Introducción
Las fracturas-luxaciones transescafo-perilunares son infrecuentes y pueden pasar de forma desapercibida. Se estima que 25% son mal diagnosticadas en su primer contacto con el ortopedista.1,2,3
Por lo general, este tipo de lesión es secundario a mecanismos de alta energía en el cual se provoca la extensión, desviación cubital y supinación de la muñeca. Sin embargo, es probable que haya más de un mecanismo para esta patología. En caso de fractura, se usa el prefijo «trans» para referirse al hueso afectado.2,4
Aproximadamente, 10% son lesiones abiertas y 26% se asocian con politrauma. De las fracturas del carpo, las del escafoides representan aproximadamente 60%.2,5 Usualmente, la deformidad es leve. Suele haber inflamación y sintomatología relacionada con el nervio mediano inmediatamente (secundario a la contusión) o tardíamente (por incremento en la presión por edema o hemorragia).2
Para el diagnóstico se recomiendan radiografías de muñeca en proyecciones posteroanterior (o anteroposterior) y lateral. La tomografía computarizada (TAC) y resonancia magnética (RM) son de gran utilidad para complementar el diagnóstico y valorar estructuras aledañas.2 Por lo general, este tipo de lesiones requiere tratamiento quirúrgico.2
Presentación del caso
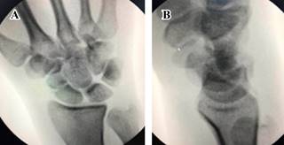
Masculino de 23 años de edad, sano, quien sufre caída del propio plano de sustentación contundiendo mano derecha con mecanismo de hiperflexión. Inicia con dolor, limitación funcional y edema importante en muñeca, motivo por el cual acude al servicio de urgencias. A la exploración física, llama la atención edema y deformidad en dorso de muñeca derecha con limitación funcional a expensas del dolor, sin alteraciones neurovasculares distales. Se realizan radiografías en proyecciones anteroposterior y oblicua de mano (Figura 1); se observa incongruencia entre líneas carpales con sospecha de fractura de escafoides. Se realiza tomografía computarizada (Figura 2), con la cual se completa diagnóstico de fractura luxación transescafo-perilunar.

Figura 1: Radiografías (A) anteroposterior y (B) oblicua de muñeca derecha. Se demuestra pérdida de las líneas de Gilula y fractura en escafoides.

Figura 2: Reconstrucción 3D de tomografía axial computarizada. Se observa fractura-luxación transescafo-perilunar.
Una hora después de su ingreso, bajo previo consentimiento del paciente, en un primer tiempo se realiza reducción cerrada de la luxación del carpo mediante la maniobra de Tavernier con control fluoroscópico y bajo anestesia general, logrando adecuada reducción de la luxación. (Figura 3) Posteriormente se coloca una férula tipo pinza de azúcar y se decide programar en un segundo tiempo la reducción y osteosíntesis del escafoides debido al importante edema en dicha mano.

Figura 3: Imagen fluoroscópica (A) anteroposterior y (B) lateral de muñeca, en la cual se muestra adecuada reducción de luxación de los huesos del carpo.
Tres días después del traumatismo, bajo anestesia general, se realiza abordaje dorsal para escafoides. Luego, bajo control fluoroscópico, se coloca clavillo Kirschner como guía. Después de corroborada adecuada colocación, se completa osteosíntesis con tornillo tipo Herbert de 2.5 mm.
Posteriormente se reconstruye ligamento escafosemilunar con ancla metálica Micro Corkscrew (Arthrex®) de 2.2 mm. Después se colocan dos clavillos Kirchner de 1.2 mm, el primero transescafo-perilunar y el segundo fijando piramidal y semilunar (Figura 4). Se realizan maniobras dinámicas posterior a la osteosíntesis, demostrando adecuada estabilidad en huesos del carpo. Se realiza cierre por planos y es inmovilizado nuevamente con férula tipo pinza de azúcar; solamente fue removido a las dos semanas para el retiro de puntos. A las seis semanas, se retiran clavillos Kirschner y se inicia fisioterapia. Se realizó seguimiento esporádico: regreso a actividades de la vida diaria a los tres meses del procedimiento, con rangos de movilidad completos y sin dolor. A 18 meses después del traumatismo, el paciente se encuentra asintomático y sin complicaciones radiológicas (Figura 5).

Figura 4: Fluoroscopía transoperatoria. A y B) Posterior a colocación de osteosíntesis del escafoides con tornillos canulados, reparación de ligamento escafosemilunar con ancla metálica y clavillos Kirschner para el reforzamiento de la plastía.
Discusión
La fractura-luxación transescafo-perilunar es una patología poco frecuente, generalmente resultando de traumatismos de alta energía. El abordaje y tratamiento de estos traumatismos implican un gran reto para el ortopedista.
Usualmente, esta lesión se asocia con caídas de altura, accidentes de vehículo motorizado o actividades deportivas.6 Los factores que influyen en el patrón de lesión resultante son el vector tridimensional de la carga, la magnitud y la dirección de las fuerzas, la posición de la mano al momento de impacto y las propiedades biomecánicas de los huesos y ligamentos.7 Si la fuerza de impacto atraviesa hueso, se le llama «lesión de arco mayor»; si atraviesa solamente ligamentos, se le llama de «arco menor».8
Es de suma importancia una adecuada anamnesis y exploración física para diagnóstico oportuno y temprano. La luxación transescafo-perilunar se presenta con deformidad en muñeca, edema, dolor localizado y limitación funcional. En ocasiones pueden presentar parestesias en dedos de la mano, consecuentes de compresión del nervio mediano.
Las radiografías posteroanterior (PA) y lateral de mueca son mandatorias para valorar las estructuras óseas del carpo. En la radiografía posteroanterior, se busca irregularidad en el espacio intercarpiano, así como la discontinuidad en los arcos de Gilula (curvas producidas por la disposición anatómica de los huesos carpianos). En esta proyección, un intervalo de más de 2 mm entre el escafoides y el semilunar sugiere una alteración en el ligamento escafosemilunar. En la proyección lateral, se observaría una pérdida de alineación entre el radio, el semilunar y el grande. Igualmente, se busca el «signo de la taza derramada», que se forma con la rotación proximal del semilunar sobre los ligamentos palmares.2,6
De acuerdo con Kozin,9 hay cuatro estadios de inestabilidad perilunar. En el I, hay una disrupción en el complejo ligamentoso escafoides-semilunar. En el II, la fuerza se propaga por el espacio de Poirier e interrumpe la conexión semilunar-grande. En el III, la conexión semilunar-piramidal se pierde. En el IV, el hueso semilunar se luxa de su fosa y rota hacia el túnel del carpo; el grande se alinea con el radio. Herzberg,10 clasifica estas lesiones dependiendo de la dirección de luxación perilunar: dorsal (se disloca el grande con respecto al semilunar, que se queda en su lugar) o palmar (el grande se vuelve «colineal» con el radio, luxando el semilunar hacia el túnel del carpo; equivale al estadio IV de Kozin). Se han hecho otras clasificaciones, por ejemplo, la de Mayfield (según el daño ligamentoso involucrado) y la de Johnson (según las estructuras implicadas).1
La resonancia magnética de muñeca aporta gran información, con alta sensibilidad y especificidad para alteraciones ligamentosas y fracturas ocultas.11 De igual manera, la tomografía computarizada preoperatoria es de utilidad para determinar la posición exacta de los fragmentos óseos y fracturas ocultas.2
Como en cualquier luxación, es de suma importancia tratar de reducirla lo antes posible; se recomienda la reducción cerrada de la luxación perilunar con la maniobra de Tavernier. Ésta requiere de sedación del paciente. Se colocan ambos pulgares sobre el semilunar mientras se sujeta la muñeca del paciente; un ayudante entonces realiza tracción de la muñeca.12 La reducción inmediata ayuda a disminuir la compresión sobre estructuras neurovasculares y evitar así posibles daños mayores. La sedación y la anestesia local pueden ayudar a la relajación muscular, lo que puede facilitar la maniobra;2 en caso de ser insuficiente, se recomienda la reducción abierta para evitar lesionar estructuras aledañas.2,13
Se ha demostrado que el tratamiento definitivo más eficiente para la fractura-luxación transescafo-perilunar es el manejo quirúrgico. Se recomienda la realización de una reducción abierta, con reparación de hueso(s) y ligamento(s), dentro de los 3-5 días posteriores al traumatismo. Se ha debatido sobre los distintos abordajes quirúrgicos (dorsal, palmar o combinado), sin llegar a un acuerdo. Algunos autores recomiendan la liberación de túnel del carpo en caso de sospechar afección en el mismo y en presencia de síntomas del nervio mediano. De manera general, se recomienda que para lesiones en el «arco mayor» se fije primero el hueso y posteriormente se reparen los tejidos blandos. El manejo específico debe ser individualizado. Si hay fractura en el escafoides, se puede fijar con tornillos canulados. En caso de fracturas conminutas, se recomienda la utilización de agujas de Kirschner.1,2
Una vez finalizada la operación, se recomienda la inmovilización con férula o yeso tipo spica por seis semanas. Se recomienda indicar al paciente el movimiento progresivo y activo de los dedos, el hombro y el codo para prevenir espasticidad. A las 6-8 semanas, se recomienda la colocación de una férula termoplástica en muñeca y pulgar. Posteriormente, se inicia la rehabilitación con un programa progresivo de movimientos pasivos y activos, con el objetivo de llegar a un rango de movimiento completo. El pronóstico con un manejo adecuado es la recuperación de, mínimo, 50% del rango de movimiento (aunque puede haber algunas limitaciones y dolor remanentes).1,2
No es infrecuente observar artritis radiológica postraumática, pero esto no se correlaciona con la funcionalidad clínica, que casi siempre es adecuada.14 Las complicaciones reales se deben usualmente a un manejo inadecuado de las estructuras ligamentosas, lo que puede llevar a inestabilidad carpiana y artrosis; esto requeriría en un futuro la realización de carpectomía.1
Se ha visto aumento importante de complicaciones y secuelas en casos en los cuales estas lesiones se han tratado de forma tardía.3















