lugar a complicaciones clínicas como la necrosis avascular de la cabeza femoral (NAVCF) asociada con el uso de corticoesteroides. El objetivo del estudio es reportar los resultados funcionales y radiográficos de 13 pacientes con NAVCF post-COVID-19, después de la descompresión utilizando Forage y aspirado de células de medula ósea (ACMO).

Material y métodos:

estudio clínico unicéntrico, prospectivo, no controlado. Desde Abril de 2020 hasta Septiembre de 2021, se trataron 13 pacientes (21 caderas) con NAVCF post-COVID-19. Todos recibieron corticoesteroides durante la infección (dosis promedio diaria: 480 mg). Se realizaron evaluaciones clínicas, radiográficas y por resonancia magnética nuclear; se aplicó la clasificación de Ficat para la clasificación de NAVCF. La técnica quirúrgica empleada fue descompresión con Forage y ACMO.

Resultados:

la edad promedio fue 47 años, con un seguimiento de 30.4 meses. Los síntomas aparecieron con una media de 4.2 meses después de la infección por COVID-19. La escala de Harris mejoró de 41.2 ± 5.2 a 86.6 ± 3.4. La evaluación radiográfica demostró que 14.3% de la muestra experimentó colapso de la cabeza femoral por lo que se les realizó artroplastía total de cadera.

Conclusiones:

la NAVCF post-COVID-19 es una entidad clínica con rápida progresión y diferentes grados de severidad. La descompresión con Forage y ACMO parece un tratamiento inicial prometedor; sin embargo, la respuesta variable y la probabilidad de colapso, enfatizan la importancia de seguimiento a largo plazo e identificación de los pacientes que puedan requerir intervenciones adicionales.

Palabras clave: necrosis avascular de la cabeza femoral; COVID-19; descompresión; suplementación; concentrado de médula ósea; corticosteroide

Abstract:

Introduction:

the pandemic of COVID-19 has led to clinical complications such as avascular necrosis of the femoral head (AVNFH) associated with the use of corticosteroids. The aim of the study is to report the functional and radiographic results of 13 patients with post-COVID-19 ANFH after decompression using Forage and bone marrow aspirate concentrate (BMAC).

Material and methods:

single-center, prospective, uncontrolled clinical study. From April 2020 to September 2021, 13 patients (21 hips) with post-COVID-19 ANFH were treated. All received corticosteroids during infection (average daily dose: 480 mg). Clinical, radiographic and magnetic resonance imaging evaluations were performed; the Ficat classification was applied for the classification of AVNFH. The surgical technique used was decompression with Forage and ACMO.

Results:

the mean age was 47 years, with a follow-up of 30.4 months. Symptoms appeared with a mean of 4.2 months after COVID-19 infection. Harris score improved from 41.2 ± 5.2 to 86.6 ± 3.4. Radiographic evaluation showed that 14.3% of the sample experienced femoral head collapse and underwent total hip arthroplasty.

Conclusions:

post-COVID-19 ANFH is a clinical entity with rapid progression and different degrees of severity. Decompression with Forage and ACMO seems a promising initial treatment, however, the variable response and the probability of collapse emphasize the importance of long-term follow-up and identification of patients who may require additional interventions.

Key words: avascular necrosis of the femoral head; COVID 19; decompression; supplementation; bone marrow concentrate; corticosteroid

Introducción

La pandemia de COVID-19 ha dado lugar a un amplio espectro de complicaciones clínicas, entre las que se incluyen síndrome de Guillain-Barré, fibrosis pulmonar, tromboembolismo pulmonar, miocardiopatía, vasculitis periférica, disfunción sensorial y aumento de incidencia de accidente cerebrovascular.1

La utilización de corticoides (6-30 mg/kg de metilprednisolona, 30-150 mg/kg de hidrocortisona en pulsos altos diarios) como primeras drogas de elección en pacientes hospitalizados con enfermedad respiratoria aguda o que requerían intubación, en los inicios del tratamiento fue exitosa, salvando numerosas vidas; sin embargo, éstos se encuentran asociados a una complicación de particular interés en el campo ortopédico: la necrosis avascular de la cabeza femoral (NAVCF).2,3,4,5 Si bien en la bibliografía actual se afirma que deben administrarse > 20 mg de prednisona (o el equivalente al día) para generar NAVCF, se han reportado casos incluso a dosis menores o tras una inyección intraarticular; en consecuencia, la dosis generadora de enfermedad aún se encuentra en discusión.5,6,7

El objetivo del tratamiento en la NAVCF es obtener alivio del dolor, retardar la progresión de la enfermedad, prevenir el colapso y restaurar la función articular. Hay múltiples opciones de tratamiento disponibles para el manejo de la NAVCF, que abarcan desde manejo conservador -descarga y medicación vía oral- hasta intervenciones quirúrgicas -descompresión, osteotomías y remplazo articular- de acuerdo con el estadio de la enfermedad y su progresión.

Ante el diagnóstico inicial de NAVCF, las guías recomiendan -en caso de ausencia de colapso articular- la realización en estadios tempranos de descompresión (Forage) con o sin suplementación con aspirado de células de medula ósea (ACMO).

Nuestro objetivo es informar sobre los resultados en 13 pacientes consecutivos diagnosticados con NAVCF post-COVID-19, con aparición rápidamente progresiva y presentar los resultados del tratamiento, con un enfoque específico en los resultados funcionales y radiográficos después de la descompresión utilizando Forage y ACMO.

Material y métodos

Desde Abril de 2020 hasta Septiembre de 2021, fueron atendidos 13 pacientes consecutivos (21 caderas) que se habían recuperado de COVID-19 y posteriormente desarrollaron NAVCF.

Todos los pacientes habían recibido corticosteroides como parte de su régimen de tratamiento para COVID-19 con dosis promedio de 480 mg, en un rango de 400 a 1,200 mg de hidrocortisona (o su equivalente -se adjunta Tabla de conversión-) (Tabla 1). Estos pacientes mostraron síntomas clásicos de NAVCF caracterizados por un rápido deterioro funcional con sintomatología clínica de dolor, limitación a la carga y movilización. Asimismo, presentaron los cambios correspondientes en las imágenes de radiografías y resonancia magnética nuclear (RMN); los estadios de necrosis fueron clasificados según Ficat8 (Figuras 1 y 2). Se incluyeron estadios I a III de la clasificación dada la juventud de la serie y que no tenían artrosis con disminución del espacio articular.

Tabla 1: Tabla de equivalencia de corticoides. 

Cortisona (mg) 25 8-12
Hidrocortisona (mg) 20 8-12
Prednisona (mg)
Prednisolona (mg)
5 18-36
Metilprednisolona (mg) 4 18-36
Triamcinolona (mg) 4 18-36
Fludrocortisona (mg) 2 18-36
Deflazacortisona (mg) 7.5 18-36
Dexametasona (mg) 0.75 36-54
Betametasona (mg) 0.6 36-54

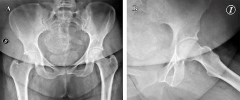
Figura 1: A) Radiografía anteroposterior de caderas con área de necrosis de cabeza femoral. B) Radiografía lateral de caderas con área de necrosis de cabeza femoral. 

Figura 2: Resonancia magnética nuclear con imagen de necrosis de cabeza femoral sin colapso de la superficie articular. 

La evaluación clínica incluyó la escala de Harris (HHS),9 la evaluación subjetiva de resultados de Maudsley Roles,10 radiografías de cadera anteroposterior y lateral, resonancia magnética nuclear, marcadores inflamatorios y aspirado de médula ósea de fémur (para excluir infección).

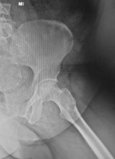
La técnica quirúrgica utilizada fue la perforación o Forage del núcleo cefálico, sobre mesa ortopédica bajo intensificador de imágenes (imagen en dos planos). Se introdujo una aguja guía hasta la zona de osteonecrosis. El orificio de inicio sobre la cortical externa del fémur se realizó a nivel del trocánter menor para evitar fracturas por estrés del fémur. A través de la aguja guía se introdujo una broca canulada de 9 mm de diámetro hasta llegar a 5 mm del cartílago articular (Figura 3). En todos los casos se obtuvo una muestra ósea para biopsia que confirmó el diagnóstico. Para la suplementación con ACMO, se obtuvo la muestra de zona dadora -cresta ilíaca- en forma percutánea, para posterior filtrado con utilización del sistema RegenKit BMC, Stryker, USA (Figuras 4 y 5).

Figura 3: Fresado de canal de descompresión y colocación de suplemento de aspirado de médula ósea. 

Figura 4: Sistema RegenKit Stryker. 

Figura 5: Área de toma de muestras. 

Resultados

La edad promedio de los pacientes fue 47 años (rango: 36 a 64 años). El intervalo de seguimiento fue 19 a 39 meses, con promedio de 30.4 meses. El inicio de los síntomas de cadera ocurrió en un promedio de 4.2 meses después de la infección por COVID-19 (rango: tres a ocho meses). La duración promedio de la administración de corticoesteroides fue de cuatro semanas (rango: dos a seis semanas). El tiempo promedio desde el inicio de los síntomas hasta el diagnóstico fue de 30.5 días (rango: 14 a 41 días). En todos los casos, los marcadores inflamatorios estaban elevados. La HHS mejoró significativamente de 41.2 ± 5.2 en la presentación a 86.6 ± 3.4 después del tratamiento (p < 0.05). En la escala de Maudsley Roles, el resultado fue excelente en 18 casos y bueno en los restantes.

No se detectaron signos de infección durante el aspirado de médula ósea de fémur. Los reactantes de fase de infección aguda fueron negativos.

Con base en la evaluación radiografía y de resonancia magnética nuclear, los pacientes fueron organizados de acuerdo con la clasificación de Ficat: estadio I, 10 (47.6%) casos; estadio II, seis (28.6%) casos y estadio III, cinco (23.8%) casos (Tabla 2).

Tabla 2: Clasificación de pacientes según Ficat, evolución y resultado final a último seguimiento. 

Distribución muestral Total
n (%)
Éxito
n (%)
ATC
n (%)
Estadio I 10 (47.6) 10 (55.5) 0
Estadio IIA 4 (19.0) 3 (16.7) 1 (33.3)
Estadio IIB 2 (9.5) 1 (5.6) 1 (33.3)
Estadio III 5 (23.9) 4 (22.2) 1 (33.3)
Total 21 (100.0) 18 (85.7) 3 (14.3)

ATC = artroplastía total de cadera.

Al final del seguimiento, la evaluación radiográfica reveló que tres casos experimentaron un colapso de la cabeza femoral, acompañado de aumento de sintomatología clínica (Tabla 2), por lo que a 14.3% de la serie se le realizó artroplastía total de cadera (ATC). El examen histopatológico de las cabezas femorales en estos casos confirmó áreas necróticas y colapso vascular.

En los casos restantes, no se observó progresión adicional del daño de la cabeza femoral, logrando así una supervivencia de 85.4% (Figuras 6 y 7).

Figura 6: Control al momento de evaluación final de resultados radiográficos. Radiografía anteroposterior de caderas sin colapso de superficie articular. 

Figura 7: Radiografía lateral de caderas sin colapso o progresión de enfermedad. 

Discusión

La aparición de NAVCF después de COVID-19 subraya la naturaleza compleja y multifactorial de esta infección viral. Nuestro estudio arroja luz sobre varios puntos clave:

1. Relación temporal: la duración promedio de casi seis meses entre la infección por COVID-19 y el inicio de los síntomas de NAVCF sugiere un posible efecto retardado, asociado al síndrome post-COVID-19, donde se desconocen los mecanismos biológicos que subyacen, aunque una respuesta autoinmunitaria e inflamatoria anómala o excesiva podría implicar una agresión vascular crónica iniciada por el virus, contribuyendo al desarrollo de NAVCF.11,12

Esta presentación tardía es significativa ya que desafía la noción de que la NAVCF ocurre principalmente como una complicación aguda, enfatizando la necesidad de monitoreo a largo plazo de los sobrevivientes de COVID-19.13,14

2. Uso de esteroides: mientras que los corticosteroides son un tratamiento común para casos graves de COVID-19, la dosis acumulativa relativamente baja en nuestro estudio, destaca la posibilidad de que la vasculitis asociada a COVID-19 pueda contribuir a la patogénesis de NAVCF. Se requiere más investigación para delinear el papel preciso de los esteroides y sus efectos prolongados en la integridad vascular y su impacto potencial en la progresión de NAVCF.15

En nuestra serie de casos, la NAVCF se produjo con una dosis media de esteroides de 480 mg con una dosis mínima de 400 mg, dosis bajas en comparación con la reportada en la literatura, que muestra que se requiere una dosis acumulada media de 2,000 mg de corticoesteroides para el desarrollo de la NAVCF. Además, los pacientes iniciaron su sintomatología en promedio 4.2 meses después de la infección por COVID-19, siendo temprano en comparación con la informada en la literatura, que muestra que generalmente se necesitan de seis meses a un año para desarrollar NAVCF después de la exposición a esteroides.

La literatura sugiere que se requiere una dosis media de esteroides equivalente a 20 mg de prednisona para causar NAVCF; pero creemos que, debido al virus COVID-19, la sensibilidad para desarrollar NAVCF es mayor y a una dosis acumulativa más pequeña de esteroides.3,4,5

3. Eficacia del tratamiento: la descompresión con Forage y ACMO mostró mejoras significativas en los resultados funcionales, tal como indican el HHS y la escala subjetiva de Maudsley Roles. Esta intervención parece prometedora como enfoque terapéutico inicial, logrando una tasa elevada de éxito radiológico y funcional. Sin embargo, el hecho de que un subconjunto de pacientes (14.3% de la serie) experimentara un colapso de la cabeza femoral, requiriendo ATC, subraya la respuesta variable al tratamiento y la naturaleza impredecible de la progresión de NAVCF.16

La descompresión con Forage es el tratamiento clásico que busca mitigar el edema y mejorar la circulación de la cabeza femoral mediante la disminución de la presión intraósea con potencial detención del colapso articular, para así prevenir o retrasar la ATC.17 Los resultados con la descompresión por Forage no son concluyentes, ya que la tasa de éxito depende del estadio de Ficat en el cual se empleó el tratamiento. Mont informa un éxito de 47% en el estadio III; Song obtuvo una tasa de supervivencia de los estadios I, II y III de 79, 77 y 35%, respectivamente, con un seguimiento por cinco años.18,19

La suplementación con ACMO de la descompresión con Forage ha demostrado mejoría de la sintomatología, acompañada de no progresión o ralentización del colapso radiográfico de la cabeza femoral.20,21,22 En cuanto a la comparación de los resultados de descompresión con Forage versus Forage más suplementación celular, Hernigou refiere menor tasa de colapso y menor conversión a ATC.22 Este tipo de tratamiento combinado obtuvo, al igual que en nuestra serie, una mejor puntuación en las evaluaciones subjetivas y funcionales, así como mejores resultados radiográficos. En el metaanálisis realizado por Li, la suplementación redujo la tasa de colapso en 2.97 veces, la tasa de progresión radiográfica en 3.52 veces y la de conversión a ATC en 2.85 veces, en comparación con la utilización de descompresión con Forage aislada.23,24

4. Pronóstico a largo plazo de la descompresión: la efectividad del Forage con suplementación con ACMO como tratamiento inicial para NAVCF es un tema de suma importancia, especialmente al considerar los resultados a largo plazo como el mantenimiento de una función articular adecuada.21

Estos estudios de seguimiento a largo plazo resaltan el potencial de la descompresión central como una opción de tratamiento viable para NAVCF, especialmente en pacientes en las etapas tempranas de la enfermedad. Sin embargo, también vemos en nuestros resultados la naturaleza variable de la condición y la importancia del monitoreo continuo para identificar a los pacientes que puedan requerir intervenciones adicionales.

Conclusiones

El presente estudio tiene limitaciones tales como ser una serie de casos, sin control y con pocos pacientes. Sin embargo, la sistemática del estudio y su evaluación, así como el tratamiento son protocolizados.

En conclusión, la NAVCF después de COVID-19 se presenta con grados variables de gravedad y rápido deterioro clínico y funcional. Los marcadores inflamatorios elevados y el edema extenso de los tejidos blandos en pacientes afectados, sugieren una patología vascular subyacente. Dada la naturaleza variable que presupone una lesión de la microvasculatura, resulta crucial el monitoreo continuo para identificar a los pacientes en riesgo de progresión de la enfermedad. A pesar de que los resultados obtenidos mediante Forage y ACMO parecen prometedores como tratamiento inicial, entender su eficacia a largo plazo y su durabilidad es crucial. En consecuencia, los estudios de seguimiento a largo plazo en este tipo de pacientes son imprescindibles.

Referencias bibliográficas

1. Leung TYM, Chan AYL, Chan EW, Chan VKY, Chui CSL, Cowling BJ, et al. Short- and potential long-term adverse health outcomes of COVID-19: a rapid review. Emerg Microbes Infect. 2020; 9(1): 2190-9. doi: 10.1080/22221751.2020.1825914. [ Links ]

2. Powell C, Chang C, Naguwa SM, Cheema G, Gershwin ME. Steroid induced osteonecrosis: An analysis of steroid dosing risk. Autoimmun Rev. 2010; 9(11): 721-43. doi: 10.1016/j.autrev.2010.06.007. [ Links ]

3. Jones JP. Osteonecrosis. In: Koopman WJ, ed. Arthritis and allied conditions: a textbook of rheumatology. 14th ed. Philadelphia, PA: Lippincott Williams & Wilkins; 2001. pp. 2143-64. [ Links ]

4. Callejas Rubio JL, Luna Del Castillo JD, de la Hera Fernández J, Guirao Arrabal E, Colmenero Ruiz M, Ortego Centeno N. Effectiveness of corticoid pulses in patients with cytokine storm syndrome induced by SARS-CoV-2 infection. Med Clin (Engl Ed). 2020; 155(4): 159-61. [ Links ]

5. RECOVERY Collaborative Group; Horby P, Lim WS, Emberson JR, Mafham M, Bell JL, et al. Dexamethasone in hospitalized patients with Covid-19. N Engl J Med. 2021; 384(8): 693-704. [ Links ]

6. Yamamoto T, Schneider R, Iwamoto Y, Bullough PG. Rapid destruction of the femoral head after a single intraarticular injection of corticosteroid into the hip joint. J Rheumatol. 2006; 33(8): 1701-4. Erratum in: J Rheumatol. 2006; 33(10): 2101. [ Links ]

7. Rajput S, Kulshreshtha B. Bilateral femoral head avascular necrosis with physiological doses of steroids. Indian J Endocrinol Metab. 2018; 22(5): 710-1. [ Links ]

8. Ficat RP. Idiopathic bone necrosis of the femoral head. Early diagnosis and treatment. J Bone Joint Surg Br. 1985; 67(1): 3-9. [ Links ]

9. Lara-Taranchenko Y, Pujol O, González-Morgado D, Hernández A, Barro V, Soza D. Validation of the Spanish version of the modified Harris score. Rev Esp Cir Ortop Traumatol. 2024; 68(2): 121-7. doi: 10.1016/j.recot.2023.03.013. [ Links ]

10. Roles NC, Maudsley RH. Radial tunnel syndrome: resistant tennis elbow as a nerve entrapment. J Bone Joint Surg Br. 1972; 54(3): 499-508. [ Links ]

11. Coronavirus disease (COVID-19) pandemic. Geneva: World Health organization; 2021. Available in: https://www.who.int/emergencies/diseases/novel-coronavirus-2019Links ]

12. Nalbandian A, Sehgal K, Gupta A, Madhavan MV, McGroder C, Stevens JS, et al. Post-acute COVID-19 syndrome. Nat Med. 2021; 27(4): 601-15. [ Links ]

13. Sugano N, Atsumi T, Ohzono K, Kubo T, Hotokebuchi T, Takaoka K. The 2001 revised criteria for diagnosis, classification, and staging of idiopathic osteonecrosis of the femoral head. J Orthop Sci. 2002; 7(5): 601-5. doi: 10.1007/s007760200108. [ Links ]

14. Hernigou P, Beaujean F. Treatment of osteonecrosis with autologous bone marrow grafting. Clin Orthop Relat Res. 2002; (405): 14-23. doi: 10.1097/00003086-200212000-00003. [ Links ]

15. Hungerford DS, Zizic TM. Alcoholism associated ischemic necrosis of the femoral head. Early diagnosis and treatment. Clin Orthop Relat Res. 1978; (130): 144-53. [ Links ]

16. Mont MA, Jones LC, Hungerford DS. Nontraumatic osteonecrosis of the femoral head: ten years later. J Bone Joint Surg Am. 2006; 88(5): 1117-32. doi: 10.2106/JBJS.E.01041. Erratum in: J Bone Joint Surg Am. 2006; 88(7): 1602. [ Links ]

17. Cohen-Rosenblum A, Quanjun C. Osteonecrosis of the femoral head. Orthop Clin North Am. 2019; 50(2): 139-49. [ Links ]

18. Mont MA, Carbone JJ, Fairbank AC. Core decompression versus nonoperative management for osteonecrosis of the hip. Clin Orthop Relat Res. 1996; (324): 169-78. doi: 10.1097/00003086-199603000-00020. [ Links ]

19. Song WS, Yoo JJ, Kim YM, Kim HJ. Results of multiple drilling compared with those of conventional methods of core decompression. Clin Orthop Relat Res. 2007; 454: 139-46. doi: 10.1097/01.blo.0000229342.96103.73. [ Links ]

20. Gangji V, De Maertelaer V, Hauzeur JP. Autologous bone marrow cell implantation in the treatment of non-traumatic osteonecrosis of the femoral head: five year follow-up of a prospective controlled study. Bone. 2011; 49(5): 1005-9. doi: 10.1016/j.bone.2011.07.032. [ Links ]

21. Ma Y, Wang T, Liao J, Gu H, Lin X, Jiang Q, et al. Efficacy of autologous bone marrow buffy coat grafting combined with core decompression in patients with avascular necrosis of femoral head: a prospective, double-blinded, randomized, controlled study. Stem Cell Res Ther. 2014; 5(5): 115. [ Links ]

22. Hernigou P, Dubory A, Homma Y, Guissou I, Flouzat Lachaniette CH, Chevallier N, et al. Cell therapy versus simultaneous contralateral decompression in symptomatic corticosteroid osteonecrosis: a thirty year follow-up prospective randomized study of one hundred and twenty five adult patients. Int Orthop. 2018; 42(7): 1639-49. doi: 10.1007/s00264-018-3941-8. [ Links ]

23. Li M, Ma Y, Fu G, Zhang R, Li Q, Deng Z, et al. 10-year follow-up results of the prospective, double-blinded, randomized, controlled study on autologous bone marrow buffy coat grafting combined with core decompression in patients with avascular necrosis of the femoral head. Stem Cell Res Ther. 2020; 11(1): 287. [ Links ]

24. Li M, Chen D, Ma Y, Zheng M, Zheng Q. Stem cell therapy combined with core decompression versus core decompression alone in the treatment of avascular necrosis of the femoral head: a systematic review and meta-analysis. J Orthop Surg Res. 2023; 18(1): 560. doi: 10.1186/s13018-023-04025-8. [ Links ]

Abreviaturas: ACMO = aspirado de células de medula ósea. ATC = artroplastía total de cadera. HHS = Harris Hip Score (puntuación de cadera de Harris). NAVCF = necrosis avascular de la cabeza femoral.

2Conflicto de intereses: los autores declaran no tener conflicto de intereses.

3Nivel de evidencia: II

Recibido: 16 de Noviembre de 2023; Aprobado: 12 de Marzo de 2024

*Autor para correspondencia: Dr. Daniel Godoy-Monzón. Hospital San Rafael. Calle Diego Arias 2, CP 11002, Cádiz, España. E-mail: danigodoy@yahoo.com

Creative Commons License Este es un artículo publicado en acceso abierto bajo una licencia Creative Commons